Trichoderma
Триходерма (Trichoderma) — рід грибів родини Hypocreaceae. Назва вперше опублікована 1794 року[7].
? Trichoderma | ||||||||||||||
|---|---|---|---|---|---|---|---|---|---|---|---|---|---|---|
![]() | ||||||||||||||
| Біологічна класифікація | ||||||||||||||
| ||||||||||||||
| Синоніми | ||||||||||||||
| * Thrichoderma [1] | ||||||||||||||
Посилання | ||||||||||||||
| ||||||||||||||
Практичне використання
Ці ґрунтові гриби використовуються в якості біологічних заходів боротьби зі збудниками хвороб сільськогосподарських рослин. Наприклад, ґрунтовий гриб триходерма деревна (Trichoderma lignorum) успішно використовується проти фітопатогенів гриба вертіцілл даліе (Verticillium dahliae) - збудника зав'ядання бавовнику та інших рослин.
Для боротьби з ґрунтовими патогенами рослин створено препарат триходермін, що складається із спор і міцелію гриба триходерма і субстрату, на якому гриб вирощувався (найчастіше торфу).
Також гриби цього роду використовують як деструктор рослинних решток — препарат, який сприяє пришвидшенню розкладання рослинних решток у ґрунті.
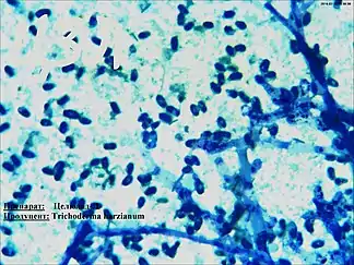
Галерея
Колонія триходерми в природі.jpg.webp)
Фото деструктору рослинних решток на основі штаму Trichoderma harzianum під мікроскопом
Примітки
- Link, Neues Journal für die Botanik 3 (1-2): 18 (1809)
- Tode, Fungi Mecklenburgenses Selecti 1: 35 (1790)
- Preuss, Linnaea 25: 726 (1853)
- Mont., Sylloge generum specierumque plantarum cryptogamarum: 291 (1856)
- Kuntze, Revisio generum plantarum 3 (2): 508 (1898)
- Dasz., Bulletin de la Société Botanique de Genève 4: 302 (1912)
- Trichoderma. www.mycobank.org. Процитовано 1 травня 2019.
Джерела
- Persoon, C.H. 1794. Neuer Versuch einer systematischen Eintheilung der Schwämme. Neues Magazin für die Botanik. 1:63-80 - P.92
