Пневмонія
Пневмоні́я — хвороба, для якої характерне запалення легень, яке відбувається перш за все у повітряних міхурцях, що називаються альвеолами.[10][11] Зазвичай виникає при інфікуванні бактеріями, значно рідше — вірусами та іншими мікроорганізмами, ураженні деякими медичними препаратами, ураженні легень при автоімунних захворюваннях тощо[10][12].
Зазвичай при захворюванні спостерігають наступні симптоми: кашель, біль у грудях, гарячка, ускладнене дихання.[13] Для діагностики застосовують рентгенографію легень і бактеріологічний посів мокротиння. Існують вакцини для запобігання пневмонії, яку спричинюють різні збудники. Лікування залежить від причини захворювання. Бактеріальну пневмонію лікують антибіотиками. При гострій формі пневмонії хворий, зазвичай, проходить лікування у стаціонарі.
Щороку на пневмонію хворіють близько 450 мільйонів людей: 7 відсотків населення планети; вона також стає причиною близько 4 мільйонів смертей. Хоча Вільям Ослер в ХІХ столітті назвав пневмонію «водієм ешелону смерті»,[14] поява антибіотикотерапії та вакцин у ХХ столітті значно збільшила кількість людей, що одужали.[15] Тим не менш, в країнах що розвиваються, а також серед людей похилого віку, дітей та тих, що мають хронічні захворювання, пневмонія залишається великою загрозою.[15][16]
Клінічні ознаки
| Частота появи симптомів[17] | |
|---|---|
| Симптом | Частота появи |
| Кашель | |
| Втома | |
| Підвищена температура тіла | |
| Задишка | |
| Мокротиння | |
| Біль у грудях | |

У хворих на пневмонію часто спостерігають кашель із мокротою, гарячку разом з ознобом, задишкою, гострим або різким болем у грудях при намаганні глибоко вдихнути, а також підвищену частоту дихання,[18] ознаки інтоксикації. У людей похилого віку затьмарення свідомості може бути найбільш вираженою ознакою.[18] Типовими ознаками та симптомами в дітей віком до п'яти років є: гарячка, кашель, швидке чи ускладнене дихання.[19]
Гарячку не можна вважати характерною ознакою, адже вона є також і при інших захворюваннях, і може бути відсутня у хворих із тяжким перебігом пневмонії чи з недостатнім харчуванням. На додачу, кашель також, в основному, відсутній у дітей віком менше 2-х місяців.[19] Серйозніші ознаки та симптоми можуть включати: ціаноз, блювання, зневоднення, судоми, дуже високу чи дуже низьку температуру або затьмарення свідомості.[19][20]
Бактеріальна та вірусна пневмонії зазвичай супроводжуються однаковими симптомами.[21] Легіонельоз, при якому частим є ураження легенів, може супроводжуватися болем в животі, діареєю або затьмаренням свідомості[22], при пневмонії, спричиненій пневмококами, часто є іржаве мокротиння,[23] при пневмонії, спричиненій клебсієлою, у хворих спостерігається кров'янисте мокротиння, яку часто називають «смородиновим желе».[17] Кров'янисте мокротиння (відома як кровохаркання) може також мати місце при туберкульозі, грам-негативній пневмонії та абсцесах легень, а також при гострому бронхіті.[20] Пневмонія, яку спричинює мікоплазма, може мати місце разом із набряком лімфовузлів шиї, болем у суглобах, або інфекцією середнього вуха.[20] При вірусній пневмонії аускультативні дані менш виразні, аніж при бактеріальній пневмонії[21].
Причина

Найчастіше причиною пневмонії бувають бактерії, віруси, і набагато рідше — грибки та найпростіші. Хоча існує більш 100 видів виявлених збудників запалення легенів, лише декілька з них спричиняють більшість випадків пневмонії. Вірусно-бактеріальна асоціація може спричинити до 45 % випадків пневмонії у дітей та 15 % випадків у дорослих.[15] Збудник не виявляється приблизно у половині випадків, незважаючи на ретельне тестування.[24]
Термін пневмонія іноді застосовується більш широко до будь-якого стану, результатом якого стає запалення легенів (спричинене, наприклад, автоімунними захворюваннями, хімічними опіками чи реакціями на препарати); однак, такі запалення слід називати точнішим терміном пневмоніт.[25][26] Збудників пневмонії раніше поділяли на «типові» та «атипові», на основі їх очікуваного прояву, але такий поділ не був підтриманий доказами, таким чином, його більше не підкреслюють.[27]
Умови та фактори ризику, що провокують виникнення пневмонії, включають: куріння, імунодефіцит, алкоголізм, хронічну обструктивну хворобу легенів, хронічну хворобу нирок та хворобу печінки.[20] Застосування кислотопригнічуючих медикаментів — таких як інгібітори протонної помпи чи блокатори H2 — пов'язане з підвищеним ризиком[28] пневмонії. Похилий вік також підвищує ризик виникнення пневмонії[20].
Бактерії
Бактерії є найбільш поширеною причиною позалікарняної пневмонії (англ. Community acquired pneumonia, CAP), причому пневмококи виділяють приблизно у 50 % випадків.[29][30] Серед інших бактерій, що виділяють часто: гемофільна паличка — 20 %, Chlamydophila pneumoniae — 13 %, та мікоплазма — 3 %;[29] золотистий стафілокок; Moraxella catarrhalis; Legionella pneumophila та грам-негативні бактерії.[24] Деякі стійкі до препаратів варіанти вищевказаних інфекцій стають все більш поширеними, включаючи стійкий до препаратів пневмокок (DRSP) та метицилін-резистентний золотистий стафілокок(MRSA).[20]
Поширення бактерій прискорюється за наявності факторів ризику.[24] Алкоголізм пов'язують із пневмонією, зумовленою пневмококом, анаеробними організмами і на тлі туберкульозу; куріння сприяє виникненню пневмонії, спричиненої пневмококом, Haemophilus influenzae, Moraxella catarrhalis і Legionella pneumophila. Ураження легенів відбувається після контакту з птахами, що пов'язують з Chlamydophila psittaci (орнітоз); після контакту з сільськогосподарськими тваринами, що пов'язують з Coxiella burnetii (Ку-гарячка); аспірація вмісту шлунку призводить до пневмонії, спричиненої анаеробними мікроорганізмами, а при кістозному фіброзі частою причиною ураження легенів є Pseudomonas aeruginosa і золотистий стафілокок[24]. Пневмокок більш поширений взимку[24].
Віруси
У дорослих, на віруси припадає близько третини випадків пневмонії,[15] а в дітей ця кількість складає близько 15 %[31]. Вірус простого герпесу дуже рідко стає причиною пневмонії, за виключенням наступних груп: новонароджені, хворі на рак, пацієнти після пересадки органів та люди, що мають значні опіки.[32] Серед пацієнтів після трансплантації органів чи тих, що з іншої причини мають імунну недостатність, достатньо високий рівень пневмонії, спричиненої цитомегаловірусом.[31][32] Хворі, що мають вірусні інфекції можуть бути вторинно інфіковані такими бактеріями, як пневмококи, золотисті стафілококи чи гемофільна паличка, особливо за наявності інших проблем зі здоров'ям.[20][31] В різні періоди року домінують різні віруси, наприклад, протягом сезону грипу інфлюенца є причиною майже половини випадків, спричинених вірусом.[31] Спалахи інших вірусів також можуть іноді мати місце, включаючи хантавіруси та коронавірус.[31]
Грибки
Пневмонія, спричинена грибками, не є типовою, але трапляється частіше в пацієнтів з послабленим імунітетом при СНІДі, тривалому прийомі імуносупресивних препаратів або при певних інших медичних проблемах[24][33]. Найчастіше таку пневмонію спричинюють Histoplasma capsulatum, бластоміцети, Cryptococcus neoformans, Pneumocystis jiroveci та Coccidioides immitis. Гістоплазмоз найбільш поширений у басейні річки Міссісіпі, а кокцидіоїдомікоз найпоширеніший у південно-західних штатах США[24]. Кількість таких випадків росла в другій половині ХХ століття через зростання кількості мандрівок і послаблення імунітету в населення.[33]
Найпростіші
Деякі види найпростіших або гельмінті здатні уражати легені[34]. За виключенням Paragonimus westermani, більшість паразитів не впливають прямо на легені, але пошкоджують легені вторинно, після ураження інших місць.[34] Деякі паразити: аскариди, кишкова вугриця тощо спричинюють сильну еозинофільну реакцію, що може зумовити еозинофільну пневмонію.[34] При інших інфекціях, таких як малярія, вплив на легені, в першу чергу, спричинений цитокін-індукованим системним запаленням[34]. У розвинутих країнах ці інфекції найчастіше зустрічаються в людей, що повертаються з мандрів або імігрантів[34]. Загалом, ці інфекції найбільш поширені у людей з імунодефіцитом[35].
Невизначене походження
Ідіопатична інтерстиціальна пневмонія або неінфекційна пневмонія[36] — це група дифузних захворювань легенів. Вони включають: дифузне альвеолярне ураження, неспецифічну інтерстиціальну пневмонію, лімфоцитарну інтерстиціальну пневмонію, десквамативну інтерстиціальну пневмонію, респіраторне бронхіолітичне інтерстиціальне захворювання легенів та звичайну інтерстиціальну пневмонію, що потрібно називати правильніше пневмонітом[37].
Патофізіологія

Пневмонія часто починається як інфекція верхніх дихальних шляхів, що переміщується до нижньої частини дихальних шляхів.[38]
Вірусне пошкодження
Віруси уражають легені у кілька способів. Респіраторно-сінцитіальним вірусом іноді заражаються, коли торкаються заражених об'єктів, а потім — очей чи носа.[31] Інші вірусні інфекції потрапляють до організму повітряно-крапельним механізмом через носову чи ротову порожнини.[20] Як тільки вірус опиняється у верхніх дихальних шляхах, він пробирається до легень, проникаючи у поверхневий шар клітин верхніх дихальних шляхів, альвеоли чи легеневу паренхіму[31]. Ураження легень може призвести відмирання клітин різних ступенів.[31] Реакція імунної системи на пошкодження легенів мікробами може їх ще більше уразити.[31] Білі кров'яні тільця, переважно мононуклеарні клітини, в першу чергу провокують інфекцію.[39] Разом із легенями також уражаються інші органи, що призводить до порушення інших функцій організму. Віруси здатні активізувати бактеріальні інфекції в організмі і таким чином може розпочатися бактеріальна пневмонія як ускладнення.[40].
Бактерії
Ураження відбувається повітряно-крапельним механізмом[20]. Як тільки бактерія потрапляє у легені, вона прагне проникнути у простір між клітинами та між альвеолами, де макрофаги та нейтрофіли (захисні білі кров'яні тільця) намагаються блокувати активність бактерій.[41] Нейтрофіли виділяють цитокіни, спричиняючи загальну активацію імунної системи.[42] Все це призводить до жару, ознобу та втоми, що притаманні бактеріальній пневмонії.[42] Нейтрофіли, бактерії та рідина із навколишніх кров'яних судин заповнюють альвеоли. Це виявляється на флюорограмі у вигляді ущільнення легеневого малюнку.[43]
Діагностика
Діагностика пневмонії звичайно базується на сполученні клінічних ознак та даних рентгенографії грудної клітки[44]. Проте, кінцевий діагноз поставити буде важко через те, що не існує таких тестів, за результатами яких можна було б розрізнити походження інфекції: бактеріальне чи не бактеріальне.[15][44] Всесвітня організація охорони здоров'я визначає пневмонію у дітей, клінічно опираючись на наявність у них кашлю чи важкості дихання та прискореної частоти дихання, втягнення грудної клітки чи зменшений рівень свідомості.[45] Прискорена частота дихання — більша, ніж 60 вдихів на хвилину у дітей до 2-х місяців, 50 вдихів на хвилину у дітей від 2-х місяців до року або більша, ніж 40 вдихів на хвилину у дітей від року до 5-ти років.[45] У дітей із прискореною частотою дихання та втягненням грудної клітки швидше виявляється чутливість, ніж вологі хрипи у грудній клітці під час прослуховування стетоскопом.[19]
У дорослих обстеження загалом непотрібні у випадках середньої важкості[46]: ризик наявності пневмонії малий, якщо всі життєві ознаки та аускультація у нормі.[47] Особам, які потребують госпіталізації, слід провести обстеження: пульсоксиметрію, радіограму грудної клітки та забір крові — включаючи загальний аналіз крові, аналіз на електроліти сироватки, аналіз на рівень C-реактивного білка, а можливо і печінкові проби[46] Діагноз грипоподібного захворювання можна ставити, базуючись на ознаках та симптомах; однак, для підтвердження зараження саме інфлюенцою слід провести необхідні для цього аналізи.[48] Таким чином, лікування часто ґрунтується на наявності грипу у певній громаді чи на швидкому аналізі на інфлюенцу.[48]
Медичний огляд
Медичний огляд іноді може показати низький кров'яний тиск, високий серцевий ритм чи низьке насичення киснем.[20] Частота дихання може бути пришвидшеною, і може передувати іншим симптомам за день-два.[20][27] Обстеження грудної клітки може показати норму, але також і зменшену екскурсію грудної клітки у враженій частині. Звуки важкого дихання, що чути у великих дихальних шляхах, які передаються через запалені легені, мають назву бронхіальне дихання; його чути через аускультацію стетоскопом.[20] Вологі хрипи (хрипи) можна почути у враженій частині під час інгаляції.[20] Перкусія може бути приглушеною у враженій частині легень та швидше збільшеною, ніж зменшеною; голосовий резонанс відрізняє пневмонію від плеврального випоту.[18]
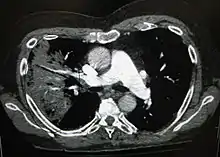
Діагностичні знімки

Рентгенографія часто використовується у діагностиці.[19] Пацієнтам із хворобою середньої важкості її проводять лише тоді, коли можливе ускладнення або ж тоді, коли діагноз непевний.[19][46] Якщо особа важко хвора і підлягає госпіталізації, то рентгенографія обов'язкова.[46] Результати не завжди збігаються із важкістю хвороби, і також за ними не можна впевнено розрізнити бактеріальну інфекцію від вірусної.[19]
За результатами рентгенограми можна класифікувати дольову пневмонію, бронхопневмонію (відому також як лобулярна пневмонія) та інтерстиціальну пневмонію.[49] Бактеріальна, позалікарняна, пневмонія класично показує ущільнення легень однієї сегментарної долі легень, що у свою чергу відоме як дольова пневмонія.[29] Проте, результати можуть різнитися, й інші зразки можуть показати інші типи пневмонії.[29] Аспіраційна пневмонія може бути у вигляді двостороннього затемнення в першу чергу в основі легень та з правого боку.[29] Рентгенограми вірусної пневмонії можуть виглядати як норма, занадто розширені легені, наявні осередкові області з обох боків або ж показувати типове для бактеріальної пневмонії дольове ущільнення.[29] Радіологічні показники можуть і не відобразитись на перших стадіях хвороби, особливо, якщо присутнє зневоднення; чи, коли їх важко інтерпретувати у пацієнтів з ожирінням або у тих, хто має захворювання легенів в анамнезі.[20] Сканування КТ може надати додаткову інформацію у невизначених випадках.[29]
Бактеріологічне дослідження
Пацієнтам, які проходять лікування вдома, не варто проводити дослідження на визначення збудника хвороби. Це неефективно і зазвичай не впливає на хід та вибір лікування.[19] Хворим, які не реагують на лікування, слід провести посів мокроти, а хворим із хронічним вологим кашлем — посів на мікобактерії туберкульозу.[46] Аналіз на інші специфічні організми рекомендовано проводити під час спалахів хвороби, у цілях громадської охорони здоров'я.[46] Госпіталізованим пацієнтам із важкою формою хвороби слід провести обидва аналізи: посів мокроти та аналіз крові,[46] а також варто зробити аналіз сечі на антигени до легіонели та стрептококу.[50] Вірусні інфекції можуть бути виявлені за допомогою посіву або полімеразної ланцюгової реакції (ПЛР), серед інших методів.[15] За допомогою звичайних мікробіологічних аналізів збудник виявляють лише у 15 % випадків.[18]
Класифікація
Пневмоніт означає запалення легень; пневмонія означає пневмоніт, зазвичай інфекційній, але іноді неінфекційний, що має додаткову ознаку — ущільнення легенів.[51] Типово пневмонію класифікують за тим, де та як вона могло бути набута: побутова, аспіраційна, пов'язана із наданням медичної допомоги, внутрішньолікарняна та вентиляторна пневмонія.[29] Пневмонію також класифікують за областю враження легенів: дольова пневмонія, бронхіальна пневмонія та гостра інтерстиціальна пневмонія;[29] чи за збудником.[52] Пневмонія у дітей має ще одну допоміжну класифікацію, що базується на ознаках та симптомах: легка, важка та дуже важка.[53]
Диференціальна діагностика
Ряд хвороб має той же набір ознак та симптомів, що і пневмонія, як то: хронічна обструктивна хвороба легень (ХОХЛ), астма, набряк легенів, бронхоектазія або розширення бронхів, рак легень та емболія судин легенів.[18] На відміну від пневмонії, астма та ХОХЛ типово представлені хрипами, набряком легенів із нетиповою електрокардіограмою. Рак та бронхоектазія супроводжуються довготривалим кашлем, а емболія судин легенів — гострим нападом різкого болю у грудях та задишкою.[18]
Профілактика
Профілактика включає щеплення, дослідження середовища та адекватне лікування інших проблем зі здоров'ям.[19] Вважають, що за вжиття необхідних профілактичних заходів, проведених у всьому світі, смертність серед дітей можна зменшити на 400 000, а якщо повсюдно застосувати доступне правильне лікування, то дитячу смертність можна знизити ще на 600 000.
Щеплення
Щеплення — профілактика певних бактеріальних та вірусних пневмоній. Вакцина від грипу вважається помірно ефективною проти грипу A і Б.[15][54] Центр профілактики і контролю захворюваності (ЦПКЗ) радить щорічне щеплення особам віком від 6 місяців.[55] Щеплення працівників сфери охорони здоров'я знижує ризик вірусної пневмонії серед пацієнтів.[50]
Щеплення від гемофільної палички та пневмококу мають доведену ефективність.[38] Щеплення дітей від пневмококів призвело до зниження випадків зараження цими інфекціями серед дорослих, тому що більшість дорослих інфікуються саме від дітей. Пневмококова вакцина доступна для дорослих та була винайдена задля зниження ризику інвазивного пневмококового захворювання.[56] Інші визнанні ефективними у профілактиці пневмонії вакцини включають: вакцини від коклюшу, вітрянки та кору.[57]
Інше
Відмова від паління[46] та зменшення забруднення повітря всередині приміщення, як, наприклад, під час приготування їжі на дровах, чи на гною, рекомендується у профілактичних цілях.[19][21] Виявилось, що паління є єдиним найбільшим фактором ризику пневмококової пневмонії у тих дорослих, які не мають проблем зі здоров'ям.[50] Гігієна рук та прикривання роту під час кашлю також може стати ефективним профілактичним заходом.[57] Застосування хірургічних масок хворими теж може запобігти хворобі.[50]
Належне лікування основних хвороб (таких як ВІЛ/СНІД, цукровий діабет та неповноцінне харчування) може знизити ризик пневмонії.[21][57][58] У дітей, молодших 6-ти місяців, виключно грудне вигодовування знижує обидва фактори: ризик та важкість хвороби.[21] У хворих на ВІЛ/СНІД та з числом маркерів Т-хелперів меншим 200 клітин/мкл, ризик пневмоциститу знижує антибіотик триметоприм/сульфаметоксазол;[59] також він може стати профілактичним засобом для тих, у кого послаблений імунітет, але немає ВІЛу.[60]
Проведення обстеження вагітних на стрептокок групи Б та хламідію трахоматіс і призначення лікування антибіотиків, за необхідності, знижує рівень пневмонії у новонароджених;[61][62] профілактичні заходи проти передачі ВІЛу від матері до дитини також можуть бути дієвими.[63] Наповнення роту та горла новонародженого амніотичною рідиною, насиченою меконієм, не визнано методом, що знижує рівень аспіраційної пневмонії, та більше того, це може завдати шкоди здоров'ю.[64] Таким чином, такі дії не рекомендовані у більшості ситуацій.[64] В ослаблених літніх людей належний догляд за ротовою порожниною може знизити ризик аспіраційної пневмонії.[65]
Лікування
| CURB-65 | |
|---|---|
| Симптом | Бали |
| Сплутаність свідомості | |
| Сеча >7 ммоль/л | |
| Частота дихання >30 | |
| СКТ<90 мм рт. ст., ДКТ<60 мм рт. ст. | |
| Вік >=65 | |
Зазвичай, пероральні антибіотики, відпочинок, прості анальгетики та споживання великої кількості рідини є достатніми для повного одужання.[46] Проте, хворі із додатковими медичними ускладненнями, літні люди або хворі зі значно утрудненим диханням можуть потребувати інтенсивнішого лікування.[46] У всьому світі близько 7—13 % випадків захворювання у дітей закінчуються госпіталізацією,[19] тоді як у розвинених країнах 22—42 % дорослих випадків припадають на побутову пневмонію.[46] За шкалою оцінювання CURB-65 визначають потребу у госпіталізації хворого.[46] Якщо показник 0 чи 1, хворого лікують у домашніх умовах; 2 — потрібна коротка госпіталізація чи нагляд за протіканням хвороби; при оцінці 3—5 балів рекомендується госпіталізація.[46] Діти із задишкою чи рівнем насичення киснем, меншим від 90 %, мають бути госпіталізовані.[66] Користь фізіотерапії грудної клітки під час пневмонії досі не визначена.[67] Неінвазивна вентиляція може бути корисною для пацієнтів у реанімації.[68] Ефективність безрецептурних ліків проти кашлю не визнана,[69] так само як і застосування цинку у дітей.[70] Доказів на користь використання муколітиків недостатньо.[69]
Бактеріальна пневмонія
Антибіотики покращують результати у хворих на бактеріальну пневмонію.[71] Вибір лікування антибіотиками першочергово залежить від особистих характеристик хворого, наприклад, від віку, загального стану здоров'я та місця зараження інфекцією. У Великій Британії емпіричне лікування антибіотиком амоксицилін рекомендована в першу чергу у випадку побутової пневмонії; доксицилін чи кларитроміцин використовують як альтернативні засоби.[46] У Північній Америці, де «атипові» форми побутової пневмонії більш розповсюджені, макроліди (такі як азитроміцин чи еритроміцин) та доксициклін замінили амоксицилін як препарат першого вибору в амбулаторному лікуванні дорослих пацієнтів.[30][72] У дітей із симптомами середньої важкості амоксициклін залишається препаратом першої лінії.[66] Використання фторхінолонів не рекомендується у нескладних випадках через проблеми з побічними ефектами та резистентність, що вони викликають, за відсутності значної клінічної користі.[30][73] Термін лікування традиційно займає 7—10 днів, але все більше доказів того, що коротші курси лікування (3-5 днів) мають таку саму ефективність.[74] У випадку внутрішньолікарняної пневмонії використовують цефалоспорини, карбапенеми, фторхінолони, аміноглікозиди та ванкоміцин третього та четвертого поколінь.[75] Ці антибіотики завжди вживаються внутрішньовенно та використовуються комбіновано.[75] 90 % госпіталізованих хворих виліковуються за допомогою антибіотиків першої лінії.[27]
Вірусна пневмонія
Інгібітори нейрамінідази можуть використовуватися у лікуванні вірусної пневмонії, яку спричинює вірус грипу типу A та B.[15] Для вірусних пневмоній, які спричинюють інші збудники, (включаючи коронавірус ТОРС, аденовірус, хантавірус та вірус параінфлюенца) ніяких специфічних противірусних препаратів не рекомендують.[15] Грип на сьогодні лікують озелтамивіром, занамивіром або перамивіром.[15] Їх вважають найефективнішими, якщо почати їх приймати протягом 48 годин після появи перших симптомів.[15] Багато різновидів грипу А (зокрема, H5N1, також відомих як «пташиний грип», мають стійкість до римантадину та амантадину.[15] Вживання антибіотиків при вірусній пневмонії рекомендовано деякими експертами, оскільки неможливо виключити складну бактеріальну інфекцію.[15] Британське торакальне товариство рекомендує уникати вживання антибіотиків у випадках середньої важкості.[15] Вживання кортикостероїдів є спірним.[15]
Дихання
Загалом аспіраційний пневмоніт лікується консервативно антибіотиками, призначеними тільки для аспіраційної пневмонії.[76] Вибір антибіотиків буде залежати від декількох факторів, включаючи підозрюваний збудник та місце зараження пневмонією (у побуті чи у лікарні). Звичайний вибирають кліндаміцин, комбінацію бета-лактамного антибіотику та метронідазолу, чи аміноглікозид.[77] Іноді при аспіраційній пневмонії призначають кортикостероїди, але доказів на користь їхньої ефективності недостатньо.[76]
Прогноз
При лікуванні розвиток більшості типів бактеріальної пневмонії стабілізується через 3—6 днів.[78] Часто для повного зникнення симптомів потрібно декілька тижнів.[78] Знімки рентгену звичайно проясняються протягом 4-х тижнів, і рівень смертності низький (менший від 1 %).[20][79] У літніх людей та пацієнтів з іншими легеневими захворюваннями одужання може зайняти більше 12-ти тижнів. В осіб, яких госпіталізували, смертність може перевищувати 10 %, а у пацієнтів в реанімації може досягати більше 30—50 %.[20] Пневмонія вважається найбільш розповсюдженою внутрішньолікарняною інфекцією із летальним наслідком.[27] Перед тим, як почали лікувати антибіотиками, смертність серед госпіталізованих була зазвичай 30 %.[24]
Ускладнення можуть виникати особливо у літніх людей та в осіб із основними проблемами зі здоров'ям.[79] Серед інших, ускладнення можуть бути такими: емпіема, абсцес легені, облітеруючий бронхоліт, синдром гострої дихальної недостатності, сепсис та погіршення загального стану здоров'я або погіршення основних проблем зі здоров'ям.[79]
Правила клінічного прогнозу
Правила клінічного прогнозу було складено задля більш об'єктивного передбачення результатів пневмонії.[27] Ці правила часто використовують, щоб визначити необхідність госпіталізації хворого.[27]
Ексудативний плеврит, емпіема та абсцес

При пневмонії у просторі, що оточує легеню, може утворюватися накопичення рідини.[81] Час від часу наявність мікроорганізмів призводить до зараження цієї рідини, що стає причиною емпієми.[81] Щоб відрізнити емпієму від більш загального та простого випадку парапневмонічного випоту, рідину збирають за допомогою голки (виконуючи забір плевральної пункції) та проводять аналізи.[81] Якщо зібрані зразки містять ознаки емпієми, то необхідно повністю видалити рідину, що часто вимагає встановлення дренажного катетера.[81] У тяжких випадках емпієми може знадобитися оперативне втручання.[81] Якщо не видалити інфіковану рідину, інфекція може повторитися, оскільки антибіотики недостатньо глибоко проникають у плевральну порожнину. Якщо аналіз показав, що рідина чиста, то її видалення необхідне лише це викликає симптоми або якщо її кількість із часом не зменшується.[81]
Дуже рідко бактерії у легенях можуть формувати дивертикул з інфікованою рідиною; цей процес називається легеневий абсцес.[81] Легеневі абсцеси зазвичай помітні на рентгенівських знімках грудної клітини, однак для підтвердження діагнозу найчастіше необхідний знімок КТ грудної клітини.[81] Абсцеси зазвичай розвиваються при аспіраційній пневмонії та часто містять декілька видів бактерій. Тривале приймання антибіотиків найчастіше допомагає при лікуванні легеневих абсцесів, однак іноді може знадобитися дренування абсцесу хірургом або радіологом.[81]
Порушення дихання та кровообігу
Пневмонія може призвести до порушення дихання, викликаючи гострий респіраторний дистрес-синдром (ГРДС), причиною якого може бути ціла низка факторів від комбінованої інфекції до запальної реакції. Легені швидко наповнюються рідиною та стають нерухливими. Така нерухливість у сполученні з ускладненим через наявність альвеолярної рідини процесом виділення кисню може вимагати тривалих періодів механічної вентиляції для забезпечення виживання пацієнта.[31]
Потенційним ускладненням пневмонії є сепсис, та однак це явище характерне лише для пацієнтів з ослабленим імунітетом або гіпоспленізом. Найбільш розповсюдженими збудниками хвороби є пневмококи, гемофільна паличка та клебсієла пневмонії. Серед інших причин, які викликають відповідні симптоми, можна назвати інфаркт міокарда або легеневу емболію.[82]
Епідеміологія

Пневмонія — це розповсюджена хвороба, яка вражає приблизно 450 мільйонів людей по всьому світу щорічно.[15] Це — найчастіша причина смерті в усіх вікових групах — приблизно 4 мільйони смертей (7 % загальних випадків смертей у світі) щорічно.[15][71] Найвищі показники смертності спостерігаються серед дітей віком до п'яти років та літніх людей старше 75 років.[15] Показники захворюваності у країнах, що розвиваються, приблизно у п'ять разів вище у порівнянні з розвиненими країнами.[15] На вірусну пневмонію припадає приблизно 200 мільйонів випадків.[15] За даними 2009 року пневмонія займає 8-у позицію серед найчастіших причин смерті у Сполучених Штатах.[20]
Діти
У 2008 році було зафіксовано приблизно 156 мільйонів випадків пневмонії серед дітей (151 мільйон — у країнах, що розвиваються, та 5 мільйонів — у розвинених країнах).[15] Це призвело до 1,6 мільйона смертей, або 28—34 % усіх смертей за п'ять років, 95 % яких припадають на країни, що розвиваються.[15][19] Країни, населення яких найбільше страждає від хвороби: Індія (43 мільйони), Китай (21 мільйон) та Пакистан (10 мільйонів).[84] Це — найпоширеніша причина смерті серед дітей у країнах з низьких рівнем доходу.[15][71] Велика частка цих смертей припадає на новонароджений період. Всесвітня організація охорони здоров'я припускає, що причиною кожного третього випадку смерті серед новонароджених є пневмонія.[85] Приблизно половину цих смертей можна попередити, оскільки їхньою причиною є бактерії, для боротьби з якими існують відповідні вакцини.[86]
Історія

Пневмонія була дуже поширеною хворобою протягом всієї історії людства.[87] Її симптоми описав Гіппократ (460—370 роки до н. е.):[87]«При періпневмонії та плевральних випотах спостерігаються: гостра лихоманка та болі з одного чи обох боків, а також кашель при спробах видихання, відкашлюване мокротиння має білуватий або блідий колір та скоріше за все являє собою негусту пінисту з червоним вкрапленням масу або має будь-який інший нехарактерний для загальних випадків вигляд… Коли розвиток хвороби досягає апогею, то випадок, за відсутності можливості видалення рідини, стає невиліковним і ще більше погіршується, коли дихання стає ускладненим, а сеча — рідкою та набуває різкого запаху; окрім того, на шиї та голові проступає піт, який є поганою ознакою, виходячи з ядухи, хрипів та жорстокості захворювання, яке прогресує.»[88] Однак Гіппократ називає пневмонію хворобою, «названою стародавніми жителями.» Він також описує на результати хірургічного дренажу емпієм. Маймонід (1135—1204 н. е.) зауважив: «Основними неодмінними симптомами пневмонії є гостра лихоманка, пронизливий плевритний біль у боці, поверхневе швидке дихання, стрибкоподібний пульс та кашель.»[89] Такий клінічний опис значною мірою схожий на описи з сучасних підручників та відображає рівень медичних знань в період з часів Середньовіччя до 19-ого сторіччя.
Едвін Клебс був першим, хто знайшов бактерії у дихальних шляхах померлої від пневмонії людини у 1875 році.[90] Початкову роботу з визначення двох найрозповсюдженіших бактеріальних збудників — пневмокока та клебсієли пневмонії — провели Карл Фрідлендер[91] та Альберт Франкель[92] у 1882 та 1884 роках відповідно. У початковій роботі Фрідлендера було введено фарбування за Грамом — фундаментальний лабораторний аналіз, який досі використовується для визначення та класифікації бактерій. Робота Крістіана Грама з описом процедури у 1884 році допомогла розрізнити два види бактерій та зрозуміти, що пневмонію можуть викликати різні мікроорганізми.[93]
Сер Вільям Ослер, відомий як «батько сучасної медицини», у 1918 році надав оцінку смертності та порушення дієздатності через пневмонію, яку він назвав «водієм ешелону смерті», при цьому також вказавши на туберкульоз як на одну з найголовніших причин смертності в той час. Цей вислів належав Джону Баньяну та був використаний у відношенні «сухоти» (туберкульозу).[94][95] Ослер також називав пневмонію «другом старих людей», оскільки смерть від неї часто була швидкою та безболісною на відміну від багатьох інших повільніших та більш болісних способів померти.[24]
Деякі дослідження першого десятиріччя 20-ого сторіччя дозволили зменшити показники смертності від пневмонії. Після винаходу пеніциліну та інших антибіотиків, сучасних хірургічних технік та інтенсивної терапії у 20-ому сторіччі, смертність від пневмонії наблизилась до 30 % і навіть нижче (для розвинених країн). З 1988 року було впроваджено вакцинацію дітей проти гемофільної палички типу B, що невдовзі призвело до значного зменшення смертності.[96] Також було впроваджено вакцинацію проти пневмококу — з 1977 року для дорослих, а з 2000 року — і для дітей. Це також дозволило зменшити рівень смертності від пневмонії.[97]
Суспільство та культура
Через високий рівень захворюваності у країнах, що розвиваються, та через відносно низький рівень інформованості щодо захворювання у розвинених країнах Всесвітня організація охорони здоров'я оголосила 12-е листопада Всесвітнім днем боротьби з пневмонією — днем проведення небайдужими громадянами та політичними діячами відповідних заходів.[98] Загальна економічна вартість ліків на позалікарняну пневмонію становить приблизно 17 мільярдів доларів США.[20]
Пневмоні́я, або Запалення легень (грец. πνευμονία, від πνεΰμων — легеня) — запалення легеневої тканини. Спричинюється головним чином мікроорганізмами, зокрема пневмококом, хламідіями. У Міжнародній класифікації хвороб, травм і причин смерті (МКХ) Х перегляду (1992) з розділу «Пневмонія» виключені захворювання неінфекційного походження. Це — процеси, що викликаються фізичними або хімічними чинниками, а також що мають алергічне (еозінофільна пневмонія) або судинне походження (тромбоемболія гілок легеневої артерії з розвитком інфаркту легенів, гранулематоз Вегенера). Також в цей розділ не входять запальні процеси в легенях, які викликаються облігатними патогенами бактерійної або вірусної природи (ку-лихоманка, очеревний тиф, чума, краснуха, грип та ін.) Особливо важливо розділяти вірусні респіраторні інфекції і власне пневмонії. Вірусні респіраторні інфекції і, передусім, епідемічний грип, безумовно, є провідним чинником ризику розвитку запалення легенів, проте морфологічні (інтерстиціальні) зміни, які викликаються вірусами в легеневій тканині, відрізняються від бактерійних і, відповідно, підхід до лікування цих двох станів принципово різний.
Етіологія
Пневмонія — це гостре інфекційне захворювання, переважно бактеріальної етіології, яке характеризується вогнищевим ураженням респіраторних відділів легень та наявністю внутрішньоальвеолярної ексудації.
Виділяються такі види пневмонії :
— позалікарняна — набута поза лікувальною установою, синоніми: домашня, амбулаторна;
— нозокоміальна — набута в лікувальній установі, синоніми: госпітальна, внутрішньолікарняна;
— аспіраційна — пневмонія в осіб з важкими дефектами імунітету (природженим імунодефіцитом, ВІЛ-інфекцією, ятрогенною імуносупресією).
Етіологічна структура пневмоній включає 5 видів причинних факторів:
- мікробний,
- вірусний,
- мікоплазмовий,
- мікропаразитарний,
- грибковий.
Якщо пневмонія має поліетіологічне походження, це значно обмежує ефективність лікування, ускладнює проведення протиепідемічних заходів.
Основною причиною запалення легенів є стафілококи та віруси, тобто ті інфекції, які найменше піддаються впливу антибіотиків, сульфамідних препаратів та інших хіміотерапевтичних засобів.
Патогенез
Головною ланкою у комплексі функціональних розладів при пневмонії є дихальна недостатність, тобто такий стан, при якому порушується легеневий газообмін або він підтримується на межі нормального рівня за рахунок завеликих енергетичних затрат організму хворого.
В основі майже всіх патологічних змін, які виникають при пневмонії, лежать два провідних причинних фактори — гіпоксія та токсикоз.
Гіпоксія респіраторного походження доповнюється гіпоксією циркуляторною, гемічною та гістотоксичною, тому кисневе голодування тканин, а також гіпоксемія та гіперкапнія хворих має складний генез.
До причинних факторів виникнення дихальної недостатності потрібно віднести порушення прохідності дихальних шляхів, альвеолярно-капілярний блок з зупинкою або послабленням альвеолярного дихання, скорочення дихальної поверхні легенів, зміна легеневого кровообігу, дихальних рухів ребер та діафрагми. Порушення прохідності дихальних шляхів є наслідком скупчення у їхньому просвіті слизу, гною, продуктів десквамації епітелію та розпаду легеневої тканини, а також набухання та набряку слизової оболонки, спазму бронхів та бронхіол, а іноді ларингоспазму.
Альвеолярно-капілярний блок виникає внаслідок накопичення у порожнині альвеол ексудату та інших мас, появи гіалінових мембран, спадання стінок альвеол при нестачі сурфактану, утворення навколо них «футляру» за рахунок клітковинної інфільтрації та розвитку сітки з волокон сполучної тканини (при інтерстиціальних та інших пневмоніях). Скорочення дихальної поверхні легенів відбувається внаслідок набряку, інфільтрації легеневої тканини, розвитку пульмофіброзу, ателектазів та емфіземи.[99]
Класифікація
Пневмонія може бути:
- первинною, якщо вона виступає як самостійне захворювання,
- вторинною, якщо вона розвинулась на фоні іншої хвороби, наприклад, вторинна пневмонія на фоні хронічного бронхіту.
Крім того, пневмонія може бути однобічна, якщо уражена тільки одна легеня та двобічна, — обидві легені.
За ступенем поширеності пневмонію поділяють на:
- вогнищеву — таку, що займає невелику ділянку легені,
- сегментарну — поширюється на один або декілька сегментів легені,
- часткову — охоплює частку легені. Класичним прикладом часткової пневмонії є крупозна пневмонія.
- тотальну — якщо вона поширюється на всю легеню.
Пневмонія у розділі «[J00 J99] Хвороби системи дихання»[100]:
- J.12. Вірусна пневмонія, не класифікована в інших рубриках
- J.12.0 Аденовірусна пневмонія
- J.12.1 Пневмонія спричинена респіраторно-синцитіальним вірусом
- J.12.2 Пневмонія спричинена вірусом парагрипу
- J.12.8 Інша пневмонія
- J.12.9 Вірусна пневмонія, неуточнена
- J.13. Пневмонія, спричинена Streptococcus pneumoniae
- J.14. Пневмонія, викликана Haemophilus influenzae
- J.15. Бактеріальна пневмонія, не класифікована в інших рубриках
- J.15.0 Пневмонія спричинена Klebsiella pneumoniae
- J.15.1 Пневмонія спричинена Pseudiomonas
- J.15.2 Пневмонія стафілококова
- J.15.3 Пневмонія стрептококова, групи В
- J.15.4 Пневмонія спричинена іншими стрептококами
- J.15.5 Пневмонія спричинена Escherichia coli
- J.15.6 Пневмонія спричинена іншими аеробними грамнегативними бактеріями
- J.15.7 Пневмонія спричинена Mycoplasma pneumoniae
- J.15.8 Інша бактеріальна пневмонія
- J.15.9 Бактеріальна пневмонія неуточнена
- J.16. Пневмонія, спричинена іншими інфекційними збудниками, не класифікована в інших рубриках
- J.16.0 Пневмонія, спричинена хламідіями
- J.16.8 Пневмонія спричинена іншими уточненими інфекційними агентами
- J.17. Пневмонія при хворобах, класифікованих в інших рубриках
- J.17.0 Пневмонія при бактеріальних хворобах класифікованих в інших рубриках
- J.17.1 Пневмонія при вірусних хворобах класифікованих в інших рубриках
- J.17.2 Пневмонія при мікозах
- J.17.3 Пневмонія при паразитарних хворобах
- J.18. Пневмонія, збудник неуточнений
- J.18.0 Бронхопневмонія, неуточнена
- J.18.1 Верхньочасткова пневмонія, неуточнена
- J.18.2 Гіпостатична пневмонія, неуточнена
- J.18.8 Інша пневмонія, збудник неуточнений
- J.18.9 Пневмонія, неуточнена
Міжнародна медична спільнота вирізняє такі види пневмонії:
- — негоспітальна (позалікарняна, розповсюджена, амбулаторна);
- — нозокоміальна (госпітальна, набута у лікувальному закладі);
- — аспіраційна;
- — пневмонія в осіб з тяжкими порушеннями імунітету (вроджений імунодефіцит, ВІЛ-інфекція, ятрогенна імуносупресія).
Крім того, залежно від тяжкості розрізняють пневмонію легкого, середньотяжкого та тяжкого перебігу.
Пневмонії з тяжким перебігом
Пневмонія з тяжким перебігом — це особлива форма захворювання різної етіології, яка проявляється тяжким інтоксикаційним синдромом, гемодинамічними змінами, вираженою дихальною недостатністю та/або ознаками тяжкого сепсису або септичного шоку, характеризується несприятливим прогнозом та потребує проведення інтенсивної терапії.
Рекомендують виділяти «малі» та «великі» критерії визначення тяжкого перебігу пневмонії.
«Малі» критерії тяжкого перебігу пневмонії:
- — частота дихання 30 за 1 хв та більше;
- — порушення свідомості;
- — SaO2 менше 90 % (за даними пульсоксиметрії), парціальна напруга кисню в артеріальній крові (далі — PaO2) нижче 60 мм рт. ст.;
- — систолічний артеріальний тиск нижче 90 мм рт. ст.;
- — двобічне або багаточасткове ураження легень, порожнини розпаду, плевральний випіт.
«Великі» критерії тяжкого перебігу пневмонії:
- — потреба в проведенні штучної вентиляції легень;
- — швидке прогресування вогнищево-інфільтративних змін в легенях — збільшення розмірів інфільтрації більше ніж на 50 % протягом найближчих 2 діб;
- — септичний шок або необхідність введення вазопресорних препаратів протягом 4 год та більше;
- — гостра ниркова недостатність (кількість сечі менше 80 мл за 4 год або рівень креатиніну в сироватці крові вище 0,18 ммоль/л або концентрація азоту сечовини вище 7 ммоль/л (азот сечовини = сечовина (ммоль/л) / 2,14) за (відсутності хронічної ниркової недостатності).
Про тяжкий перебіг пневмонії свідчить наявність у хворих не менше двох «малих» або одного «великого» критерію, кожен з яких достовірно підвищує ризик розвитку летального кінця. У таких випадках рекомендується невідкладна госпіталізація хворих у відділення анестезіології та інтенсивної терапії (BAIT).[101]
Примітки
- https://medlineplus.gov/spanish/ency/article/000145.htm
- https://www.malacards.org/card/pneumonia
- Disease Ontology — 2016.
- Lim W. S., Baudouin S. V., George R. C. et al. BTS guidelines for the management of community acquired pneumonia in adults: update 2009 // Thorax — BMJ, 2009. — Vol. 64, Iss. Suppl 3. — P. iii1–iii55. — ISSN 0040-6376; 1468-3296 — doi:10.1136/THX.2009.121434
- Drug Indications Extracted from FAERS — doi:10.5281/ZENODO.1435999
- Inxight: Drugs Database
- Inxight: Drugs Database
- Inxight: Drugs Database
- Inxight: Drugs Database
- McLuckie, [editor] A. (2009). Respiratory disease and its management. New York: Springer. с. 51. ISBN 978-1-84882-094-4.
- Leach, Richard E. (2009). Acute and Critical Care Medicine at a Glance (вид. 2nd). Wiley-Blackwell. ISBN 1-4051-6139-6. Процитовано 21 квітня 2011.
- Jeffrey C. Pommerville (2010). Alcamo's Fundamentals of Microbiology (вид. 9th). Sudbury MA: Jones & Bartlett. с. 323. ISBN 0-7637-6258-X.
- Ashby, Bonnie; Turkington, Carol (2007). The encyclopedia of infectious diseases (вид. 3rd). New York: Facts on File. с. 242. ISBN 0-8160-6397-4. Процитовано 21 квітня 2011.
- Osler, William (1901). Principles and Practice of Medicine, 4th Edition. New York: D. Appleton and Company. с. 108. Архів оригіналу за 8 липня 2007. Процитовано 7 лютого 2014.
- Ruuskanen, O; Lahti, E, Jennings, LC, Murdoch, DR (9 квітня 2011). Viral pneumonia. Lancet 377 (9773): 1264–75. PMID 21435708. doi:10.1016/S0140-6736(10)61459-6.
- George, Ronald B. (2005). Chest medicine : essentials of pulmonary and critical care medicine (вид. 5th ed.). Philadelphia, PA: Lippincott Williams & Wilkins. с. 353. ISBN 9780781752732.
- Tintinalli, Judith E. (2010). Emergency Medicine: A Comprehensive Study Guide (Emergency Medicine (Tintinalli)). New York: McGraw-Hill Companies. с. 480. ISBN 0-07-148480-9.
- Hoare Z; Lim WS (2006). Pneumonia: update on diagnosis and management (PDF). BMJ 332 (7549): 1077–9. PMC 1458569. PMID 16675815. doi:10.1136/bmj.332.7549.1077.
- Singh, V; Aneja, S (March 2011). Pneumonia — management in the developing world. Paediatric respiratory reviews 12 (1): 52–9. PMID 21172676. doi:10.1016/j.prrv.2010.09.011.
- Nair, GB; Niederman, MS (November 2011). Community-acquired pneumonia: an unfinished battle. The Medical clinics of North America 95 (6): 1143–61. PMID 22032432. doi:10.1016/j.mcna.2011.08.007.
- Pneumonia (Fact sheet N°331). World Health Organization. August 2012.
- Darby, J; Buising, K (October 2008). Could it be Legionella?. Australian family physician 37 (10): 812–5. PMID 19002299.
- Ortqvist, A; Hedlund, J, Kalin, M (December 2005). Streptococcus pneumoniae: epidemiology, risk factors, and clinical features. Seminars in respiratory and critical care medicine 26 (6): 563–74. PMID 16388428. doi:10.1055/s-2005-925523.
- Ebby, Orin (Dec 2005). Community-Acquired Pneumonia: From Common Pathogens To Emerging Resistance. Emergency Medicine Practice 7 (12).
- Lowe, J. F.; Stevens, Alan (2000). Pathology (вид. 2nd). St. Louis: Mosby. с. 197. ISBN 0-7234-3200-7.
- Snydman, editors, Raleigh A. Bowden, Per Ljungman, David R. (2010). Transplant infections (вид. 3rd). Philadelphia: Wolters Kluwer Health/Lippincott Williams & Wilkins. с. 187. ISBN 978-1-58255-820-2.
- Murray and Nadel (2010). Chapter 32.
- Eom, CS; Jeon, CY; Lim, JW; Cho, EG; Park, SM; Lee, KS (22 лютого 2011). Use of acid-suppressive drugs and risk of pneumonia: a systematic review and meta-analysis. CMAJ : Canadian Medical Association journal = journal de l'Association medicale canadienne 183 (3): 310–9. PMC 3042441. PMID 21173070. doi:10.1503/cmaj.092129.
- Sharma, S; Maycher, B, Eschun, G (May 2007). Radiological imaging in pneumonia: recent innovations. Current Opinion in Pulmonary Medicine 13 (3): 159–69. PMID 17414122. doi:10.1097/MCP.0b013e3280f3bff4.
- Anevlavis S; Bouros D (February 2010). Community acquired bacterial pneumonia. Expert Opin Pharmacother 11 (3): 361–74. PMID 20085502. doi:10.1517/14656560903508770.
- Murray and Nadel (2010). Chapter 31.
- Behera, D. (2010). Textbook of pulmonary medicine (вид. 2nd). New Delhi: Jaypee Brothers Medical Pub. с. 391–394. ISBN 8184487495.
- Maskell, Nick; Millar, Ann (2009). Oxford desk reference.. Oxford: Oxford University Press. с. 196. ISBN 9780199239122.
- Murray and Nadel (2010). Chapter 37.
- Vijayan, VK (2009 May). Parasitic lung infections.. Current opinion in pulmonary medicine 15 (3): 274–82. PMID 19276810.
- Clinical infectious diseases : a practical approach. New York, NY [u.a.]: Oxford Univ. Press. 1999. с. 833. ISBN 978-0-19-508103-9.
- Diffuse parenchymal lung disease : ... 47 tables (вид. [Online-Ausg.]). Basel: Karger. 2007. с. 4. ISBN 978-3-8055-8153-0.
- Ranganathan, SC; Sonnappa, S (February 2009). Pneumonia and other respiratory infections. Pediatric clinics of North America 56 (1): 135–56, xi. PMID 19135585. doi:10.1016/j.pcl.2008.10.005.
- Fleisher, Gary R.; Ludwig, Stephen, ред. (2010). Textbook of pediatric emergency medicine (вид. 6th). Philadelphia: Wolters Kluwer/Lippincott Williams & Wilkins Health. с. 914. ISBN 978-1-60547-159-4.(англ.) Наведено за англійською вікіпедією.
- Figueiredo LT (September 2009). Viral pneumonia: epidemiological, clinical, pathophysiological and therapeutic aspects. J Bras Pneumol 35 (9): 899–906. PMID 19820817. doi:10.1590/S1806-37132009000900012.
- Hammer, edited by Stephen J. McPhee, Gary D. (2010). Pathophysiology of disease : an introduction to clinical medicine (вид. 6th ed.). New York: McGraw-Hill Medical. с. Chapter 4. ISBN 0071621679.
- Fein, Alan (2006). Diagnosis and management of pneumonia and other respiratory infections (вид. 2nd ed.). Caddo, OK: Professional Communications. с. 28–29. ISBN 1884735630.
- Kumar, Vinay (2010). Robbins and Cotran pathologic basis of disease. (вид. 8th ed.). Philadelphia, PA: Saunders/Elsevier. с. Chapter 15. ISBN 1416031219.
- Lynch, T; Bialy, L, Kellner, JD, Osmond, MH, Klassen, TP, Durec, T, Leicht, R, Johnson, DW (6 серпня 2010). A systematic review on the diagnosis of pediatric bacterial pneumonia: when gold is bronze. У Huicho, Luis. PLoS ONE 5 (8): e11989. PMC 2917358. PMID 20700510. doi:10.1371/journal.pone.0011989.
- Ezzati, edited by Majid; Lopez, Alan D., Rodgers, Anthony, Murray, Christopher J.L. (2004). Comparative quantification of health risks. Genève: Organisation mondiale de la santé. с. 70. ISBN 978-92-4-158031-1.
- Lim, WS; Baudouin, SV, George, RC, Hill, AT, Jamieson, C, Le Jeune, I, Macfarlane, JT, Read, RC, Roberts, HJ, Levy, ML, Wani, M, Woodhead, MA, Pneumonia Guidelines Committee of the BTS Standards of Care, Committee (October 2009). BTS guidelines for the management of community acquired pneumonia in adults: update 2009. Thorax 64 (Suppl 3): iii1–55. PMID 19783532. doi:10.1136/thx.2009.121434.
- Saldías, F; Méndez, JI, Ramírez, D, Díaz, O (April 2007). [Predictive value of history and physical examination for the diagnosis of community-acquired pneumonia in adults: a literature review]. Revista medica de Chile 135 (4): 517–28. PMID 17554463.
- Call, SA; Vollenweider, MA, Hornung, CA, Simel, DL, McKinney, WP (23 лютого 2005). Does this patient have influenza?. JAMA: the Journal of the American Medical Association 293 (8): 987–97. PMID 15728170. doi:10.1001/jama.293.8.987.
- Helms, editors, William E. Brant, Clyde A. Fundamentals of diagnostic radiology (вид. 4th ed.). Philadelphia: Wolters Kluwer/Lippincott Williams & Wilkins. с. 435. ISBN 9781608319114.
- Mandell, LA; Wunderink, RG; Anzueto, A; Bartlett, JG; Campbell, GD; Dean, NC; Dowell, SF; File TM, Jr; Musher, DM; Niederman, MS; Torres, A; Whitney, CG; Infectious Diseases Society of, America; American Thoracic, Society (1 March 2007). Infectious Diseases Society of America/American Thoracic Society consensus guidelines on the management of community-acquired pneumonia in adults. Clinical infectious diseases : an official publication of the Infectious Diseases Society of America 44 (Suppl 2): S27–72. PMID 17278083. doi:10.1086/511159.
- Stedman's medical dictionary. (вид. 28th). Philadelphia: Lippincott Williams & Wilkins. 2006. ISBN 978-0-7817-6450-6.
- Dunn, L (2005 June 29-July 5). Pneumonia: classification, diagnosis and nursing management. Nursing standard (Royal College of Nursing (Great Britain) : 1987) 19 (42): 50–4. PMID 16013205.
- organization, World health (2005). Pocket book of hospital care for children : guidelines for the management of common illnesses with limited resources.. Geneva: World Health Organization. с. 72. ISBN 978-92-4-154670-6.
- Jefferson, T; Di Pietrantonj, C, Rivetti, A, Bawazeer, GA, Al-Ansary, LA, Ferroni, E (7 липня 2010). Vaccines for preventing influenza in healthy adults. У Jefferson, Tom. Cochrane database of systematic reviews (7): CD001269. PMID 20614424. doi:10.1002/14651858.CD001269.pub4.
- Seasonal Influenza (Flu). Center for Disease Control and Prevention. Процитовано 29 червня 2011.
- Moberley, SA; Holden, J, Tatham, DP, Andrews, RM (23 січня 2008). Vaccines for preventing pneumococcal infection in adults. У Andrews, Ross M. Cochrane database of systematic reviews (1): CD000422. PMID 18253977. doi:10.1002/14651858.CD000422.pub2.
- Pneumonia Can Be Prevented — Vaccines Can Help. Centers for Disease Control and Prevention. Процитовано 22 жовтня 2012.
- Gray, DM; Zar, HJ (May 2010). Community-acquired pneumonia in HIV-infected children: a global perspective. Current opinion in pulmonary medicine 16 (3): 208–16. PMID 20375782. doi:10.1097/MCP.0b013e3283387984.
- Huang, L; Cattamanchi, A; Davis, JL; den Boon, S; Kovacs, J; Meshnick, S; Miller, RF; Walzer, PD; Worodria, W; Masur, H; International HIV-associated Opportunistic Pneumonias (IHOP), Study; Lung HIV, Study (June 2011). HIV-associated Pneumocystis pneumonia. Proceedings of the American Thoracic Society 8 (3): 294–300. PMC 3132788. PMID 21653531. doi:10.1513/pats.201009-062WR.
- Green H, Paul M, Vidal L, Leibovici L (2007). Prophylaxis for Pneumocystis pneumonia (PCP) in non-HIV immunocompromised patients. У Green, Hefziba. Cochrane Database Syst Rev (3): CD005590. PMID 17636808. doi:10.1002/14651858.CD005590.pub2.
- Шаблон:Citejournal
- Darville, T (October 2005). Chlamydia trachomatis infections in neonates and young children. Seminars in pediatric infectious diseases 16 (4): 235–44. PMID 16210104. doi:10.1053/ j.spid.2005.06.004.
- Global Action Plan for Prevention and Control of Pneumonia (GAPP). World Health Organization. 2009.
- Roggensack, A; Jefferies, AL; Farine, D; Basso, M; Delisle, MF; Hudon, L; Mundle, WR; Murphy-Kaulbeck, LC; Ouellet, A; Pressey, T (April 2009). Management of meconium at birth. Journal of obstetrics and gynaecology Canada : JOGC = Journal d'obstetrique et gynecologie du Canada : JOGC 31 (4): 353–4, 355–7. PMID 19497156.
- van der Maarel-Wierink, CD; Vanobbergen, JN; Bronkhorst, EM; Schols, JM; de Baat, C (6 March 2012). Oral health care and aspiration pneumonia in frail older people: a systematic literature review. Gerodontology: no. PMID 22390255. doi:10.1111/j.1741-2358.2012.00637.x.
- Bradley, JS; Byington, CL, Shah, SS, Alverson, B, Carter, ER, Harrison, C, Kaplan, SL, Mace, SE, McCracken GH, Jr, Moore, MR, St Peter, SD, Stockwell, JA, Swanson, JT (31 серпня 2011). The Management of Community-Acquired Pneumonia in Infants and Children Older Than 3 Months of Age: Clinical Practice Guidelines by the Pediatric Infectious Diseases Society and the Infectious Diseases Society of America. Clinical infectious diseases : an official publication of the Infectious Diseases Society of America 53 (7): e25–76. PMID 21880587. doi:10.1093/cid/cir531.
- Yang, M; Yuping, Y, Yin, X, Wang, BY, Wu, T, Liu, GJ, Dong, BR (17 лютого 2010). Chest physiotherapy for pneumonia in adults. У Dong, Bi Rong. Cochrane database of systematic reviews (2): CD006338. PMID 20166082. doi:10.1002/14651858.CD006338.pub2.
- Zhang, Y; Fang, C; Dong, BR; Wu, T; Deng, JL (14 березня 2012). Oxygen therapy for pneumonia in adults. У Dong, Bi Rong. Cochrane database of systematic reviews 3: CD006607. PMID 22419316. doi:10.1002/14651858.CD006607.pub4.
- Chang CC, Cheng AC, Chang AB (2012). Over-the-counter (OTC) medications to reduce cough as an adjunct to antibiotics for acute pneumonia in children and adults. У Chang, Christina C. Cochrane Database Syst Rev 2: CD006088. PMID 22336815. doi:10.1002/14651858.CD006088.pub3.
- Haider, BA; Lassi, ZS; Ahmed, A; Bhutta, ZA (5 October 2011). Zinc supplementation as an adjunct to antibiotics in the treatment of pneumonia in children 2 to 59 months of age. У Bhutta, Zulfiqar A. Cochrane database of systematic reviews (10): CD007368. PMID 21975768. doi:10.1002/14651858.CD007368.pub2.
- Kabra SK; Lodha R, Pandey RM (2010). Antibiotics for community-acquired pneumonia in children. У Kabra, Sushil K. Cochrane Database Syst Rev 3 (3): CD004874. PMID 20238334. doi:10.1002/14651858.CD004874.pub3.
- Lutfiyya MN; Henley E, Chang LF, Reyburn SW (February 2006). Diagnosis and treatment of community-acquired pneumonia (PDF). Am Fam Physician 73 (3): 442–50. PMID 16477891.
- Eliakim-Raz, N; Robenshtok, E; Shefet, D; Gafter-Gvili, A; Vidal, L; Paul, M; Leibovici, L (12 вересня 2012). Empiric antibiotic coverage of atypical pathogens for community-acquired pneumonia in hospitalized adults. У Eliakim-Raz, Noa. Cochrane database of systematic reviews 9: CD004418. PMID 22972070. doi:10.1002/14651858.CD004418.pub4.
- Scalera NM; File TM (April 2007). How long should we treat community-acquired pneumonia?. Curr. Opin. Infect. Dis. 20 (2): 177–81. PMID 17496577. doi:10.1097/QCO.0b013e3280555072.
- American Thoracic Society; Infectious Diseases Society of America (February 2005). Guidelines for the management of adults with hospital-acquired, ventilator-associated, and healthcare-associated pneumonia. Am J Respir Crit Care Med 171 (4): 388–416. PMID 15699079. doi:10.1164/rccm.200405-644ST.
- Marik, PE (May 2011). Pulmonary aspiration syndromes. Current Opinion in Pulmonary Medicine 17 (3): 148–54. doi:10.1097/ MCP.0b013e32834397d6. Проігноровано невідомий параметр
|=(довідка) - O'Connor S (2003). Aspiration pneumonia and pneumonitis. Australian Prescriber 26 (1): 14–7. Архів оригіналу за 9 липня 2009. Процитовано 7 лютого 2014.
- Behera, D. (2010). Textbook of pulmonary medicine (вид. 2nd). New Delhi: Jaypee Brothers Medical Pub. с. 296–297. ISBN 9788184487497.
- Cunha (2010). Pages6-18.
- Rello, J (2008). Demographics, guidelines, and clinical experience in severe community-acquired pneumonia.. Critical care (London, England). 12 Suppl 6: S2. PMID 19105795.
- Yu, H (2011 Mar). Management of pleural effusion, empyema, and lung abscess.. Seminars in interventional radiology 28 (1): 75–86. PMID 22379278.
- Cunha (2010). Pages 250—251.
- WHO Disease and injury country estimates. World Health Organization (WHO). 2004. Процитовано 11 листопада 2009.
- Rudan, I; Boschi-Pinto, C, Biloglav, Z, Mulholland, K, Campbell, H (May 2008). Epidemiology and etiology of childhood pneumonia. Bulletin of the World Health Organization 86 (5): 408–16. PMC 2647437. PMID 18545744. doi:10.2471/BLT.07.048769.
- Garenne M; Ronsmans C, Campbell H (1992). The magnitude of mortality from acute respiratory infections in children under 5 years in developing countries. World Health Stat Q 45 (2–3): 180–91. PMID 1462653.
- WHO (1999). Pneumococcal vaccines. WHO position paper. Wkly. Epidemiol. Rec. 74 (23): 177–83. PMID 10437429.
- al.], Ralph D. Feigin ... [et (2003). Textbook of pediatric infectious diseases (вид. 5th). Philadelphia: W. B. Saunders. с. 299. ISBN 978-0-7216-9329-3.
- Hippocrates On Acute Diseases wikisource link
- Maimonides, Fusul Musa («Pirkei Moshe»).
- Klebs E (10 грудня 1875). Beiträge zur Kenntniss der pathogenen Schistomyceten. VII Die Monadinen. Arch. Exptl. Pathol. Parmakol. 4 (5/6): 40–488.
- Friedländer C (4 лютого 1882). Über die Schizomyceten bei der acuten fibrösen Pneumonie. Virchow's Arch pathol. Anat. U. Physiol. 87 (2): 319–324. doi:10.1007/BF01880516.
- Fraenkel A (21 квітня 1884). Über die genuine Pneumonie, Verhandlungen des Congress für innere Medicin. Dritter Congress 3: 17–31.
- Gram C (15 березня 1884). Über die isolierte Färbung der Schizomyceten in Schnitt- und Trocken-präparaten. Fortschr. Med 2 (6): 185–9.
- al.], edited by J.F. Tomashefski, Jr ... [et (2008). Dail and Hammar's pulmonary pathology. (вид. 3rd). New York: Springer. с. 228. ISBN 978-0-387-98395-0.
- William Osler, Thomas McCrae (1920). The principles and practice of medicine: designed for the use of practitioners and students of medicine (вид. 9th). D. Appleton. с. 78. «One of the most widespread and fatal of all acute diseases, pneumonia has become the "Captain of the Men of Death," to use the phrase applied by John Bunyan to consumption.»
- Adams WG; Deaver KA, Cochi SL, et al. (January 1993). Decline of childhood Haemophilus influenzae type B (Hib) disease in the Hib vaccine era. JAMA 269 (2): 221–6. PMID 8417239. doi:10.1001/jama.269.2.221.
- Whitney CG; Farley MM, Hadler J,et al. (May 2003). Decline in invasive pneumococcal disease after the introduction of protein-polysaccharide conjugate vaccine. N. Engl. J. Med. 348 (18): 1737–46. PMID 12724479. doi:10.1056/NEJMoa022823.
- World Pneumonia Day Official Website. World Pneumonia Day Official Website. Fiinex. Архів оригіналу за 2 вересня 2011. Процитовано 13 серпня 2011.
- Єренков В. О. Невідкладна допомога у педіатрії: Довідник. — Кишинів: Картя молдовеняске, 1988.
- Клініко-статистична класифікація хвороб, розроблена на базі МКХ-10 (проект)[недоступне посилання з липня 2019]
- Про затвердження клінічних протоколів надання медичної допомоги за спеціальністю «Пульмонологія» Архівовано 31 січня 2010 у Wayback Machine.- Наказ № 128 МОЗ України від 19.03.2007.
Джерела
- Murray and Nadel's textbook of respiratory medicine. (вид. 5th). Philadelphia, PA: Saunders/Elsevier. 2010. ISBN 1416047107.
- Cunha, edited by Burke A. (2010). Pneumonia essentials (вид. 3rd ed.). Sudbury, MA: Physicians' Press. ISBN 0763772208.
Додаткова література
- Пневмонія: Монографія. Вид. шосте, доп. та перероб. / Регеда М. С., Регеда М. М., Фурдичко Л. О. — Львів, 2012. — 162 с.
- Фенотипи пневмоній: сучасний погляд на особливості етіології, діагностики та лікування хворих на негоспітальну пневмонію за наявності факторів ризику: навч. посіб. / Т. О. Перцева [та ін.] ; Держ. закл. «Дніпропетров. мед. акад. М-ва охорони здоров'я України». — Дніпро: Герда, 2017. — 103 с. : іл., табл. — Бібліогр.: с. 100—103 (42 назви). — ISBN 978-617-7097-71-5
Посилання
- Пневмонія // Словник іншомовних слів / Під ред. О. С. Мельничука. — К. : Головна редакція Української Радянської Енциклопедії АН УРСР, 1974.
.jpg.webp)