Набряк легень
Набряк легень — тяжкий, загрозливий для життя стан, синдром, що виникає внаслідок виходу рідкої частини крові з судинного русла через альвеолярно-капілярну стінку у повітроносну частину легені при підвищеному тиску крові у легеневих венах та капілярах або в результаті збільшення проникності альвеолярно-капілярної стінки.
| Набряк легень | |
|---|---|
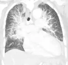
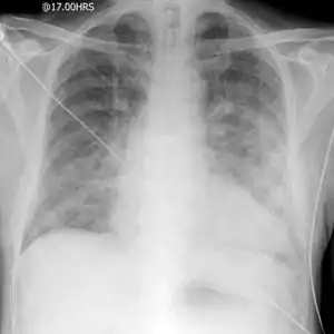
![]() Класична рентгенограма набряку легень Класична рентгенограма набряку легень | |
| Спеціальність | пульмонологія |
| Препарати | bumetanided[1], фуросемід[1][2], Кислота етакринова[1], торасемід[1], ethacrynate sodiumd[1] і mannitol hexanitrated[1] |
| Класифікація та зовнішні ресурси | |
| МКХ-11 | CB01 |
| МКХ-10 | J81 |
| DiseasesDB | 11017 |
| MedlinePlus | 000140 |
| eMedicine | med/1955 radio/581 |
| MeSH | D011654 |
| | |
Етіологія і патогенез
При набряку легень в альвеолах та бронхах скупчується рідина (транссудат) з невеликим поверхневим натягненням внаслідок білка, що міститься в ній, і тому піниться. Вона просякає також інтерстиціальну тканину легень. Розвивається клінічна картина тяжкої ядухи.
Причини виникнення набряку різноманітні. Найчастіше він є наслідком застою у малому колі кровообігу. Це призводить до збільшення тиску у легеневих капілярах та посилену транссудацію. Можуть бути й інші причини: збільшена проникність судин малого кола кровообігу, виражена схильність легеневої тканини зв'язувати воду, зменшення онкотичного та осмотичного тиску крові, порушення лімфовідтоку у басейні легень, розширення сумарної фільтраційної поверхні легень.
При тяжких захворюваннях ці причини нерідко взаємодіють між собою, а їхній ефект потенціюється збільшенням загального об'єму циркулюючої крові, вираженою вегетодистонією (переважання тонусу симпатичного відділу вегетативної нервової системи), стійкою та вираженою гіпоксією, порушеннями обміну електролітів з накопиченням іонів натрію у легеневій тканині.
Залежно від причин можна умовно виділити кардіогенний (зумовлений первинно серцевими причинами) та некардіогенний (інші механізми) набряк легень.
Кардіогенний набряк легень
Частіше за все набряк легень розвивається внаслідок гострої лівошлуночкової недостатності зі швидким зростанням застою крові у легеневих венах та підвищенням тиску в них. Цей стан близький за своїм характером та проявами до серцевої астми. Набряк легень спостерігається при інфаркті міокарда, атеросклеротичному кардіосклерозі, мітральному стенозі, гіпертонічній хворобі, особливо при гіпертонічних кризах, міокардитах.
Некардіогенний набряк легень
Такий стан може спостерігатися й при ураженнях мозку (пухлини, травми, крововиливи) та відомий як нейрогенний набряк легень, при анафілактичному шоці, отруєннях різноманітними речовинами (як неспецифічна ознака та як характерна ознака для хімічних отрут задушливої дії, нітрозних газів, парів кислот, тощо).
Клінічні прояви

Клінічні ознаки характеризуються неспокоєм, ціанозом, рясним виділенням пінистого мокротиння (рожевого або жовтуватого кольору), вологими хрипами, шумним диханням, тахікардією, глухістю тонів серця. АТ знижений.
Можливий рецидивуючий перебіг набряку легень (наприклад, при мітральному стенозі). Нерідко при цьому спостерігаються напади зумовлені фізичним або психоемоційним перевантаженням, переходом з теплого приміщення на холод, інтеркурентними захворюваннями та ін. Зазвичай напади стаються вночі, а при несвоєчасній допомозі можуть призвести до летального кінця.
Лікування
Основні принципи інтенсивної терапії набряку легень такі:
- відновлення прохідності дихальних шляхів, включаючи зменшення піноутворення у бронхіальному дереві;
- зменшення об'єму циркулюючої крові та венозного притоку до правого шлуночку серця, розвантаження малого кола кровообігу;
- зниження гідростатичного тиску у легеневих капілярах;
- зменшення проникності альвеолярно-капілярних мембран;
- стимуляція скорочувальної здатності міокарда;
- усунення гіпоксії;
- корекція ацидозу.
Примітки
- NDF-RT
- Drug Indications Extracted from FAERS — doi:10.5281/ZENODO.1435999
Джерела
- Довідник фельдшера/під ред. А. Н. Шабанова. — 4-е вид., стереотип. — М.: Медицина, 1984. (рос.)
- Єренков В. О. Невідкладна допомога у педіатрії: Довідник. — Кишинів: Картя молдовеняске, 1988. (рос.)
