Ендометрит
Ендометрит - це запалення внутрішньої оболонки матки ( ендометрію). [3] Супроводжуючими симптомами можуть бути: підвищена температура, біль у нижній частині живота, маткові кровотечі або виділення . [4] Найчастішаою причиною є зараження після пологів. [5] [6] Захворювання належить до спектру запальних захворюваннь органів малого тазу . [7]
| Ендометрит | |
|---|---|
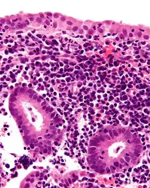
![]() На мікрографії хронічний ендометрит. Чітко видно лімфоцитарні плазмоцити та нейтрофіли. На мікрографії хронічний ендометрит. Чітко видно лімфоцитарні плазмоцити та нейтрофіли. | |
| Інші назви | Postpartum endometritis, endomyometritis |
| Спеціальність | Гінекологія, Акушерство |
| Симптоми | підвищена температура, біль у нижній частині живота, маткові кровотечі |
| Типи | Гострий, хронічний[1] |
| Причини | Інфекція |
| Фактори ризику | Аборт, менструації, народження дитини |
| Лікування | Антибіотики |
| Прогнози | Можливе лікування |
| Частота |
2% (following vaginal delivery), 10% (following scheduled C-section)[2] |
| Класифікація та зовнішні ресурси | |
| МКХ-10 | N71 |
| MeSH | D004716 |
| | |
Ендометрит буває у гострій та хронічній формі. [1] Гостра форма, як правило, розвивається внаслідок інфекції, яка потрапила через шийку матки після аборту, під час менструації, після пологів або в результаті спринцювання або розміщення внутрішньоматкової спіралі. Фактори ризику розвитку ендометриту після пологів включають також кесарів розтин та передчасний розрив оболонок плоду. [6] Хронічний ендометрит частіше трапляється після менопаузи. Діагноз може бути підтверджений біопсією ендометрія . [8]
Лікування проводиться із застосуванням антибіотиків.[6] Рекомендовано при лікувати ендометрит після пологів кліндаміцином з гентаміцином. [9] Також рекомендується пройти тест на виявлення гонореї та хламідіозу у групи ризику. [10] Хронічне захворювання можна лікувати доксицикліном . [10] Результати лікування, зазвичай, позитивні. [11]
Частота захворювань на ендометрит становить близько 2% після вагінальних пологів, 10% після запланованого кесаревого розтину та 30% із розривом оболонок перед кесаревим розтином, якщо профілактичні антибіотики не застосовуються. [2] Термін "ендоміометрит" може використовуватися, якщо також запалений міометрій. [12] Захворювання також доволі поширене у інших тварин, наприклад, корів . [13]
Симптоми
Можлива підвищена температура, біль у нижній частині живота, маткові кровотечі або виділення . [6] [4]
Типи
Гострий ендометрит
Для гострого ендометриту характерна інфекція. Вважається, що мікроорганізми, які найчастіше виділяють, потрапили під час аборту, занесені медичним обладнанням та забором фрагментів плаценти. [14] На сьогодні недостатньо доказів використання антибіотиків для профілактики ендометриту після ручного видалення плаценти за вагінальних пологах. [15] Гістологічно підтверджено, що при гострому ендометриті присутня нейтрофільна інфільтрація тканини ендометрію. Клінічним проявом є, як правило, підвищена температура та гнійні виділення з піхви. Менструації після гострого ендометриту надмірні, і в найліпшому разі можуть пройти за 2 тижні із лікуванням антибіотиками - кліндаміцином та гентаміцином IV.
У деяких випадках, хвороба була спричинена Mycoplasma genitalium та запальними захворюваннями органів малого тазу. [16] [17]
Хронічний ендометрит
Хронічний ендометрит характеризується наявністю плазматичних клітин у стромі. Може бути видно лімфоцити, еозинофіли і навіть лімфоїдні фолікули, але за відсутності саме плазматичних клітин цього недостатньо для підтвердження гістологічного діагнозу. Оскільки схожа картина може бути виявлена у приблизно 10% усіх біопсій ендометрію, проведених із-за нерегулярних кровотеч. Найпоширенішими організмами є Chlamydia trachomatis ( хламідія ), Neisseria gonorrhoeae (гонорея), Streptococcus agalactiae (група B Streptococcus), Mycoplasma hominis, туберкульоз та різні віруси. Більшість з них здатні викликати хронічні запальні захворювання органів малого тазу. Пацієнти, які страждають на хронічний ендометрит, також можуть мати рак шийки матки або ендометрію (хоча інфекції є більш поширеною причиною). Терапія антибіотиками в більшості випадків є лікувальною (залежить від причини виникнення), з досить швидким купіруванням симптомів за 2–3 дні. Жінки з хронічним ендометритом також мають високий ризик втрати вагітності, проте лікування поліпшує ситуацію. [18] [19]
Піометра (гнійний ендометрит)
Піометра означає наявний гній у порожнині матки. [20] Для розвинення піометри повинна бути як інфекція, так і блокування шийки матки. Ознаки та симптоми: біль у нижній частині живота (надлобкову), заціпеніння, лихоманку та виділення гною при УЗД матки. Піометра лікується антибіотиками відповідно до виду культури та чутливості організму. [21]
Список літератури
- Dallenbach-Hellweg, Gisela; Schmidt, Dietmar; Dallenbach, Friederike (2010). Atlas of Endometrial Histopathology (англ.). Springer Science & Business Media. с. 135. ISBN 9783642015410.
- Gabbe, Steven G. (2012). Obstetrics: Normal and Problem Pregnancies (англ.). Elsevier Health Sciences. с. 1146. ISBN 978-1437719352.
- Crum, Christopher P.; Lee, Kenneth R.; Nucci, Marisa R. (2011). Diagnostic Gynecologic and Obstetric Pathology E-Book (англ.). Elsevier Health Sciences. с. 430. ISBN 978-1455708956.
- Ferri, Fred F. (2014). Ferri's Clinical Advisor 2015 E-Book: 5 Books in 1 (англ.). Elsevier Health Sciences. с. 423. ISBN 9780323084307.
- Arora, Mala; Walavalkar, Rajalaxmi (2013). World Clinics: Obstetrics & Gynecology: Postpartum Hemorrhage (англ.). JP Medical Ltd. с. 237. ISBN 9789350904244.
- Cover of Hacker & Moore's Essentials of Obstetrics and Gynecology. Hacker & Moore's essentials of obstetrics and gynecology (вид. 6). Elsevier Canada. 2015. с. 276–290. ISBN 9781455775583.
- Sexually Transmitted Diseases & Pelvic Infections. Current diagnosis & treatment : obstetrics & gynecology (вид. 11). McGraw-Hill Education. 2012. с. Chapter 43. ISBN 978-0071638562.
- Lobo, Rogerio A.; Gershenson, David M.; Lentz, Gretchen M.; Valea, Fidel A. (2016). Comprehensive Gynecology E-Book (англ.). Elsevier Health Sciences. с. 548. ISBN 9780323430036.
- Mackeen, AD; Packard, RE; Ota, E; Speer, L (2 лютого 2015). Antibiotic regimens for postpartum endometritis.. The Cochrane Database of Systematic Reviews (2): CD001067. PMC 7050613. PMID 25922861. doi:10.1002/14651858.CD001067.pub3.
- 8. Williams Gynecology (вид. 3). McGraw Hill Professional. 2016. ISBN 9780071849081.
- Ferri, Fred F. (2014). Ferri's Clinical Advisor 2015 E-Book: 5 Books in 1 (англ.). Elsevier Health Sciences. с. 423. ISBN 9780323084307.
- Hubert Guedj; Baggish, Michael S.; Valle, Rafael Heliodoro (2007). Hysteroscopy: visual perspectives of uterine anatomy, physiology, and pathology. Hagerstwon, MD: Lippincott Williams & Wilkins. с. 488. ISBN 978-0-7817-5532-0.
- Noakes, David E. (2009). Arthur's Veterinary Reproduction and Obstetrics E-Book (англ.). Elsevier Health Sciences. с. 411. ISBN 9780702039904.
- Endometritis - Pregnancy Articles. pregmed.org. 21 листопада 2013. Процитовано 11 квітня 2018.
- Chongsomchai, C; Lumbiganon, P; Laopaiboon, M (20 жовтня 2014). Prophylactic antibiotics for manual removal of retained placenta in vaginal birth. The Cochrane Database of Systematic Reviews 10 (10): CD004904. PMC 7390442. PMID 25327508. doi:10.1002/14651858.CD004904.pub3.
- Association between Mycoplasma genitalium and acute endometritis. Lancet 359 (9308): 765–6. March 2002. PMID 11888591. doi:10.1016/S0140-6736(02)07848-0. Проігноровано невідомий параметр
|vauthors=(довідка) - Ljubin-Sternak, Suncanica; Mestrovic, Tomislav (2014). Review: Chlamydia trachonmatis and Genital Mycoplasmias: Pathogens with an Impact on Human Reproductive Health. Journal of Pathogens 2014 (183167): 3. PMC 4295611. PMID 25614838. doi:10.1155/2014/183167.
- Chronic endometritis and altered embryo implantation: a unified pathophysiological theory from a literature systematic review. Journal of Assisted Reproduction and Genetics 37 (12): 2897–2911. December 2020. PMC 7714873. PMID 33025403. doi:10.1007/s10815-020-01955-8. Проігноровано невідомий параметр
|vauthors=(довідка); Проігноровано невідомий параметр|doi-access=(довідка) - Quantifying CD138+ cells in the endometrium to assess chronic endometritis in women at risk of recurrent pregnancy loss: A prospective cohort study and rapid review. The Journal of Obstetrics and Gynaecology Research 47 (2): 689–697. December 2020. PMID 33274569. doi:10.1111/jog.14585. Проігноровано невідомий параметр
|vauthors=(довідка) - Pyometra. American College of Veterinary Surgeons. 2004. Архів оригіналу за 21 лютого 2006. Процитовано 14 грудня 2006.
- Höglund, Odd Viking; Lövebrant, Johanna; Olsson, Ulf; Höglund, Katja (17 листопада 2016). Blood pressure and heart rate during ovariohysterectomy in pyometra and control dogs: a preliminary investigation. Acta Veterinaria Scandinavica 58 (1): 80. PMC 5112883. PMID 27855712. doi:10.1186/s13028-016-0263-y.
