Краніофарингіома
Краніофарингіома — це вроджена пухлина головного мозку, що походить з епітеліальних ембріональних клітин гіпофізу. Краніофарингіома діагностується переважно у пацієнтів дитячого віку, проте може зустрічатись у дорослих старших 50 років. Краніофарингіома відносно рідкісна пухлина, частота якої становить 2 на 100000 населення.[1]
| Краніофарингіома | |
|---|---|
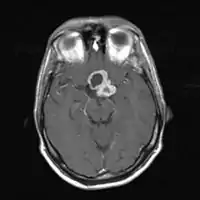
![]() Знімок МРТ головного мозку. На аксіальній томограмі визначається новоутворення з кістозним та солідним компонентами - краніофарингіома Знімок МРТ головного мозку. На аксіальній томограмі визначається новоутворення з кістозним та солідним компонентами - краніофарингіома | |
| Спеціальність | онкологія |
| Класифікація та зовнішні ресурси | |
| МКХ-11 | XH1AZ2 |
| МКХ-10 | D44.4 |
| МКХ-О | 9350/1 |
| DiseasesDB | 3153 |
| MedlinePlus | 000345 |
| eMedicine | radio/196 |
| MeSH | D003397 |
| | |
Патологічна анатомія
Гістопатологічна картина краніофарингіоми демонструє сквамозний епітелій, з якого формується один з гістологічних типи пухлини: адамантиномна краніофарингіома та папілярна краніофарингіома. При адамантиномній краніофарингіомі визначаються кальцифікати, що дозволяє визначати таку пухлину за допомогою МРТ.
Клінічна картина
Краніофарингіома призводить до підвищення внутрішньочерепного тиску та може стискати зоровий нерв в ділянці хіазми, що призводить до розвитку головних болів та порушення зору.[2] Можуть виникати порушення сну, при ураженні ділянки ІІІ шлуночка. Краніофарингіома може бути причиною нецукрового центрального діабету.[3]
Діагностика
Виконуються комп'ютерна томографія або МРТ головного мозку, завдяки яким можна визначити краніофарингіому.
Лікування
Лікування оперативне, яке при можливості повинно бути направленим на тотальне видалення краніофарингіоми.
Посилання
- Garnett MR, Puget S, Grill J, Sainte-Rose C (2007). Craniopharyngioma. Orphanet journal of rare diseases 2: 18. PMC 1855047. PMID 17425791. doi:10.1186/1750-1172-2-18.
- Garrè ML, Cama A (2007). Craniopharyngioma: modern concepts in pathogenesis and treatment. Curr. Opin. Pediatr. 19 (4): 471–9. PMID 17630614. doi:10.1097/MOP.0b013e3282495a22.
- Кирилюк М.Л. (2013). Центральный несахарный диабет. BМеждународный эндокринологический журнал 53 (5).
