Хронічний мієлоцитарний лейкоз
Хронічний мієлолейкоз (ХМЛ), також відомий як Хронічний мієлобластний лейкоз, Хронічна мієлобластна лейкемія — онкологічне захворювання при якому в кровотворних органах — в червоному кістковому мозку внаслідок мутації протоонкогена в клітинах мієлоїдної лінії клітин утворюються онкотрансформовані (ракові) клітини, що поширюються в периферійну кров та інші органи. Це форма патології, яку ще називають рак крові. Це форма хронічної лейкемії (лейкозу), що характеризується посиленим та нерегульованим ростом патологічних мієлоїдних клітин у червоному кістковому мозку та накопиченням цих клітин у крові. ХМЛ — це клональний розлад стовбурових клітин червоного кісткового мозку, при якому спостерігається проліферація зрілих гранулоцитів (нейтрофілів, еозинофілів та базофілів) та їх попередників. Це тип мієлопроліферативного новоутворення, пов'язаний у багатьох випадках захворювання із характерною хромосомною транслокацією, яка називається філадельфійською хромосомою (ph-хромосомою) яка є мініатюрною хромосомою, що утворилася з 22 хромосоми внаслідок транслокацій, в тому числі t(9;22) та ін. ХМЛ лікується цілеспрямованими препаратами, які називаються інгібіторами тирозинкінази (ТІК), що призводить до значного поліпшення довготривалої виживаності пацієнтів. Ці методи терапії застосовуються з 2001 року. Ці препарати зробили революцію в лікуванні цієї хвороби і дозволяють більшості пацієнтів мати хороший прогноз перебігу захворювання в порівнянні з колишніми препаратами хіміотерапії. У західних країнах частота ХМЛ становить 15 — 25 % усіх випадків лейкозів дорослих та 14 % лейкозів загалом (включаючи лейкози дітей — у них ХМЛ зустрічається рідше).




| Хронічний лімфолейкоз | |
|---|---|
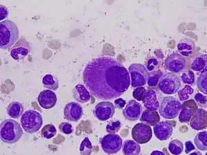
![]() Мазок периферичної крові при хронічному мієлоїдному лейкозі: виражений лейкоцитоз із зрушенням гранулоцитів до молодих форм Мазок периферичної крові при хронічному мієлоїдному лейкозі: виражений лейкоцитоз із зрушенням гранулоцитів до молодих форм | |
| Спеціальність | онкологія |
| Препарати | uracil mustardd[1], Бусульфан[1], Ідарубіцин[1], Циклофосфамід[1], Plicamycind[1], Гідроксикарбамід[1], thioguanine hydrated[1], imatinib mesylated[1] і pipobromand[2] |
| Класифікація та зовнішні ресурси | |
| МКХ-11 | XH4XG8 |
| МКХ-10 | C92.1 |
| МКХ-О | 9875/3 |
| OMIM | 608232 |
| DiseasesDB | 2659 |
| eMedicine | /199425 |
| MeSH | D015464 |
| | |
Ознаки та симптоми
ХМЛ тяжка патологія, що має різні стадії перебігу захворювання, що можуть випадати в окремих пацієнтів. На ранніх стадіях патогенезу ХМЛ перебігає безсимптомно. На цих стадіях перебігу захворювання при лабораторному обстеженні може бути виявлений високий рівень лейкоцитів. У подальшому можуть проявлятися симптоми у вигляді гепатоспленомегалії з відповідними больовими відчуттями. Збільшена селезінка може тиснути на шлунок, спричиняючи втрату апетиту та, як наслідок, втрату ваги. Це також може проявлятися підвищенням температури та нічними потовиділеннями через підвищений базальний рівень метаболізму. У деяких пацієнтів (<10 %) під час прискореної стадії перебігу ХМЛ виявляються кровотечі, петехії та екхімоз. У цих пацієнтів гарячка найчастіше є наслідком супутніх інфекцій. Деяким пацієнтам діагностують ХМЛ на фазі загострення, коли простежуються гарячка, біль у кістках та збільшення фіброзу кісткового мозку.
Причини патогенезу ХМЛ
У більшості випадків жодної очевидної причини появи ХМЛ не можливо виявити. Факторами ризику ХМЛ є стать (ХМЛ частіше зустрічається у чоловіків, ніж у жінок — співвідношення хворих чоловіків і жінок 1,4 : 1), вік (частіше з'являється у людей похилого віку із середнім віком при діагнозі 65 років), опромінення — збільшує ризик захворювання в 50 разів — це, зокрема, було зафіксоване в містах Хіросіма та Нагасакі після застосування ядерної зброї в 1945 році. Максимальне збільшення частоти ХМЛ в опромінених людей простежується через 10 років після опромінення. ХМЛ може виникати в результаті дії хімічних мутагенів (в тому числі інсектицидів, пестицидів) або внаслідок спонтанних мутацій. Ще одним фактором ризику є спадковість — імовірність появи ХМЛ є вищою в людей, у яких предки хворіли на лейкози.
Патогенез
ХМЛ був першим онкологічних захворюванням, що було однозначно пов'язане з явною генетичною патологією — сегментною хромосомною мутацією — хромосомною транслокацією, і появою аномальної хромосоми, що отримала назву філадельфійська хромосома (ph-хромосома). Цю хромосомну аномалію названо так, оскільки вона була вперше виявлена та описана в 1960 році двома вченими з Філадельфії (штат Пенсільванія, США): Пітером Ноуеллом з Пенсильванського університету та Девідом Хангерфордом з Центру раку Фокса Чейза. При цій транслокації частини двох хромосом (9-ї та 22-ї пар) міняються місцями. Як результат цієї транслокації, частина гена BCR з хромосоми 22 зливається з геном ABL на хромосомі 9. Утворюється химерний ген BCR-ABL, що є онкогеном. Цей аномальний химерний ген генерує білок p210 або іноді p185 (p210 являє собою білок масою 210 kDa) Оскільки білок abl несе домен, що може додавати фосфатні групи до залишків тирозину (тирозинкінази), продукт злиття гена bcr-abl також є тирозинкіназою. Химерний білок BCR-ABL взаємодіє з субодиницею рецептора інтерлейкіну 3beta(c). Транскрипт BCR-ABL постійно активний і не вимагає активації іншими клітинними сигнальними білками. У свою чергу білок BCR-ABL активує синтез каскаду білків, які контролюють клітинний цикл, прискорюючи поділ клітин. Більше того, білок BCR-ABL пригнічує репарацію (відновлення) ДНК, викликаючи нестабільність геному і роблячи клітину більш сприйнятливою до розвитку подальших генетичних відхилень та мутацій — як хромосомних, так і генних. Дія білка BCR-ABL є причиною патогенезу ХМЛ. Внаслідок дослідження природи білка BCR-ABL та його дії як тирозинкінази були розроблені цілеспрямовані методи терапії ХМЛ (першим методом терапії було застосування іматинібу), які спеціально пригнічують активність білка BCR-ABL. Ці інгібітори тирозинкінази можуть індукувати повні ремісії ХМЛ, підтверджуючи центральне значення bcr-abl як причини ХМЛ.
Діагностика
Підозра щодо діагнозу ХМЛ виникає на основі рутинного загального аналізу крові, що показує збільшення числа гранулоцитів всіх типів серед клітин периферійної крові, включаючи зрілі та незрілі клітини мієлоїдної лінії. Відмічається збільшення кількості базофілів та еозинофілів. Уточнити діагноз вдається завдяки біопсії червоного кісткового мозку. Цитогенетично ХМЛ діагностується завдяки виявленню філадельфільської хромосоми – продукту транслокації t (9; 22) (q34; q11.2), що зачіпає ген alb1 в хромосомі 9 та ген bcl в хромосомі 22 з утворенням химерного гену alb-bcl. Філадельфійська хромосома значно менших розмірів ніж нормальна 22 хромосома і легко простежується візуально. Ген alb-bcl можна також виявити шляхом полімеразної ланцюгової реакції (ПЛР). Проблеми з діагностикою і патогенезом захворювання виникають щодо так званого ph-негативного ХМЛ, коли картина патології цілком відповідає ХМЛ, але філадельфійську хромосому виявити не вдається. Пацієнти з такою формою ХМЛ мають складні хромосомні аномалії, що маскують транслокацію t (9; 22). Інколи вдається отримати позитивний тест на химерний ген alb-bcl не дивлячись на відсутність філадельфійської хромосоми за допомогою ПЛР тесту. Іноді при відсутності філадельфійської хромосоми та при відсутності химерного гену alb-bcl і проявом симптомів ХМЛ діагностується мієлодиспластичний синдром – патологія, перебіг якої відрізняється від перебігу ХМЛ. Також ХМЛ слід відрізняти від лейкемоїдної реакції, що може мати подібний до ХМЛ прояв – в тому числі і на цитологічному рівні.
Класифікація
Випадки ХМЛ поділяють на три фази на основі клінічних характеристик та лабораторних даних. За відсутності втручання ХМЛ починається в хронічній фазі, і протягом декількох років переходить до прискореної фази і, зрештою, до бластної кризи, що завершується при відсутності лікування летально. Криза є термінальною фазою ХМЛ і клінічно проявляється як гострий мієлобластний лейкоз (ГМЛ). Медикаментозне лікування зазвичай зупиняє цей прогрес, якщо розпочати його вчасно. Одним із рушіїв переходу від хронічної фази через прискорення та кризу є виникнення нових хромосомних аномалій (на додаток до Філадельфійської хромосоми) – поява нових хромосомних мутацій, які є причиною виникнення більш агресивного клону ракових клітин. Деякі пацієнти до того, як їм поставлять діагноз, можуть уже переживати прискорену фазу або кризу ХМЛ. Хронічна фаза простежується у 85% пацієнтів з ХМЛ на момент постановки діагнозу. Під час цієї фази ХМЛ переважно розвивається безсимптомно або є лише слабкі симптоми хвороби - втома, болі в лівому боці, болі в суглобах та / або в стегнах, або збільшення об’єму живота. Тривалість хронічної фази варіюється і залежить від того, наскільки рано було діагностовано захворювання, а також від застосовуваних методів лікування. За відсутності лікування хвороба переходить у прискорену фазу і завершується летально. Перехід захворювання в фазу бластної кризи визначається на основі клінічних та цитогенетичних критеріїв. Критерії переходу ХМЛ в фазу бластної кризи розроблені онкологічних центром Андерсена та Сокалем зі співавторами. Використовуються також критерії розроблені ВОЗ та тимчасові критерії щодо відповіді організму пацієнта на терапію інгібіторами тирозинкінази (ТКІ).
Гематологічні та цитогенетичні критерії
- Стійкий або тимчасово підвищений високий рівень лейкоцитів (> 10 млн./л), не реагуання на терапію.
- Стійка або зростаюча спленомегалія, не реагування на терапію.
- Стійкий тромбоцитоз (> 1000 млн./л), не реагування на терапію.
- Стійка тромбоцитопенія (< 100 млн./л), не пов'язана з терапією.
- ≥ 20% базофілів у периферичній крові.
- 10 ― 19% бластів у периферичній крові та/або в кістковому мозку.
- Додаткові клональні хромосомні аномалії в клітинах із філательфійською хромосомою (Ph+)
- Інші аномалії хромосом (друга ph-хромосома, трисомія 8, ізохромосома 17q, трисомія 19), складний каріотип та аномалії 3q26.2
- Будь-яка нова клональна хромосомна аномалія в клітинах ph+, яка виникає під час терапії/
Критерії кризи щодо відповіді терапію інгібіторами TKI
- Гематологічна стійкість (або неможливість досягнення повної гематологічної відповіді d) на першу дію інгібіторів ІТК.
- Будь-які гематологічні, цитогенетичні або молекулярні ознаки стійкості до двох послідовних дій інгібіторів TKI
- Виникнення двох або більше мутацій гена злиття BCR-ABL1 під час терапії TKI.
Вважається, що пацієнт перебуває у фазі бластної крилзи (прискореній фазі), якщо хоч якийсь один показник із зазначених вище. Прискорена фаза є вкрай тривожним сигналом, оскільки вона сигналізує про те, що хвороба прогресує і неминуча подальша негативна трансформація. Медикаментозне лікування часто стає менш ефективним на запущених стадіях перебігу хвороби.
Бластна криза
Бластна криза є завершальною фазою еволюції ХМЛ і патологія себе як гострий мієлобластний лейкоз із швидким прогресуванням і низькою імовірністю виживанням. Бластна криза діагностується, якщо у пацієнта з ХМЛ є щось із наведеного:
- > 20% бластів у крові або кістковому мозку.
- Наявність екстрамедулярного розповсюдження мієлобластів.
Лікування
Методом лікування ХМЛ є трансплантація кісткового мозку або алогенна трансплантація стовбурових клітин. Окрім цього, існує ще чотири основні підходи до лікування ХМЛ: лікування інгібіторами тирозинкінази, терапія мієлосупресорами або лейкоферезом (для протидії лейкоцитозу під час раннього лікування), спленектомія та лікування α-інтерфероном-2b. Через високий середній вік хворих на ХМЛ порівняно рідко спостерігається ХМЛ у вагітних жінок, незважаючи на це, однак хронічний мієлолейкоз можна лікувати з відносною безпекою в будь-який час вагітності за допомогою гормонів α-інтерферону.
Хронічна фаза
У минулому антиметаболіти (наприклад, цитарабін, гідроксисечовина), алкілуючі агенти, α-інтерферон 2b та стероїди використовувались для лікування ХМЛ у хронічній фазі, але з 2000-х років вони були замінені інгібіторами тирозинкінази bcr-abl, які спеціально націлені на на дію продукту химерного гена BCR-ABL - конститутивно активований злитий білок тирозинкінази, спричинений транслокацією з утворенням філадельфійської хромосоми. Незважаючи на перехід до заміни цитотоксичних протипухлинних засобів (стандартних протипухлинних препаратів) інгібіторами тирозинкінази, інколи гідроксисечовина все ще використовується для протидії високій кількості лейкоцитів, що спостерігається під час лікування інгібіторами тирозинкінази, такими як іматиніб; у цих ситуаціях він може бути найкращим мієлосупресивним агентом через його відносну відсутність лейкемогенних ефектів і, отже, відносну відсутність потенціалу вторинних гематологічних злоякісних новоутворень в результаті лікування. Міжнародне дослідження IRIS, яке порівняло комбінацію інтерферону/цитарабіну та першого з цих нових препаратів іматинібу, з довготривалим спостереженням, продемонструвало явну перевагу інгібування, спрямованого на тирозинкіназу, над існуючими методами лікування.
Джерела
- Vos T., Allen C., Arora M. et al. (GBD 2015) Disease and Injury Incidence and Prevalence Collaborators) (October 2016). Global, regional, and national incidence, prevalence, and years lived with disability for 310 diseases and injuries, 1990—2015: a systematic analysis for the Global Burden of Disease Study 2015 // Lancet. — 388 (10053): 1545—1602. doi:10.1016/S0140-6736(16)31678-6. PMC 5055577. PMID 27733282.
- Wang H., Naghavi M., Allen C. et al. (GBD 2015 Mortality and Causes of Death Collaborators) (October 2016). Global, regional, and national life expectancy, all-cause mortality, and cause-specific mortality for 249 causes of death, 1980—2015: a systematic analysis for the Global Burden of Disease Study 2015 // Lancet. — 388 (10053): 1459—1544. doi:10.1016/s0140-6736(16)31012-1. PMC 5388903. PMID 27733281.
- Besa E. C., Buehler B., Markman M., Sacher R. A. (27 December 2013). Krishnan K (ed.). Chronic Myelogenous Leukemia // Medscape Reference. WebMD. Retrieved 3 January 2014.
- Provan D., Gribben J. G. (2010). Chapter 7 Chronic myelogenous leukemia // Molecular Hematology (3rd ed.). Singapore: Wiley-Blackwell. p. 76. ISBN 9781444318548.
- NDF-RT
- Inxight: Drugs Database
