Онкоцит
Онкоцит — це епітеліальна клітини, що характеризується наявністю великої кількості мітохондрій в своєму складі, внаслідок чого цитоплазма таких клітин стає ацидофільною та гранулярною. Онкоцити можуть бути як при доброякісних новоутвореннях так і при злоякісних трансформаціях.

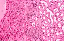
Онкоцити (ліворуч) при раку нирки. Фарбування гематоксиліном-еозином.
Синонімія
Онкоцити також називають:
- Клітини Гюртле (тільки стосовно щитоподібної залози)[1]
- Оксифільні клітини
- Клітини Асканазі
- Апокринова метаплазія (тільки стосовно молочної залози
Етимологія
Термін має грецьке походження окно- означає маса, нагромадження.
Див. також
- Онкоцитома — пухлина, що складається з онкоцитів, та переважно зустрічається при новоутвореннях слинних залоз (Оксифільна аденома).
- Ниркова онкоцитома — пухлина нирок.
- Карцинома Гюртле — варіант фолікулярного раку щитоподібної залози.
Посилання
- Є. С. Кущаєва, М. В. Гульчій, І. Л. Аветіс'ян, С. М. Цимбалюк, О. А. Тонковид, О. Б. Олійник. Оксифільноклітинний та неоксифільноклітинний фолікулярний рак щитоподібної залози: порівняльний аналіз / Український медичний часопис // — 2007. — № 4: Т. 60. — с. 94-99.
This article is issued from Wikipedia. The text is licensed under Creative Commons - Attribution - Sharealike. Additional terms may apply for the media files.