Плоскоклітинна карцинома щитоподібної залози
Плоскоклітинна карцинома щитоподібної залози (ПККЩ), англ. Squamous cell thyroid carcinoma — це злоякісна пухлина щитоподібної залози, що демонструє плоскоклітинну патогістологічну диференціацію клітин. ПККЩ рідкісна пухлина, частота якої становить менш ніж 1 % серед інших злоякісних новоутворень щитоподібної залози.[1]
| Плоскоклітинний рак щитоподібної залози | |
|---|---|
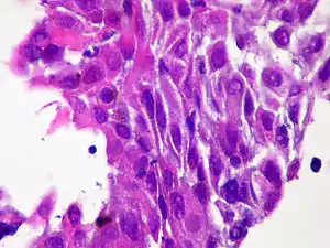
![]() Патогістологічна картина плоскоклітинної карциноми. Фарбування гематоксиліном-еозином Патогістологічна картина плоскоклітинної карциноми. Фарбування гематоксиліном-еозином | |
| Спеціальність | онкологія |
| Класифікація та зовнішні ресурси | |
| МКХ-10 | C73 |
| eMedicine | med/ |
| MeSH | D002294 |
Етіологія
Щитоподібна залоза за нормальних умов не містить сквамозного епітелію, тому джерело походження ПККЩ точно не відомо. Існує декілька теорій, згідно з якими ПККЩ може походити з рудиментарних ембріональних клітин, що містяться в тиреоглосальній протоці, внасліок їх міграції до паренхіми щитоподібної залози. Ще одне можливе джерело походження: клітини зябрових дуг. Наразі активно дискутується теорія плоскоклітинної метаплазії, проте ПККЩ рідко асоціюється зі станами щитоподібної залози, при яких є плоский епітелій, зокрема тиреоїдит Хашимото або хронічний лімфоцитарний тиреоїдит.
Клінічна картина
В переважній більшості випадків, ПККЩ має біологічно-агресивний перебіг, на кшталт анапластичного раку. Таким чином, ПККЩ демонструється як раптово збільшена маса шиї, що викликає симптоми компресії трахеї та стравоходу. Компресія призводить до порушення дихання, ковтання та відчуття болю в ділянці шиї.
Діагноз
- Ендоскопія назофарингеальної області, бронхоскопію та езофагоскопію слід проводити для виключення пухлин з цих ділянок.
- Ультразвукове дослідження ділянки шиї дозволяє відзначити поширення злоякісного процесу
- Тонкоголкова аспіраційна пункційна біопсія — дозволяє верифікувати діагноз на доопераційному етапі
- Імуногістохімічне дослідження — рекомендовано проведення даного дослідження з використанням антитіл до цитокератину 19 (СК-19), що дозволяє диференціювати первинну ПККЩ від метастатичної.
Лікування
ПККЩ потребує оперативного лікування — виконується тиреоїдектомія, дисекція шиї. При значній інвазії в трахею та/або стравохід показана трахеостомія та гастростомія відповідно, метою яких є забезпечення дихання та харчування. Променева терапія може бути використана в деяких випадках, та покращити виживання пацієнтів. Хіміотерапевтичні препарати для лікування плоскоклітинної карциноми: доксорубіцин та вінкристнін.
Посилання
- MI Syed, M Stewart, S Syed, S Dahill, C Adams, DR Mclellan, LJ Clark. (2011). Squamous cell carcinoma of the thyroid gland: primary or secondary disease?. The Journal of Laryngology & Otology 125: 3–9. PMID 20950510. doi:10.1017/S0022215110002070.
