Полідактилія
Полідактилія (лат. polydactylia) — вроджена аномалія, що характеризується наявністю «зайвих» пальців на руці чи на ступні. Як правило, шостий палець на ступні підлягає хірургічному видаленню. Наряду з полідактилією зустрічається адактилія.
| Полідактилія | |
|---|---|
![]() | |
| Спеціальність | медична генетика |
| Класифікація та зовнішні ресурси | |
| МКХ-11 | LB78 |
| OMIM | 174200, 174500, 174700 і 603596 |
| DiseasesDB | 24853 |
| MeSH | D017689 |
| SNOMED CT | 367506006 |
| | |

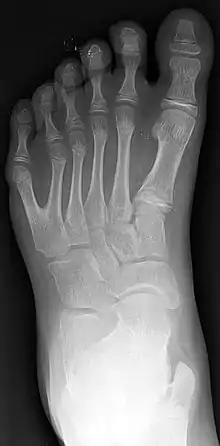
Полідактилія — Рентгенівський знімок 10-річного хлопчика
Спадковість
Однією з причин виникнення таких дефектів є спадкова сімейна полідактилія. Полідактилія частіше за все успадковується за аутосомно-домінантним типом, але іноді це анатомічне відхилення успадковується за аутосомно-рецесивним типом.


Полідактилія
Етіологія
- Синдром Рубінштейна-Тайбі
- Сімейная полідактилія (спадковість)
- Синдром Карпентера
- Синдром Еліса-ван-Кревельда (хондроектодермальна дисплазія)
- Синдром Патау (трисомія по 13 хромосомі)
- Синдром Сміта-Лемлі-Опіца
- Торакальна дистрофія з асфіксією
- Синдром Лауренса-Мун-Біедла
Частота
За статистикою, шестипалим народжується один новонароджений на 5000.
Відомі особистості
- Тойотомі Хідейосі (1536 — 18 вересня 1598) — одним із найвидатніших самураїв у японській історії.
- Хаунд-Дог Тейлор (12 квітня 1915 — 17 грудня 1975) — американський блюзовий гітарист та співак, мав по шість пальців на кожній руці.
- Ліам Галлахер (*21 вересня 1972) — вокаліст англійської групи Oasis, має 6 пальців на лівій нозі.
- Джемма Артертон (*12 січня 1986) — англійська акторка, мала по шість пальців на кожній руці.
- Мерілін Монро (1926—1962) — американська актриса, співачка, секс-символ, мала 6 пальців на лівій нозі.
Див. також
This article is issued from Wikipedia. The text is licensed under Creative Commons - Attribution - Sharealike. Additional terms may apply for the media files.
