Мієлодиспластичні синдроми
Мієлодиспласти́чні синдро́ми або МДС (англ. Myelodysplastic syndromes) — група набутих злоякісних клональних порушень стовбурових гематопоетичних клітин, які мають різноманітні клінічні прояви, морфологічні характеристики та цитогенетичні аномалії. Найхарактернішим проявом МДС є неефективне кровотворення — розвивається периферична цитопенія (одно-, дво- чи триросткова)[2].
| Мієлодиспластичні синдроми | |
|---|---|
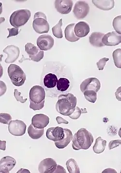
![]() Зразок крові жінки, яка хворіє на один з мієлодиспластичних синдромів, який виник через радіотерапію та хіміотерапію при лікуванні хворо́би Хо́джкіна Зразок крові жінки, яка хворіє на один з мієлодиспластичних синдромів, який виник через радіотерапію та хіміотерапію при лікуванні хворо́би Хо́джкіна | |
| Спеціальність | Гематологія |
| Препарати | Золінза[1], Дефероксамін[1], Епоетин альфа[1], deferiproned[1], Філграстим[1], nivolumabd[1], (RS)-lenalidomided[1], циклоспорин[1], decitabined[1], Цитарабін[1], Romiplostimd[1], azacitidined[1], eltrombopagd[1], руксолітиніб[1], іпілімумабd[1], deferasiroxd[1], venetoclaxd[1] і Талідомід[1] |
| Класифікація та зовнішні ресурси | |
| МКХ-11 | XH7PK9 |
| МКХ-10 | D46 |
| МКХ-О | M9989/3 |
| OMIM | 614286 |
| DiseasesDB | 8604 |
| eMedicine | med/2695 ped/1527 |
| MeSH | D009190 |
| SNOMED CT | 109995007 |
| | |
Примітки
- Drug Indications Extracted from FAERS — doi:10.5281/ZENODO.1435999
- Проект наказу МОЗ «Про затвердження клінічних протоколів лікування хронічної мієлолейкемії та мієлодиспластичного синдрому у дітей». Архів оригіналу за 14 вересня 2016. Процитовано 3 березня 2016.
This article is issued from Wikipedia. The text is licensed under Creative Commons - Attribution - Sharealike. Additional terms may apply for the media files.
