Фіброаденома
Фіброаденома (англ. Fibroadenoma) — переважно безболісна, однобічна, доброякісна пухлина молочної залози, яка є твердою грудкою, що не заповнена рідиною. Найчастіше фіброаденоми зустрічаються у жінок віком від 14 до 35 років. Фіброаденоми скорочуються після менопаузи і рідше зустрічаються у жінок після неї. Фіброаденоми — тверді, гумоподібні маси з чіткими краями, що складаються з епітеліальніого та стромального компонентів.
| Фіброаденома | |
|---|---|
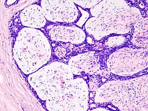
![]() Гістопатологічне зображення фіброаденоми молочної залози. H&E забарвлення. Гістопатологічне зображення фіброаденоми молочної залози. H&E забарвлення. | |
| Спеціальність | гінекологія |
| Ускладнення | деформація і асиметрія грудей, складна фіброаденома підвищує ризик виникнення раку грудей |
| Початок | найчастіше виявляють у жінок до 30 років |
| Причини | ідіопатичні |
| Метод діагностики | ультразвуковий аналіз, тонкоголкова аспіраційна пункційна біопсія, мамографія |
| Лікування | у більшості випадків не потребує хірургічного втручання |
| Прогнози | позитивний |
| Частота | 7 - 13% |
| Класифікація та зовнішні ресурси | |
| МКХ-11 | 2F30.5 |
| МКХ-О | 9010, 9030/0 і 9010/0 |
| DiseasesDB | 1595 |
| MeSH | D018226 |
| | |

Типи пухлин:
- Проста фіброаденома — найпоширеніший тип фіброаденоми (70% — 90%).
- Гігантська ювенільна фіброаденома — рідкісний варіант фіброаденоми. Визначається як будь-яка інкапсульована фіброаденома діаметром більше 5 см і масою понад 500 г. Ця пухлина пов'язана з виразками шкіри та венозним застоєм, вона швидко розростається. Захворюваність на цей тип фіброаденоми становить приблизно 0,5% — 2% від усіх виявлених фіброаденом. Особливо сприйнятливими до гігантських фіброаденом є жінки віком 10 —18 років та темношкірі жінки. Гігантська фіброаденома — найчастіша причина виникнення односторонньої макромастії у жінок-підлітків.
- Мультицентричні фіброаденоми — це множинні фіброаденоми, що зустрічаються в різних квадрантах молочної залози. Частка мультицентричних фіброаденом становить приблизно 10% — 25% від усіх фіброаденом.
- Складна фіброаденома — це підвид фіброаденоми, що має одну або кілька з наступних ознак: наявність кальцифікатів, папілярна апокринна метаплазія, склерозуючий аденоз та кісти більші від 3 мм. Складні фіброаденоми, як правило, зустрічаються у пацієнтів старшого віку (середній вік 47 років) порівняно з простими фіброаденомами (середній вік 28,5 років). [1][2][3]
Груди складаються з часточок (залоз, що виробляють молоко) і проток (трубочок, які переносять молоко до соска). Часточки оточені залозистою, волокнистою і жировою тканинами. Фіброаденоми розвиваються з часточок. Залозиста тканина і протоки розростаються над часточкою, утворюючи суцільну грудочку.
При виявленні у грудях грудок, рекомендується провести ультразвуковий аналіз та, можливо, відбір тканин з подальшим гістопатологічним аналізом, щоб поставити правильний діагноз. На відміну від типових грудок, які виявляються при раку молочної залози, фіброаденоми достатньо рухомі і мають чітко окреслені краї. Фіброаденоми іноді називають грудними мишами через високу рухливість у грудях.[4][5][6]
Ознаки та симптоми
Фіброаденоми — це доброякісні пухлини молочної залози, що найчастіше присутні у жінок 20-ти та 30-ти років. Вони бувають як безсимптомними, так і хворобливими та швидко зростаючими пухлинами, які можуть призводити до деформації грудей. Але, як правило, фіброаденома представляє собою безболісну, гладку, рухливу, гумоподібну грудку з чіткими межами, що розміщена найчастіше на верхньому зовнішньому квадранті грудей. Їх розмір зазвичай коливається від одного до трьох сантиметрів. Однак, вони можуть бути настільки малими, що їх можна побачити лише при мікроскопічному дослідженні, а можуть сягати більше 10 см в діаметрі. Крім того, їх розміри можуть спонтанно зменшуватися або збільшуватися, а також можуть змінюватись, залежно від менструального циклу. В цілому більшість фіброаденом зменшуються в розмірі, оскільки внаслідок кальцифікації та гіалінізації, вони не отримують достатньо кисню. У підлітків 10% — 40% фіброаденом мимовільно регресують.
Наявність складної фіброаденоми підвищує ризик розвитку раку молочної залози, але ризик малігнізації у фіброаденомах становить менше 0,3%, і це надзвичайно рідкісне явище у жінок віком до 40 років. Будь-яке втручання, навіть таке як біопсія, може спричинити ятрогенне пошкодження грудної залози, що розвивається, і призвести до естетичної деформації молочної залози
У грудях чоловіків фіброепітеліальні пухлини зустрічаються дуже рідко, і переважно це філоїдні пухлини. Фіброаденоми в грудях чоловіків зустрічаються у винятково рідкісних випадках, і ці випадки здебільшого пов'язані з лікуванням антиандрогенами. [3][7][8]
Причина
Причина виникнення фіброаденом невідома (ідіопатична). Припускається існування зв'язку між фіброаденомами та репродуктивними гормонами; це може пояснити, чому фіброаденоми виявляються протягом репродуктивних років, збільшуються в розмірах під час вагітності та регресують після менопаузи. Фіброаденома виникає із стромальних та епітеліальних клітин сполучної тканини, які функціонально та механічно важливі у грудях. Ці тканини містять рецептори як до естрогену, так і до прогестерону. Гормональна чутливість викликає надмірне розмноження сполучних тканин молочної залози. Ген (MED12) також має важливе значення в патофізіології фіброаденоми. До 66% фіброаденом містять мутації в екзоні 2 гена медіаторного комплексу 12 (MED12). Ці мутації обмежуються стромальним компонентом. [1][9][10]
У дослідженні 1717 пацієнтів захворюваність на фіброаденому досягла максимуму в групі з індексом маси тіла 25–29,9 кг/м². Фіброаденоми також можуть бути пов’язані з такими синдромами, як синдром Беквіта-Відемана, синдром Маффючі та синдром Коудена. [11]
Споживання більшої кількості фруктів та овочів, збільшення кількості народжень, а також, зменшення вживання оральних контрацептивів і помірне фізичне навантаження пов'язані зі зменшенням частоти виявлення фіброаденом. [12][13]


Цитопатологія
Фіброаденома молочної залози — доброякісна пухлина, що складається з двох компонентів (біпластична пухлина): стромального і епітеліального. Ця біплазія може бути організована в двох моделях росту: периканалікулярна (стромальна проліферація навколо епітеліальних структур) і внутрішньоканальна (стромальна проліферація, що стискає епітеліальні структури в щілини).
Листки рівномірно розподілених епітеліальних клітин в фіброаденомі, як правило, розташовані у вигляді сот або мурашника. Епітеліальні клітини мають типовий метахроматичний синій колір при забарвленні Diff-Quik. Відзначається наявність пінистих і апокринових клітин та відсутність надмірної мітотичної активності або анаплазії. Може бути присутньою кальцифікація. Ювенільна фіброаденома має більше стромальних клітин. Строма гіповаскулярна порівняно зі злоякісними новоутвореннями. Базальна мембрана також залишається неушкодженою. [14] [15] [16][17][18][19]
Унікальні гістологічні особливості різних фіброаденом:
- Складна фіброаденома: склерозуючий аденоз, кальцифікація, апокринна метаплазія;
- Ювенільна фіброаденома: гіперплазія епітелію та строми, відсутність мітозів, тонкі мікропапіли. [1]
Макроскопічний вигляд
Приблизно 90% фіброаденом мають менше трьох сантиметрів в діаметрі. Однак ці пухлини можуть зростати, досягаючи значних розмірів, особливо у молодих людей. Пухлина кругла або яйцеподібна, еластична і вузлувата, має гладеньку поверхню. На зрізі зазвичай виглядає однорідною і твердою, має сіро-білий або засмаглий колір. Периканалікулярний тип (твердий) має вивернутий вигляд з повною капсулою, тоді як внутрішньоканальний тип (м'який) має неповну капсулу. [20]
Діагностика
Фіброаденома зазвичай діагностується за допомогою клінічного обстеження УЗД або мамографії, та, інколи, біопсії (аспірація тонкою голкою, біопсія з серцевинною голкою та хірургічна біопсія). Метод біопсії залежить від зовнішнього вигляду, розміру та розташування грудної маси. [21]
Фіброаденому можна сплутати з:
- Кістою молочної залози.
- Карциномою молочної залози.
- Філоїдною пухлиною.
- Лімфомою грудей.
- Метастазами в груди з іншого первинного місця. [1]
При отриманні історії хвороби вік є найважливішим фактором, який слід враховувати. Сімейний анамнез раку молочної залози також вагомий. Пацієнтки жінки, які мають родичів першого ступеня з раком молочної залози, повинні контролюватися та спостерігатись більш ретельно щодо злоякісних ознак, ніж пацієнти без цього сімейного анамнезу. [джерело?]
Діагностична мамограма
Мамографія використовує рентген для оцінки підозрілих мас у жінок старше 35 років. Фіброаденома на мамограмі виявляється як відмінна область від інших тканин молочної залози, з гладкими круглими краями. Фіброаденоми у літніх людей, як правило, у постменопаузі можуть містити кальцифікацію, що часто спричиняє класичний вигляд грубого попкорну. [1]
Фіброаденома (H&E). Зображення демонструє інтраканалікулярну морфологію (вгорі справа) і периканалікулярну (знизу зліва)
Фіброаденома. Тонкоголкова Аспіраційна Біопсія (забарвлення Гімза або DiffQuick). Стромальні клітини оточують метахроматичні епітеліальні клітини
Фіброаденома. Тонкоголкова Аспіраційна Біопсія (забарвлення за Папаніколау). Епітеліальні клітини у типовому малюнку - мурашник.
Фіброаденома.Тонкоголкова Аспіраційна Біопсія. (H&E забарвлення)
Фіброаденома. Проліферація інтралобулярної (внутрішньочасточкової) строми, що здавлює та спотворює епітелій (забарвлення H&E).
Фіброаденома, ультразвукова діагностика
Лікування
Фіброаденоми можуть зменшуватися природнім шляхом, тому більшість з них просто контролюються лікарем. [22] Моніторинг фіброаденоми включає регулярні огляди, щоб переконатися, що маса грудей не зростає і не є потенційно раковою. Передбачаються фізичні обстеження, що проводяться кожні 3-6 місяців, та необов'язкові діагностичні знімки, що проводяться кожні 6 —12 місяців протягом 1 — 2 років. Як правило, хірургічне втручання рекомендується лише в тому випадку, якщо фіброаденома збільшується або викликає посилення симптомів. [23] Фіброаденоми видаляють з невеликим запасом нормальної тканини молочної залози, якщо передопераційні клінічні дослідження свідчать про необхідність цієї процедури. Невелику кількість нормальної тканини необхідно видалити, якщо ураження виявилося філоїдною пухлиною при мікроскопічному дослідженні. [24] Темпи росту менше 16% на місяць у жінок до 50 років та менше 30% на місяць у жінок старше 50 років були визначені як безпечні темпи зростання для подальшого неоперативного лікування та клінічного спостереження. [25]
Деякі фіброаденоми відповідають на лікування ормелоксифеном[26].
Не було виявлено, щоб фіброаденоми знову з’являлися після повного їх висічення або перетворювалися в філоїдні пухлини після часткового або неповного висічення.
Неінвазивні хірургічні втручання
Існує кілька неінвазивних варіантів лікування фіброаденоми, зокрема крізьшкірна радіочастотна абляція (RFA), кріоаблація та крізьшкірна мікрохвильова абляція. З використанням сучасних медичних зображень, ці процедури не потребують інвазивної хірургії та мають потенціал для покращення косметичних результатів порівняно зі звичайною хірургічною операцією. [27]
Кріоаблація
FDA схвалила кріоаблацію фіброаденоми як безпечну, ефективну та малоінвазивну альтернативу відкритому хірургічному видаленню у 2001 році. [28] Під час кріоабляції використовується ультразвукова томографія для направлення зонда в масу тканини молочної залози. Після цього надзвичайно холодні температури використовуються для знищення аномальних клітин, і з часом клітини реабсорбуються організмом. [29] Процедуру можна проводити як амбулаторну операцію з використанням місцевої анестезії, вона залишає істотно менше рубців ніж відкриті хірургічні процедури і не деформує тканину молочної залози.
Існують такі критерії для встановлення пацієнта як кандидата на кріоаблацію фіброаденоми: [28]
- Ураження повинно бути сонографічно видимим.
- Діагноз фіброаденоми повинен бути підтверджений гістологічно.
- Ураження має бути менше 4 см в діаметрі.
Фокусований ультразвук високої інтенсивності (HIFU)
Фокусований ультразвук високої інтенсивності (HIFU) - це новіша методика лікування злоякісних та доброякісних пухлин молочної залози, що показала багатообіцяючі результати у вигляді повного рентгенологічного видалення пухлин. [30] Ультразвуковий промінь фокусується на мішені в грудях і призводить до загибелі тканин і розпаду білка за рахунок підвищення температури в цій області. Але HIFU не є частиною рекомендацій щодо лікування[31] і необхідні подальші дослідження корисності HIFU, зокрема при фіброаденомі, перед більш широким застосуванням цієї методики.
Епідеміологія
З усіх взятих зразків тканин молочної залози фіброаденоми складають близько 50%, і цей показник збільшується до 75% для зразків тканин у жінок віком до 20 років. У літературі повідомляється, що частота виникнення фіброаденоми у жінок становить від 7% до 13%. [32]
Див. також
Примітки
- Ajmal, Maleeha; Van Fossen, Kelly (2020). Breast Fibroadenoma. StatPearls. Treasure Island (FL): StatPearls Publishing. PMID 30570966.
- Radswiki. Complex fibroadenoma | Radiology Reference Article | Radiopaedia.org. Radiopaedia (амер.). Процитовано 25 серпня 2020.
- Soltanian, Hooman; Lee, Michelle (2015-09). Breast fibroadenomas in adolescents: current perspectives. Adolescent Health, Medicine and Therapeutics (англ.). с. 159. ISSN 1179-318X. PMC PMC4562655. PMID 26366109. doi:10.2147/AHMT.S55833. Процитовано 23 серпня 2020.
- Dirbas, Fredrick M.; Scott-Conner, Carol E.H., ред. (2010). Breast surgery office management and surgical techniques. New York: Springer. с. 71. ISBN 978-1-4419-6075-7.
- Ardenne, M.; Reitnauer, P. G. (1975-09). [Demonstration of tumor inhibiting properties of a strongly immunostimulating low-molecular weight substance. Comparative studies with ifosfamide on the immuno-labile DS carcinosarcoma. Stimulation of the autoimmune activity for approx. 20 days by BA 1, a N-(2-cyanoethylene)-urea. Novel prophylactic possibilities]. Arzneimittel-Forschung 25 (9). с. 1369–1379. ISSN 0004-4172. PMID 22. Процитовано 23 серпня 2020.
- Tavassoli, F.A., ред. (2003). World Health Organization Classification of Tumours: Pathology & Genetics: Tumours of the breast and female genital organs. Lyon: IARC Press. ISBN 978-92-832-2412-9.
- British Society of Breast Radiology Annual Scientific Meeting 2018. Breast Cancer Research 20 (S1). 2018-11. ISSN 1465-542X. doi:10.1186/s13058-018-1052-5. Процитовано 23 серпня 2020.
- Shin, Sandra J.; Rosen, Paul Peter (2007-07). Bilateral presentation of fibroadenoma with digital fibroma-like inclusions in the male breast. Archives of Pathology & Laboratory Medicine 131 (7). с. 1126–1129. ISSN 1543-2165. PMID 17617003. doi:10.1043/1543-2165(2007)131[1126:BPOFWD]2.0.CO;2. Процитовано 23 серпня 2020.
- Lim, Weng Khong; Ong, Choon Kiat; Tan, Jing; Thike, Aye Aye; Ng, Cedric Chuan Young; Rajasegaran, Vikneswari; Myint, Swe Swe; Nagarajan, Sanjanaa та ін. (2014-08). Exome sequencing identifies highly recurrent MED12 somatic mutations in breast fibroadenoma. Nature Genetics 46 (8). с. 877–880. ISSN 1546-1718. PMID 25038752. doi:10.1038/ng.3037. Процитовано 23 серпня 2020.
- Piscuoglio, Salvatore; Murray, Melissa; Fusco, Nicola; Marchiò, Caterina; Loo, Florence L.; Martelotto, Luciano G.; Schultheis, Anne M.; Akram, Muzaffar та ін. (2015-11). MED12 somatic mutations in fibroadenomas and phyllodes tumours of the breast. Histopathology 67 (5). с. 719–729. ISSN 1365-2559. PMC 4996373. PMID 25855048. doi:10.1111/his.12712. Процитовано 23 серпня 2020.
- Lee, Michelle; Soltanian, Hooman T. (2 вересня 2015). Breast fibroadenomas in adolescents: current perspectives. Adolescent Health, Medicine and Therapeutics (English). Процитовано 27 серпня 2020.
- Pruthi, Sandhya; Jones, Katie N. (2013-02). Nonsurgical management of fibroadenoma and virginal breast hypertrophy. Seminars in Plastic Surgery 27 (1). с. 62–66. ISSN 1535-2188. PMC 3706058. PMID 24872742. doi:10.1055/s-0033-1343997. Процитовано 23 серпня 2020.
- Nelson, Zakia Coriaty; Ray, Roberta M.; Wu, Chunyuan; Stalsberg, Helge; Porter, Peggy; Lampe, Johanna W.; Shannon, Jackilen; Horner, Neilann та ін. (2010-07). Fruit and vegetable intakes are associated with lower risk of breast fibroadenomas in Chinese women. The Journal of Nutrition 140 (7). с. 1294–1301. ISSN 1541-6100. PMC 2884330. PMID 20484549. doi:10.3945/jn.109.119719. Процитовано 23 серпня 2020.
- Yang, Xiaofang; Kandil, Dina; Cosar, Ediz F.; Khan, Ashraf (2014). Fibroepithelial Tumors of the Breast: Pathologic and Immunohistochemical Features and Molecular Mechanisms. Archives of Pathology & Laboratory Medicine 138 (1): 25–36. ISSN 0003-9985. PMID 24377809. doi:10.5858/arpa.2012-0443-RA.
- Fibroadenoma. Patholines.org. This page was last edited on 4 November 2019
- Pathology Outlines Website. Accessed 12 February 2009.
- DeMay, Richard M. (2007). Practical principles of cytopathology (вид. Rev. ed). Chicago, IL: American Society for Clinical Pathology Press. ISBN 978-0-89189-549-7. OCLC 227011303.
- Cai, G. (2008-01). Phyllodes Tumor: A Clinicopathologic and Immunohistochemical Study of 30 Cases. Yearbook of Pathology and Laboratory Medicine 2008. с. 31–32. ISSN 1077-9108. doi:10.1016/s1077-9108(08)70543-7. Процитовано 23 серпня 2020.
- Nassar, Hind (2009-07). Solid Papillary Carcinoma of the Breast. Pathology Case Reviews 14 (4). с. 157–161. ISSN 1082-9784. doi:10.1097/pcr.0b013e3181b6ad5d. Процитовано 23 серпня 2020.
- Rosen, Paul Peter. (2009). Rosen's breast pathology (вид. 3rd ed). Philadelphia: Wolters Kluwer Health/Lippincott Williams & Wilkins. ISBN 978-0-7817-7137-5. OCLC 214065865.
- Tasoulis, MK. Evaluation of breast mass. BMJ Best Practice. Процитовано 13 листопада 2018.
- American College of Obstetricians Gynecologists' Committee on Practice Bulletins—Gynecology (June 2016). Practice Bulletin No. 164: Diagnosis and Management of Benign Breast Disorders. Obstetrics and Gynecology (ENGLISH) 127 (6): e141–56. PMID 27214189. doi:10.1097/aog.0000000000001482.
- Fibroadenoma – Diagnosis and treatment – Mayo Clinic. mayoclinic.org (англ.). Процитовано 13 листопада 2018.
- Rosai, Juan, 1940- (2004). Rosai and Ackerman's surgical pathology (вид. 9th ed). Edinburgh: Mosby. ISBN 0-323-01342-2. OCLC 55502598.
- Gordon, Paula B.; Gagnon, Faith A.; Lanzkowsky, Leora (2003-10). Solid breast masses diagnosed as fibroadenoma at fine-needle aspiration biopsy: acceptable rates of growth at long-term follow-up. Radiology 229 (1). с. 233–238. ISSN 0033-8419. PMID 14519878. doi:10.1148/radiol.2291010282. Процитовано 23 серпня 2020.
- Dhar, Anita; Srivastava, Anurag (2007-06). Role of centchroman in regression of mastalgia and fibroadenoma. World Journal of Surgery 31 (6). с. 1178–1184. ISSN 0364-2313. PMID 17431715. doi:10.1007/s00268-007-9040-4. Процитовано 23 серпня 2020.
- Sag, Alan A.; Maybody, Majid; Comstock, Christopher; Solomon, Stephen B. (2014-06). Percutaneous image-guided ablation of breast tumors: an overview. Seminars in Interventional Radiology 31 (2). с. 193–202. ISSN 0739-9529. PMC 4078155. PMID 25049447. doi:10.1055/s-0034-1376159. Процитовано 23 серпня 2020.
- Management of Fibroadenomas of the Breast : Official Statement (PDF). American Society of Breast Surgeons. 29 квітня 2008. Процитовано 23 червня 2020.
- WebMD – Cryotherapy Shrinks Benign Breast Lumps
- Peek, Mirjam C. L.; Wu, Feng (2018). High-intensity focused ultrasound in the treatment of breast tumours. Ecancermedicalscience 12. с. 794. ISSN 1754-6605. PMC 5804717. PMID 29434660. doi:10.3332/ecancer.2018.794. Процитовано 23 серпня 2020.
- BMJ Best Practice. bestpractice.bmj.com (en-us). Процитовано 13 листопада 2018.
- Greenberg, R.; Skornick, Y.; Kaplan, O. (1998-09). Management of breast fibroadenomas. Journal of General Internal Medicine 13 (9). с. 640–645. ISSN 0884-8734. PMC 1497021. PMID 9754521. doi:10.1046/j.1525-1497.1998.cr188.x. Процитовано 23 серпня 2020.