Вірус сказу
Вірус сказу (англ. Rabies virus; лат. Rabies virus) — нейротропний вірус, збудник сказу у людини і тварин. Передача вірусу може відбуватися через слину тварин і (рідше) при контакті з людською слиною.
? Вірус сказу | ||||||||||
|---|---|---|---|---|---|---|---|---|---|---|
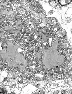
![]() TEM micrograph with numerous rabies virions (small dark-grey rod-like particles) and Negri bodies (the larger pathognomonic cellular inclusions of rabies infection) | ||||||||||
| Класифікація вірусів | ||||||||||
| ||||||||||
Посилання | ||||||||||
| ||||||||||
Вірус сказу має циліндричний вигляд і є типовим видом роду Lyssavirus родини Rhabdoviridae. Ці віруси покриті оболонкою і мають одноланцюжкову РНК у геномі. Генетична інформація представлена у вигляді рибонуклеопротеїнового комплексу, в якому РНК тісно пов'язана з нуклеопротеїном. РНК-геном вірусу кодує п'ять генів, порядок яких є дуже консервативним. Ці гени кодують нуклеопротеїни (N), фосфопротеїни (Р), матрицю білка (М), глікопротеїн (G) і вірусну РНК-полімеразу (L) [1]. Повні послідовності генома в межах від 11615 до 11966 нуклеотидів завдовжки [2].
Всі транскрипції і реплікації подій відбуваються в цитоплазмі всередині тільця Негрі (названий на честь Адельчі Негрі [3]). Діаметр становить 2-10 мкм і є типовим збудником сказу і, таким чином, був використаний як певний гістологічний доказ існування такої інфекції [4].
Див. також
Примітки
- Finke S, Conzelmann KK (August 2005). "Replication strategies of rabies virus". Virus Res. 111 (2): 120-131. doi: 10.1016 / j.virusres.2005.04.004. PMID 15885837 (англ.)
- http://www.ncbi.nlm.nih.gov/nuccore/?term=rabies+complete+genome (англ.)
- cfm / 2491.html[недоступне посилання з червня 2019] (англ.)
- Albertini AA, Schoehn G, Weissenhorn W, Ruigrok RW (January 2008). "Structural aspects of rabies virus replication". Cell. Mol. Life Sci. 65 (2): 282-294. doi: 10.1007 / s00018-007-7298-1. PMID 17938861 (англ.)
