Ультраструктура
Ультраструктура (рос. ультраструктура, англ. ultrastructure, нім. Ultrastruktur f) — найдрібніші електронно-мікроскопічні структурні елементи. Термін застосвується в різних галузях науки.

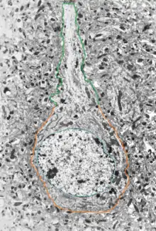
Ультраструктура нейрону неокортексу миші. Масштаб: 5 мкм.

Ультраструктура бактерії (Bacillus subtilis). 200 nm.
Приклади
- У біології — електронно-мікроскопічні структурні елементи живої речовини.
- У мінералогії — мікробугристі поверхні (у перетині — мікрозубчасті шви), що спостерігаються порівняно рідко всередині окремих тектонічно роздроблених зазвичай уламкових зерен кварцу і мікрокліну (Теодорович, 1962).
Див. також
Література
- Вільям Ф. Ґанонґ. Фізіологія людини: Підручник/Переклад з англ. Наук.ред.перекладу М.Гжегоцький, В.Шевчук, О.Заячківська.—Львів: БаК, 2002.—784 с. ISBN 966-7065-38-3
- Николлс, Джон Г. (2012). От нейрона к мозгу. с. 671. ISBN 9785397022163.
- Мала гірнича енциклопедія : у 3 т. / за ред. В. С. Білецького. — Д. : Східний видавничий дім, 2013. — Т. 3 : С — Я. — 644 с.
- Long, J., and Denning, D., Ultra-Structure: A design theory for complex systems and processes. In Communications of the ACM (January 1995)
This article is issued from Wikipedia. The text is licensed under Creative Commons - Attribution - Sharealike. Additional terms may apply for the media files.