Саркоїдоз
Саркоїдо́з (лат. sarcoidosis; від грец. σάρκα — плоть + грец. εἶδος вид; також — хвороба Беньє — Бека — Шаумана) — системне захворювання, що характеризується появою гранульом з епітеліоїдних клітин, які найчастіше локалізуються в легенях та їхніх лімфатичних вузлах, печінці, серці та інших органах.
| Саркоїдоз | |
|---|---|
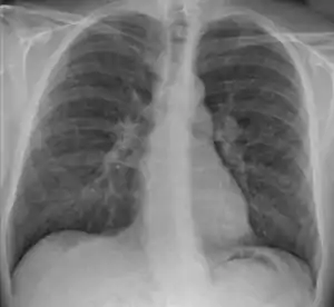
![]() Рентгенограма легень з гранульомами при саркоїдозі Рентгенограма легень з гранульомами при саркоїдозі | |
| Спеціальність | гематологія, дерматологія, пульмонологія і офтальмологія |
| Симптоми | кашель і задишка |
| Ведення | ібупрофен і метотрексат |
| Частота | 0.16% |
| Класифікація та зовнішні ресурси | |
| МКХ-11 | 4B20 |
| МКХ-10 | D86 |
| OMIM | 181000 |
| DiseasesDB | 11797 |
| eMedicine | /361490 |
| MeSH | D012507 |
| | |
В Україні частота даного захворювання становить близько 10 випадків на 100 тисяч населення.
Клінічні ознаки
Прояви хвороби залежать від ступеня та місця ураження. Хвороба часто починається поступово. Першими симптомами можуть бути гарячка, схуднення, біль у суглобах. Гарячка особливо виражена при значному гранулематозі печінки. Найхарактерніше ураження медіастенальних та периферійних лімфатичних вузлів, легень та шкіри.
Діагностика
Збільшення лімфатичних вузлів середостіння часто виявляють випадково при рентгенологічному дослідженні, але воно може поєднуватися з ураженням легень, яке проявляється задишкою, кашлем, наявністю вологих хрипів. При рентгенологічному дослідженні у легенях виявляють множинні дрібні тіні, що нагадують туберкульоз. Пізніше розвивається пневмофіброз з явищами дихальної недостатності. Спостерігають різні ураження шкіри, зокрема вузлувату еритему. Серцева патологія проявляється найчастіше порушеннями провідності аж до повної поперечної блокади. Відмічають також патологічні зміни в очах, нервовій системі, скелетних м'язах.
При дослідженні крові знаходять помірну анемію, збільшені показники ШОЕ та вмісту кальцію, гіпергаммаглобулінемію.
Найскладніший диференційний діагноз саркоїдозу та туберкульозу. При цьому має значення зміни туберкулінових проб, пошук мікобактерій туберкульозу в харкотинні. Для підтвердження діагнозу саркоїдозу важливе морфологічне дослідження біопсійної тканини лімфатичного вузла або печінки.
Лікування
Лікування при загостренні та прогресуючому перебігу хвороби проводять глюкокортикостероїдами та симптоматичними засобами.
