Паращитоподібна залоза
Паращитоподібна залоза (лат. glandula parathyroidea) — орган ендокринної системи, що регулює кальцій-фосфорний обмін організму. Прищитоподібні залози розташовані на задній поверхні кожного з полюсів щитоподібної залози під спільною сполучнотканинною капсулою.
| Паращитоподібна залоза | |
|---|---|
![]() | |
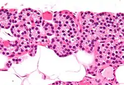
![]() Гістологічна будова паращитоподібної залози (Г-Е) | |
| Деталі | |
| Попередник | Нервовий гребінь мезенхіми третій та четвертий глоткові кармани ендодерми |
| Система | Ендокринна |
| Артерія | Верхня щитоподібна артерія Нижня щитоподібна артерія |
| Вена | Верхня щитоподібна вена Середня щитоподібна вена Нижня щитоподібна вена |
| Нерв | Середній шийний ганглій Нижній шийний ганглій |
| Лімфа | Претрахеальні, предгортанні, яремно-двочеревцеві |
| Ідентифікатори | |
| Латина | Glandula parathyroidea |
| Анатомія Грея | subject #273 |
| MeSH | D010280 |
| TA98 | A11.4.00.001 |
| TA2 | 3870 |
| FMA | 13890[1] |
| Анатомічна термінологія | |
Історія відкриття
Паращитоподібні залози вперше описав у людини шведський студент-медик з Упсальського Університету Івар Сандстрем (швед. Ivar Sandström, (1852—1889) в 1877 р.[2]. Паращитоподібні залози залишаються останнім найбільшим органом описаним у людини.
Анатомія
Паренхіма паращитоподібних залоз представлена різної форми епітеліальними тяжами (трабекулами) та скупченнями клітин — паратироцитів, між якими розташовані гемокапіляри. Як правило, в організмі людини є чотири прищитоподібних залози — парні верхні і парні нижні. ПЩЗ є життєво необхідним органом. Залози одержують іннервацію від шийних гангліїв (симпатична) і блукаючого нерва (парасимпатична). Розміри кожної залози такі: довжина 4-8 мм, ширина 3-4 мм, товщина 2-3 мм. Загальна маса залоз становить в середньому близько 1 г. У дітей залоза блідо-рожевого кольору, у дорослих — жовто-коричневого. Залози мають власні волокнисті капсули, добре кровопостачаються за рахунок верхніх і нижніх щитоподібних артерій та аналогічних вен.
Гістологія
Паратироцити — залозисті клітини, які залежно від функціонального стану залози поділяються на два типи клітин, що мають певні відмінності:
| Назва | Колір | Кількість | Розмір | Функція |
| Головні клітини | темніші | 97% | невеликий | продукують ПтГ (див. нижче). |
| Ацидофільні (оксифільні) клітини | світліші | 3% | великий | невідома |
Головні (базофільні) паратироцити
Утворюють основну частину паренхіми залози. Це дрібні полігональної форми з базофільною цитоплазмою, по периферії якої розсіяні скупчення вільних рибосом, добре розвинута гранулярна ендоплазмотична сітка, комплекс Гольджі, що свідчить про високу інтенсивність білкового синтезу. Серед головних паратироцитів розрізняють світлі та темні клітини, які віддзеркалюють стани функціональної активності прищитоподібних залоз. Темні клітини — активно функціонуючі клітини, цитоплазма яких містить добре розвинутий синтетичний апарат. В їх цитоплазмі багато лізосом та гранул глікогену. Співвідношення неактивних і активних головних паратироцитів зміщене у бік перших і становить 3:1.
Ацидофільні паратироцити
Рівномірно розподілені в паренхімі залози і розташовуються серед головних клітин. У цитоплазмі цих клітин містяться великі мітохондрії, слабко розвинутий комплекс Гольджі, помірно розвинута ендоплазматична сітка, секреторні гранули відсутні. З віком кількість цих клітин збільшується.
Фізіологія
Головні клітини виробляють паратгормон (ПтГ), що поруч з кальцитоніном щитоподібної залози регулює рівень кальцію в організмі і пітримує його вміст у крові на певному рівні. Також він впливає на кісткову тканину, збільшує відносну кількість остеокластів і підвищує їх активність. Внаслідок цього посилюється виведення кальцію з кісток у кров, де рівень його вмісту підвищується. Це досягається за допомогою резорбції кальцію кісток, реабсорбції із дистальних канальців нефрона, прискорення всмоктування із кишок під впливом метаболіту вітаміну D, який утворюється в нирках. Паратирин є антагоністом кальцитоніну, їх взаємодія забезпечує гомеостаз кальцію в крові.
При гіпофункції паращитоподібних залоз розвивається остеопороз, гіперплазія фіброзної тканини і деформація кісток, їх переломи. Підвищена кількість кальцію в крові може спричинити утворення каменів в сечових шляхах.
Регулятори функції паращитоподібної залози
Найважливішим регулятором рівня паратгормона є концентрація кальцію в крові. При гіпокальціємії продукція паратгормона збільшується, при гіперкальціємії розпочинається розпад синтезованого в клітинах гормона, зменшується його концентрація в крові. Стимуляція прищитоподібних залоз відзначається і при збудженні адренергічної системи, посередники якої діють через альфа-адренорецептори клітинних мембран. Рівень кальцію в крові особливо важливий для функції збудливих структур. Його зниження супроводжується підвищенням збудливості нервово-м'язової системи, виникнення мимовільних тонічних скорочень скелетних м'язів. Спазматичні скорочення дихальних і глоткових м'язів можуть призвести до смерті. Цей синдром носить назву тетанії і є проявом гіпопаратиреозу.
Патологічні стани
Примітки
- Foundational Model of Anatomy
- Eknoyan G (November 1995). A history of the parathyroid glands. Am. J. Kidney Dis. 26 (5): 801–7. PMID 7485136. doi:10.1016/0272-6386(95)90447-6.
- Sulaiman L, Nilsson IL, Juhlin CC, Haglund F, Höög A, Larsson C, Hashemi J. (June 2012). Genetic characterization of large parathyroid adenomas.. Endocr Relat Cancer 19 (3): 389–407. PMID 22454399. doi:10.1530/ERC-11-0140.
Література
- Гістологія з основами гістологічної техніки / За редакцією В. П. Пішака. Підручник. — Київ: КОНДОР, 2008. — 400 с. ISBN 978-966-351-128-3

