Гіаліноз
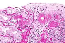
Гіаліноз — різновид білкової дистрофії, при якій в тканинах відкладаються гомогенні, напівпрозорі, щільні маси — гіалін. До складу гіаліну входять білки плазми крові, ліпіди, мукополісахариди.[1]

Загальна характеристика
Гіаліноз спостерігається в сполучній тканині, стромі органів, в стінках судин, що призводить до їх ущільнення. Найбільше клінічне значення має системний гіаліноз сполучної тканини (див. Колагенові хвороби) і судин. Місцевий гіаліноз пов'язаний з місцевими обмінними порушеннями в тканини і частіше спостерігається в рубцях, спайках, вогнищі хронічного запалення, у великих судинах при атеросклерозі, в осередках змертвіння тканин, пухлинах або як фізіологічне вікове явище в судинах селезінки, підшлункової залози, яєчниках, молочній залозі. Системний гіаліноз незворотній. У деяких випадках місцевого гіалінозу спостерігаються явища розсмоктування.
Примітки
- Gamble CN (March 1986). The pathogenesis of hyaline arteriolosclerosis. Am. J. Pathol. 122 (3): 410–20. PMC 1888226. PMID 2420184.