Нейроендокринна пухлина
Нейроендокринні пухлини (англ. neuroendocrine tumors, NET) — це новоутворення, що виникають з клітин ендокринної та нервової систем. Багато з них є доброякісними, але також можуть виникати і злоякісні пухлини. Нейроендокринні пухлини переважно діагностуються в кишечнику та класифікуються в цьому випадку як карциноїдні пухлини, але можуть також виникати в легенях, щитоподібній залозі, наднирниках тощо.
| Нейроендокринні пухлина | |
|---|---|
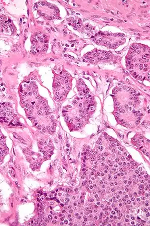
![]() Мікрофотознімок нейроендокринної пухлини тонкого кишечника (г-е). Мікрофотознімок нейроендокринної пухлини тонкого кишечника (г-е). | |
| Спеціальність | endocrine oncologyd |
| Симптоми | flushing, діарея[1], indigestiond[1], біль у животі[1] і back paind[1] |
| Препарати | еверолімус[2] |
| Класифікація та зовнішні ресурси | |
| МКХ-О | M8013/3, M8041/3, M8246/3, M8247/3, M8574/3 |
| MeSH | D018358 |
| | |
Незважаючи, що різні органи можуть бути ураженими, дані пухлини відносять до однієї групи, враховуючи спільні риси клітинного атипизму та властивість продукувати біогенні аміни та поліпептидні гормони.[3]
Посилання
- https://www.cancer.gov/types/pancreatic/patient/pnet-treatment-pdq
- Inxight: Drugs Database
- Ramage JK, Davies AH, Ardill J, et al. (Jun 2005). Guidelines for the management of gastroenteropancreatic neuroendocrine (including carcinoid) tumours. Gut. 54. Suppl 4 (suppl_4): iv1–16. PMC 1867801. PMID 15888809. doi:10.1136/gut.2004.053314.
This article is issued from Wikipedia. The text is licensed under Creative Commons - Attribution - Sharealike. Additional terms may apply for the media files.
