Anaerobacter
Anaerobacter — рід грам-позитивних бактерій родини Clostridiaceae. Вони — анаеробні хемотрофи, відоми своїм методом формування ендоспор, оскільки вони утворюють більш ніж одну спору на бактеріальну клітину [1].
? Clostridium | ||||||||||||
|---|---|---|---|---|---|---|---|---|---|---|---|---|
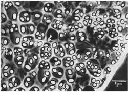
![]() Anaerobacter polyendosporus під час споруляції, можна побачити кілька ендоспор у кожній клітині | ||||||||||||
| Біологічна класифікація | ||||||||||||
| ||||||||||||
Види | ||||||||||||
| ||||||||||||
Посилання | ||||||||||||
| ||||||||||||
Посилання
- Siunov A, Nikitin D, Suzina N, Dmitriev V, Kuzmin N, Duda V. Phylogenetic status of Anaerobacter polyendosporus, an anaerobic, polysporogenic bacterium.. Int J Syst Bacteriol. 49 Pt 3: 1119–24. PMID .10425769.
This article is issued from Wikipedia. The text is licensed under Creative Commons - Attribution - Sharealike. Additional terms may apply for the media files.
