Епідерміс
Епідерміс (лат. epidermis, від грец. ἐπιδερμίς), надшкір'я[1] — зовнішній шар шкіри, що лежить безпосередньо над власне шкірою. Надшкір'я утворює бар'єр між внутрішнім середовищем організму й інфекційними аґентами та патогенами довколишнього середовища, регулює виділення води організмом шляхом черезнадшкірної втрати води (ЧНВВ).

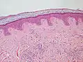
Надшкір'я складається з 5 шарів: основного(базального), остистого, зернистого, блискучого та рогового, усі вони утворюються із стовбурових клітин основного шару. У всіх шарах надшкір'я експресуються ЕНК.

У безхребетних надшкір'я може виділяти тверді речовини (кутикула круглих червів, черепашка молюсків).
Будова

У ссавців складається з 5 шарів клітин, що відрізняються за будовою та функціями. Найглибший шар — базальний, вище знаходяться шиповидний, зернистий, блискучий та роговий. Життєвий цикл розвитку та оновлення надшкір'я становить 26 — 28 діб. У базальному шарі клітини безперервно розмножуються та починають формувати кератиноцити (основний вид клітин надшкір'я). Також в базальному шарі містяться меланоцити — великі клітини, в яких проходить синтез пігменту меланіну, вони відповідають за колір шкіри. Під дією ферменту тірозинази з амінокислоти тирозина утворюється доксифенілаланін (ДОФА), або промеланін, який полімеризується в меланін. Таким чином формуються меланінвмісні органели — меланосоми, які потім передаються кератиноцитам. На один меланоцит припадає приблизно 36 кератиноцитів. Крім меланоцитів в шкірі міститься значна кількість меланофагів, клітин, що фагоцитують меланін. Колір шкіри залежить від індивідуальних особливостей та приналежністю людини до певної раси. Регуляцію меланогенезу здійснюють нервова та ендокринна системи. Так при надмірному опроміненні сонячним ультрафіолетом виникає адаптивна реакція у вигляді засмаги. При цьому меланін, що синтезується клітинами відбиває промені ультрафіолету та захищає тканини від опромінення та пошкодження.
В остистому шарі надшкір'я крім епітеліальних, містяться клітини Лангерганса, що розпізнають чужі антигени, які потрапляють у шкіру та представляють їх макрофагам, беручи таким чином участь у реакціях імунітету.
В зернистому та блискучому шарах епітеліальні клітини формуються, продукуючи великі кератогіалінові зерна.
Зовнішній роговий шар надшкір'я складається з мертвих клітин, які не містять ядра та органел та заповнені кератиновими філаментами та кератогіаліновими гранулами. Він постійно злущується та оновлюється. Клітини цього шару зв'язані за допомогою твердої міжклітинної рідини, що перешкоджає їх відторгненню. Поверхнева плівка, що покриває роговий шар надшкір'я, представлена продуктами життєдіяльності епітелію, сальних та потових залоз, має слабокислу реакцію (рН 4,5 — 5,5), забезпечує еластичність шкіри та є першим бар'єром на шляху проникнення до організму фізичних, хімічних та інфекційних агентів.
Галерея
Епідерміс і дерма шкіри людини
Епідерміс у розрізі
Оптична томографія кінчиків пальців людини
Схема всіх рівнів шкіри людини
Примітки
- Надшкір'я // Словник української мови : в 11 т. — К. : Наукова думка, 1970—1980.
Література
- Людина. / Навч. посібник з анатомії та фізіології. — Львів. 2002. — 240 с.
- Эпидермис у Великій радянській енциклопедії (рос.)