Целіакія
Целіакія — автоімунне захворювання тонкого кишечника, що виникає у людей різного віку, переважно у дітей внаслідок генетичної схильності. Симптомокомплекс порушень при целіакії включає біль та дискомфорт в ділянці живота, хронічні закрепи або діарею.[2]
| Целіакія | |
|---|---|
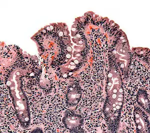
![]() Мікроскопічна картина целіакії: ворсинки тонкого кишечника сплощені, крипти гіперплазовані та інфільтровані лімфоцитами. Мікроскопічна картина целіакії: ворсинки тонкого кишечника сплощені, крипти гіперплазовані та інфільтровані лімфоцитами. | |
| Спеціальність | гастроентерологія |
| Симптоми | діарея[1], запор[1], блювання[1] і нудота[1] |
| Класифікація та зовнішні ресурси | |
| МКХ-11 | DA95 |
| МКХ-10 | K90.0 |
| OMIM | 212750 |
| DiseasesDB | 2922 |
| MedlinePlus | 000233 |
| eMedicine | radio/652 |
| MeSH | D002446 |
| | |
Люди з діагнозом целіакії не переносять білок глютен, який є в пшениці, житі, ячмені і, можливо, у вівсі. Коли хворі целіакією вживають продукти, що містять глютен, їх імунна система відповідає на це ушкодженням тонкого кишківника. На внутрішній його поверхні відмирають крихітні пальцеподібні ворсинки, так звані «віллє», які виконують в кишківнику важливу роль: через них поживні речовини з їжі всмоктуються в кров. Без цих ворсинок організм виснажується незалежно від кількості вживаної їжі. Поверхня кишківника ушкоджується місцями. На внутрішній поверхні тонкого кишечника одночасно можуть знаходитися одна або декілька «мертвих» плям.
За даними Всесвітньої асоціації гастроентерологів, опублікованими в 2005 році, поширеність целіакії у дорослого населення країн світу приблизно однакова і становить 1: 100 — 1: 300. На сьогоднішні статистики щодо захворюваності на целіакію в Україні немає. Ризик виникнення целіакії в сім'ях, де є хворий на целіакію стоновить 1-10. Целіакія може розвиватися у дітей до року після введення прикорму, що містить глютен. Так само вперше розвиток целіакії можливий у віці 40-50 років.
Глютен — основний білок злаків — речовина, абсолютно токсична для хворих на целіакію. Він є основним фактором, що ушкоджує слизову оболонку тонкої кишки.
Прояви
Якщо в слизовій тонкої кишки немає генетично запрограмованої схильності до пошкодження глютеном, то целіакії немає і не буде. Таким чином для розвитку целіакії необхідні 2 умови: білок злакових і «схильність» слизової тонкої кишки.
Основний механізм діареї при целіакії пов'язаний з посиленням кишкової секреції через підвищення вмісту простагландинів, що може пояснюватися, з одного боку, підвищеним синтезом простагландинів мононуклеарами, які інфільтрують слизову оболонку тонкої кишки, і з іншої — зниженням їх інактивації внаслідок атрофічних змін слизової оболонки. Діарея тягне втрату електролітів і дегідратацію. У зв'язку з порушенням засвоєння поживних речовин розвиваються полігіповітаміноз, гіпоонкотичні набряки. Виснаження запасів кальцію і магнію може викликати парестезії, м'язові судоми і навіть тетанії. Мальабсорбція супроводжується остеопорозом, невмотивованими переломами, різними неврологічними захворюваннями.
До позакишкових проявів целіакії відноситься герпетиформний дерматит. При тяжкому перебігу захворювання, коли до патологічного процесу залучається уся тонка кишка, може розвинутися несумісний з життям синдром тотального порушення всмоктування.
Глютен, потрапляючи в кишківник, взаємодіє зі спеціальними рецепторами епітеліоцитів, спадково обумовлених. У відповідь на дію глютену відбувається атрофія ворсинок тонкої кишки. Пошкодження глікокалікса, а також щіткової облямівки ентероцитів з мембранними ферментами, до яких відносяться лактоза, сахароза, мальтаза, ізомальтаза і інші, призводить до різного ступеня непереносимості відповідних харчових речовин, а саме — цільного молока, цукру, мальтози, грибів та інших продуктів. Внаслідок виснаження слизової тонкої кишки, а також пошкодження глікокаліксу, у внутрішнє середовище організму потрапляють великі недорозщеплені молекули, що володіють властивостями алергенів. Саме тому у хворих часто розвиваються алергічні реакції, які повністю проходять після призначення безглютенової дієти. У хворих целіакії внаслідок атрофії ворсинок різко знижується поверхню всмоктування. Всмоктувальна поверхня тонкої кишки здорового дорослого дорівнює площі тенісного корту. У хворого на целіакію вона дорівнює площі столу для гри в пінг-понг. При порушенні ферментування кілька їжі потрапляє в нижні відділи в нерозщепленому стані, посилюючи бродіння і газоутворення.
Групи ризику з целіакії
- особи з хронічними проносами або з періодичними проносами і блювотою, проносами, що чергуються з запорами;
- особи з постійними болями в животі в поєднанні з різними диспептичними порушеннями;
- особи з відставанням у фізичному і / або статевому розвитку;
- особи з остеопорозом;
- хворі на цукровий діабет 1 типу, аутоімунним тиреоїдитом;
- особи із залізодефіцитною анемією;
- особи з хронічним виразковим стоматитом, герпетиформним дерматитом, фурункульозом і іншими стійкими ураженнями шкіри;
- жінки з хронічним невиношуванням вагітності;
- жінки з первинною аменореєю;
- чоловіче безпліддя;
- близькі родичі хворих на целіакію.
Особам з груп ризику необхідно обстеження з метою виключення целіакії
Лікування
Аглютенова дієта є засобом базисної терапії целіакії. Основні принципи цієї дієти такі:
- Виключення продуктів, що містять глютен (пшениці, жита, ячменю і вівса), а також продуктів, що підсилюють бродильні і гнильні процеси;
- Повноцінність раціону з підвищеним вмістом білку і солей кальцію;
- Обмеження механічних і хімічних подразників слизової оболонки кишківника.
В якості каталізатора гідролізу глютену може бути застосований рекомбінантний тритікаїн-α, який є стабільним в умовах шлунково-кишкового тракту[3].
Примітки
- Disease Ontology — 2016.
- Presutti RJ, Cangemi JR, Cassidy HD, Hill DA (December 2007). Celiac disease. Am Fam Physician 76 (12): 1795–802. PMID 18217518.
- Замятнин А.А., Балакирева А.В., Гороховец Н.В., Зерний Е.Ю., Кузнецова Н.В., Макаров В.А., Петушкова А.И., Савватеева Л.В. - Создание энзиматического средства для эффективной детоксификции глютена.
Посилання
- Целіакія // Універсальний словник-енциклопедія. — 4-те вид. — К. : Тека, 2006.
- Українська спілка хворих на целіакію
- Українська спілка целіакії — новий офіційний сайт спілки хворих на целіакію в Україні
