Кластерний головний біль
Кластерний головний біль — це неврологічний розлад, що характеризується повторюваним, сильним головним болем з одного боку голови, зазвичай навколо ока.[1] Часто супроводжується сльозотечею, закладеністю носа або набряком навколо очей на боці ураження.[1] Ці симптоми звичайно тривають від 15 хвилин до 3 годин.[2] Напади часто відбуваються у кластерах, які зазвичай тривають протягом тижнями або місяцями, а іноді більше року.[2]
| Кластерний головний біль | |
|---|---|
|
| |
| Спеціальність | неврологія |
| Симптоми | повторюваний, дуже сильний головний біль з одного боку, сльозяться очі, забиває ніс[1] |
| Початок | від 20 до 40 років[2] |
| Тривалість | від 15 хв. до 3 год[2] |
| Типи | епізодичний, хронічний[2] |
| Причини | невідомі[2] |
| Фактори ризику | тютюнопаління, family history[2] |
| Метод діагностики | за симптомами[2] |
| Диференціальна діагностика | мігрень, Невралгія трійчастого нерва,[2] інші автономні цефалгії трійчастого нерва[3] |
| Профілактика | ін'єкції стероїдів, civamide, верапаміл[4] |
| Лікування | оксигенотерапія[5], triptand[5], ergotamined[5], протисудомні препарати[5], верапаміл[5], lithium compoundsd[5] і кортикостероїди[5]оксигенотерапія, триптани[2][4] |
| Частота | ~0,1 % у певний момент життя[6] |
| Класифікація та зовнішні ресурси | |
| МКХ-10 | G44.0 |
| DiseasesDB | 2850 |
| MeSH | D003027 |
| | |
Причина виникнення невідома.[2] Фактори ризику включають наявність в анамнезі впливу тютюнового диму та обтяжену спадковість.[2] До провокуючих факторів відносять вживання алкоголю і нітрогліцерину.[2] Це первинний головний біль по типу тригемінальних вегетативних цефалгій.[2] Діагноз ставиться симптоматично.[2]
Рекомендоване ведення пацієнта включає в себе зміну способу життя шляхом уникнення потенційних тригерів.[2] Лікування гострих нападів включає оксигенотерапію або швидкодіючі триптани.[2][4] Рекомендовані заходи щодо зниження частоти нападів включають в себе ін'єкції стероїдів або призначення верапамілу.[4][7] Нервова стимуляція або хірургічне втручання може використовуватися, якщо інші заходи неефективні.[2]
Захворювання вражає приблизно 0,1 % загальної популяції в якийсь момент в їхньому житті і 0,05 % щороку.[6] Вперше виникає переважно у віці від 20 до 40 років.[2] Чоловіки страждають приблизно в чотири рази частіше, ніж жінки.[6] Кластерний головний біль названий так через виникнення груп нападів головного болю (кластерів).[1] Також називається «суїцидальним головним болем».[2]
Історія
Перший повний опис кластерного головного болю зробив в 1926 році в Лондоні невролог Вілфред Гарріс, який назвав захворювання мігренозною невралгією.[8][9][10] Описи кластерного головного болю датують 1745-м роком або, ймовірно, і раніше.[11]
Захворювання спочатку було назване цефалгією Хортона після того, як Баярд Тейлор Хортон, американський невролог, постулював першу теорію її патогенезу. Його оригінальний документ описує тяжкість головного болю, як такий, що може змусити нормального чоловіка вчинити спробу самогубства чи повний суїцид; в його записах 1939-го року сказано:
| Наші пацієнти були інвалідизовані цим розладом і страждали від нападів болю від двох до двадцяти разів на тиждень. Вони не знайшли ніякого полегшення від звичайних методів лікування. Їхній біль був таким сильним, що деякі з них повинні були перебувати під постійним наглядом, задля попередження самогубства. Більшість з них були готові пройти будь-яку операцію, яка може принести полегшення.[12]
Оригінальний текст (англ.) Our patients were disabled by the disorder and suffered from bouts of pain from two to twenty times a week. They had found no relief from the usual methods of treatment. Their pain was so severe that several of them had to be constantly watched for fear of suicide. Most of them were willing to submit to any operation which might bring relief. |
Кластерний головний біль називали/називають еритропрозалгією Бінга, циліарною невралгією, еритромегалією голови, головним болем Хортона, гістаміновою цефалгією, невралгією кам'янистого нерва, клинопіднебінною невралгією, невралгією відіана, невралгією Сладера, синдромом Сладера і ангіопаралітичною гемікранією.[13]
Епідеміологія
Кластерний головний біля уражає близько 0,1 % населення.[6] Чоловіки страждають приблизно учетверо частіше, ніж жінки.[1] Приблизно п'ята частина дорослих повідомляють, що біль з'явився у віці 10—19 років.[14]
Причини
![]() |
![]() |
![]() |
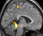
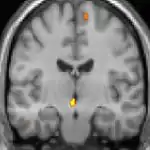
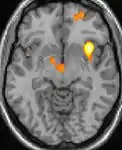
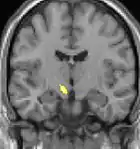
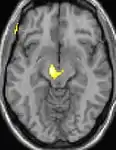
| Позитрон-емісійна томографія (ПЕТ) показує ділянки мозку активовані під час болю | ||
![]() |
![]() |
![]() |
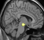
| Воксель-базована морфометрія показує структурні відмінності ділянок мозку | ||
Причини кластерного головного болю невідомі.[15] Кластерні головні болі історично описувались як судинні головні болі, який був викликаний розширенням кровоносних судин, що у свою чергу, створювало тиск на трійчастий нерв. Судинна теорія тепер користується меншої популярністю,[16] розглядаються інші механізми.[17] У третьому виданні Internal Classification of Headache disorders кластерний головний біль класифікується як головний біль, пов'язаний з тригемінальними вегетативними цефалгіями[18]
Генетика
Кластерний головний біль дуже рідко передається у сім'ях за аутосомно-домінантним типом успадкування.[15] Люди, що мають родичів першої лінії з кластерним головним болем, в 14-48 разів більш схильні до розвитку даного стану,[1] а близько 1.9-20 % осіб з кластерним головним болем мають обтяжений сімейний анамнез.[15] Можливо генетичні фактори вимагають подальшого дослідження, сучасні докази генетичного успадкування обмежені.[15]
Тютюнопаління
Близько 65 % осіб з кластерним головним болем є, або були, курцями.[1] Люди з кластерним головним болем часто мають схожий спосіб життя, звички, в тому числі тютюнопаління.[19] Відмова від куріння не призводить до поліпшення стану і кластерний головний біль виникає також у тих, хто ніколи не палив (наприклад, дітей);[1] Вважається малоймовірним, що паління є причиною цього типу головного болю.[1]
Гіпоталамус
Різні доповіді зазначають, що у процес може бути залучене супрахіазматичне ядро в гіпоталамусі, яке є основним біологічним годинником в організмі людини, оскільки кластерний біль характеризується добовою чи сезонною ритмічністю.[20] Також під час нападу було виявлено зниження рівня холіну в еритроцитах.[21]
Позитронно-емісійна томографія (ПЕТ) вказує на ділянки мозку, які активуються тільки під час атаки, в порівнянні з безболісним періодом. Ці зображення показують ділянки мозку, які активні під час болю жовтим/оранжевим кольором (так звана «больова матриця»). Ділянка в центрі (у всіх трьох зрізах) активна тільки під час кластерного головного болю. Нижній ряд показує структурні відмінності головного мозку у людей з і без кластерного болю; відрізняється тільки частина гіпоталамуса[22]
Патогенез
Патогенез недостатньо вивчений.
Кластерний головний біль є циклічним розладом. Всі наявні в даний час факти показують, що цей синдром пов'язаний з біологічним годинником людини. Теорія біологічного годинника частково виникла через циклічну природи цих головних болів і того факту, що вони часто з'являються в один і той же час доби протягом циклу.
Біологічний годинник людини регулює ферментативну діяльність, температуру тіла, гормональну секрецію, а також інші фізіологічні реакції. У хворих кластерним головним болем організм, мабуть, відчуває деякі труднощі з управлінням цими природними ритмами. Гіпоталамус, який керує циклом "сном - неспання", ймовірно, лежить в основі цієї загадки. Він може посилати імпульси центральній нервовій системі, кровоносній системі, змушуючи кровоносні судини розширюватися. Однак, це розширення є наслідком, а не причиною даної хвороби. Рівень вмісту серотоніну може бути ще одним фактором впливу; це хімічна речовина разом з гістаміном регулює біологічний годинник, і анатомічно пов'язано з оком. Вміст гістаміну також може бути причиною цієї проблеми. Гістамін це вазоактивна речовина, що знаходиться впершу чергу в гіпоталамусі, яка розширює кровоносні судини. Вчені виявили, що ін'єкція (введення) невеликої кількості гістаміну пацієнтам провокує головний біль. На цей факт посилаються, як на доказ зв'язку між гістаміном і головним болем.
Багато пацієнтів повідомляють, що вони прокидаються вночі через кластерних головних болів. Вчені встановили, що приблизно в половині випадків це пробудження доводиться на фазу швидкого сну, або, як її ще називають, фазу швидкого руху очей. Причина цього недостатньо вивчена.
Ознаки і симптоми
Кластерні головні болі — це повторювані напади нестерпного одностороннього головного болю[23] екстремальної інтенсивності [24]. Частота нападів по кілька разів на день протягом ряду тижнів, а то і місяців, потім раптово проходить і не відзначається місяці, а то й роки. Тривалість типового нападу кластерного болю коливається від 15 до 180 хвилин. Більшість нелікованих нападів (близько 75 %) тривають менше 60 хвилин.[25]
Напад починається зазвичай швидко і без попередніх ознак (аура), які характерні при мігрені. Попередні відчуття болю в загальній ділянці нападу, так звані «тіні», можуть сигналізувати про неминучий кластерний головний біль, або ці симптоми можуть зберігатися після нападу, або навіть в період між нападами.[26] Тож кластерний головний біль є строго одностороннім. Існують деякі задокументовані випадки «бічного зсуву» у міжкластерні періоди,[27] або, вкрай рідко, одночасний (в рамках одного кластера періоду) двосторонній головний біль.[28]
Біль
Біль виникає тільки з однією сторони голови (односторонній), навколо очей (орбітальний), особливо над оком (надочноямковий), в скроні (скроневий), або в будь-якій комбінації.
Напади кластерного головного болю значно сильніші, ніж при інших головних болях, включаючи сильно виражену мігрень. Біль зазвичай описується як пекучий, колючий, тупий або здавлюючий, і можуть бути локалізований близько або позаду очей.[29] Біль є настільки сильним, що у людей під час нападу можуть виникати думки про самогубство (звідси і походить альтернативне назва «суїцидального головного болю» або «головний біль самогубця»).[30][31] Цей головний біль відмічається як один із найбільш болючих станів.[32]
Хворі, які відчували напади цього болю, розповідали, що це схоже на проколювання очей розпеченою шпицею.
Інші симптоми
Типові симптоми кластерного головного болю включають групове виникнення і рецидивування (кластера) нападів головного болю, різкого одностороннього орбітального, надочноямкового та/або скроневого болю. При відсутності лікування, частота нападів може варіюватися від одного нападу протягом двох діб до восьми нападів в день.[2][33] Напади кластерного головного болю супроводжуються як мінімум одним з таких вегетативних симптомів: опущення повік, звуження зіниць, почервоніння кон'юнктиви, сльозотеча, нежить, рідше, почервоніння обличчя, набряк або пітливість, що як правило, з'являються на тій же стороні голови, що і біль.
При головних болях цього типу для пацієнтів характерний неспокійний стан: наприклад, крокування по кімнаті або похитування назад і вперед. Подібно мігрені, при кластерному головному болі може збільшитися чутливість до світла (фотофобія) або шуму (акустикофобія). Нудота є не частим симптомом, хоча інколи може зустрічатися.[23] Вторинні наслідки можуть включати в себе нездатність організованого мислення, формування планів, фізичне виснаження, сплутаність свідомості, збудження, агресивність, депресію і тривогу.[30]
У людей з кластерним головним болем може виникнути страх перед наступним нападом, через це вони вносять корекції в свою фізичну чи соціальної активність. Також вони можуть звертатися за допомогою щодо виконання завдань, які за інших умов виконали б з легкістю. Вони можуть боятися створювати плани, тому що приблизно передбачують виникнення головного болю, або навпаки, хвилюються, що біль може застати зненацька. Ці фактори можуть призвести до генералізованого тривожного розладу, панічних атак,[30] серйозного депресивного розладу,[34] ігнорування соціального життя а також ізоляції.[35]
Повторні напади
Кластерний головний біль може іноді позначатися як «головний біль-будильник» через регулярність повторення. Часто напади пробуджують людей від сну. Напади можуть мати метрономну регулярність; як правило, виникають в певний момент дня, щоранку або щоночі. Повторення групових нападів кластерного головного болю може відбуватися частіше при сонцестоянні, або сезонних змінах, іноді наявна річна періодичність. Або навпаки, напади часто можуть бути непередбачуваними, не показуючи жодної періодичності взагалі.
Ці спостереження підштовхнули дослідників припустити участь у формуванні болю гіпоталамуса або ж його дисфункцію . Гіпоталамус контролює в організмі «біологічний годинник» та циркадні ритми.[36][37]
При епізодичному кластерному головному болі, напади виникають один або кілька разів на день, часто в той самий час щодня протягом декількох тижнів, після чого наступає період без головного болю, що триває декілька тижнів, місяців або років. Приблизно 10-15 % кластерного головного болю це хронічний біль, з множинним головним болем, що виникає щодня протягом багатьох років, іноді без ремісій.[38]
У відповідності з діагностичними критеріями Міжнародного товариства головного болю (IHS), кластерний головний біль, що виникає впродовж двох або більше кластерних періодів, тривалістю від 7 до 365 днів з ремісією один місяць або довше між нападами головного болю, може бути класифікований як епізодичний. Якщо напади головного болю напади виникають впродовж більше одного року без ремісії не менше одного місяця, стан класифікується як хронічний.[33]
Хронічний кластерний головний біль виникає та повторюється без будь-яких ремісій між циклами; можуть бути варіації в циклах, тобто частота і тяжкість нападів може непередбачувано змінюватися протягом певного періоду часу. Частота, тяжкість і тривалість нападів головного болю, які відчувають люди під час цих циклів коливається і не показує повної ремісії епізодичної форми. Стан може змінюватися з хронічного на епізодичний та навпаки.[39]
Діагноз
При кластерному головному болі часто встановлюють неправильний діагноз, або стан залишається недіагностованим протягом багатьох років; його можна переплутати з мігренню, «кластеро-подібним» головним болем (або таким що його імітує), підтипом кластерного головного болю, такого як тригемінальна вегетативна цефалгія, або з іншим первинним чи вторинним синдромом головного болю.[40] Також кластероподібний біль може бути діагностований як вторинний головний біль.[33]
Детальний збір анамнезу допомагає лікарю провести диференційну діагностику захворювання, оскільки підтверджуючі тести для кластерного головного болю відсутні. Може бути корисним щоденник головного болю для відстеження, коли і де виникає біль, його інтенсивність та тривалість. Запис прийому препаратів чи дій, які покращили стан може допомогти відрізнити тип головного болю; дані про частоту, вираженість та тривалісті нападів головного болю є необхідним інструментом для встановлення вірного діагнозу.[41]
Встановлення правильного діагнозу викликає певні труднощі при вперше виниклому кластерному головному болі, так як не завжди лікарі добре обізнані щодо діагностики рідкісних і складних хронічних захворювань.[25] Лікарі швидкої медичної допомоги навчені для виявлення головного болю цього типу[42], так як самі по собі напади безпосередньо не загрожують життю, але вони пов'язані з підвищеним ризиком самогубства.[30][43]
Особам з кластерним головним болем часто спочатку ставлять інші діагнози.[40][44] Пацієнти неправильно діагностуються у зв'язку з шийними, зубними, нижньощелепними симптомами чи симптомами приносових пазух.[45] Недостатнє розпізнання кластерного головного болю медичними працівниками відзначається у відповідній статистиці в Європі та США, що середній час діагностики становить близько семи років.[46] Студенти отримують недостатню підготовку з диференційованого діагностування та лікування головного болю.[47]
Диференційна діагностика
Кластерний головний біль може бути помилково діагностуватися як мігрень або гайморит.[46] Інші типи головного болю іноді помилково діагностовані як кластерний головний біль. Неправильні терміни, такі як «кластерна мігрень» сплутують типи головного болю, ускладнюють диференційну діагностику і часто є причиною непотрібних діагностичної затримки,[48] в кінцевому підсумку затягування консультування пацієнта відповідним спеціалістом.
Головні болі, які можна сплутати з кластерними включають в себе:
- Хронічна пароксизмальна гемікранія (ХПГ) — це односторонній головний біль, без переважання захворюваності серед чоловічої статі (що як правило, зустрічається при кластерному головному болі). Пароксизмальна гемікранія також може бути епізодичною, але із значно коротшими нападами, ніж ті, які спостерігаються при кластерному головному болі. ХПГ зазвичай повністю усувається протизапальним препаратом індометацином,[33] а при кластерному головному болі, як правило, відсутня позитивна відповідь на індометацин, що робить пробу з індометацином важливим діагностичним інструментом лікарів для правильної диференціальної діагностики між цими станами.[49][50]
- Персистуюча гемікранія[51]
- Короткочасний односторонній невралгієподібний головний біль з кон'юнктивальною ін'єкцією і сльозотечею (SUNCT) — це синдром головного болю, що належать до групи тригемінальних вегетативних цефалгій[33][52]
- Невралгія трійчастого нерва — це односторонній синдром головного болю,[45] або «кластероподібний» головний біль.[53]
Лікування
Лікування кластерного головного болю ділять на три основні категорії: абортивне, перехідне, і профілактичне.[54] Існує два основних методів лікування гострого кластерного головного болю: киснем і триптанами,[2] але вони не використовуються у зв'язку з неправильною діагностикою синдрому.[23] Під час нападів головного болю, слід уникати таких тригерів, як алкоголь, нітрогліцерин.[25]
Кисень
Оксигенотерапія може полегшити перебіг нападу, але це не допомагає запобігти майбутнім епізодам.[2] Як правило, кисень подається через кисневу маску зі швидкістю 12-15 літрів в хвилину протягом 15-20 хвилин.[2] Одне з досліджень показало поліпшення стану протягом 15 хвилин у близько 70 % випадках.[25] Однак доказова ефективність 100 % кисню є низькою.[25][55] Гіпербарична оксигенація під тиском приблизно у 2 рази більше атмосферного тиску може полегшити кластерний головний біль.[55]
Триптани
При гострому нападі першочерговою рекомендованою терапією є підшкірне або інтраназальне введення суматриптану.[56] Суматриптан і золмітриптан показані для поліпшення симптомів під час нападу.[57] Через судинозвужувальний побічний ефект триптани можуть бути протипоказані людям з ішемічною хворобою серця.[2]
Опіоїди
Використання опіоїдних препаратів при лікуванні кластерного головного болю не рекомендується[58] і може погіршити синдром головного болю.[59][60] Довгостроковий прийом опіоїдів може призвести до звикання, наркоманії.[61] Призначення опіоїдів може призвести до відтермінування встановлення вірного діагнозу та неправильного лікування, ведення пацієнта.[58]
Хірургія
Нейростимуляція може бути варіантом для невеликої кількість людей, стан яких не поліпшується за допомогою ліків.[62][63] Дві процедури можуть бути ефективними: глибока стимуляція головного мозку або потиличного нерва;[2] ранній досвід показує перевагу приблизно в 60 % випадків.[64] Для виявлення переваги процедури, як правило, проходить декілька тижнів або місяців .[63] Неінвазивний метод за допомогою черезшкірної електричної стимуляції нервів (ЧЕСН) вивчається.[63]
Ряд хірургічних процедур, таких як ризотомія і мікроваскулярна декомпресія, також можуть бути розглянуті,[63] але докази щодо їхньої користі обмежені, і є люди, чиї симптоми погіршуються після цих процедур.[63]
Профілактика
Профілактична терапія використовуються з метою зменшення або усунення нападів кластерного головного болю. Вона зазвичай використовуються в поєднанні з абортивними та перехідними методиками.[23]
Верапаміл
Рекомендованим препаратом першої лінії превентивної терапії є верапаміл, блокатор кальцієвих каналів.[2][56] Раніше верапаміл недостатньо використовувався пацієнтами з кластерним головним болем.[23]
Глюкокортикоїди
Ефективність використання глюкокортикоїдів[2] не доведена, але вони можуть бути використані, поки інші ліки вступають в силу.[2] Гормони, як правило, відміняються після 8-10 днів лікування.[23]
Інші
Літій, метисергід, і топірамат є рекомендованими альтернативними варіантами лікування,[56][66] хоча існу небагато доказів на підтримку використання топірамату або метисергіду.[2][67], а також для тіанептін, мелатонін, і ерготаміну.[2] Вальпроат, суматриптан, та кисень не рекомендуються в якості профілактичних заходів.[2] Ін'єкції ботулотоксину показали обмежений успіх.[68] Доказовість баклофену, ботулотоксину та капсаїцину нез'ясована.[67]
Суспільство і культура
Роберт Шапіро, професор неврології, каже, що поки в кластерний головний біль є приблизно так само поширеним, як розсіяний склероз та має аналогічний ступінь інвалідності. Однак в 2013 році, в США Національний інститут здоров'я витратив $1.872 млрд на проведення досліджень в області розсіяного склерозу за одне десятиліття, але менше, ніж $2 млн на дослідження кластерного головного болю за 25 років.[69] У зв'язку з виникненням суїцидальних думок під час нападу, кластерний головний біль інколи називається «суїцидальним головним болем».[30]
Станом на липень 2015 немає жодних затверджених препаратів для профілактики кластерного головного болю у Сполучених Штатах.[70]
Напрямки досліджень
Дані деяких спірних випадків показують, що споживання триптамінів, таких як ЛСД, псилоцибін або ДМТ може зменшити біль і перервати кластерний головний біль циклами.[71][72] В 2006 році було проведено інтерв'ю/опитування 53 осіб з кластерними головними болями, дані якого свідчать, що псилоцибін здатний продовжити період ремісії у 10 % випадків.[72] Опитування не було сліпим або контрольованим дослідженням.[71]
Fremanezumab, людське моноклональне антитіло, яке спрямоване проти кальцитонін-ген-споріднених пептидів альфа і бета та знаходиться у третій фазі клінічних випробувань проти кластерного головного болю.[73][74]
Джерела
- Nesbitt, A. D.; Goadsby, P. J. (2012). Cluster headache. BMJ 344: e2407. PMID 22496300. doi:10.1136/bmj.e2407.
- Weaver-Agostoni, J (2013). Cluster headache. American Family Physician 88 (2): 122–8. PMID 23939643.
- Rizzoli, P; Mullally, WJ (20 вересня 2017). Headache.. The American Journal of Medicine 131: 17–24. PMID 28939471. doi:10.1016/j.amjmed.2017.09.005.
- Robbins, Matthew S.; Starling, Amaal J.; Pringsheim, Tamara M.; Becker, Werner J.; Schwedt, Todd J. (2016). Treatment of Cluster Headache: The American Headache Society Evidence-Based Guidelines. Headache 56 (7): 1093–106. PMID 27432623. doi:10.1111/head.12866.
- May A., Schwedt T. J., Magis D. et al. Cluster headache // Nature reviews. Disease primers — NPG, Springer Nature, Springer Science+Business Media, 2018. — Vol. 4. — P. 18006. — ISSN 2056-676X — doi:10.1038/NRDP.2018.6
- Fischera, M; Marziniak, M; Gralow, I; Evers, S (2008). The Incidence and Prevalence of Cluster Headache: A Meta-Analysis of Population-Based Studies. Cephalalgia 28 (6): 614–8. PMID 18422717. doi:10.1111/j.1468-2982.2008.01592.x.
- Gaul, C; Diener, H; Müller, OM (2011). Cluster Headache Clinical Features and Therapeutic Options. Deutsches Ärzteblatt International. Review 108 (33): 543–549. PMC 3167933. PMID 21912573. doi:10.3238/arztebl.2011.0543.
- Harris W.: Neuritis and Neuralgia. p. 307-12. Oxford: Oxford University Press 1926.
- Bickerstaff E (1959). The periodic migrainous neuralgia of Wilfred Harris. The Lancet 273 (7082): 1069–71. PMID 13655672. doi:10.1016/S0140-6736(59)90651-8.
- Boes, CJ; Capobianco, DJ; Matharu, MS; Goadsby, PJ (2016). Wilfred Harris' Early Description of Cluster Headache. Cephalalgia 22 (4): 320–6. PMID 12100097. doi:10.1046/j.1468-2982.2002.00360.x.
- Pearce, J M S (2007). Gerardi van Swieten: Descriptions of episodic cluster headache. Journal of Neurology, Neurosurgery & Psychiatry 78 (11): 1248–9. PMC 2117620. PMID 17940171. doi:10.1136/jnnp.2007.123091.
- Horton BT, MacLean AR, Craig WM (1939). A new syndrome of vascular headache: results of treatment with histamine: preliminary report. Mayo Clinic Proceedings 14: 257.
- Headache in Clinical Practice (вид. Second). Taylor & Francis. 2002.[сторінка?]
- Ishaq Abu-Arafeh; Aynur Özge (2016). Headache in Children and Adolescents: A Case-Based Approach. Springer International Publishing Switzerland. с. 62–. ISBN 978-3-319-28628-0. Архів оригіналу за 10 вересня 2017.
- Pinessi, L.; Rainero, I.; Rivoiro, C.; Rubino, E.; Gallone, S. (2005). Genetics of cluster headache: An update. The Journal of Headache and Pain 6 (4): 234–6. PMC 3452030. PMID 16362673. doi:10.1007/s10194-005-0194-x.
- Goadsby, Peter J. (2009). The vascular theory of migraine—a great story wrecked by the facts. Brain 132 (Pt 1): 6–7. PMID 19098031. doi:10.1093/brain/awn321.
- Leone, Massimo; Cecchini, Alberto Proietti; Tullo, Vincenzo; Curone, Marcella; Di Fiore, Paola; Bussone, Gennaro (2013). Cluster headache: What has changed since 1999?. Neurological Sciences 34 (1): 71–4. PMID 22193419. doi:10.1007/s10072-013-1365-1.
- Headache Classification Committee of the International Headache Society (IHS) (2013). The International Classification of Headache Disorders, 3rd edition (beta version). Cephalalgia 33 (9): 629–808. PMID 23771276. doi:10.1177/0333102413485658.
- Schürks, Markus; Diener, Hans-Christoph (2008). Cluster headache and lifestyle habits. Current Pain and Headache Reports 12 (2): 115–21. PMID 18474191. doi:10.1007/s11916-008-0022-5.
- Pringsheim, Tamara (February 2002). Cluster headache: evidence for a disorder of circadian rhythm and hypothalamic function. Canadian Journal of Neurological Sciences 29 (1): 33–40. PMID 11858532. doi:10.1017/S0317167100001694.
- de Belleroche J, Clifford Rose F, Das I, Cook GE. (1984). Metabolic abnormality in cluster headache.. Headache 24: 310–2. PMID 6519980. doi:10.1111/j.1526-4610.1984.hed2406310.x.
- Dasilva, Alexandre F. M.; Goadsby, Peter J.; Borsook, David (2007). Cluster headache: A review of neuroimaging findings. Current Pain and Headache Reports 11 (2): 131–6. PMID 17367592. doi:10.1007/s11916-007-0010-1.
- Beck E, Sieber WJ, Trejo R (February 2005). Management of cluster headache. Am Fam Physician (Review) 71 (4): 717–24. PMID 15742909. Архів оригіналу за 13 листопада 2015.
- Capobianco, David; Dodick, David (2006). Diagnosis and Treatment of Cluster Headache. Seminars in Neurology 26 (2): 242–59. PMID 16628535. doi:10.1055/s-2006-939925.
- Friedman, Benjamin Wolkin; Grosberg, Brian Mitchell (2009). Diagnosis and Management of the Primary Headache Disorders in the Emergency Department Setting. Emergency Medicine Clinics of North America 27 (1): 71–87, viii. PMC 2676687. PMID 19218020. doi:10.1016/j.emc.2008.09.005.
- Marmura, Michael J; Pello, Scott J; Young, William B (2010). Interictal pain in cluster headache. Cephalalgia 30 (12): 1531–4. PMID 20974600. doi:10.1177/0333102410372423.
- Meyer, Eva Laudon; Laurell, Katarina; Artto, Ville; Bendtsen, Lars; Linde, Mattias; Kallela, Mikko; Tronvik, Erling; Zwart, John-Anker; Jensen, Rikke M.; Hagen, Knut (2009). Lateralization in cluster headache: A Nordic multicenter study. The Journal of Headache and Pain 10 (4): 259–63. PMC 3451747. PMID 19495933. doi:10.1007/s10194-009-0129-z.
- Bahra, A; May, A; Goadsby, PJ (2002). Cluster headache: A prospective clinical study with diagnostic implications. Neurology 58 (3): 354–61. PMID 11839832. doi:10.1212/wnl.58.3.354. Архів оригіналу за 9 February 2017.
- Noshir Mehta; George E. Maloney; Dhirendra S. Bana; Steven J. Scrivani (20 вересня 2011). Head, Face, and Neck Pain Science, Evaluation, and Management: An Interdisciplinary Approach. John Wiley & Sons. с. 199–. ISBN 978-1-118-20995-0. Архів оригіналу за 14 лютого 2017.
- Robbins, Matthew S. (2013). The Psychiatric Comorbidities of Cluster Headache. Current Pain and Headache Reports 17 (2): 313. PMID 23296640. doi:10.1007/s11916-012-0313-8.
- The 5-Minute Sports Medicine Consult (вид. 2). Lippincott Williams & Wilkins. 2012. с. 87. ISBN 9781451148121. Архів оригіналу за 10 вересня 2017.
- Matharu, Manjit S; Goadsby, Peter J (2014). Cluster headache: Focus on emerging therapies. Expert Review of Neurotherapeutics 4 (5): 895–907. PMID 15853515. doi:10.1586/14737175.4.5.895.
- IHS Classification ICHD-II 3.1 Cluster headache. The International Headache Society. Архів оригіналу за 3 листопада 2013. Процитовано 3 січня 2014.
- Liang, Jen-Feng; Chen, Yung-Tai; Fuh, Jong-Ling; Li, Szu-Yuan; Liu, Chia-Jen; Chen, Tzeng-Ji; Tang, Chao-Hsiun; Wang, Shuu-Jiun (2012). Cluster headache is associated with an increased risk of depression: A nationwide population-based cohort study. Cephalalgia 33 (3): 182–9. PMID 23212294. doi:10.1177/0333102412469738.
- Jensen, RM; Lyngberg, A; Jensen, RH (2016). Burden of Cluster Headache. Cephalalgia 27 (6): 535–41. PMID 17459083. doi:10.1111/j.1468-2982.2007.01330.x.
- Pringsheim, Tamara (2014). Cluster Headache: Evidence for a Disorder of Circadian Rhythm and Hypothalamic Function. The Canadian Journal of Neurological Sciences 29 (1): 33–40. PMID 11858532. doi:10.1017/S0317167100001694.
- Dodick, David W.; Eross, Eric J.; Parish, James M. (2003). Clinical, Anatomical, and Physiologic Relationship Between Sleep and Headache. Headache: the Journal of Head and Face Pain 43 (3): 282–92. PMID 12603650. doi:10.1046/j.1526-4610.2003.03055.x.
- Cluster headaches:Pattern of attacks. NHS. Gov.UK. 22 травня 2017. Процитовано 13 грудня 2018.
- Torelli, Paola; Manzoni, Gian Camillo (2002). What predicts evolution from episodic to chronic cluster headache?. Current Pain and Headache Reports 6 (1): 65–70. PMID 11749880. doi:10.1007/s11916-002-0026-5.
- Van Vliet, J A (2003). Features involved in the diagnostic delay of cluster headache. Journal of Neurology, Neurosurgery & Psychiatry 74 (8): 1123–5. PMC 1738593. PMID 12876249. doi:10.1136/jnnp.74.8.1123.
- Headache diary: helping you manage your headache (PDF). NPS.org.au. Архів оригіналу за 21 вересня 2013. Процитовано 2 січня 2014.
- Clarke, C E (2005). Ability of a nurse specialist to diagnose simple headache disorders compared with consultant neurologists. Journal of Neurology, Neurosurgery & Psychiatry 76 (8): 1170–2. PMC 1739753. PMID 16024902. doi:10.1136/jnnp.2004.057968.
- Cluster headache. MedlinePlus Medical Encyclopedia. 2 листопада 2012. Архів оригіналу за 5 April 2014. Процитовано 5 квітня 2014.
- Bahra, A.; Goadsby, P. J. (2004). Diagnostic delays and mis-management in cluster headache. Acta Neurologica Scandinavica 109 (3): 175–9. PMID 14763953. doi:10.1046/j.1600-0404.2003.00237.x.
- Van Alboom, E; Louis, P; Van Zandijcke, M; Crevits, L; Vakaet, A; Paemeleire, K (2009). Diagnostic and therapeutic trajectory of cluster headache patients in Flanders. Acta neurologica Belgica 109 (1): 10–7. PMID 19402567.
- Tfelt-Hansen, Peer C.; Jensen, Rigmor H. (2012). Management of Cluster Headache. CNS Drugs 26 (7): 571–80. PMID 22650381. doi:10.2165/11632850-000000000-00000.
- Ahmed F (2012). Headache disorders: differentiating and managing the common subtypes. British Journal of Pain 6 (3): 124–32. PMC 4590146. PMID 26516483. doi:10.1177/2049463712459691.
- Klapper, Jack A.; Klapper, Amy; Voss, Tracy (2000). The Misdiagnosis of Cluster Headache: A Nonclinic, Population-Based, Internet Survey. Headache 40 (9): 730–5. PMID 11091291. doi:10.1046/j.1526-4610.2000.00127.x.
- Prakash, Sanjay; Shah, Nilima D; Chavda, Bhavna V (2010). Cluster headache responsive to indomethacin: Case reports and a critical review of the literature. Cephalalgia 30 (8): 975–82. PMID 20656709. doi:10.1177/0333102409357642.
- Sjaastad, O; Vincent, M (2010). Indomethacin responsive headache syndromes: Chronic paroxysmal hemicrania and Hemicrania continua. How they were discovered and what we have learned since. Functional neurology 25 (1): 49–55. PMID 20626997.
- Sanjay Prakash, Nilima D Shah, Bhavna V Chavda (2010). Cluster headache responsive to indomethacin: Case reports and a critical review of the literature. Cephalalgia. doi:10.1177/0333102409357642.
- Rizzoli, P; Mullally, WJ (September 2017). Headache. American Journal of Medicine (Review). S0002-9343 (17): 30932–4. PMID 28939471. doi:10.1016/j.amjmed.2017.09.005.
- Benoliel, Rafael (2012). Trigeminal autonomic cephalgias. British Journal of Pain 6 (3): 106–23. PMC 4590147. PMID 26516482. doi:10.1177/2049463712456355.
- Nalini Vadivelu; Alan David Kaye; Jack M. Berger (28 листопада 2012). Essentials of palliative care. New York, NY: Springer. с. 335. ISBN 9781461451648. Архів оригіналу за 10 вересня 2017.
- Bennett, Michael H; French, Christopher; Schnabel, Alexander; Wasiak, Jason; Kranke, Peter; Weibel, Stephanie (2015). Normobaric and hyperbaric oxygen therapy for the treatment and prevention of migraine and cluster headache. Cochrane Database of Systematic Reviews. с. CD005219. PMID 26709672. doi:10.1002/14651858.CD005219.pub3.
- May, A.; Leone, M.; Áfra, J.; Linde, M.; Sándor, P. S.; Evers, S.; Goadsby, P. J. (2006). EFNS guidelines on the treatment of cluster headache and other trigeminal-autonomic cephalalgias. European Journal of Neurology 13 (10): 1066–77. PMID 16987158. doi:10.1111/j.1468-1331.2006.01566.x.
- Law, Simon; Derry, Sheena; Moore, R Andrew (2013). Triptans for acute cluster headache. Cochrane Database of Systematic Reviews. The Cochrane Database of Systematic Reviews (4). с. CD008042. PMC 4170909. PMID 20393964. doi:10.1002/14651858.cd008042.pub3.
- Paemeleire, Koen; Evers, Stefan; Goadsby, Peter J. (2008). Medication-overuse headache in patients with cluster headache. Current Pain and Headache Reports 12 (2): 122–7. PMID 18474192. doi:10.1007/s11916-008-0023-4.
- Johnson, Jacinta L; Hutchinson, Mark R; Williams, Desmond B; Rolan, Paul (2012). Medication-overuse headache and opioid-induced hyperalgesia: A review of mechanisms, a neuroimmune hypothesis and a novel approach to treatment. Cephalalgia 33 (1): 52–64. PMID 23144180. doi:10.1177/0333102412467512.
- Watkins, Linda R.; Hutchinson, Mark R.; Rice, Kenner C.; Maier, Steven F. (2009). The "Toll" of Opioid-Induced Glial Activation: Improving the Clinical Efficacy of Opioids by Targeting Glia. Trends in Pharmacological Sciences 30 (11): 581–91. PMC 2783351. PMID 19762094. doi:10.1016/j.tips.2009.08.002.
- Saper, Joel R.; Da Silva, Arnaldo Neves (2013). Medication Overuse Headache: History, Features, Prevention and Management Strategies. CNS Drugs 27 (11): 867–77. PMID 23925669. doi:10.1007/s40263-013-0081-y.
- Magis, Delphine; Schoenen, Jean (2011). Peripheral Nerve Stimulation in Chronic Cluster Headache. Peripheral Nerve Stimulation. Progress in Neurological Surgery 24. с. 126–32. ISBN 978-3-8055-9489-9. PMID 21422783. doi:10.1159/000323045.
- Martelletti, Paolo; Jensen, Rigmor H; Antal, Andrea; Arcioni, Roberto; Brighina, Filippo; De Tommaso, Marina; Franzini, Angelo; Fontaine, Denys; Heiland, Max; Jürgens, Tim P; Leone, Massimo; Magis, Delphine; Paemeleire, Koen; Palmisani, Stefano; Paulus, Walter; May, Arne (2013). Neuromodulation of chronic headaches: Position statement from the European Headache Federation. The Journal of Headache and Pain 14: 86. doi:10.1186/1129-2377-14-86.
- Bartsch, Thorsten; Paemeleire, Koen; Goadsby, Peter J (2009). Neurostimulation approaches to primary headache disorders. Current Opinion in Neurology 22 (3): 262–8. PMID 19434793. doi:10.1097/wco.0b013e32832ae61e.
- Matharu, M (2010). Cluster headache. BMJ clinical evidence 2010. PMC 2907610. PMID 21718584.
- Evers, Stefan (2010). Pharmacotherapy of cluster headache. Expert Opinion on Pharmacotherapy 11 (13): 2121–7. PMID 20569084. doi:10.1517/14656566.2010.496454.
- Matharu M (9 лютого 2010). Cluster headache. Clinical evidence (Review) 2010. PMC 2907610. PMID 21718584.
- Ailani, Jessica; Young, William B. (2009). The role of nerve blocks and botulinum toxin injections in the management of cluster headaches. Current Pain and Headache Reports 13 (2): 164–7. PMID 19272284. doi:10.1007/s11916-009-0028-7.
- Johnson, Tim (16 травня 2013). Researcher works to unlock mysteries of migraines. USA Today. Архів оригіналу за 17 травня 2013. Процитовано 4 січня 2013.
- Lilly's investigational medicine for prevention of migraine met primary endpoint in a Phase 2b study. Indianapolis, Indiana: Eli Lilly and Company. 17 червня 2015. Архів оригіналу за 18 червня 2015. Процитовано 18 червня 2015.
- Sun-Edelstein, Christina; Mauskop, Alexander (2011). Alternative Headache Treatments: Nutraceuticals, Behavioral and Physical Treatments. Headache 51 (3): 469–83. PMID 21352222. doi:10.1111/j.1526-4610.2011.01846.x.
- Vollenweider, Franz X.; Kometer, Michael (2010). The neurobiology of psychedelic drugs: Implications for the treatment of mood disorders. Nature Reviews Neuroscience 11 (9): 642–51. PMID 20717121. doi:10.1038/nrn2884.
- A Study Comparing the Efficacy and Safety of TEV-48125 (Fremanezumab) for the Prevention of Chronic Cluster Headache (CCH). ClinicalTrials.gov.
- A Study to Evaluate the Efficacy and Safety of TEV-48125 (Fremanezumab) for the Prevention of Episodic Cluster Headache (ECH). ClinicalTrials.gov.






