Абсцес легень
Абсце́с леге́нь — патологічний процес, який характеризується формуванням однієї або декількох порожнин в легеневій тканині, відокремлених фіброзною стінкою, в результаті некрозу та гнійного розплавлення. Гангрена легені характеризується омертвінням та гнилістним розпадом легеневої тканини.
| Абсцес легень | |
|---|---|
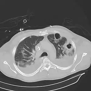
![]() Картина абсцесу легені при комп'ютерній томографії. Видно порожнину у тканині легені. Картина абсцесу легені при комп'ютерній томографії. Видно порожнину у тканині легені. | |
| Спеціальність | пульмонологія |
| Симптоми | некроз[1] |
| Класифікація та зовнішні ресурси | |
| МКХ-11 | CA43.2 |
| МКХ-10 | J85 |
| DiseasesDB | 7607 |
| eMedicine | med/1332 |
| MeSH | D008169 |
| | |
Етіологія
Причиною найчастіше є:
- пневмонія, яку спричинює стафілокок, клебсієла, анаероби (Bactetroides spp., F.anucleatum, Peptostreptococcus spp. та ін.), а також контактна інфекція при емпіємі плеври, піддіафрагмальному абсцесі;
- аспірація сторонніх тіл, інфікованого вмісту (ентеробактерій) пазух носа та мигдаликів.
До непрямих причин відносяться:
- септичні емболи, що потрапили гематогенним шляхом з вогнищ остеомієліту, гоніту, простатиту, рідше відмічається лімфогенний шлях — занесення при фурункулах верхньої губи, флегмонах дна ротової порожнини.
- численні абсцеси, частіше двосторонні, які спричинює септикопіємія.
Абсцес легені може бути наслідком
- ускладнення інфаркта легені
- розпаду ракової пухлини у легені
Сприяючі фактори
- куріння;
- постійне вживання алкоголю;
- контакт з пилом.
Патогенез
Інфекція в організм людини може потрапити 2 шляхами — аерогенно та аспіраційно. Іноді, коли людина хвора на пневмонію, абсцес виникає при повній обструкції дрібних бронхів з ателектазом легені. Абсцес також може виникнути і гематогенним шляхом, тобто збудник потрапляє в кров і разом з нею до легень. Таке буває при септичному ендокардиті, остеомієліті, післяпологовому сепсисі, тощо. Збудники можуть поширюватися через лімфатичні судини, які розташовані близько вогнища інфекції наприклад при гнійному медіастиніті або гнійному плевриті. Буває, що абсцес легені виникає внаслідок травми грудної клітки. При цьому, у травмовану ділянку відбувається крововилив і порушується метаболізм, що сприяє розмноженню патогенної мікрофлори.
Клінічні ознаки і діагностика
Клінічні прояви гострого абсцесу легень різноманітні та залежать від стадії його розвитку. У клінічному перебігу легеневого абсцесу виділяють два основні періоди: до і після розкриття абсцесу. На стадії першого періоду діагностика дуже тяжка, бо об'єктивні дані бідні і не є патогномонічними. Особливе значення має аналіз анамнестичних і об'єктивних даних. Загальний стан характеризується вираженою слабкістю, гарячкою. Провідний симптом — підвищення температури тіла, яке супроводжується пітливістю. Кашель може бути різноманітним з незначною кількістю серозно-гнійного мокротиння.
Під час огляду виявляють відставання грудної клітки в диханні на ураженому боці, задишку, перкуторно — притуплення легеневого звуку, аускультативно — ослаблене везикулярне дихання, дрібнопухирчасті вологі хрипи. Під час натискання на ребра відповідно до локалізації абсцесу або під час перкусії може виявлятися болючість. Якщо така клініка розвивається на тлі пневмонії і триває до 10-15 діб, слід запідозрити можливість абсцедування. Важливим діагностичним показником є картина крові: лейкоцитоз (до 20⋅109/л), нейтрофільоз, підвищення ШОЕ. Рентгенологічно виявляють ділянки затемнення з нечіткими контурами, іноді виявляють невелике просвітлення, як симптом некрозу.
Другий період легеневого абсцесу визначається прориванням гнояка в бронх. Йому передує перехідна фаза, під час якої посилюються основні клінічні симптоми, що спостерігали в перший період (висока температура тіла, озноб, больові відчуття). Ця фаза закінчується раптовим прориванням абсцесу в бронх з виділенням великої кількості мокротиння гнійного характеру — перший і основний клінічний симптом в діагностиці легеневого абсцесу. Мокротиння виділяється не окремими порціями, а одночасно — у великій кількості, частіше зранку. Воно має гнильний запах, нерідко містить прожилки крові. Добова кількість може бути різною — від 200 мл до 1-2 л. Мокротиння ділиться на 2-3 шари: нижній шар густий, зелений від гною, верхній — пінистий, каламутний, між ними водяний прошарок. Під час мікроскопії виявляють еластичні волокна (симптом деструкції тканини), а також еритроцити, лейкоцити, кристали Тейхманна, клаптики легеневої тканини.
Мікрофлора різноманітна: стрептококи, стафілококи, диплококи тощо. Подальший клінічний перебіг залежить від низки чинників, зокрема, стану абсцесу, і дренажу порожнини гнояка. Швидкість очищення порожнини абсцесу від гнійного вмісту залежить від його локалізації і положення хворого. Якщо абсцес локалізується у верхній частці легень, створюються сприятливі умови для дренування бронха, порожнина добре спорожнюється. У разі формування абсцесу в середніх або нижніх відділах легень вміст відходить значно повільніше. Щоденне визначення кількості мокротиння дає можливість встановити зв'язок між кількістю мокротиння, загальним станом хворого і температурою тіла. Зменшення кількості виділюваного мокротиння позначається на загальному стані хворого — знову можуть з'явитися гарячка і пітливість.
Після проривання абсцесу в бронх шкіра хворого бліда, спостерігаються вимушене положення, одутлість обличчя, задишка, відставання грудної клітки в акті дихання. Перкуторно виявити абсцес тяжко у разі центральної його локалізації. Якщо абсцес сформувався ближче до периферії, перкуторно виявляють притуплення легеневого звуку з тимпанічним відтінком. За наявності плеврального випоту притуплення перкуторного звуку може набувати ступеня стегнової тупості. У ділянці притупленого легеневого звуку може вислуховуватися дихання з бронхіальним відтінком, а після очищення порожнини від гнійного вмісту вислуховується амфоричне дихання. Разом з тим, вислуховуються вологі хрипи. Пальпаторно визначають посилення голосового тремтіння.
Після розкриття порожнини абсцесу і виділення гнійного вмісту поряд зі зменшенням кількості мокротиння спостерігається зменшення кількості лейкоцитів в крові. Якщо після проривання абсцесу лейкоцитоз залишається високим, це може вказувати на наявність ускладнення.
Після проривання абсцесу в бронх і виділення густого гнійного мокротиння рентгенологічно на тлі пневмонічного інфільтрату визначають порожнину, частіше круглої або овальної форми, з горизонтальним рівнем рідини в ній і наявністю над рідиною півкола просвітлення, зумовленого наявністю газу в порожнині.
З боку серцево-судинної системи, особливо в період загострення легеневого абсцесу, спостерігається значна тахікардія. За тривалої інтенсивної інтоксикації можуть бути дистрофічні зміни з наявністю приглушених тонів серця. Під час електрокардіографічного дослідження виявляють зменшення вольтажу зубців. Порушення функції системи зовнішнього дихання проявляється гіпоксичною гіпоксемією.
З боку органів травлення спостерігаються симптоми, пов'язані із загальною інтоксикацією та заковтуванням мокротиння. Часто спостерігаються зниження або втрата апетиту, гастрит або гастроентерит. Інтоксикація нерідко спричинює гепатит. У 19 % випадків у гостру фазу легеневого абсцесу виявляють альбумінурію.
Загальний стан значно погіршується в разі виникнення нових абсцесів, які можуть розвиватися в перифокальній зоні.
Для клініки хронічного абсцесу характерні тяжкий загальний стан, виражена інтоксикація, висока температура тіла, значний лейкоцитоз, наростаюча гіпохромна анемія. Під час кашлю виділяється велика кількість гнійного мокротиння з гнильним запахом, іноді з домішками крові. Пошкодження судини супроводжується масивною кровотечею, яка може бути смертельною. Для хронічного абсцесу характерні періоди поліпшення і загострення.
Принципи лікування
Провідна роль у лікуванні гнійних процесів у легенях належить антибіотикам. У разі введення їх усередину і внутрішньом'язово, не створюється достатня концентрація в уражених тканинах. Значно збільшується ефективність лікування у разі введення антибіотиків у вогнище ураження. Антибіотики призначають у таких дозах, в яких вони здатні проявляти бактерицидну або бактеріостатичну дію щодо стійких до них штамів мікробів. З цією метою вводять препарати групи пеніциліну, морфоцикліну гідрохлориду, сигмаміцину, метициліну натрієвої солі та ін.
При гнійних процесах, локалізованих у периферичних відділах легень, за наявності навколо абсцесу масивної зони перифокального запалення, і абсцесах легень, ускладнених гнійним плевритом, показано внутрішньолегеневе введення антибіотиків. При цьому з порожнини абсцесу відсмоктують гній, промивають її антисептичними препаратами і вводять антибактерійні препарати широкого спектра, протеолітичні ферменти. Санацію трахеобронхіального дерева у хворих з гнійними захворюваннями легень проводять різними методами: через катетер, введений через ніс, гортанним шприцом шляхом проколювання трахеї і за допомогою інгаляцій.
Гнійні процеси центральної і периферичної локалізації з недостатньою дренажною функцією або виділенням великої кількості мокротиння є показанням до мікротрахеостомії. При цьому в дренований бронх вводять антисептичні засоби, протеолітичні ферменти, антибіотики. Для швидкої евакуації гнійного вмісту з порожнини абсцесу використовують метод торакоцентезу. Для інтраторакального введення ліків запропонований метод сегментарної катетеризації супровідного бронха.
Найефективнішим методом лікування нагноєння легень, який дозволяє тривало підтримувати високі концентрації антибіотиків у патологічно змінених тканинах, є метод інфузії в легеневу артерію.
Патогенетичне і симптоматичне лікування передбачає активний режим, калорійне харчування для поповнення білка, який втрачається у разі відходження значної кількості гнійного мокротиння й інтоксикації. Раціон повинен містити достатню кількість вітамінів А, С і групи В. З метою поліпшення прохідності бронхів призначають бронхолітичні та антигістамінні засоби.
Якщо є симптом легенево-серцевої недостатності, лікування проводять за принципами терапії декомпенсованого «легеневого серця».
Показання до оперативного лікування: 1) гострий абсцес, ускладнений легеневою кровотечею, 2) гострий абсцес пухлинного походження, 3) хронічний абсцес.
Ускладнення
До тяжких ускладнень легеневого абсцесу належить кровотеча, яка може бути різною за інтенсивністю — від легкої до масивної, смертельної.
Прогноз
Більшість абсцесів піддаються терапевтичному консервативному лікуванню. Через 4-5 тижнів хворі повністю одужують. Якщо після двох місяців не відбувається рубцювання абсцесу, то він вважається хронічним. При хронічному перебігу можуть розвинутися так ускладнення: амілоїдоз нирок, легенева гіпертензія, правошлункова серцева недостатність тощо, які приводять до ранньої інвалідності, а то й до смерті. У такому разі можливе хірургічне лікування.
Профілактика
У профілактиці гострого легеневого нагноєння особливу роль відіграє ефективне лікування гострої пневмонії, особливо в період епідемії грипу. Велике значення має ліквідація вогнища інфекції.
Диспансерне спостереження
Після виписування зі стаціонару хворого беруть на диспансерний облік. Проводять обов'язкове рентгенологічне дослідження, термометрію, аналізи сечі та крові. Рекомендують тривале перебування на повітрі в суху погоду, відмовитись від куріння, уникати переохолодження, загартовувати організм. Сприятливо діє санаторно-курортне лікування на узбережжі Південного берега Криму, а також у сухій гірській місцевості.
Джерела
- Регеда М. С. Гнійні хвороби легень. — Львів: Сполом, 2008. — 118 с.
- Внутрішні хвороби: Підручник / Левченко В. А., Середюк Н. М., Вакалюк І. П. та ін. — Львів: Світ, 1995. — С. 89—90; 92. ISBN 5-7773-0124-X.
Посилання
- Гострі абсцеси легень та їх ускладнення: особливості перебігу та лікувальна тактика 2019
- Гнійні захворювання легень. Абсцес, гангрена, бронхоектатична хвороба. Клініка, діагностика, лікування[недоступне посилання]
- Disease Ontology — 2016.
