Mycobacterium avium complex
Mycobacterium avium complex (MAC) — група видів генетично-пов'язаних бактерій, що належить до роду Mycobacterium. Група включає Mycobacterium avium subsp. avium (MAA), Mycobacterium avium subsp. hominis (MAH), і Mycobacterium avium підвид paratuberculosis (MAP). Історично MAC також включав Mycobacterium avium subsp. paratuberculosis (MAI), дещо відмінний вид бактерій того ж роду
? Mycobacterium avium complex | ||||||||||||||||||
|---|---|---|---|---|---|---|---|---|---|---|---|---|---|---|---|---|---|---|
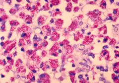
![]() Mycobacterium avium subsp. intracellulare в лімфоїдній тканині, фарбування за Зіль-Нельсеном | ||||||||||||||||||
| Біологічна класифікація | ||||||||||||||||||
| ||||||||||||||||||
Посилання | ||||||||||||||||||
| ||||||||||||||||||
Патогенез
Бактерії MAC поширені повсюдно та спричинюють інфекційні ураження при вдиханні або при споживанні харчових продуктів. Дуже часто симптоми хвороб MAC нагадують перебіг туберкульозу. Вони включають гарячку, інтоксикацію та втрату ваги. У багатьох пацієнтів є анемія та нейтропенія, якщо залучений кістковий мозок. Ураження легень також схожі з туберкульозними, а діарея і біль в животі нагадують інфекції шлунково-кишкового тракту. Потрібно завжди робити аналіз на MAC у випадку діареї у хворих на ВІЛ-інфекцію.
Різні підвиди групи поширені серед різних тварин та мають різні ефекти:
- MAA перш за все уражає птахів, але також був виявлений у жуйних тварин, особливо оленів;
- MAP спричинює паратуберкульоз або хворобу Іоне;
- MAH відповідає за більшість хвороб MAC в людей, зокрема пневмоніт і синдром Леді Віндермер.
Ураження, які спричинює MAC, звичайно відбуваються в людей з ослабленим імунітетом, зокрема у людей похилого віку, хворих на СНІД або на кістозний фіброз.
Посилання
- Mycobacterium avium Complex disease listing information from Center for Disease Control
- MAC fact sheet
