Термоакустична візуалізація
Термоакустична візуалізація стратегія вивчення властивостей поглинання людськими тканинами, з використанням практично будь-яких видів електромагнітного випромінювання, що була запропонована Теодором Боуеном в 1981 р. [1] Але Александер Грем Белл пешим на століття раніше опублікував фізичний принцип на основі якого, отримувались термоакустичні зображення. [2] Він спостерігав за явищем утроворення відчутного звуку при освітленні гумового листа промінем сонячного світла. Згодом після публікації роботи Боуена, інші дослідники запропонували методологію термоакустичної візуалізації за допомогою мікрохвиль.[3] В 1994 дослідники використали інфрачервоний лазер для реєстрації перших термоакустичних зображень при оптичному поглинанні в близькій до ІЧ-області для фантому, що імітує тканини, хоча і в двох вимірах (2D).[4] В 1995 інші дослідники сформолювали загальний алгоритм відновлення, за допомогою якого двувимірні термоакустичні зображення можуть бути обчислені із їх проекцій, тобто запропонували алгоритм термоакустичної комп’ютерної томографії.[5]

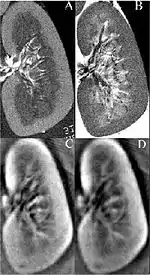
В 1998 дослідники Медичного Центру Університету Індіани розширили алгоритм до тривімірного простору і застосували пульсуючі мікрохвилі для побудови першого повноцінного три вимірного термоакустичного знімку біологічної тканини[(Рис. 1)].[6] Згодом вони зробили перше тривимірне термоакустичне зображення ракової пухлини груді людини, знов таки з використанням імпульсних мікрохвиль (Рис. 2).[7] З цього часу термоакустичний зображень мають широку популярність в науково-дослідних організаціях по всьому світу. У 2008 році вже три компанії розроблювали комерційні системи термоакустичної візуалізації - Seno Medical, Endra, Inc. і OptoSonics, Inc.

Примітки
- Bowen T. Radiation-induced thermoacoustic soft tissue imaging. Proc. IEEE Ultrasonics Symposium 1981;2:817-822.
- Bell, AG. On the production and reproduction of sound by light. Am. J. Sci. 1880;20:305-324.
- Olsen RG and Lin JC. Acoustic imaging of a model of a human hand using pulsed microwave irradiation. Bioelectromagnetics 1983; 4:397-400.
- Oraevsky AA, Jacques SL, Esenaliev RO, Tittel FK. Laser-based ptoacoustic imaging in biological tissues. Proc. SPIE 1994;2134A:122-128.
- Kruger RA, Liu P-Y and Fang Y. Photoacoustic Ultasound (PAUS) - Reconstruction Tomography. Medical Physics 1995;22(10):1605-1609.
- Kruger RA, Kopecky KK, Aisen AM, Reinecke DR, Kruger GA, Kiser Jr W. Thermoacoustic computed tomography – a new medical imaging paradigm Radiology 1999,211:275-278.
- Kruger RA, Miller KD, Reynolds HE, Kiser Jr WL, Reinecke DR, Kruger GA. Contrast enhancement of breast cancer in vivo using thermoacoustic CT at 434 MHz. Radiology 2000;216: 279-283.