Базальне тільце
База́льне тільце (синоніми — кінетосо́ма, база́льні гра́нули , блефаропласт) — органела еукаріотичної клітини, циліндрична структура з мікротрубочок, яка розташовується в основі еукаріотичних джгутиків та війок[1]. Її довжина становить 0,4 мкм, ширина — 0,2 мкм. Базальні тільця є одним із видів центрів організації мікротрубочок (ЦОМТ), формуються з центріолей і мають таку ж структуру, проте відрізняються функціями, а саме слугують основою для формування аксонеми джгутика[1].


Структура
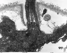
Базальне тільце складається з дев'яти триплетів мікротрубочок, що утворених білком γ-тубуліном і з'єднаних між собою динеїновими ручками[1]. Дві мікротрубочки кожного триплету безпосередньо переходять в мікротрубочки дублетів аксонеми[1]. У формуванні та просторовій організації мікротрубочок у базальному тільці ключову роль відіграє нуклеотид-зв'язуючий домен γ-тубуліну[2]. Зазвичай, базальні тільця заякорені в цитоплазмі за допомогою так званого корінцевого апарату — системи, що складається з мікротрубочок чи фібрилярних елементів — кінетодесм. Кінетодесми являють собою пучки тонких (6 нм у діаметрі) фібрил, і у вигляді впорядковано розташованих кількох поперечно посмугованих стрічок (корінців) ідуть від базального тільця вглиб цитоплазми у напрямі до ядра клітини. Завдання цієї системи — передавати механічне зусилля, викликане рухами джгутиків, на цитоскелет[1].
Примітки
- Рупперт Э. Э., Фокс Р. С., Барнс Р. Д. Протисты и низшие многоклеточные // Зоология беспозвоночных. Функциональные и эволюционные аспекты = Invertebrate Zoology: A Functional Evolutionary Approach / пер. с англ. Т. А. Ганф, Н. В. Ленцман, Е. В. Сабанеевой; под ред. А. А. Добровольского и А. И. Грановича. — 7-е издание. — М.: Академия, 2008. — Т. 1. — С. 31—34. — 496 с. — 3000 экз. — ISBN 978-5-7695-3493-5
- Shang, Y., Tsao, C.-C., Gorovsky, M. A. (2005). Mutational analyses reveal a novel function of the nucleotide-binding domain of gamma-tubulin in the regulation of basal body biogenesis. Journal of Cell Biology 171(6): 1035-1044.