Хронічний панкреатит
Хронічний панкреатит — хронічне запалення підшлункової залози (хронічна форма панкреатиту), що характеризується хронічним болем у мезогастральній ділянці, мальабсорбцією (стеаторея, тобто «жирні» випорожнення), вогнищевими, сегментарними або дифузними дегенеративними та деструктивними змінами паренхіми залози з розвитком фіброзу, порушеннями прохідності панкреатичних проток, поступовим заміщенням паренхіми органу сполучною тканиною з розвитком її екзо — і ендокринної недостатності.[1]
| Хронічний панкреатит | |
|---|---|
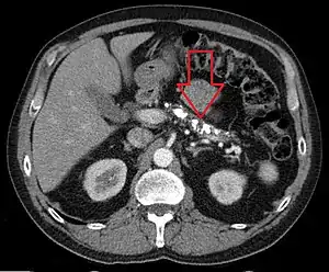
![]() Знімок КТ в аксіальній проекції демонструє кальцифікати в підшлунковій залозі у пацієнта з хронічним панкреатитом Знімок КТ в аксіальній проекції демонструє кальцифікати в підшлунковій залозі у пацієнта з хронічним панкреатитом | |
| Спеціальність | гастроентерологія |
| Класифікація та зовнішні ресурси | |
| МКХ-11 | DC32 |
| МКХ-10 | K86.0-K86.1 |
| OMIM | 167800 |
| DiseasesDB | 9559 |
| MedlinePlus | 000221 |
| eMedicine | med/1721 |
| MeSH | D050500 |
Етіологія
Достеменно невідома. Як можливі причини розвитку хронічного панкреатиту розглядаються: токсична дія алкоголю, жовчнокам'яна хвороба, генетичні порушення.
Симптоми
Ознаки хронічного панкреатиту: біль під грудьми чи зліва під ребрами, втрата апетиту, відраза до жирної їжі, підвищене слиновиділення, відрижка, нудота, блювання, здуття живота, схуднення, відчуття спраги. При ураженні більше 80 % острівців Лангерганса розвивається цукровий діабет.
Патогенез
Хвороба розвивається поступово з прогресуванням симптомів, що залежить від розвитку фіброзних змін в підшлунковій залозі.
Лікування
Переважно проводиться консервативне лікування в стаціонарі. В деяких випадках показано оперативне лікування. При оперативному лікування виконують резекцію підшлункової залози або її дренування за допомогою виконання панкреатоєюноанастомозів.[2] Можливе проведення трансплантації підшлункової залози.
Див. також
Посилання
- American Gastroenterological Association Medical Position Statement (1998). American Gastroenterological Association Medical Position Statement: treatment of pain in chronic pancreatitis. Gastroenterology 115 (3): 763–4. PMID 9721174. doi:10.1016/S0016-5085(98)70156-8.
- Society for Surgery of the Alimentary Tract (SSAT) (2004). Operative treatment for chronic pancreatitis. Процитовано 9 червня 2007.
