Opisthorchis viverrini
Opisthorchis viverrini — вид паразитичних плоских червів. Поширений у Таїланді, Лаосі, В'єтнамі, Камбоджі, де спричинює високу захворюваність на опісторхоз, яка іноді носить епідемічний характер.[2]
? Opisthorchis viverrini | ||||||||||||||||||
|---|---|---|---|---|---|---|---|---|---|---|---|---|---|---|---|---|---|---|
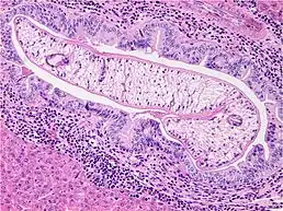
![]() Opisthorchis viverrini в жовчних протоках | ||||||||||||||||||
| Біологічна класифікація | ||||||||||||||||||
| ||||||||||||||||||
| Opisthorchis viverrini (Poirier, 1886) Stiles & Hassal, 1896 | ||||||||||||||||||
| Синоніми[1] | ||||||||||||||||||
| Distoma viverrini Poirier, 1886 | ||||||||||||||||||
Посилання | ||||||||||||||||||
| ||||||||||||||||||
Опис
Opisthorchis viverrini має розміри тіла 5,4-10,2 Х 0,8-1,9 мм. Стравохід цього паразита в 3 рази довше за його глотку. Яєчник багатопорожнинний. Остаточні господарі — людина, кішка, собака, вівера. Проміжні господарі — вид молюсків Bithynia siamensis; додаткові господарі — коропові риби.
Біологія
Розвиток Opisthorchis viverrini відбувається зі зміною трьох господарів:
- Молюски — проміжний хазяїн;
- Риби — другий проміжний хазяїн;
- Ссавці — остаточний хазяїн (людина, кішки, собаки, свині, інші види ссавців, в раціон яких входить риба).
I стадія
З кишечника остаточних хазяїв у довкілля виділяються цілком зрілі яйця. Потрапивши у водойму, яйця можуть зберігати життєздатність протягом 5-6 місяців. У воді яйця заковтують молюски виду Bithynia siamensis. У молюску з яйця виходить мірацидій, що перетворюється потім, у спороцисту. У ній розвиваються редії, які проникають у печінку молюска, де вони відроджують церкаріїв. Усі личинкові стадії розвиваються із зародкових клітин без запліднення. При переході від однієї стадії до подальшої чисельність паразитів збільшується.
Час розвитку паразитів в молюску залежно від температури води може складати від 2 до 10-12 місяців.
II стадія
Після досягнення інвазивної стадії церкарії виходять з молюска у воду і за допомогою спеціального секрету прикріпляються до шкіри риб родини коропових.[3] Потім вони активно вкорінюються в підшкірну клітковину і мускулатуру риб, втрачають хвіст і через добу інцистуються, перетворюючись на метацеркаріїв, розміри яких складають 0,23-0,37 Х 0,18-0,28 мм. Через 6 тижнів вони стають інвазивними, і риба, що містить їх, може служити джерелом зараження остаточних хазяїв.
Види, що є переносчиками Opisthorchis viverrini:
- Puntius brevis[4]
- Puntius gonionotus — synonym: Barbonymus gonionotus[4]
- Puntius orphoides[4]
- Puntius proctozysron — synonym: Puntioplites proctozystron[4]
- Puntius viehoeveri — synonym: Barbonymus gonionotus[4]
- Hampala dispar[4]
- Hampala macrolepidota[4]
- Cyclocheilichthys armatus[4] — synonym: Cyclocheilichthys siaja
- Cyclocheilichthys repasson[4]
- Labiobarbus lineatus[4]
- Esomus metallicus[4]
- Mystacoleucus marginatus[4]
- Puntioplites falcifer[4]
- Onychostoma elongatum[4]
- Osteochilus hasseltii[4]
- Hypsibarbus lagleri[4]
- Barbodes gonionotus — synonym: Barbonymus gonionotus[4]
ІІІ стадія
У кишечнику остаточного хазяїна під дією дуоденального соку личинки звільняються від оболонок цист і по загальній жовчній протоці мігрують в печінку. Іноді вони можуть потрапляти також в підшлункову залозу. Через 3-4 тижні після зараження остаточних хазяїв паразити досягають статевої зрілості, і після запліднення починають виділяти яйця. Тривалість життя може досягати 20-25 років.
Див. також
Примітки
- Muller R. & Wakelin D. (2002). Worms and human disease. CABI. page 43-44.
- DOI:10.1016/j.actatropica.2003.01.002
Нема шаблону {{Cite doi/10.1016/j.actatropica.2003.01.002}}.заповнити вручну - JSTOR.
- DOI:10.3347/kjp.2008.46.4.253
Нема шаблону {{Cite doi/10.3347/kjp.2008.46.4.253}}.заповнити вручну.
