Кисть
Кисть (лат. manus) — це зовнішній орган, частина вільної верхньої кінцівки, яка складається із зап'ястя, п'ястка і фаланг пальців.

Кисть польової тупаї (Tupaia javanica) у порівнянні з людською
| Кисть | |
|---|---|
![]() Долонна та дорзальна частини правої кисті людини | |
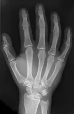
![]() Рентгенографія кисті людини | |
| Деталі | |
| Вена | Дорзальна венозна система кисті |
| Нерв | Ліктьовий нерв, Середнинний нерв, Променевий нерв |
| Ідентифікатори | |
| MeSH | D006225 |
| TA98 | A01.1.00.025 |
| TA2 | 148 |
| FMA | 9712[1] |
| Анатомічна термінологія | |
Література
- Людина / Навч. посібник з анатомії та фізіології. — Львів, 2002. — 240 с.
- Свіридов О. Анатомія людини. — К. : Вища школа, 2001.
- Foundational Model of Anatomy
This article is issued from Wikipedia. The text is licensed under Creative Commons - Attribution - Sharealike. Additional terms may apply for the media files.

