Нейрофіброматоз II типу
Нейрофіброматоз II типу (англ. Neurofibromatosis IІ type, NF2, нейрофіброматоз 2-й тип; також англ. MISME syndrome — multiple inherited schwannomas, meningiomas, and ependymomas) — аутосомно-домінантна спадкова хвороба, один з типів нейрофіброматозу. Характеризується утворенням численних доброякісних пухлин, переважно з шваннівських клітин (шванном), рідше менінгіом і епендіом, що локалізуються як в центральної нервової системи, так і у периферійних нервах. NF2 є офіційним міжнародним генетичним символом нейрофіброматозу цього типу
| Нейрофіброматоз II типу | |
|---|---|
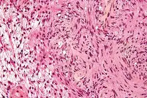
![]() Мікрографія пухлини, яка походить з шваннівських клітин, що є характерним для нейрофіброматозу II типу. Мікрографія пухлини, яка походить з шваннівських клітин, що є характерним для нейрофіброматозу II типу. | |
| Спеціальність | медична генетика і неврологія[1] |
| Частота | 0.0017806% |
| Класифікація та зовнішні ресурси | |
| МКХ-11 | LD2D.11 |
| МКХ-10 | D33, Q85.0 |
| OMIM | 101000 |
| DiseasesDB | 8960 |
| MedlinePlus | 000795 |
| eMedicine | neuro/496 radio/475 |
| MeSH | D016518 |
| | |
Історія
У літературі нейрофіброматоз цього типу клінічно описав у 1822 році шотландський хірург Уішарт.
Актуальність
Нейрофіброматоз цього типу спостерігають у 1 з 50 тисяч новонароджених.
Патогенез
Ген NF2 локалізується на довгому плечі 22 хромосоми (22q12) і кодує синтез супрессора пухлинного росту. Хворобу безпосередньо спричинюють мутації білка «Мерлін»[2], що впливає на форму та рухливість клітин. При его ушкодженні внаслідок генетичної поломки синтез нормального «Мерліна» в клітині припиняється, динамічна рівновага регуляції росту зміщується в бік проліферації і виникає процес утворення доброякісних пухлин. На відміну від нейрофіброматозу 1-го тип виникнення злоякісних пухлин не відбувається.
Клінічні ознаки
Найчастіше відбувається характерне утворення двобічних неврином (шванном) присінково-завиткових нервів. Другі за частотою пухлини — це шванноми інших черепних, спінальних абоі периферичних нервів. Значно рідше зустрічаються менінгіоми (інтракраніальні, включаючи менінгіоми зорових нервів, і спинальні), епіндімоми та гліоми. Взагалі, шванноми можуть утворюватися в будь-якій ділянці організму, де є нерви зі шваннівськими клітинами. Улюблена локалізація пухлин на VIII парі черепних нервів при цьому типі нейрофіброматозу до сьогодні залишається незрозумілою.
Найчастіше пацієнти звертаються до лікаря у зв'язку зі зниженням слуху або з появою шуму у вухах, які на початку захворювання носять однобічний характер. Частою помилкою при цьому є встановлення діагнозу «Неврит присінково-завиткового нерву», тому при таких скаргах слід провести додаткове променеве обстеження. Також у певної частки пацієнтів може з'явитися ще запаморочення і атаксія. У 20-30 % випадків у цих пацієнтів крім вестибулярних шванном виявляють менінгіоми, спинальні або периферичні пухлини. Нерідко захворювання маніфестує паралічем Белла — спонтанним ураженням лицевого нерву, що не піддається лікуванню і до виявлення справжньої причини його появи проходить кілька років. У деяких пацієнтів виникає поліомієлітоподібний синдром.
60-80 % хворих мають зорові порушення — катаракту, ретинобластоми, гамартоми, менінгіоми зорових нервів тощо.
Приблизно близько 70 % пацієнтів мають зміни на шкірі й ураження периферичних нервів.
Менінгіоми при нейрофіброматозі 2-го типу частіше розташовані супратенторіально і переважно на серпоподібних відростках у лобовій і тім'яній областях. Якоїсь закономірності у виникненні менінгіом певного типу немає. Також характерною є наявність спінальних менінгіом. Корелляції між певним гістологічним типом менінгіом і наявністю нейрофіброматозу цього типу не виявлено. Досить часте поєднання цього типу нейрофіброматозу і менінгіом пояснюється наявністю генетичного дефекту в одній хромосомі. При спорадичних менінгіомах мутації в гені NF2 в 22 хромосомі зустрічаються в двох третинах випадків. Описані випадки змішаних пухлин, що складаються з клітин менінгіоми і шваноми. Як правило, ці пухлини локалізуються в області мосто-мозочкового кута. Так само нерідко виявляється менінгоангіоматоз. У 8% випадків менінгіоми є першими новоутвореннями перед виникненням невриноми VIII пари черепних нервів.
Епіндімоми і гліоми низького ступеня злоякісності при цьому типі нейрофіброматозу зустрічаються значно рідше, і локалізуються вони переважно в стовбурі мозку і верхніх шийних сегментах спинного мозку. Малігнізація цих пухлин відбувається рідко і, в більшості випадків, пов'язана з невиправданим проведенням рентгенівської променевої терапії.
Діагностика
Клінічні діагностичні критерії нейрофіброматозу цього типу включають:
- абсолютні ознаки (NIH criteria):
- двобічні вестибулярні шванноми (невриноми присінково-завиткових нервів — VIII пари черепних нервів).
- сімейный анамнез + однобічна вестибулярна шваннома або будь-які дві ознаки з перерахованих — менінгіома, гліома, нейрофіброма, шваннома, задня субкапсулярна лентикулярна катаракта[3].
- ймовірні ознаки:
- однобічна вестибулярна шваннома + вік менше 30 років або будь-які 2 ознаки з перерахованих — менінгіома, гліома, нейрофіброма, шваннома, задня субкапсулярна лентикулярна катаракта.
- множинні менінгіоми (дві чи більше) + однобічна вестибулярна шваннома чи дві або більше з перерахованих пухлин (гліома, нейрофіброма, шваннома) чи катаракта[4].
Для додаткової діагностики застосовують різні методи.
Детальніші відомості з цієї теми ви можете знайти в статті Нейрофіброматоз.
Лікування
Лікування таких хворих слід проводити із залученням різних спеціалістів, включаючи невролога, нейрохірурга, отоларінголога, окуліста, генетика. Найбільш необхідною є хірургічна допомога, яка включає різноманітні хірургічні втручання різного об'єму і локалізації.
Примітки
- Bednařík J., Ambler Z., Růžička E. Klinická neurologie: část speciální — ISBN 978-80-7387-389-9
- Він походить своїми властивостями на 3 гомологічні білки — моезин, езрин і радіксин, що й обумовили його назву — англ. Moezin Ezrin Radixin Like proteIN
- National Institutes of Health Consensus Development Conference Statement on Neurofibromatosis. Arch Neurol 1987;45:575-579. (англ.)
- Evans DGR, Huson SM, Donnai D, Neary W, Blair V, Newton V, Strachan T, Harris R. A genetic study of type 2 neurofibromatosis in the United Kingdom. II. Guidelines for genetic counselling. J Med Genet 1992;29:847-852. (англ.)
Джерела
- Неврологія: національний підручник / I.А. Григорова, Л.I. Соколова, Р. Д. Герасимчук та ін.; за ред. I.А. Григорової, Л.I. Соколової. — К.: ВСВ «Медицина», 2015. — 640 с. + 32 с. кольор. вкл.
- Evans, Rosalie E. Ferner, Susan M. Huson, D. Gareth R. (2011). Neurofibromatoses in clinical practice. London: Springer. p. 1. ISBN 978-0-85729-628-3 (англ.)
- «Neurofibromatosis type 2». Genetics Home Reference. 2015-10-05. (англ.)
- Козлов А. В. Нейрофиброматоз 2 (НФ2) // Хирургия опухолей основания черепа / Под редакцией А. Н. Коновалова. — М.:: ОАО «Можайский полиграфический комбинат», 2004. — С. 169—170. — 372 с. — 1000 экз. — ISBN 5-94982-006-1. (рос.)
- Васильев С. А., Зуев А. А., Песня-Прасолов С. Б., Вяткин А. А. Нейрохирургические аспекты нейрофиброматоза II типа НЕЙРОХИРУРГИЧЕСКОЕ ОТДЕЛЕНИЕ РОССИЙСКОГО НАУЧНОГО ЦЕНТРА ХИРУРГИИ РАМН (рос.)
- Baser M, Mautner VF, Thakkar SD, Kluwe L. The natural history of neurofibromatosis 2. Am J Hum Genet 1998;63(suppl 4): A63. (англ.)
- Gutmann DH. Giordano MJ. Fishback AS. Guha A. Loss of merlin expression in sporadic meningiomas, ependymomas and schwannomas. Neurology 1997;49:267-270. (англ.)

