Псевдомембранозний коліт
Псевдомембранозний коліт або антибіотикоасоційований коліт — захворювання, яке виникає коли нормальна флора кишечника сильно ушкоджена антибіотиками (в основному через ятрогенію), що призводить до посиленого розмноження патологічних бактерій, зокрема (Clostridioides difficile) Токсини, що виділяються клостридіями, спричинюють гарячку, біль у животі, нудоту, діарею та дегідратацію.
| Псевдомембранозний коліт | |
|---|---|
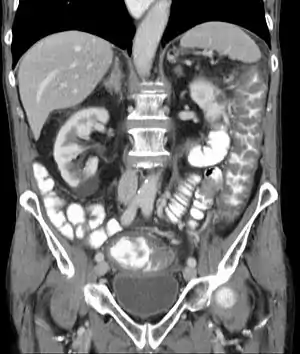
![]() Комп'ютерна томографія живота при псевдомембранозному коліті. Виділяється уражена низхідна частина товстої кишки (Colon descendens) Комп'ютерна томографія живота при псевдомембранозному коліті. Виділяється уражена низхідна частина товстої кишки (Colon descendens) | |
| Інші назви | Антибіотикоасоційований коліт Clostridium difficile коліт |
| Спеціальність | інфекційні хвороби |
| Симптоми | гарячка, діарея, блювання, нудота, запор, біль у животі, сверблячка, жовтяниця, диспепсія і печія |
| Ускладнення | токсичний мегаколон, перфорація кишечника, сепсис |
| Причини | Clostridium difficile[1] |
| Фактори ризику | антибіотики, інгібітори протонної помпи |
| Ведення | fecal bacteriotherapyd |
| Препарати | ванкоміцин[2][3], Colestyramined[2], Colesevelamd[2], Colestipold[2], метронідазол[2][3], bacitracin ad[2] і fidaxomicind[3] |
| Класифікація та зовнішні ресурси | |
| МКХ-10 | A04.704.7. |
| DiseasesDB | 2820 |
| MeSH | D004761 |
Етіологія
Clostridioides difficile — грампозитивна, анаеробна бактерія, що не входить до складу фізіологічної флори кишечника.
Будь-який антибіотик протягом чотирьох тижнів після припинення вживання може спричинити антибіотико-асоційований коліт, .
Через токсини, які виділяють клостридії (цитотоксини: токсин А і токсин В), може розвинутися діарея з дуже тяжким перебігом, значною втратою рідини та дегідратацією. Токсини Clostridioides difficile руйнують шари слизової оболонки і спричинюють значне виділення фібрину, відкладання якого в кишечнику при колоноскопії описуються як «котячі голови».
У 2002 р. у Північній Америці був описаний штам NAP1 (північноамериканський імпульсний вид типу 1)[4] який може утворювати значно більше токсинів і тому вважається більш вірулентним.
Фактори ризику
Оскільки Clostridioides difficile значною мірою руйнується в кислому середовищі шлунка, вживання інгібіторів протонної помпи є фактором ризику появи антибіотико—асоційованої діареї.[5]
Крім того, різні антибіотики по-різному сприяють колонізації клостридіями. Лінкозаміди, цефалоспорини та хінолонові антибіотики є найбільш небезпечними при формуванні цього типу діареї. Антибіотики порушують нормальну (фізіологічну) флору кишечника, яка діє як «захисний бар'єр» у здоровому кишківнику.[6]
Клінічні прояви

Пронос і спазми в животі — основні симптоми захворювання, але вони можуть бути характерними і для багатьох інших захворювань. Тільки близько 10-20 % всіх пацієнтів із підозрою на C. difficile отримують позитивний результат при лабораторному дослідженні.
Ускладнення
При тяжкому перебігу захворювання, при тяжкій діареї, спостерігається значна втрата рідини. Як ускладнення може виникнути токсичний мегаколон, перфорація товстої кишки, перитоніт і септичний шок.[7]
Такий перебіг захворювання називають фульмінантним колітом. Можна визначити три фактори для прогнозування летального результату: вік старше 70 років, велике збільшення або зниження лейкоцитів і порушення роботи серцево-судинної системи з необхідністю медикаментозної підтримки, іноді інтубації.[8] Штам NAP1 / 027, який був вперше виділений під час епідемії в Квебеку в 2002 році, він демонструє неконтрольоване виділення токсинів in vitro, був пов'язаний з серйознішим перебігом захворювання.[9]
Діагностика

Потовщення кишкової стінки товстої кишки можна побачити при проведенні УЗД та на комп'ютерній томографії. Ендоскопічно спостерігаються світлі відкладення фібрину в товстій кишці, частина з яких плямиста, частина з них злита.
Остаточно допомагає виявити хворобу дослідження калу на наявність збудника або його токсинів. Аналіз цитотоксину — це золотий стандарт. При наявності клостридійних токсинів, мікроскопічно помітні характерні зміни фібробластів.[4]
Одним з найбільш поширених тестів є імуноферментний аналіз на самі токсини, або фермент бактерій (глутаматдегідрогеназу). Обидва тести менш чутливі, ніж попередні методи. Однак вони технічно прості, недорогі і можуть бути виконані протягом декількох годин. Тест на бактеріальний фермент показує лише наявність бактерій, а не їх вироблення токсинів. Як результат, є сенс поєднувати обидва тести. Так само використовують ПЛР, що виявляє ДНК бактерії.[4]
Лікування
Найважливішим у лікуванні C. difficile-асоційованої діареї є припинення, якщо це можливо, того лікування, що передувало появі діареї. Найчастіше це припинення антибіотикотерапії. Як свідчили давніші дослідження, при легкій формі захворювання (немає гарячки, болю в животі і лейкоцитозу) цього може бути цілком достатньо і діарея минає упродовж 2–3 днів. Якщо припинити антибіотикотерапію неможливо, то слід перейти на препарати з груп низького ризику. При середньотяжких і тяжких формах обов'язкова цілеспрямована антибактеріальна терапія проти C. difficile, нині її призначають і при легких формах (коли у хворого є 3 випорожнення неоформленим калом на добу без лейкоцитозу).[10]
У тяжких випадках терапію розпочинають, не чекаючи лабораторного підтвердження C. difficile-асоційованої етіології. Схемою першого вибору при легких і середньотяжких формах вважають оральне призначення метронідазолу по 0,25 г 4 рази або 0,5 г 3 рази на добу упродовж 10–14 днів. Як терапію другої лінії при невдачі або протипоказаннях для призначення метронідазолу (зокрема вагітним і дітям до 10 років) рекомендують ванкоміцин 0,125 г 4 рази на добу упродовж того ж часу. При неефективності упродовж 3–4 діб, дозу ванкоміцину збільшують до 0,25 г 4 рази на добу, а при потребі (якщо колектомія не показана) — до 0,5 г 4 рази на добу.
Пацієнтам, в яких не вдається досягти успіху при фульмінантному захворюванні, при перфорації кишківника або токсичному мегаколоні показане оперативне лікування.
Примітки
- Disease Ontology — 2016.
- NDF-RT
- Drug Indications Extracted from FAERS — doi:10.5281/ZENODO.1435999
- J. G. Bartlett: Clostridium difficile: progress and challenges. In: Ann N Y Acad Sci. 2010 Dec;1213, S. 62–69, PMID 21175676
- M. Aseeri, T. Schroeder, J. Kramer, R. Zackula: Gastric acid suppression by proton pump inhibitors as a risk factor for clostridium difficile-associated diarrhea in hospitalized patients. In: Am J Gastroenterol. 2008 Sep;103(9), S. 2308—2313, PMID 18702653.
- KRINKO-Empfehlung Hygienemaßnahmen bei Clostridioides difficile-Infektion (CDI). 2019, S. 907. Abgerufen am 26. September 2019.
- Gerd Herold und Mitarbeiter: Innere Medizin. Köln 2013, S. 867 f.
- E. A. Sailhamer, K. Carson, Y. Chang, N. Zacharias u. a.: Fulminant Clostridium difficile colitis: patterns of care and predictors of mortality. In: Arch Surg. 2009 May;144(5), S. 433—439; discussion 439—440. PMID 19451485.
- M. Warny, J. Pepin, A. Fang, G. Killgore, A. Thompson u. a.: Toxin production by an emerging strain of Clostridium difficile associated with outbreaks of severe disease in North America and Europe. / Lancet. 2005 Sep 24-30;366(9491), S. 1079—1084. PMID 16182895.
- Журнал «Медицина світу» - Журнал для широкого кола лікарів. msvitu.com. Процитовано 28 липня 2020. (рос.)
Джерела
- Cleary R.K. Clostridium difficile-associated diarrhea and colitis: clinical manifestations, diagnosis, and treatment. Dis Colon Rectum. Nov 1998;41(11):1435-49.
- Giesemann T., Egerer M., Jank T., Aktories K. Processing of Clostridium difficile toxins. J Med Microbiol. 2008 Jun;57(Pt 6):690-6.
- Sailhamer E.A., Carson K., Chang Y., et al. Fulminant Clostridium difficile colitis: patterns of care and predictors of mortality. Arch Surg. May 2009;144(5):433-9; discussion 439-40.
- Lysiuk, Yu S.; Kohut, L. M.; Romanchak, D. L.; Voytovych, O. V. (2017). Псевдомембранозний коліт — практичні аспекти діагностики і лікування (короткий огляд літератури). Шпитальна хірургія. Журнал імені Л. Я. Ковальчука (4). с. 96–101. ISSN 2414-4533. doi: 10.11603/2414-4533.2017.4.8016
- Посохова К. А. Антибіотик-асоційоване ураження кишечнику / К. А. Посохова // Інфекційні хвороби. -2010. -№ 4. -С. 69-80.
- Sartelli, M., Malangoni, M.A., Abu-Zidan, F. M., Griffiths, E.A., Bella, S.D., McFarland, L.V., & Eltringham, I. (2015). WSES guidelines for management of Clostridium difficile infection in surgical patients. World Journal of Emergency Surgery, 10(38), 1-23.
- Al-Jashaami, Layth & DuPont, Herbert. (2016). Management of Clostridium difficile Infection. Gastroenterology & Hepatology. 12. 609—616
