Інтрадуктальна папілома молочних залоз
Інтрадуктальні папіломи молочної залози є доброякісними ураженнями, що мають вигляд бородавчастих наростів і розвиваються у протоках молочної залози у, приблизно, 2-3% людей, супроводжучись прозорими чи кров'яними виділеннями з соска. Зазвичай не викликають болю. У чоловіків спостерігаються дуже рідко. [1][2]
| Інтрадуктальна папілома | |
|---|---|
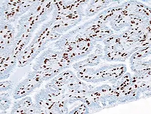
![]() Гістопатологія інтрадуктальної папіломи грудей; ексцизійна біопсія; імунозабарвлення для білка p63. Гістопатологія інтрадуктальної папіломи грудей; ексцизійна біопсія; імунозабарвлення для білка p63. | |
| Інші назви | Внутрішньопротокова папілома |
| Спеціальність | Гінекологія |
| Класифікація та зовнішні ресурси | |
| МКХ-О | 8503/0 |
| DiseasesDB | 31244 |
| MeSH | D018300 |
| | |
Як правило, виділяють два типи інтрадуктальних папілом. Центральний тип папілом розвивається біля соска. Зазвичай ці папіломи є одиничними і часто виникають незадовго до менопаузи. Та периферичний тип - це часто множинні папіломи, що виникають на периферії грудей, і зазвичай зустрічаються у молодих жінок. Периферичний тип пов'язаний з більш високим ризиком злоякісності. [3]
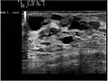
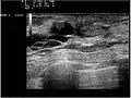
Ці папіломи є найпоширенішою причиною кров'янистих виділень із сосків у жінок віком від 20 до 40 років і, як правило, вони не відображаються на мамограмах через їх малі розміри, і часто вони занадто малі для пальпації, але вони можуть бути виявлені на УЗД. УЗД частіше призначають молодим жінкам, бо тканини молочної залози у них щільніші, і зображення на мамограмі менш чітке. Галактограма є найбільш точним, але дещо інвазивним, тестом. Лікування оперативне. [2][4]
Дивитися також
Додаткові зображення
Гістопатологія внутрішньопротокової папіломи молочної залози шляхом ексцизійної біопсії. Забарвлення гематоксиліном та еозином.
Гістопатологія внутрішньопротокової папіломи молочної залози шляхом ексцизійної біопсії. Імунозабарвлення для альфа-актину гладкої мускулатури.





Примітки
- Cilotti, A.; Bagnolesi, P.; Napoli, V.; Lencioni, R.; Bartolozzi, C. (1991-11). [Solitary intraductal papilloma of the breast. An echographic study of 12 cases]. La Radiologia Medica 82 (5). с. 617–620. ISSN 0033-8362. PMID 1780459. Процитовано 27 серпня 2020.
- Benign breast conditions: intraductal papilloma. Breast Cancer Now (англ.). 4 червня 2015. Процитовано 27 серпня 2020.
- Tarallo, V; Canepari, E; Bortolotto, C (June 2012). Intraductal papilloma of the breast: A case report. Journal of Ultrasound 15 (2): 99–101. PMC 3558092. PMID 23396758. doi:10.1016/j.jus.2012.03.002.
- Ahmadiyeh, Nasim; Stoleru, Mariana A.; Raza, Sughra; Lester, Susan C.; Golshan, Mehra (2009-08). Management of intraductal papillomas of the breast: an analysis of 129 cases and their outcome. Annals of Surgical Oncology 16 (8). с. 2264–2269. ISSN 1534-4681. PMID 19484312. doi:10.1245/s10434-009-0534-1. Процитовано 27 серпня 2020.
_p63.JPG.webp)