Allan Hills 84001
Аллан Гіллз 84001 (скор. ALH 84001)[1] — метеорит, знайдений в Аллан Гіллз, Антарктида, 27 грудня 1984 року групою американських мисливців на метеорити з проекту ANSMET. Як і інші члени групи марсіанських метеоритів, вважається, що 84001 походить з Марса. На час відкриття його маса становила 1,93 кг (4,3 фунта). Він потрапив у заголовки ЗМІ в усьому світі в 1996 році, коли вчені оголосили, що він може містити дані про мікроскопічні скам'янілості марсіанських бактерій на основі глобул карбонату[2].

Походження метеорита
Відповідно до теорії, камінь відколовся від поверхні Марса в результаті зіткнення планети з великим космічним тілом близько 4 млрд років тому, після чого залишався на планеті. Близько 15 млн років тому внаслідок нового потрясіння виявився в космосі, і лише 13 тисяч років тому потрапив у поле тяжіння Землі і приземлився на неї. Ці дані встановлені шляхом застосування наукових методів датування, таких як: датування за самарєм і неодимом, датування за стронцієм, калій-аргонова радіометрія, радіовуглецевий аналіз[3][4].
Вчені висловили гіпотезу про те, що утворення метеорита ALH 84001 на Марсі відбулося у той час, коли планета мала на своїй поверхні рідку воду. Інші марсіанські метеорити не такі цікаві для дослідників, оскільки їх походження відноситься до часу після епохи так званого «мокрого» Марса[5].
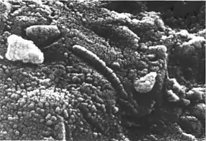
Можливі біогенні особливості

6 серпня 1996 вчені НАСА заявили про те, що метеорит може містити докази слідів життя на Марсі. Стаття, опублікована в журналі «Science» за авторством астробіолога Девіда Маккея, викликала великий резонанс [5].
При скануванні структур метеорита растровим електронним мікроскопом були виявлені скам'янілості, які нагадали вченим «сліди» земних організмів — магнітотактичних бактерій. Дослідники стверджували, що саме такі специфічні скам'янілості залишають бактерії на Землі, тому виявлення ідентичних скам'янілостей в метеориті говорить на користь існування бактерій на його рідній планеті. Разом з тим, діаметр структур, знайдених на ALH 84001, становить 20-100 нанометрів, що близько до теоретичних нанобактерій, але в рази менше від будь-якої відомої науці клітинної форми життя[6]. До того ж залишається неясним, чи свідчить це про те, що на Марсі було або є життя, чи ж ймовірні живі організми потрапили на метеорит вже на Землі після його падіння[7][8].
Посилання
- У марсіанському метеориті знайдені нові докази життя[недоступне посилання з червня 2019]
Примітки
- Meteoritical Bulletin Database: Allan Hills 84001
- Новая «жизнь на Марсе» gazeta.ru
- Nyquist, L. E.; Wiesmann, H.; Shih, C.-Y.; Dasch, J. (1999). Lunar Meteorites and the Lunar Crustal SR and Nd Isotopic Compositions. Lunar and Planetary Science 27: 971. Bibcode:1996LPI....27..971N.
- Borg, Lars; et al. (1999). The Age of the Carbonates in Martian Meteorite ALH84001. Science 286 (5437): 90–94. PMID 10506566. doi:10.1126/science.286.5437.90.
- Crenson, Matt (6 серпня 2006). After 10 years, few believe life on Mars. Associated Press (on usatoday.com). Архів оригіналу за 12 липня 2012. Процитовано 6 грудня 2009.
- McSween, H. Y. (1997). Evidence for life in a martian meteorite?. GSA Today 7 (7): 1–7. PMID 11541665.
- Bada, J. L.; Glavin, D. P.; McDonald, G. D.; Becker, L. (1998). A Search for Endogenous Amino Acids in Martian Meteorite ALH84001. Science 279 (5349): 362–365. PMID 9430583. doi:10.1126/science.279.5349.362.
- Becker L., Glavin D. P., Bada J. L. (1997). Polycyclic aromatic hydrocarbons (PAHs) in Antarctic Martian meteorites, carbonaceous chondrites, and polar ice. Geochimica et Cosmochimica Acta 61 (2): 475–481. PMID 11541466. doi:10.1016/S0016-7037(96)00400-0.