Грудні грудки
Грудна маса, відома також як грудна грудка, відчувається відмінною від навколишньої тканини і може супроводжуватися болем у грудях, виділенням з сосків або змінами шкіри. Підозрілими і вартими особливої уваги є жорсткі, малорухомі маси, маси неправильної форми або ті, що міцно прикріплюються до навколишніх тканин. [2]
| Грудні грудки | |
|---|---|
![]() Грудна грудка, асоційована з інвертованим соском.. Основною причиною став рак молочної залози. Грудна грудка, асоційована з інвертованим соском.. Основною причиною став рак молочної залози. | |
| Спеціальність | Гінекологія |
| Причини | Фіброзно-кістозні зміни, фіброаденома, грудна інфекція, галактоцеле, рак грудей |
| Метод діагностики | обстеження, медичні зображення та біопсії тканини |
| Лікування | залежить від причини появи[1] |
| Частота | Доволі поширені[2] |
| Класифікація та зовнішні ресурси | |
| МКХ-11 | MF30 |
| МКХ-10 | N63 |
Причинами є фіброзно-кістозні зміни, фіброаденоми, інфекції молочної залози, галактоцеле, рак молочної залози та інше. [1] Діагностика, як правило, проводиться шляхом обстеження, медичної візуалізації та біопсії тканини. [2] Біопсія тканини часто проводиться методом тонкоголкової аспіраційної пункційної біопсії. [3] Може знадобитися повторне обстеження.
Лікування залежить від основної причини. [1] Воно може варіювати від простих знеболюючих препаратів до хірургічного видалення. Деякі причини можуть вирішитись без лікування. [4] Грудні грудки відносно поширене явище. [2]
Більшість грудочок — 80% з тих, що біопсувалися, — доброякісні. [5]
Поширені причини виникнення грудок в грудях
Фіброзно-кістозні зміни
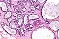
Фіброзно-кістозні зміни — найпоширеніший непухлинний стан молочної залози, який найчастіше зустрічаються у жінок віком від 20 до 50 років, рідко трапляється після менопаузи, якщо жінка не приймає гормони. Це не хвороба, а скоріше доброякісний стан, який виявляється у 50% — 60% жінок. Фіброзна тканина молочної залози, молочні залози та протоки надмірно реагують на нормальні гормони, що виробляються під час овуляції, що призводить до розвитку фіброзних грудочок та/або численних, невеликих множинних кіст. Фіброзно-кістозні зміни — це перебільшена реакція тканини молочної залози на зміни рівня гормонів яєчників.
Розміри фіброзно-кістозних грудочок зазвичай збільшуються перед менструацією та зменшуються після закінчення періоду. Цей стан ,також відомий як кістозний мастит, як правило, зникає після менопаузи. Все ще тривають суперечки щодо того, чи збільшує фіброзно-кістозна хвороба ризик виникнення раку молочної залози.
Нещодавні дослідження повідомляють, що метилксантини, які містяться в каві, чаї, колі, шоколаді та ліках від застуди, схоже, сприяють зростанню фіброзно-кістозних грудочок. В одному дослідженні більше половини жінок, які відмовилися від вищезазначених продуктів в своєму раціоні, виявили, що їх кісти поступово зникають. [5]
Кісти та абсцеси
Кіста молочної залози — нераковий мішечок, заповнений рідиною. Як правило, вони відчуваються гладкими або гумоподібними під шкірою і можуть бути досить болючими або взагалі не викликати болю. Кісти спричинені гормонами, що контролюють менструальний цикл, і вони зустрічаються рідко у жінок старше 50 років. [6]
Абсцес молочної залози — це нераковий інфекційно-запальний процес всередині грудей. Абсцеси можуть викликати сильний біль і почервоніння шкіри грудей, відчуття жару і твердості. Абсцеси грудей найчастіше зустрічаються у жінок, які годують грудьми. [6]
Розростання
Аденоми — неракові аномальні розростання залозистої тканини молочної залози. Найпоширеніша їх форма — фіброаденоми, найчастіше зустрічаються у жінок віком від 15 до 30 років та у жінок африканського походження. Зазвичай вони відчуваються круглими і твердими та мають гладенькі краї. Аденоми не пов’язані з раком молочної залози. [6] Ці доброякісні пухлини є суцільними грудками волокнистої та залозистої тканин. Найчастіше вони зустрічаються у жінок віком від 18 до 35 років і являюьб собою майже всі випадки виявлення пухлини молочної залози у жінок до 25 років. Фіброаденоми зазвичай рухомі при пальпації. [5]
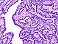
Інтрадуктальні (внутрішньопротокові) папіломи — це бородавчастоподібні нарости в протоках грудей. Ці грудочки зазвичай відчуваються просто під соском і можуть викликати кров’янисті виділення з соска. Жінки, близькі до менопаузи, можуть мати лише один наріст, тоді як молодші жінки більше схильні до множинних наростів на одній або обох грудях. [6]
Жирові грудочки
Жировий некроз — це стан, при якому нормальні жирові клітини молочної залози стають круглими грудочками. Симптоми можуть включати біль, твердість, почервоніння. Жировий некроз зазвичай проходить без лікування, але може утворювати постійні рубцеві тканини, які можуть виявлятись як аномалія на мамограмі. [6]
Ліпома - не ракова грудка жирової тканини, яка м'яка на дотик, зазвичай рухома і в основному безболісна. [6]
Інше
Гематоми молочної залози та сероми можуть бути помітні як локальний набряк грудей. Сероми — поширене ускладнення операцій на грудях. Гематоми можуть виникати також після операції на грудях або після травми або, рідше, вони можуть виникати спонтанно у пацієнтів з коагулопатією .
Злоякісні пухлини
Більшість грудочок грудей - доброякісні кісти або пухлини. Хоча їм може знадобитися хірургічне видалення, щоб запобігти втручанню їх у нормальну роботу грудей, вони не вторгнуться в навколишні тканини; вони не загрожують життю. Злоякісні пухлини молочної залози, однак, якщо їх не виявити і не лікувати рано, продовжуватимуть рости, вторгаючись і руйнуючи сусідні нормальні тканини. Далі, вони поширюються на навколишні лімфатичні вузли; тоді може відбутися метастазування - ракові клітини відриваються від пухлини та поширюються через лімфатичну систему та кров в інші ділянки тіла. На цій стадії рак молочної залози є смертельним, і шанси вилікуватися набагато нижчі (на половину або менше), ніж на ранній локалізованій стадії.
Хоча в деяких випадках рак молочної залози може спочатку оголосити про свою присутність виділеннями з сосків, зміною їх зовнішнього вигляду і болючістю сосків, змінами шкіри, більшість злоякісних пухлин з’являються спочатку як одиночні, тверді грудочки чи товщі, які часто, але не завжди, безболісні. Рак молочної залози зазвичай відчувається жорсткою або твердою грудкою, як правило, неправильної форми і може відчуватися прикріпленим до шкіри або тканини глибоко всередині грудей. Рак молочної залози рідко хворобливий і може виникнути в будь-якому місці грудей або соска, але такі злоякісні грудочки, що розвиваються зазвичай з молочних залоз або проток, зазвичай (близько 50%) з'являються у верхньому, зовнішньому квадранті грудей, поширюючись в пахву, де тканина товща, ніж деінде. (18% раку молочної залози трапляються в області сосків, 11% — у нижньому квадранті, а 6% — у нижньому внутрішньому квадранті.) Будь-яка зміна розміру, форми, текстури або соска, що трапляється лише в одній молочній залозі, небезпечніша, ніж якщо такі зміни відбуваються одночасно в обох грудях в одному положенні, про таку зміну потрібно негайно повідомляти.
Ранній рак молочної залози обмежується лише грудьми. П’ятирічна виживаність для жінок, у яких рак молочної залози лікується на ранній, локалізованій стадії, становить 96%. При поширенні раку з грудей і охопленні лімфатичні вузлів, п’ятирічна виживаність падає до 73% або менше. При дисемінованому раку молочної залози пухлина зросла, вже вражає не тільки сусідні лімфатичні вузли, а й метастазує в інших частинах тіла, як кістки, печінка, легені та навіть мозок. Коли лікування не починається до розповсюдження раку, п’ятирічна виживаність надзвичайно низька. [5][6]
Мастит з великою ділянкою запалення
Ультразвукова діагностика маститу
Фіброаденома, ультразвукова діагностика
Фіброзно-кістозні зміни грудей, забарвлення H&E
Гістопатологія інтрадуктальної папіломи молочної залози шляхом ексцизійної біопсії,забарвлення H&E
Мамограми, що показують нормальні груди (зліва) та груди з раком (справа)
Діагностика

Грудки часто виявляються під час самообстеження або під час звичайного огляду. Помітивши незвичну грудку в грудях, найкращий спосіб дії — це запланувати обстеження у лікаря, який може найкраще діагностувати її та стратегію лікування.
Необхідно зберігати медичну документацію про будь-які захворювання, пов’язані з грудьми, оскільки це полегшує діагностику у випадку рецидиву чи подальшого спостереження.
Лікування
Лікування грудочок різниться залежно від їх типу. Кісти молочної залози та абсцеси можуть потребувати дренування, тоді як кісти сальних залоз і жирові грудочки — лікувати хірургічним шляхом. [6]
Наразі існує кілька варіантів лікування фіброаденоми: "Очікування і спостереження", відкрита операція та малоінвазивні хірургічні альтернативи.
Див. також
Примітки
- Breast Masses (Breast Lumps). Merck Manuals Professional Edition (en-CA). Процитовано 29 жовтня 2018.
- Klein, S (1 травня 2005). Evaluation of palpable breast masses.. American Family Physician 71 (9): 1731–8. PMID 15887452.
- Yu, YH; Wei, W; Liu, JL (25 січня 2012). Diagnostic value of fine-needle aspiration biopsy for breast mass: a systematic review and meta-analysis.. BMC Cancer 12: 41. PMC 3283452. PMID 22277164. doi:10.1186/1471-2407-12-41.
- Breast lumps. NHS. 20 жовтня 2017. Процитовано 29 жовтня 2018.
- Different Kinds of Breast Lumps | Stony Brook Cancer Center. cancer.stonybrookmedicine.edu. Процитовано 25 серпня 2020.
- WebMD: Breast Lump Overview
