Хромомікоз
Хромомікоз (також Хромобластомікоз, англ. Chromoblastomycosis / Chromomycosis, також англ. Cladosporiosis, Fonseca's disease, Pedroso's disease, Phaeosporotrichosis, Verrucous dermatitis) — хронічна грибкова інфекція шкіри та підшкірної клітковини, яку спричинюють темнофарбовані патогенні гриби родини Dematiateae, представники якого широко поширені у довкіллі (ґрунт, гниюча деревина, солома тощо). Хворобу не слід плутати з мікозами, такими як міцетома або феогіфомікоз, спричинені іншими багатодомними грибами. Термін «хромомікоз» обмежений випадками, коли склеротичні клітини присутні в тканині. Склеротичні клітини, також відомі як тільця мушмули, мають глобусоподібну форму сигари, товстостінні структури діаметром 4-12 мкм.
| Хромомікоз / Хромобластомікоз | |
|---|---|
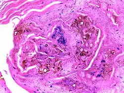
![]() Мікрографія препарату при хромомікозі, що демонструє вогнища склерозу Мікрографія препарату при хромомікозі, що демонструє вогнища склерозу | |
| Спеціальність | інфекційні хвороби і дерматологія |
| Препарати | флуцитозин[1] |
| Класифікація та зовнішні ресурси | |
| МКХ-11 | 1F24 |
| МКХ-10 | B43 |
| DiseasesDB | 29799 |
| eMedicine | derm/855 |
| MeSH | D002862 |
| | |
У 1992 році Міжнародне товариство з мікології людини і тварин (ISHAM) рекомендувало найкращим ім'ям для визначення хвороби хромобластомікоз.
Історичні відомості
Хромомікоз був вперше описаний німецьким лікарем Максом Рудольфом у 1914 році. У 1987 році брати Кастро повідомили, що Макс Рудольф, який проживав у Бразилії, опублікував попереднє повідомлення, де було описано перші 6 випадків захворювання. Він також зміг виділити грибок темного забарвлення від 4 з 6 пацієнтів. Цей грибок виріс у культурі як темно-сіро-чорна колонія, яка нагадувала хутро. Рудольф вважав цей гриб типом бластоміцету, і він успішно прищепив хворобу 4 білим пацюкам та 2 мавпам[2]. Проте він за якихось причин не описав гістологічних аспектів захворювання або патогномонічних склеротичних клітин, які здійснили інші науковці через рік[3]. До 1930 року нові випадки були описані за межами американського континенту у Франції, на Суматрі та в Польщі.
Актуальність
Зустрічається у всьому світі, але найчастіше — в сільській місцевості приблизно від 30 ° північної до 30 ° південної широти. Мадагаскар, Бразилія та Японія мають найбільшу захворюваність.
Етіологія
Виділяються чотири основні види збудників хромомікозу: Fonsecae pedrosoi, Phyalophora verrucosa, Fonsecae compacta, Cladosporium carrionii. Усі види мікроміцетів дають макроскопічноподібні колонії. Відрізняються ці гриби при мікроскопії за способами спороношення, відповідно належать до типів Cladosporium, Phialophora і Rhinocladiella. У 2007 році в Панамі було виявлено, що 5-й вид Chaetomium funicola здатний спричинити хромомікоз. Описаний 6-й вид Fonsecaea nubica, морфологічно схожий на F. pedrosoi, якій здатний спричинити хромомікоз. Це виявлено на півночі Китаю та в Європі. Передбачається, що й Rhinocladiella aquaspersa може бути 7-м видом збудників цього мікозу.
Епідеміологічні особливості
Основним середовищем існування для збудника є ґрунт, деревина, солома, садові рослини тощо. Зараження відбувається при потраплянні збудника в чимось пошкоджену шкіру. Збудники часто потрапляють в організм людини при контакті з деревними осколками або колючками. Більше двох третин пацієнтів — чоловіки, і, як правило, у віці від 30 до 50 років. Кореляція з HLA-A29 також припускає, що генетичні фактори також можуть відігравати роль.
Патогенез
Інфікування відбувається в результаті травматичної імплантації збудника в шкіру за відсутності імуносупресії. Часто така травма навіть не усвідомлюється пацієнтом. Ураження обмежено, зазвичай, шкірою і підшкірною клітковиною. Найчастіше уражаються нижні кінцівки, але можуть руки, шкіра грудей і живота, обличчя. Описані рідкісні випадки ураження головного мозку та внутрішніх органів. Первинне джерело ураження з'являється на шкірі в місці інокуляції збудника як ущільнення, що лущиться, або як вузол темно-червоного забарвлення.
Згодом, часто через місяці або роки, поруч з'являються нові вузли. Поступово вогнище ураження збільшується в розмірі та набуває вигляду зростаючих бляшок з папіломатозними розростаннями на поверхні. Між бляшками можуть бути ділянки здорової шкіри. Поверхня бляшок вкрита кірками, що утворилися при висиханні гнійно-геморагічного ексудату. Коли вузликові ураження переважають над бляшками, пухлиноподібні розростання набувають типового вигляду цвітної капусти, легко травмуються, кровоточать, нагноюются і виразкуються, після чого утворюються грубі та гіпертрофовані рубці, що нагадують келоїдні. Збудник поширюється по лімфатичних судинах і шляхом аутоінокуляції. Вогнища ураження мають ексцентричний характер зростання, досягають 10–20 см у діаметрі, можуть охоплювати всю гомілку або стопу. У запущених випадках розвивається лімфедема ураженої кінцівки, слоновість.
У клінічних дослідженнях продемонстровано високу частоту наявності антигену гістосумісності HLA-A29 у пацієнтів з хромомікозом, що свідчить про роль генетичних факторів у розвитку захворювання.
Клінічні ознаки

Інкубаційний період триває кілька тижнів або місяців. На місці інокуляції збудника з'являється еритемато-сквамозне вогнище, що нагадує бляшки при псоріазі. Надалі воно трансформується у папіломатозно-виразкову, горбикову або вузлувату форми.
Папіломатозно-виразкова форма
Їй притаманне вогнище овальної або довгастої форми діаметром 10 см і більше, з різкими фестончатими кордонами, чітким рівним інфільтрованим краєм. Вогнище покривається кірками, при знятті яких з'являються виразки з бородавчастими розростаннями і невеликою кількістю кров'янисто-гнійних виділень. Зрідка папіломатозні розростання досягають висоти 1 см, при цьому можуть нагадувати цвітну капусту.
Горбикова форма
Утворюється горбик ціанотично-червоного кольору, конічної форми, схильний до периферичного розростання. Надалі горбик вкриває кірка, навколо виникають нові елементи висипу, які зливаються в конгломерат у вигляді щільних бляшок з фестончатим краєм. Потім горбики розм'якшуються, виразкуються, вкриваються папіломатозними розростаннями.
Вузлувата форма
При вузлуватій (гумозній) формі в нижніх шарах шкіри утворюються вузли величиною 3–4 см і більше, щільної консистенції, вони розташовуються на щільному інфільтраті. Шкіра над ними ціанотична. Вузли розм'якшуються з утворенням виразок, покритих кіркою, при їх знятті оголюються папіломатозні вегетації.
Загалом клінічний перебіг багаторічний, повільно прогресуючий, зазвичай доброякісний, проте можливі рідкісні випадки дисемінації у внутрішні органи.
Ускладнення
Основними є виразка, лімфатичний набряк та вторинна бактеріальна інфекція. Повідомлялося про кілька випадків злоякісної трансформації в плоскоклітинний рак.
Діагностика
Діагноз ставлять на підставі характерних клінічних проявів, мікроскопічного і /або культурального дослідження патологічного матеріалу (лусочок, гною). У складних діагностичних випадках необхідно проведення патоморфологічного дослідження. Діагноз підтверджується наявністю в досліджуваних субстратах (лусочки шкіри, гістологічні зрізи) тканинної форми гриба у вигляді так званих склеротичних клітин, «фумаго» або темних тілець, які являють собою округлі темно-пігментовані клітини з двоконтурною стінкою, що розділяються поперечною перетинкою на дві або три частини. Тканинні форми ніколи не брунькуються. При культивуванні лусочок, біоптатів на поживному середовищі Сабуро з'являється повільнозростаюча колонія (2–3 тижні) від оливково-зеленого до чорного відтінку.
Лікування
Хромобластомікоз дуже важко вилікувати. Основними препаратом вибору є ітраконазол, чия добова доза становить від 0,2-0,4 г, перорально з флуцитозином (5-FC) або без нього. Іншими препаратами є тербінафін, позаконазол. Ситуативно призначають також амфотерицин В, йодид калію або натрію, протигрибкові мазі. Є свідчення про ефективність сполучення ітраконазолу з амфотерицином В, вориконазолу з тербінафіном. Кріохірургія рідким азотом також показала свою ефективність. Нагрівальна терапія є ще одном способом лікування. Використання кишенькових обігрівачів виявилося успішним у лікуванні деяких випадків. Ймовірно підвищення температури шкіри якимось чином погіршує розвиток грибків.
Профілактика
Специфічної профілактики не існує. Велике значення має запобігання травматизації шкіри, своєчасна обробка пошкоджених ділянок дезинфікуючими засобами.
Примітки
- NDF-RT
- Castro RM, Castro LG. On the priority of description of chromomycosis. Mykosen. 1987 Sep. 30(9):397-403. (англ.)
- Medlar EM. A cutaneous infection caused by a new fungus Phialophora verrucosa with a study of the fungus. J Med Res. 1915. 32:507-22. (англ.)
Джерела
- Інфекційні хвороби: енциклопедичний довідник / за ред. Крамарьова С. О., Голубовської О. А. — К.: ТОВ «Гармонія», 2-е видання доповнене та перероблене. 2019. — 712 с. ISBN 978-966-2165-52-4 (Крамарьов С. О., Голубовська О. А., Шкурба А. В. та ін.) / С. 624—625.
- Robert A Schwartz Chromoblastomycosis Updated: May 15, 2019 Medscape. Drugs & Diseases. Dermatology (Chief Editor: Dirk M Elston) (англ.)
- López Martínez R, Méndez Tovar LJ (2007). «Chromoblastomycosis». Clin. Dermatol. 25 (2): 188–94. doi:10.1016/j.clindermatol.2006.05.007. PMID 17350498 (англ.)
