Гіперплазія ендометрія
Гіперплазія ендометрія — захворювання тіла матки, що проявляється через зміну залоз і строми ендометрія. Гіперплазія ендоментрія може стати причиною розвитку раку ендометрія та безпліддя.
| Гіперплазія ендометрія | |
|---|---|
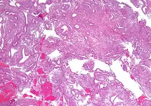
![]() Мікрографія показує просту гіперплазію ендометрія, за якої зберігається співвідношення залоза-строма, але залози мають неправильну форму та/або розширені. Ендоментріальна біопсія Мікрографія показує просту гіперплазію ендометрія, за якої зберігається співвідношення залоза-строма, але залози мають неправильну форму та/або розширені. Ендоментріальна біопсія | |
| Спеціальність | гінекологія |
| Препарати | norethindroned[1], Прогестерон[1] і norethynodreld[1] |
| Класифікація та зовнішні ресурси | |
| МКХ-11 | GA16.0 |
| МКХ-10 | N85.0 |
| DiseasesDB | 4263 |
| eMedicine | med/3334 |
| MeSH | D004714 |
| SNOMED CT | 237072009 |
Форми гіперплазії
Здебільшого виділяють 3 форми: залозиста, залозисто-кістозна та атипова гіперплазія. Також можуть розвиватися поліпи ендометрія.
Залозиста і залозисто-кістозна гіперплазії майже ідентичні, вони розрізняються тільки ступенем вираженості. При залозисто-кістозній формі спостерігаються розширення кістозно-змінених залоз, а при залозистій формі кіст немає. Форма атипової гіперплазії ендометрія характеризується залозами, що розрослися.
Причини розвитку та симптоми
Причинами розвитку гіперплазії ендометрія є надлишок естрогенів і дефіцит прогестерону. До захворювання більш схильні жінки, які страждають на цукровий діабет, ожиріння, артеріальну гіпертонію.
Симптоми гіперплазії ендометрія: тривалі ановуляторні маткові кровотечі. В деяких випадках хвороба може перебігати без цих симптомів або з маловираженими симптомами.
Діагностика та лікування
Діагностика гіперплазії ендометрія полягає в гістологічному дослідженні зіскрібка слизової матки, тобто ендометрія. Зіскрібок роблять перед настанням менструації або на початку появи кров'яних виділень. Гістологічне дослідження є найдостовірнішим методом, що визначає форму гіперплазії ендометрія. У другій половині менструального циклу можуть використовувати метод аспірації. Лікар може призначити ехоскопію або гістероскопію, ультразвукове дослідження.
Лікування гіперплазії ендометрія визначається його формою, а також з урахуванням чинників: віку пацієнтки, клінічних проявів, протипоказань, супутніх захворювань. Хірургічне лікування гіперплазії ендометрія застосовується при передраковій формі, рецидивуючій залозисто-кістозній гіперплазії. При важкій формі гіперплазії ендометрія іноді необхідне видалення матки. В деяких випадках використовується гормонотерапія і негормональні препарати.
Примітки
- NDF-RT
Джерела
- Большой энциклопедический словарь / Гл. ред. А. М. Прохоров. — М., 1997;
- Энциклопедический словарь медицинских терминов: В. 3 т. / Гл. ред. Б. В. Петровский. — М., 1983. — Т. 2.
