Мозкова речовина надниркової залози
Мозкова речовина надниркової залози – частина надниркової залози, що оточена кірковою речовиною та відмежована від останньої сполучнотканинним прошарком.[2][3]
| Мозкова речовина надниркової залози | |
|---|---|
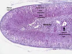
![]() Мікрофотознімок наднирника (фарбування Г&Е). В центрі знімку розташована мозкова речовина (medulla).
Кiркова речовина по периферії:
| |
| Деталі | |
| Попередник | Інтерреналове тіло |
| Ідентифікатори | |
| Латина | medulla glandulae suprarenalis |
| Анатомія Грея | subject #277 |
| MeSH | D000313 |
| TA98 | A11.5.00.008 |
| TA2 | 3882 |
| FMA | 15633[1] |
| Анатомічна термінологія | |
Гістологія
Клітини мозкової речовини мають округлу або полігональну форму та згруповані навколо капілярних судин. Мозкову речовину формують хромафінні клітини — епінефроцити та норепінефроцити, що синтезують катехоламіни, адреналін та норадреналін, відповідно. Також в мозковій речовини синтезується невелика кількість гормону дофаміну.
Епінефроцити
Клітини характеризуються світлою цитоплазмою, що заповнена секреторними гранулами. Епінефроцити синтезують адреналін (епінефрин).
Норепінефроцити
Клітини характеризуються темною цитоплазмою, синтезують норадреналін (норепінефрин).
Функція
Синтез катехоламінів відбувається як реакція організму на стрес. Катехоламіни призводять до підвищення частоти серцевих скорочень, артеріального тиску, вазоконстрикції судин шкіри та тканин органів ШКТ, розслаблення гладенької мускулатури та відіграють ключову роль в фізіологічній реакції «бий або біжи» (fight or flight) при якому відбувається мобілізація сил огранізму при виникненні певого виду загрози здоров'ю або життю.
Посилання
This article is issued from Wikipedia. The text is licensed under Creative Commons - Attribution - Sharealike. Additional terms may apply for the media files.
