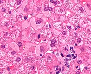
Матово-склоподібні гепатоцити
Матово-склоподібні гепатоцити (англ. ground glass hepatocyte), GGH) — це патологічні клітини паренхіми печінки з імлистим і рівномірно тьмяним виглядом цитоплазми при світловій мікроскопії. Рівномірне еозинофільне забарвлення цитоплазми спричинене присутністю HBsAg.

Мікрофотографія що показує матово-склоподібні гепатоцити
Цей вигляд зазвичай пов'язують з великою кількістю антигену гепатиту B у ендоплазматичному ретикулумі, хоча також може спричинюватись і ліками.[1][2] В контексті гепатиту B, матово-склоподібні гепатоцити спостерігаються лише при хронічній інфекції, і не спостерігались при гострій.
Матово-склоподібні гепатоцити були вперше описані Гадзіяннісом та ін..[2][3]
Типи МСГ
Розрізняють кілька різних типів МСГ:[4]
- Тип I — морфологічно складаються з МСГ що поодиноко розкидані і слабо позитивні на Pre-S2 імунофарбування.
- Тип II — морфологічно складаються з МСГ що збираються в кластери і негативні на Pre-S2 імунофарбування.
Додаткові зображення
Зноски
- Cohen, C (Aug 1975). "Ground-glass" hepatocytes. S Afr Med J 49 (34): 1401–3. PMID 1162516.
- Su, IJ; Wang, HC; Wu, HC; Huang, WY (Aug 2008). Ground glass hepatocytes contain pre-S mutants and represent preneoplastic lesions in chronic hepatitis B virus infection. J Gastroenterol Hepatol 23 (8 Pt 1): 1169–74. PMID 18505413. doi:10.1111/j.1440-1746.2008.05348.x.
- Hadziyannis, S; Gerber, MA; Vissoulis, C; Popper, H (Nov 1973). Cytoplasmic hepatitis B antigen in "ground-glass" hepatocytes of carriers. Arch Pathol 96 (5): 327–30. PMID 4582440.
- Wang, HC; Wu, HC; Chen, CF; Fausto, N; Lei, HY; Su, IJ (Dec 2003). Different Types of Ground Glass Hepatocytes in Chronic Hepatitis B Virus Infection Contain Specific Pre-S Mutants that May Induce Endoplasmic Reticulum Stress. Am J Pathol 163 (6): 2441–9. PMC 1892360. PMID 14633616. doi:10.1016/S0002-9440(10)63599-7. Available at: http://www.pubmedcentral.nih.gov/articlerender.fcgi?tool=pubmed&pubmedid=14633616. Accessed on: September 11, 2009.
Посилання
This article is issued from Wikipedia. The text is licensed under Creative Commons - Attribution - Sharealike. Additional terms may apply for the media files.


