L-форми
L-форми — особливі форми бактерій, які втратили клітинну стінку (частково або повністю). Відкриті у 1935 вченою Клінебергер-Нобель. Назву отримали на честь Лістеровського інституту у Лондоні.

На відміну від сферопластів, дефектних по клітинній стінці та протопластів, які втратили її повністю та не можуть розмножуватись, L-форми зберігають здатність до розмноження та розвитку. L-форми утворюються при дії агентів, що блокують синтез клітинної оболонки (антибіотики), в умовах підвищеної осмотичної концентрації середовища. Найактивнішими агентами індукції L-форм є антибіотики типу пеніциліна та циклосерина. Культивування на середовищах з підвищеним вмістом деяких амінокислот, також дає подібний результат.
L-форми описані майже для всіх патогенних та умовно-патогенних бактерій (коки, бактерії кишкової групи, шигели, мікобактерії, лістерії, збудники правця та газової гангрени, бруцели, пастерели тощо).
Властивості

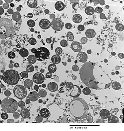
Відсутність клітинної стінки обумовлює основні морфологічні та фізіологічні ознаки L-форм: поліморфізм, висока пластичність, осмотична та механічна вразливість, стійкість до речовин, що блокують синтез клітинної стінки та чутливість до речовин, що пригнічують синтез цитоплазматичної мембрани та білка у клітині. Також у таких клітин змінюються процеси росту та розмноження, а також антигенна характеристика. L-форми різних видів бактерій за морфологією ідентичні. Їхній поліморфізм виражений в наявності шароподібних та вакуолізованих клітин різних розмірів — від гігантських (до 8 мкм у діаметрі) до дуже дрібних (до 250 ммк), що здатні проходити через пори бактеріальних фільтрів.
При культивуванні L-форм на твердих поживних середовищах зазвичай утворюються два типи колоній 3А та 3В. L-форми типу 3В утворюють на агарі колонії з темним зернистим центром, що проростає у товщу середовища. L-форми цього типу у випадку припинення дії агенту, що викликав їхнє утворення, знов отримують здатність синтезувати клітинну стінку та через деякий час відновлюються до нормальних форм бактерій. Процес відновлення бактерій вихідного виду з L-форм називають реверсією. L-форми, що здатні реверсувати, називають нестабільними. Такі форми часто утворюються у організмі людини при неправильному лікуванні антибіотиками.
L-форми типу 3А утворюють в агарі дрібні колонії, клітини яких здатні проходити через пори бактеріальних фільтрів. Такі L-форми мають високу стабільність, вони реверсують дуже рідко, тільки під дією сильних мутагенів, та не відновлюють усіх властивостей виду, з якого були отримані. Стабільні L-форми повільно ростуть на поживних середовищах. Для їхнього культивування використовують середовища з великим вмістом поживних речовин, високою осмотичною концентрацією. Також використовують культури клітин, при такому способі L-форми проникають у клітини та розмножуються внутрішньоклітинно.
За своїми властивостями L-форми дуже схожі на мікоплазм.
Література
В. Д. Тимаков. Микробиология. — М.: Медицина, 1973. С. 432. (рос.)