Легіонельоз
Легіонельо́з — гостре сапронозне інфекційне захворювання, яке спричинює переважно бактерія Legionella pneumophila, рідше інші легіонели. Характеризується поліморфізмом клінічних симптомів із переважним ураженням дихальної системи, перебігає у двох клінічних формах — хвороба легіонерів та гарячка Понтіак.
| Легіонельоз | |
|---|---|
![]() Legionella pneumophila, основний збудник легіонельозу, забарвлена сріблом, серед клітин респіраторного тракту Legionella pneumophila, основний збудник легіонельозу, забарвлена сріблом, серед клітин респіраторного тракту | |
| Спеціальність | інфекційні хвороби і пульмонологія |
| Симптоми | головний біль[1], гарячка[1], кашель[1], міалгія[1], озноб[2] і пневмонія[2] |
| Причини | Legionella pneumophila[3] |
| Метод діагностики | клінічний аналіз крові, рентгенографія грудної кліткиd, КТ, мікробіологічна культура, реакція імунофлюоресценції, ІФА і ПЛР |
| Ведення | антибіотик, оксигенотерапія і детоксикація |
| Препарати | еритроміцин[4], тролеандоміцинd[4], левофлоксацин[4], levofloxacin hemihydrated[5], моксифлоксацин, гатіфлоксацин, азитроміцин, доксициклін і ципрофлоксацин |
| Класифікація та зовнішні ресурси | |
| МКХ-11 | 1C19 |
| МКХ-10 | A48.1, A48.2 |
| DiseasesDB | 7366 |
| MedlinePlus | 000616 |
| eMedicine | med/1273 |
| MeSH | D007876 |
| | |
Історичні відомості
Відкриття і вивчення хвороби легіонерів до того невідомої — пов'язано з конгресом організації «Американський легіон», який відбувався 21—28 липня 1976 року в готелі «Білью-Страдфорд» у Філадельфії (США). Відповідно до порядку денного делегати конгресу і члени їх сімей брали участь у різних традиційних заходах. 2 серпня керівник Пенсільванського департаменту охорони здоров'я повідомив Американські центри по запобіганню хвороб (англ. CDC) про спалах незрозумілої хвороби, яка мала тяжкий перебіг[6]. Всього зареєстрували 221 випадок хвороби, з них 34 закінчилися смертю. Крім учасників конгресу, хворіли особи, що проживали в тому ж готелі або побували в межах кварталу від того місця, де розташований готель. Клінічно у всіх хворих разом із високою гарячкою виявляли пневмонію[7]. Після широких епідеміологічних досліджень стало зрозумілим, що захворювання передається через вентиляційну систему готелю, а хвороба була названа «хворобою легіонерів»[8].

Етіологія захворювання залишалася невідомою ще 5 місяців, поки американський мікробіолог з CDC Джозеф Макдед у 1977 р. не виділив невідому до цього грамнегативну паличку з легеневої тканини людини, померлої під час спалаху[9]. Високий рівень специфічних антитіл до цього збудника в сироватках крові хворих підтвердив діагноз. У 1979 році її віднесли до роду Legionella, а збуднику дали назву Legionella pneumophila. Цю бактерію також виділили під час ще декількох спалахів легіонельозу з водних систем кондиціонування повітря, підтвердивши тим самим роль кондиціонерів як одного з чинників поширення збудника. Ретроспективними дослідженнями довели роль Legionella pneumophila в різних спалахах ГРЗ до 1976 року в різних країнах (Іспанія, Франція, США тощо)[10]. Першим відомим спалахом легіонельозу внаслідок цього визнали той, що відбувся влітку 1957 року в Остіні, штат Техас, коли на тяжку пневмонію захворіло 78 працівників заводу, в якому була несправна система вентиляції. У загиблого в 1943 році хворого від тяжкої пневмонії, органи якого зберігали в CDC, при ретроспективному дослідженні виявили Legionella pneumophila в легеневій тканині[11]. Ретроспективно розшифрували в Понтіаку (штат Мічиган) в 1968 році, коли протягом декількох днів в 144 людей, що працювали у міському департаменті охорони здоров'я або його відвідали, розвинулися симптоми ГРЗ із м'яким перебігом. Спалах пішов на спад, як тільки було відключено несправну систему кондиціонування[12]. Надалі «гарячку Понтіак» розшифрували як легіонельоз і стали вважати однією з клінічних форм цієї інфекції[13].
Актуальність
Легіонельоз хоча й спостерігають повсюдно, але його вважають хворобою розвинених країн, де існують широкі можливості реалізації аерогенного зараження (кондиціонери, вентиляційні системи, сучасні душові обладнання тощо)[14]. Досить часто хвороба відбувається у вигляді спалахів. США сповіщає про 15—18 тисяч випадків захворювання щороку. Згідно досліджень і спостережень у цій країні протягом 2000—2011 років кількість випадків захворювання збільшилась на 249 %. Дані введеної 2011 року активної системи спостереження за хворобами показали, що 44 % пацієнтів із легіонельозом протягом 2011—2013 років потребували інтенсивної терапії, а 9 % померли. Є думка, що хвороба легіонерів є причиною госпіталізації в світі до 10 % хворих із гострими пневмоніями. Особливе значення останніми роками надається проблемі легіонельозу в контексті хвороб мандрівників — захворювання виникає під час туристичних і ділових поїздок і його діагностують після повернення з них[15]. Випадки захворювань, пов'язані з нозокоміальними спалахами, відзначають протягом всього року. Відомі й внутрішньолікарняні спалахи легіонельозу. Хворобу також відносять до ВІЛ-асоційованих інфекцій.
Етіологія
Етіологічно збудники легіонельозу — грамнегативні аеробні рухливі бактерії роду Legionella, родини Legionellaceae. Хоча на теперішній час виявлені 70 серогруп серед 50 видів, саме L. pneumophila спричинює абсолютну більшість випадків легіонельозу у людей. Значно рідше це роблять L. longbeachae, L. feeleii, L. micdadei та L. anisa та інші. Для легіонел характерна незвичайна послідовність нуклеотидів у складі ДНК, унікальний жиро-кислотний склад, що не є характерним для переважної більшості видів інших грамнегативних бактерій, досить рідкий тип метаболізму — безпосереднє використання амінокислот як головного джерела вуглецю і енергії.
Антигенна структура легіонел складна. Специфічність серотипу визначає ліпополісахаридний антиген. На підставі визначення специфічних антитіл заснована серологічна діагностика захворювання. У збудників легіонельозу встановлена наявність термостабільного ендотоксину.
Легіонелам притаманна гемолітична, цитотоксична активність.
Легіонели відрізняються своєрідними вимогами до умов культивування. Це факультативні паразити, які вимагають для свого культивування максимально збагачених поживних середовищ із специфічною рецептурою (селективних), вузького діапазону рН і температури. Найбільш успішним є культивування легіонел на поживному середовищі, яке містить 8 амінокислот, L-цистеїн і залізо. L. pneumophila культивують на клітинних середовищах (курячі ембріони, морські свинки).
L. pneumophila стійка у зовнішньому середовищі: збудник виживає до 139 днів у дистильованій воді та 369 днів — у водопровідній. Добре зберігається протягом декількох років при температурі 70ºС, чутлива до дії кислот, дезінфікувальних і антисептичних препаратів.
Детальніші відомості з цієї теми ви можете знайти в статті Legionella pneumophila.
Детальніші відомості з цієї теми ви можете знайти в статті Legionella.
Епідеміологічні особливості
Резервуари інфекції
Доведено, що L. pneumophila — природний мешканець водойм, здатний до існування в різних умовах довкілля. Мікроорганізм виділяли з природних водних середовищ існування (прісноводні річки і озера, водосховища) і штучних джерел (градирні, питні системи розподілу води). Встановлено, що є симбіотичні співвідносини легіонел із найпростішими і ціанобактеріями. При вивченні екології збудника встановили патогенність L. pneumophila для амеб, яких слід вважати природними резервуарами, що живуть у воді та широко поширені у ґрунті. Таким чином, легіонельоз є типовим сапронозом, тому що у цієї групи характерним є відсутність джерел інфекції, а потрапляння збудників йде з абіотичних (неживих) об'єктів. Таким чином природним резервуаром легіонел також слід вважати різні прісноводні водоймища. Відомі дві екологічні ніші для існування легіонел:
- Перша з них — природні умови різних прісноводих водойм зі всією складністю їх біоценотичних взаємодій і широким діапазоном фізичних і хімічних чинників, що визначають кордони виживання і репродукції збудника в довкіллі.
- Друга — результат трансформації зовнішнього середовища під впливом діяльності людини. Це окрім градирень, вода в системах кондиціонерів, теплі води, що скидаються електростанціями, голівки душового устаткування, вихрові спа-центри, приладдя для дихальної терапії, випарні конденсатори, змішувачи та інші конструктивні атрибути використання води для потреб сучасної цивілізації.
Хвора людина не є джерелом легіонел. Навіть при тісному спілкуванні з хворим випадки зараження оточуючих не зареєстрували. Не встановили також виділення збудників від яких-небудь тварин, птахів або членистоногих.
Механізм і фактори передачі
Механізм передачі — аерогенний, зараження відбувається найчастіше при вдиханні дрібного водного аерозолю. Можливий й повітряно-пиловий (через ґрунт) шлях зараження при будівельних і земляних роботах у вологому ґрунті, де можуть накопичуватись легіонели. При накопиченні в ґрунті, кондиціонерах рециркуляційного типу, сучасних душових установок збудник передається та вдихається у вигляді водного або пилового аерозолю. Збудник концентрується у водних резервуарах систем, охолоджуючих баштах або випарних конденсорах. В умовах лікувально-профілактичних закладів можливий й артифіційний шлях зараження, пов'язаний із лікувальними процедурами: вихровими ваннами, терапією ультразвуковими дезінтеграторами, інтубацією та іншими процедурами.
Сприйнятливий контингент та імунітет
Сприйнятливість до легіонельозу загальна. Головними чинниками ризику є куріння, вживання алкоголю, супутні захворювання (цукровий діабет, лейкоз, злоякісні пухлини, тощо). Частіше виникає серед тих, хто проживає в готелях, медичних працівників і хворих геріатричних, психіатричних стаціонарів. Пік захворюваності приходиться на серпень-вересень. Хворіють часто особи літнього віку, причому чоловіки в 2—3 рази частіше, ніж жінки. Тривалість постінфекційного імунітету не вивчена, проте рецидиви хвороби не зареєстрували жодного разу.

.jpg.webp)
Патогенез
Згідно патогенезу основні вхідні ворота інфекції — різні відділи дихальної системи, включаючи легеневу тканину. Вибір первинного ураження епітеліальних клітин верхніх або більш глибоких відділів респіраторного тракту і легенів залежить від дози, що інфікує, розмірів часток аерозолів, особливостей зовнішнього дихання. Будь-який процес, який ставить під загрозу мукоциліарний кліренс[16], наприклад куріння тютюну, наявність силікозу, тощо, збільшує ризик зараження. Вірулентність варіює у різних штамів L. pneumophila. Наприклад, деякі штами можуть прилипати до епітеліальних клітин дихальних шляхів завдяки ворсинкам, тоді як штами з мутантним дефектним геном, що кодує утворення ворсинок, показують зменшення зчеплення з епітелієм. Характер вхідних воріт визначає форму та тяжкість інфекційного процесу. При спалахах і спорадичних випадках хвороби у людей, експериментальному моделюванні інфекції у лабораторних тварин, довели, що легіонели розмножуються переважно в альвеолярних макрофагах, поліморфноядерних нейтрофілах та моноцитах.
У ході розвитку запальної реакції бактерії поглинають клітини системи мононуклеарних фагоцитів (СМФ). Залежно від їх функціонального стану, у тому числі й завершеності фагоцитозу, бактерії або руйнуються, або тривало зберігаються у фагоцитах, обумовлюючи затяжний перебіг інфекції з рецидивами. Легіонели розмножуються у фагоцитах, призводячи до їх загибелі і швидкого прогресування патологічного процесу. Припускають, що при високій активності альвеолярних макрофагів захворювання розвивається не у вигляді тяжкої пневмонії, а у виді гарячки Понтіак. Тоді як у осіб із порушеннями клітинної ланки імунітету процес йде за типом хвороби легіонерів. Поширення збудника з током крові по різних органах і системах призводить до розвитку порушень мікроциркуляції аж до гострого респіраторного дистрес-синдрому дорослих (ГРДСД), запального процесу з геморагічним компонентом, формуванням лімфоплазмоцитарних інфільтратів і некрозів. При вираженій бактеріемії інколи захворювання може перебігати за септичним типом із розвитком ендокардиту, перикардиту і формування торинних гнійних вогнищ. Вивільнення ендотоксину після загибелі бактерій і прогресуюча ендотоксинемія обумовлюють клінічні прояви інтоксикації аж до токсичної енцефалопатії та інфекційно-токсичного шоку (ІТШ). З дією токсичних чинників пов'язують можливість пригнічення процесів кровотворення в кістковому мозку, некрозу печінкових клітин, епітелію ниркових канальців, що разом із мікроциркуляторними порушеннями в нирках веде до розвитку гострої ниркової недостатності (ГНН).
Клінічні ознаки
Класифікація
У МКХ-10 в розділі «Деякі інфекційні та паразитарні хвороби», блоці «Інші бактеріальні хвороби», підкласі «Інші бактерійні інфекції, не класифіковані в інших рубриках» виділяють:
- «Хвороба легіонерів» (А48.1);
- «Непневмонічна хвороба легіонерів (гарячка Понтіак)» (А48.2).
Зміни в легенях
При ній інкубаційний період складає 2—11 днів, в середньому 7 діб. У деяких хворих спостерігають продромальні явища. У клінічному перебігу з 4—7 дня хвороби переважають симптоми ураження дихальних шляхів: непродуктивний кашель і задишка. Симптоми ураження верхніх дихальних шляхів і нежить не спостерігають. На початку хвороби часто гарячка та інтоксикаційні прояви випереджають появу ознак ураження нижніх дихальних шляхів. Далі у більшості хворих виникає кашель із невеликою кількістю слизово-гнійного або кров'яного мокротиння, часто незначне кровохаркання. Розвиваються задишка, сильний біль у грудях, особливо при супутньому фібринозному плевриті. У легенях виявляють притуплювання перкуторного звуку, ділянки ослабленого дихання, велику кількість сухих і вологих дрібнопухірчастих хрипів. Майже у половини хворих вислуховують шум тертя плеври. Для гострого альвеоліту характерна поява з перших днів хвороби сухого кашлю на тлі високої гарячки та інших проявів інтоксикації (головний біль, міальгії, тощо). Надалі кашель стає вологим зі значним відходженням слизового або слизово-гнійного харкотиння, наростає задишка. У легенях при аускультації з обох боків вислуховують рясну дифузну крепітацію. Процес проходить із пропотіванням в альвеоли еритроцитів, фібрину, набряком альвеолярних перетинок. У деяких випадках захворювання набуває затяжного прогресуючого перебігу з розвитком фіброзу легень.
Зміни поза легенями
Разом з ураженням дихальних органів у частини хворих спостерігають патологію з боку інших органів і систем. Шлунково-кишкові прояви є другими за частотою після респіраторних: розвивається діарея з водянистими випорожненнями без крові, блювання. Діарея зазвичай починається на 4—5 день хвороби і продовжується 5—10 днів. Часто виникає ураження серця у вигляді міокардиту, перикардиту, ендокардиту. Ураження центральної нервової системи (ЦНС) виявляють у 20—50 % хворих. Хворі скаржаться на головний біль, розвивається сплутаність свідомості, галюцинації. Психічний стан хворих може коливатися від депресії і емоційної лабільності до порушення свідомості, втрати орієнтації і летаргії. Більшість дослідників трактують зміни, що розвиваються з боку ЦНС, як енцефалопатію (судинно-токсичне ураження без запалення). В 1/3 хворих спостерігають клінічні прояви ураження нирок. У невеликої кількості цих хворих виявляють ГНН, що перебігає з анурією, азотемією, які вимагають проведення гемодіалізу.
У випадках тяжкого перебігу хвороби наростає ГДН і серцево-судинна недостатність (ССН), смерть настає до кінця 1-ого тижня хвороби. У половині випадків смерті передує ІТШ із розвитком ДВЗ-синдрому (синдром дисемінованого внутрішньосудинного згортання). При сприятливому перебігу хвороби в періоді реконвалесценції тривало зберігається слабкість, запаморочення, дратівливість, можлива астенія.
Ускладненнями цієї форми легіонельозу є формування в подальшому пієлонефриту, уражень навколоносових пазух (гайморит, фронтит, тощо), бульозної емфіземи, емпієми плеври, панкреатиту, перитоніту, різноманітних неврологічних уражень, гнійних ушкоджень шкіри.
Непневмонічна хвороба легіонерів (гарячка Понтіак)
Має інкубаційний період від 6 до 66 годин, в середньому — 36 годин. Ця клінічна форма починається з прогресуючого нездужання, дифузного м'язового болю. Температура підвищується в перший день хвороби до 37—40 °C, з'являється озноб і головний біль. Відзначають респіраторні симптоми, сухий кашель, біль при ковтанні та сухість у глотці, біль у грудній клітці. Пневмонія не розвивається. Часто виявляють неврологічні симптоми: запаморочення, світлобоязнь, різної міри порушення свідомості, порушення координації, безсоння, більшість хворих відзначають порушення пам'яті та здатності зосередитися. Частина хворих відзначає незначний біль у животі, нечасте блювання. Ознак ураження печінки і нирок немає. Ця форма легіонельозу закінчується без лікування протягом 2—3 днів. Ускладнень не спостерігали.
Діагностика

Загально-лабораторні та інструментальні зміни
У клінічному аналізі крові виявляють лейкоцитоз із зсувом формули вліво, значне підвищення ШОЕ (більше 60 мм/годину). При тяжкому перебігу хвороби легіонерів може зростати активність АлАТ та АсАТ, КФК, збільшується рівень С-реактивного протеїну, відбувається гіпофосфатемія, яку вважають типовою для хвороби легіонерів.
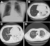
Рентгенологічні зміни в легенях при хворобі легіонерів — однобічна, двобічна дольова і вогнищева пневмонія. У більшості випадків уражені нижні долі, особливо правої легені. У деяких хворих має місце мігруюча пневмонія, що виникає в місцях старих інфільтратів. Водночас можлива поява і нових інфільтратів на раніше не уражених ділянках, часто в іншій легені. У третини хворих виявляють рентгенологічно лише явища плевриту. Поліпшення рентгенологічної картини в легенях починається з 12—14 дня хвороби, проте, остаточне відновлення затягується до 8—10 тижнів.
Специфічна діагностика
Включає бактеріологічний метод — для виділення збудника використовують плевральну рідину, харкотиння, бронхіальний вміст при промиванні бронхів (лаваші), кров. Матеріал засівають на спеціальний агар Мюлера-Хінтона з додаванням солей заліза і цистеїну. Збудник добре (хоча повільно — 5—7 днів) зростає у присутності 5 % СО2. Найбільш надійне виділення збудника при зараженні морських свинок матеріалом, отриманим від хворих, з подальшим інфікуванням курячих ембріонів. Проводять також аналіз матеріалу (кров, мокротиння) методом прямої РІФ і реакції мікроаглютинації (РМА). Для діагностики хвороби легіонерів широко використовують визначення антигенів L. pneumophila в сечі, які іноді можна виявити через 2—3 місяці від початку хвороби. Використовують також ІФА і ПЛР.
Лікування
При терапії легкого та середньо-тяжкого перебігу легіонельозу застосовують азитроміцин 0,5 г на добу, або доксициклін 0,2 г на добу, або ципрофлоксацин 1,5 г на добу, або кларитроміцин 0,5—1,0 г на добу. При тяжких випадках рекомендують внутрішньовенно левофлоксацин 0,5 г на добу або моксифлоксацин 0,4 г на добу. Курс лікування різної тривалості, в залежності від клінічної ситуації. Пеніцилін та його похідні, цефалоспорини, аміноглікозиди виявилися неефективними при лікування хворих на легіонельоз.
Для корекції гіпоксії застосовують респіраторну підтримку, оксигенотерапію. Протишокові заходи, боротьбу з кровотечами і інтоксикацією проводять загальноприйнятими методами. У разі ускладнення легіонельозу ГНН показано проведення гемодіалізу.
Профілактика
Питання специфічної профілактики із застосуванням вакцини знаходяться у стадії розробки. Необхідна епідеміологічна настороженість відносно контингентів підвищеного ризику інфікування. Це особи, що працюють у будівлях із кондиціонерами; особи, що здійснюють земляні роботи; ті, хто обслуговує системи водопостачання і теплоелектроцентралі. Ефективне підвищення температури води до 60 °C для очищення системи. Господарська діяльність людини і забруднення довкілля привели до зміни природних умов прісноводих водойм — основної екологічної ніші легіонел, що розширило межи виживання і репродукції збудника у довкіллі. Використання води на користь сучасної цивілізації, в системах кондиціювання, при роботі гідроспоруд, що супроводжуються утворенням водного аерозолю, створило оптимальні умов для розмноження збудника і безпосередню небезпеку зараження людини.
Примітки
- WikiSkripta — 2008. — ISSN 1804-6517
- Disease Ontology — 2016.
- http://www.cdc.gov/legionella/index.html
- NDF-RT
- Drug Indications Extracted from FAERS — doi:10.5281/ZENODO.1435999
- In Philadelphia 30 Years Ago, an Eruption of Illness and Fear, Lawrence K. Altman, The New York Times, August 1, 2006.
- Tsai TF, Finn DR, Plikaytis BD, McCauley W, Martin SM, Fraser DW. Legionnaires' disease: clinical features of the epidemic in Philadelphia. Ann Intern Med. 1979 Apr;90(4):509-17.
- Fraser, D.W., Tsai, T,. Orenstein, W., et al. (1977). Legionnaires' disease: description of an epidemic of pneumonia. New England Journal of Medicine. 297: 1186—1196.
- McDade, JE., Shepard, C.C., Fraser, D.W., et al., (1977) Legionnaires' Disease — Isolation of a Bacterium and Demonstration of Its Role in Other Respiratory Disease. New England Journal of Medicine. 297: 1197—1203.
- Broadbent, C. (1996). Guidance for the Control of Legionella: Water Series No. 1. National Environmental Health Forum Monographs.
- McDade, J.E., Brenner, D.J., Boeman, F.M.. (1979). Legionnaires' disease bacterium isolated in 1947. Ann Intern Med. 90: 659—661.
- Glick TH, Gregg MB, Berman B, Mallison G, Rhodes WW Jr, Kassanoff I. Pontiac fever—an epidemic of unknown etiology in a health department. 1. Clinical and epidemiologic aspects. Am J Epidemiol 1978; 107:149–60.
- Friedman S, Spitalny K, Barbaree J, Faur Y, Mckinney R: Pontiac fever outbreak associated with a cooling tower. Am J Public Health 1987, 77:568-72
- «Timeline: legionnaires' disease outbreaks in Britain». telegraph.co.uk. Telegraph Media Group Limited. Retrieved 31 July 2015.
- Guyard C, Low DE. Legionella infections and travel associated legionellosis. Travel Med Infect Dis. 2011 Jul;9(4):176–86.
- Тобто видалення епітелієм за допомогою слизу та війок чужорідних часток з його поверхні.
Джерела
- Cunha BA, Burillo A, Bouza E. Legionnaires' disease. Lancet. 2016 Jan 23. 387 (10016):376-85.
- Інфекційні хвороби (підручник) (за ред. О. А. Голубовської). — Київ: ВСВ «Медицина» (2 видання, доповнене і перероблене). — 2018. — 688 С. + 12 с. кольор. вкл. (О. А. Голубовська, М. А. Андрейчин, А. В. Шкурба та ін.) ISBN 978-617-505-675-2 / С. 253—256.
- Возіанова Ж. І. Інфекційні і паразитарні хвороби: В 3 т. — К.: «Здоров'я», 2008. — Т. 1.; 2-е вид., перероб. і доп — 884 с. ISBN 978-966-463-012-9
Література
- Gerald L. Mandell. Mandell, Douglas, and Bennett's Principles and Practice of Infectious Diseases: Expert Consult Premium Edition — Enhanced Online Features and Print (Two Volume Set). — 7th Edition. — USA : Churchill Livingstone, 2009. — 4320 с. — ISBN 978-0443068393. (англ.)
- Estee Torok, Ed Moran, Fiona Cooke. Oxford Handbook of Infectious Diseases and Microbiology (Oxford Medical Handbooks). — 1th Edition. — Oxford, United Kingdom : Oxford University Press, 2009. — 944 с. — (Oxford Medical Handbooks) — ISBN 978-0198569251. (англ.)
Посилання
- CDC. Legionella (Legionnaires' Disease and Pontiac Fever) (англ.)
- Patient is a UK. Professional Reference. Legionella and Legionnaires' Disease (англ.)
- Legionnaires' Disease (англ.)
- NHS Choices. Legionnaires' disease (англ.)
- MicrobeWiki. Legionella (англ.)
