Buchnera aphidicola
Buchnera aphidicola — вид грам-негативних протеобактерій родини Erwiniaceae.
? Buchnera aphidicola | ||||||||||||||
|---|---|---|---|---|---|---|---|---|---|---|---|---|---|---|
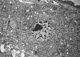
![]() Buchnera aphidicola в клітині господаря | ||||||||||||||
| Біологічна класифікація | ||||||||||||||
| ||||||||||||||
| Buchnera aphidicola Munson et al. 1991[1] | ||||||||||||||
Посилання | ||||||||||||||
| ||||||||||||||
Опис
Живе у клітинах попелиць, зокрема виявлений в гороховій попелиці. Бактерія завдовжки 3 мкм. У неї збереглася грамнегативна клітинна стінка, однак, на відміну від більшості інших грамнегативних бактерій, Buchnera не вистачає генів для продукування ліпополісахаридів для його зовнішньої мембрани.
Симбіотичні відносини з попелиць почалося між 160 млн і 280 млн років тому. Вважається, що Buchnera мала вільноживучого предка, подібного до сучасних Enterobacterales, таких як Escherichia coli. Тривала асоціація з попелицями призвела до зникнення генів, необхідних для анаеробного дихання, синтезу аміно-цукрів, жирних кислот, фосфоліпідів та складних вуглеводів. У Buchnera один з найменших відомих геномів будь-якого живого організму, але він один із найбільш генетично стійких. Геном бактерії сягає 600—650 тис. пар, що кодують 500—560 білків. Деякі клітини містять одну або дві плазміди (розміром від 2,3 до 11 тис. пар).
Buchnera виробляє симбіонін — білок, який зв'язується з оболонкою рослинних вірусів і захищає їх всередині попелиці. Завдяки цьому механізму рослинні віруси безперешкодно зберігаються в організмі попелиць, та переноситься з рослини на рослину.
Назва
Рід названо на честь Пауля Бухнера (1886—1978) — німецького цитолога, який брав участь у вивченні цієї бактерії.
Примітки
- Buchnera. List of Prokaryotic names with Standing in Nomenclature. Процитовано 28 квітня 2018.
Посилання
- Buchnera Genome Projects (from Genomes OnLine Database)
- Comparative Analysis of Buchnera Genomes (at DOE's IMG system)
