Лізосомні хвороби накопичення
Лізосомні хвороби накопичення (англ. Lysosomal Storage Diseases) — загальна назва групи досить рідкісних спадкових захворювань, які характеризуються порушенням внутрішньоклітинного розщеплення сполук, що містять вуглеводи, що пов'язано з порушенням функції внутрішньоклітинних органел лізосом у результаті генетично обумовленого дефіциту ферментів, що веде до накопичення макромолекул (наприклад, глікогену, глікозаміногліканів) у різних органах і тканинах організму[1][2][3][4][5].
| Лізосомні хвороби накопичення | |
|---|---|
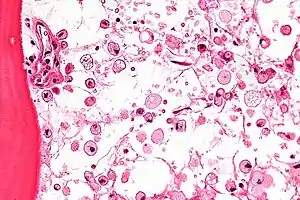
![]() На мікрофотографії відображені характерні зміни будови кісткового мозку при хворобі Гоше — цитоплазма макрофагів нагадує зім'ятий цигарковий папір. Фарбування гематоксиліном-еозином. На мікрофотографії відображені характерні зміни будови кісткового мозку при хворобі Гоше — цитоплазма макрофагів нагадує зім'ятий цигарковий папір. Фарбування гематоксиліном-еозином. | |
| Спеціальність | ендокринологія |
| Класифікація та зовнішні ресурси | |
| МКХ-10 | E75-E77 |
| MeSH | D016464 |
| | |
Лізосомні хвороби накопичення об'єднують безліч хвороб накопичення ліпідів, мукополісахаридози (наприклад, мукополісахаридоз VI типу, або синдром Марото-Ламі, що лікується за допомогою галсульфази), муколіпідози, хвороби накопичення глікопротеїнів, глікогенози та інші. Найчастіше ферментна недостатність має під собою аутосомно-рецесивну основу, за винятком мукополісахаридозу Хантера (МПС II), що успадковується як зчеплена з Х-хромосомою рецесивна ознака, і хвороби Фабрі — захворювання, зчепленого з Х-хромосомою, що досить часто проявляється у жінок, але в легкій формі[2][4].
Див. також
- Спадкові захворювання
- Хвороба Гоше
Примітки
- Внутренние болезни: учебник: в 2 т. / под ред. В. С. Моисеева, А. И. Мартынова, Н. А. Мухина. - 3-е изд., испр. и доп. - 2013. - Т.2. - 896 с.: ил.. ЧАСТЬ XIII. Наследственные болезни накопления (рос.). vmede.org. Процитовано 5 листопада 2014. (рос.)
- Биофайл (научно-информационный журнал):. Лизосомные болезни накопления (рос.). biofile.ru. Процитовано 5 листопада 2014. (рос.)
- База знаний по биологии человека:. Лизосомные болезни (болезни лизосомного накопления) (рос.). humbio.ru. Процитовано 5 листопада 2014. (рос.)
- Внутренние болезни. Нарушения обмена веществ:. Глава 316. Лизосомные болезни накопления (рос.). rusmedserver.ru. Процитовано 5 листопада 2014. (рос.)
- Лизосомные болезни накопления:. Болезнь Гоше (рос.). womanadvice.ru. Процитовано 5 листопада 2014. (рос.)
