Plasmodium vivax
Plasmodium vivax (лат. vivax — довговічний, живучий, рухливий, жвавий) — вид паразитичних найпростіших, які є збудниками вівакс-малярії. Передається людині при укусах комарів роду Anopheles.
? Plasmodium vivax | ||||||||||||||||
|---|---|---|---|---|---|---|---|---|---|---|---|---|---|---|---|---|
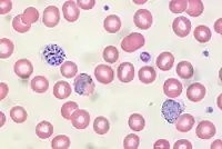
![]() Трофозоїти P. vivax всередині еритроцитів. | ||||||||||||||||
| Біологічна класифікація | ||||||||||||||||
| ||||||||||||||||
| Plasmodium vivax (Grassi & Feletti, 1890) | ||||||||||||||||
| Синоніми[2] | ||||||||||||||||
| Haemamoeba vivax Grassi and Feletti, 1890 Plasmodium malariae tertianae Celli and Sanfelice, 1891 | ||||||||||||||||
Посилання | ||||||||||||||||
| ||||||||||||||||
Історичні відомості
У 1886 і 1889 роках італійський вчений Камілло Гольджі встановив, що існують принаймні дві клінічні форми малярії, одна з триденною періодичністю гарячки, а інша — з чотириденною періодичністю. Він також зазначив, що при цих різних формах у паразита є відмінності — різна морфологія плазмодіїв, в еритроциті перед гарячковим приступом утворюється різна кількість мерозоїтів, а сам напад збігається за часом з розривом еритроцитів і виходом мерозоїтів у кров. У 1889 роках італійські паразитологи Д. Б. Грассі та Р. Філетті вперше описали одного з цих плазмодіїв, вжили для позначення його назву vivax.
На сьогодні відомо, що Plasmodium vivax має багато географічних штамів, зокрема, Чессон, Сент-Елізабет, Мадагаскар, Маккой, Нова Гвінея, Румунія, Південний В'єтнам, Сканлон, Західний Пакистан та Венесуела.
Особливості життєвого циклу і будова
У циклі розвитку плазмодіїв відбувається чергування:
- безстатеве розмноження шляхом множинного поділу (шизогонія), яке в свою чергу має 2 стадії, що йдуть послідовно:
- тканинна (відбувається в печінці людини),
- еритроцитарна;
- статевий розвиток (спорогонія), який відбувається в організмі комара роду Anopheles.
Детальніші відомості з цієї теми ви можете знайти в статті Плазмодій.
Тканинна шизогонія
Тканинні стадії P. vivax були вперше виявлені 1948 року в біоптаті печінки, взятої від волонтера на 7-й день після того, як він дав себе покусати 2 дні поспіль приблизно 1778 комарам, інфікованих цим плазмодієм. Крім того, від тих комарів було отримано 200 пар їхніх слинних залоз, які було введено внутрішньовенно. 6-денні тканинні шизонти виглядають яйцеподібними масами, що подібні до тих, які спостерігають у P. cynomolgi, за винятком того, що вони більші, приблизно до 42 мкм. Різні форми, вакуолізація, відсутність тканинної реакції і характерне фарбування цитоплазми та хроматину також були подібними до того, як це є у тканинних шизонтів P. cynomolgi. 7-денна стадія складається з однієї, повністю або майже зрілої форми, з якої виходять тканинні мерозоїти. Найбільш молода тканинна стадія 4-денна коливалася в діапазоні від 24 до 47,7 на 35,2 мкм. Ядра (або це були хроматинові маси) за розмірами сягали трохи більше 2 мкм і були досить рідкісними. 8-денні шизонти P. vivax були подібні, але трохи більші, ніж 7-денні форми. Вони в середньому становили 52 на 44 мкм і майже завжди були овальними. Незріла стадія містила від 1 до 2 великих вакуолей, цитоплазма була рясною й іноді збиралася в більш темні скупчення. Іноді з'являлись багато маленьких вакуолей, розташованих навколо більшої частини периферії. На подальшому етапі ядра закінчували своє остаточне розділення, але з невеликою зміною їхньої форми чи розміру, вакуолі зникали. Ядра ставали довгастої форми або як бруски чи петлі. Цитоплазма розпадалася і конденсувалася навколо ядер. Цей процес утворення мерозоїтів завершувався за дуже короткий час. Зрілий шизонт (морула) — яйцеподібний, без помітного збільшення розміру. У середині були сферичні мерозоїти, які мали діаметр від 1 до 1,4 мкм. Коли зрілий шизонт розривався, тканинні мерозоїти звільнялися, причому розмір вільного мерозоїта становив від 0,8 до 1,2 мкм.
.jpg.webp)
.jpg.webp)
Еритроцитарна шизогонія
Як правило, тривалість препатентного періоду (часу від моменту зараження до появи тканинних мерозоїтів у крові для більшості штамів Plasmodium vivax становила від 8 до 27 днів, у середньому від 10,5 до 19 днів. Але були виявлені штами, що мали тривалий препатентний період від 51 аж до 387 днів.
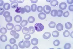
Під час еритроцитарної шизогонії тканинний мерозоїт потрапляє до, як правило, незрілого еритроциту — ретикулоциту. Коли еритроцитарний плазмодій виростає, петля цитоплазми утворює вакуоль, що всередині має кругле ядро. Подальше зростання приводить до збільшення паразиту з виразною вакуолею, а іноді й додатковим хроматином. Після такого розвитку паразита, червона кров'яна клітина збільшується в розмірах і з'являється малярійний пігмент — так звана плямистість Шюффнера (відкладення в цитоплазмі продуктів життєдіяльності P. vivax). Цитоплазма паразита збільшується в об'ємі, стає виразно амебоподібною, і виявляються дуже маленькі гранули світло-коричневого пігменту. Інвазія декількох тканинних мерозоїтів до одного еритроциту не є рідкістю. Перший шизонтний етап призводить до утворення 2 ядер паразита, а потім, досить швидко відбувається подальшій поділ аж до утворення 24 ядер. Звичайне їхнє число сягає 16, хоча певні штами P. vivax утворюють шизонти з 18-ма або більше ядрами. З процесом ядерного поділу відбуваються й інші зміни. Пігментні гранули злипаються, щоб утворити більші шматочки, а потім вони зливаються в єдину жовтувато-коричневу групу. Дозрілий шизонт займає практично весь еритроцит, пігмент його витікає у крайову зону цитоплазми біля мембрани еритроцита. Еритроцит збільшується в розмірах без змін його форми, яка залишається округлою, а його цитоплазма виснажується.

Молоді гаметоцити (гамонти, гамети) легко відокремлюються від безстатевих паразитів, оскільки вони компактні, в них відсутні вакуолі, не є амебоїдами, а також мають велике ядро, оточено гало. Збільшений еритроцит хазяїна демонструє яскраво виражену зернистість Шюффнера. Незрілий гаметоцит плямиться інтенсивним синім кольором, темні пігментні гранули розсіяні в цитоплазмі. Зрілий макрогематоцит (жіноча клітина) стає світло-блакитного відтінку, ніж це було у незрілій стадії, і займає більшу частину еритроцита. Його ядро, як правило, ексцентричне і може мати більш темну частину всередині. Темні пігментні зерна розсіяні в цитоплазмі. Еритроцит-хазяїн збільшений, його цитоплазма виявляється блідою та виснаженою. Молодий мікрогаметоцит (чоловіча клітина) нагадує незрілий макрогаметоцит, але у нього забарвлення цитоплазми блакитно-сіре, ядро більше, що займає приблизно половину або більше плазмодія, має червонувато-брунатне плямування. Темний пігмент приурочений до ділянки цитоплазми, залишаючи ядро вільним. Розташування пігменту в еритроциті переважно по периферії цитоплазми. Еритроцитарна шизогонія (безстатевий цикл розвитку плазмодія) триває 48 годин.
Спорогонія
Було спостережено дві маленькі точкоподібні та дві стержневі хромосоми в 49-годинних ооцистах P. vivax у комарів Anopheles stephensi. Гаплоїдна кількість хромосом дорівнює двом. Розмір ооцист на тоді коливався від 11 до 14 мкм у діаметрі. Від 50 до 100 зеленувато-коричневих пігментних гранул не утворюють ніякого візерунку в дуже молодих ооцистах. Протягом 4 і 5 днів, однак, спостерігається тенденція до утворення ланцюга пігментних гранул, часто в 3 рядки. До 6-го дня пігмент був практично щезає, і до 7-го дня спостерігається лише кілька зерен. Ооцисти сягають діаметра від 10 до 46 мкм. З 3 по 6-й день щоденне збільшення діаметра становить близько 7 мкм. Між 6 і 7 днями, однак, зростання стає швидкішим. Спорогонія завершується за 9 днів від її початку.
Поширення в світі
Поширення P. vivax є найбільшим у світі відносно інших малярійних плазмодієв. Він мешкає на всіх континентах, за винятком Антарктиди. На сьогодні у країнах Америки вільними від циркуляції P. vivax є Канада, США, Куба, Пуерто-Рико, Чилі та Уругвай, а найбільше число захворілих на вівакс-малярію реєструється в Болівії, Колумбії, Перу, Венесуелі, Еквадорі та Мексиці, найвищий рівень захворюваності — в Гаяні, Суринамі та Бразилії. Число хворих на вівакс-малярію на цьому континенті становить понад 1 млн випадків щорічно. На африканському континенті P. vivax постійно мешкає в країнах східної та південної Африки, де заражає арабів, індійців, європейців, ефіопів. Північ Африки на даний момент вільна від нього та будь-якого іншого плазмодія. В іншій частині африканського континенту, особливо в Західній Африці, P. vivax не зустрічається через генетичну стійкість негроїдного населення до цього виду плазмодія. В Азії стійка передача P. vivax людям існує в Афганістані, Бангладеш, Бутані, В'єтнамі, Ємені, Індії, Індонезії, Ірані, Іраку, Камбоджі, Лаосі, М'янмі, Непалі, Саудівській Аравії, Шрі-Ланці та Таїланді. Реальна захворюваність у кілька разів перевищує реєстроване число хворих. Загальна кількість хворих становить понад 10 млн щорічно. У тихоокеанському регіоні, куди входять частина Східної Азії і Океанії, вільні від цієї та будь-якої іншої малярії Австралія, Бруней, Монголія, Нова Зеландія, Сінгапур, Південна Корея, Японія, північ Китаю і частина островів Океанії. Але в інших частинах циркуляція стабільна, захворюваність складає до 2 млн осіб щорічно. З 50 країн Європи ендемічними по вівакс-малярії на даний момент умовно є Вірменія і Грузія, в інших країнах континенту будь-яка місцева малярія викорінена. У азійській частині Туреччини відмічена слабка циркуляція P. vivax, захворюваність становить 2-4 тисячі осіб щорічно.
У деяких країнах помірного клімату вівакс-малярія була і є єдиною або переважною формою. Це пояснюється здатністю P. vivax, в порівнянні з іншими видами, розвиватися в організмі переносника при нижчих, ніж для інших плазмодіїв, температурах, а також тривалішим перебігом цього виду малярії. Пристосованість P. vivax до виживання в багатьох кліматичних регіонах обумовлена тим, що збудник тривалий час, протягом декількох місяців і навіть років, може зберігатися в організмі людини в пасивному стані, у вигляді гіпнозоїтів (або брадізоїтов). У північних широтах з короткою влітку передачею і тривалою сезонною перервою передачі малярії це забезпечує появу хвороби в наступному епідемічному сезоні після 6 місяців і тривалішого латентного періоду, іноді аж до 3-х років (тривалий інкубаційний період). А от у субтропіках і тропіках у популяції P. vivax переважають тахізоїти, що спричинюють хворобу після короткого інкубаційного періоду тривалістю 10-21 день. Зараження ж спорозоїтами різних типів, як тахі-, так і брадизоїтів веде до розвитку вівакс-малярії після короткої інкубації з повторними проявами (рецидивами) значно пізніше, зумовленими активізацією «дрімаючих» форм. Так проявляється бімодальна активність цього плазмодія.
Перебіг малярії, який спричинює Plasmodium vivax
При вівакс-малярії найчастіше серед людських малярій є продромальні прояви. Ініціальна гарячка може тривати до тижня. Перебіг цієї малярії загалом найближчий до класичного. У період розгорнутих гарячкових нападів їхня кількість сягає без лікування 14-18. Значно збільшені в цей час печінка і селезінка. Чим північніше відбулось зараження, тим частіше розвивають пізні (тканинні) рецидиви через тривалий час після від'їзду з ендемічної місцевості, що призводить до частих діагностичних помилок. Іноді взагалі вівакс-малярія розвивається після тривалого інкубаційного періоду у 1-3 роки. Через значний імунодепресивний вплив на людський організм P. vivax у певної кількості хворих описані випадки маніфестації герпесвірусних інфекцій, особливо з ураженням головного мозку, що може призвести до смерті.
Детальніші відомості з цієї теми ви можете знайти в статті Малярія.
Примітки
- Супергрупа найпростіших (англ. Stramenopiles + Alveolata + Rhizaria). Adl S. M., Simpson A. G., Lane C. E., Lukeš J., Bass D., Bowser S. S., Brown M. W., Burki F., Dunthorn M., Hampl V., Heiss A., Hoppenrath M., Lara E., Le Gall L., Lynn D. H., McManus H., Mitchell E. A., Mozley-Stanridge S. E, Parfrey L. W., Pawlowski J., Rueckert S., Shadwick R. S., Schoch C. L., Smirnov A., Spiegel F. W. The revised classification of eukaryotes // The Journal of Eukaryotic Microbiology. — 2012. — Vol. 59, no. 5. — P. 429—493. — DOI:10.1111/j.1550-7408.2012.00644.x. — PMID 230202 (англ.)
- Coatney GR, Collins WE, Warren M, Contacos PG (1971). 5 Plasmodium vivax (Grassi and Feletti, 1890). The primate malarias. Division of Parasitic Disease, CDC. с. 43.
Джерела
- Голубовская О. А., Шкурба А. В., Колос Л. А. Малярия: монография К. : ВСИ «Медицина», 2015. — 288 с., в тому числі 32 с. цв. вкл. ISBN 978-617-505-419-2
- Anstey, NM; Douglas, NM; Poespoprodjo, JR; Price, RN (2012). «Plasmodium vivax: clinical spectrum, risk factors and pathogenesis.». Advances in parasitology. 80: 151—201. (англ.)
- «Biology: Malaria Parasites». Malaria. CDC. 2004-04-23. (англ.)
- «Malaria Fact Sheet». World Health Organization. Updated April 2017. (англ.)
- Coatney GR, Collins WE, Warren M, Contacos PG. The Primate Malarias. US Department of Health, Education and Welfare, Bethesda. 1971. chap. 05. (англ.)
Посилання
- Baird, J. Kevin (1 November 2007). «Neglect of Plasmodium vivax malaria». Trends in Parasitology. 23 (11): 533—539. (англ.)
