Грудна порожнина
Грудна́ порожни́на (лат. cavum thoracis) — анатомічний простір, обмежений внутрішньою поверхнею грудної клітки і верхньою поверхнею діафрагми. Стінки грудної порожнини вистилає внутрішньогруднна фасція (лат. fascia endothoracica). Центральні відділи грудної порожнини зайняті середостінням, з боків від якого розташовані легені. Легені з усіх боків оточені щілинними плевральними порожнинами, сформованими вісцеральним (внутрішним) і парієтальним (зовнішнім) листками плеври.

Органи грудної порожнини

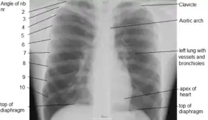
Рентгенограма органів грудної порожнини
Література
- Сапин М. Р., Брыксина З. Г. — Анатомия человека //Просвещение, 1995 г.
- Людина. / Навч. посібник з анатомії та фізіології. — Львів. 2002. — 240 с.
This article is issued from Wikipedia. The text is licensed under Creative Commons - Attribution - Sharealike. Additional terms may apply for the media files.