Хвороба вейперів
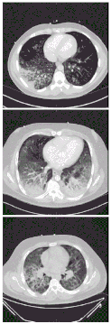
Хвороба вейперів[1], також «Пошкодження легень, пов'язане з вейпінгом», VAPI, EVAPI або E/VAPI[2][3][4] — захворювання легенів, пов'язане з вживанням електронних сигарет, яке може бути тяжким і небезпечним для життя[5]. Початкові симптоми можуть нагадувати пневмонію, але хворі зазвичай не реагують на терапію антибіотиками. Пацієнти зазвичай звертаються за допомогою протягом декількох днів або тижнів після появи симптомів.
| Хвороба вейперів | |
|---|---|
![]() | |
| Причини | vapingd |
| Класифікація та зовнішні ресурси | |
| МКХ-10 | U07.0 |
У вересні 2019 року Центри з контролю та профілактики захворювань у США (CDC) повідомили про спалах тяжкого захворювання легенів по всій країні. Захворювання пов'язали з вейпінгом[6], тобто, процесом вдихання аерозольних речовин за допомогою електронних сигарет[7] та інших подібних пристроїв[8]. Випадки пошкодження легень реєструються як мінімум з квітня 2019 року[9]. Станом на 4 лютого 2020 року центрами контролю захворювань було зареєстровано 2 758 випадків, 64 закінчилися смертю[5].
Лікарі штату Юта назвали хворобу ліпоїдною пневмонією[10]. CDC відзначили, що симптоми нагадують ГРВІ, а пацієнти після лікування можуть знову зіткнутися з рецидивом захворювання. Після спалаху пандемії коронавірусної хвороби 2019 навесні 2020 року китайські науковці виявили схожість цієї коронавірусної інфекції і хвороби вейперів[11].
Всі випадки хвороби вейперів, про які повідомляють CDC, пов'язані з історією використання електронних сигарет або вейпінгу, при цьому більшість зразків, на сьогоднішній день протестованих FDA США, дали позитивний результат на тетрагідроканнабінол (THC), крім того, більшість пацієнтів повідомили про історію використання продуктів, що містять THC[5]. Останні дані CDC показують, що пік спалаху припав на вересень 2019 р., і до січня 2020 р. він неухильно знижувався[12]. Наприкінці лютого 2020 року CDC заявили, що спалах хвороби вейперів був «спричинений використанням ТГК-містких продуктів із неофіційних і незаконних джерел»[13].
CDC заявили, що ацетат вітаміну Е, згущувач у картриджах із THC, сильно впливає на розвиток хвороби[14], але даних станом на січень 2020 року поки недостатньо, щоб виключити вплив інших хімічних речовин[5][15].
Примітки
- Впервые выделены признаки болезни вейперов. ТАСС. Процитовано 19 лютого 2021.
- CDPH Health Alert: Vaping-Associated Pulmonary Injury (PDF). California Tobacco Control Program (Report).
- Vaping-Associated Lung Injuries - Minnesota Department of Health. www.health.state.mn.us. Процитовано 19 лютого 2021.
- David A. Siegel, Tara C. Jatlaoui, Emily H. Koumans, Emily A. Kiernan, Mark Layer. Update: Interim Guidance for Health Care Providers Evaluating and Caring for Patients with Suspected E-cigarette, or Vaping, Product Use Associated Lung Injury — United States, October 2019 // Morbidity and Mortality Weekly Report. — 2019. — Т. 68, вип. 41 (18 жовтня). — С. 919–927. — ISSN 0149-2195. — DOI:.
- CDC's Office on Smoking and Health (27 листопада 2020). Smoking and Tobacco Use; Electronic Cigarettes. Centers for Disease Control and Prevention (en-us). Процитовано 19 лютого 2021.
- W. Graham Carlos, Laura E. Crotty Alexander, Jane E. Gross, Charles S. Dela Cruz, Jonathan M. Keller. Vaping-associated Pulmonary Illness (VAPI) // American Journal of Respiratory and Critical Care Medicine. — 2019. — Т. 200, вип. 7 (18 вересня). — С. P13–P14. — ISSN 1073-449X. — DOI:.
- Georgios A. Triantafyllou, Perry J. Tiberio, Richard H. Zou, Phillip E. Lamberty, Michael J. Lynch. Vaping-associated Acute Lung Injury: A Case Series // American Journal of Respiratory and Critical Care Medicine. — 2019. — Т. 200, вип. 11 (1 жовтня). — С. 1430–1431. — ISSN 1073-449X. — DOI:.
- Jeffrey E. Gotts, Sven-Eric Jordt, Rob McConnell, Robert Tarran. What are the respiratory effects of e-cigarettes? // BMJ. — 2019. — Vol. 366 (30 September). — ISSN 1756-1833. — DOI:.
- Jennifer E. Layden, Isaac Ghinai, Ian Pray, Anne Kimball, Mark Layer. Pulmonary Illness Related to E-Cigarette Use in Illinois and Wisconsin — Final Report // New England Journal of Medicine. — 2020. — Vol. 382, iss. 10 (5 March). — P. 903–916. — ISSN 1533-4406 0028-4793, 1533-4406. — DOI:.
- Легкие 70-летних: найдена причина болезни вейперов // Газета.Ру, 14 сентября 2019 года
- Суперкомпьютер показал, что «пневмония вейперов» схожа с коронавирусом/ / Российская газета, 10 апреля 2020 года
- Most EVALI Patients Used THC-Containing Products as New Cases Continue To Decline | CDC Online Newsroom | CDC. www.cdc.gov (en-us). 17 січня 2020. Процитовано 19 лютого 2021.
- Brian A. King, Christopher M. Jones, Grant T. Baldwin, Peter A. Briss. The EVALI and Youth Vaping Epidemics — Implications for Public Health // New England Journal of Medicine. — 2020. — 17 January. — DOI:.
- Transcript of CDC Telebriefing: Update on Lung Injury Associated with E-cigarette Use, or Vaping | CDC Online Newsroom | CDC. www.cdc.gov (en-us). 17 грудня 2019. Процитовано 19 лютого 2021.
- Hitendra S. Chand, Thivanka Muthumalage, Wasim Maziak, Irfan Rahman. Pulmonary Toxicity and the Pathophysiology of Electronic Cigarette, or Vaping Product, Use Associated Lung Injury // Frontiers in Pharmacology. — 2020. — Т. 10 (14 січня). — ISSN 1663-9812. — DOI:.
