Радіографія
Радіогра́фія (англ. radiography; нім. Radiographie f) — галузь радіології, яка займається використанням радіації[джерело?] (зокрема рентгенівських променів) для отримання зображень на фотоплівці або флуоресцентному екрані (радіоскопія). Рентгенівські промені по різному проходять крізь речовину залежно від її природи, густини й товщини. Промені можуть залишати сліди на фотоплівці, у результаті чого виходить рентгенівський знімок. Це явище широко застосовується в медицині для вивчення кісток і тканин і в промисловості для контролю, наприклад, за звареними швами трубопроводів.
Радіографія в прикладних галузях
У мінералогії
Радіографія — у мінералогії — метод встановлення радіоактивності мінералів шляхом визначення впливу радіоактивного випромінювання на емульсію фотографічної пластинки. Цей метод дозволяє вивчати ряд явищ на поверхні гірських порід за допомогою мічених атомів: адсорбцію, корозію, утворення і ріст кристалів тощо.
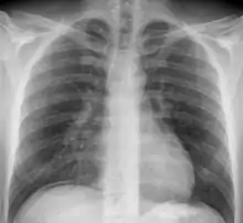
У медицині

Радіографія в медицині має ширше значення, проте, найвідомішими радіографічними методами є:
- Рентгенографія — метод діагностики стану кісток та тканин організму (можливо з контрастуванням) застосовуючи рентгенологічне випромінювання.
- УЗД — метод діагностики тканин організму застосовуючи ультразвукове випромінювання.
Також існують інші методи, наприклад Сцинтиграфія, МРТ, ПЕТ і т.д..
Див. також
- Радіографічний аналіз
- Авторадіографія
- Радіографія просвічуюча
- Ортопантомограма
- Промислова рентгенографія
Література
- Мала гірнича енциклопедія : у 3 т. / за ред. В. С. Білецького. — Д. : Донбас, 2007. — Т. 2 : Л — Р. — 670 с. — ISBN 57740-0828-2. (С.?)
- Радіологія. Променева терапія. Променева діагностика.: Підручник для ВМНЗ IV р.а. За ред. Ковальський О. В. та ін.. — 2-е вид. — Вінниця: Нова книга, 2017.- 512 с. ISBN 978-966-382-424-6 (С.18-30)