Емпієма плеври
Емпієма плеври (також піоторакс, гнійний плеврит; англ. pleural empyema) — обмежене або дифузне запалення плеври (паріетально-вісцеральної листків) (pleura visceralis і pleura parietalis) з накопиченням в грудній клітці випоту гнійного характеру, яке супроводжується загальною інтоксикацією, фіброзно-некротичними змінами плеври з переходом на легеневу паренхіму та розвитком дихальної недостатності.
| Емпієма плеври | |
|---|---|
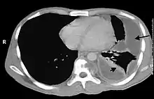
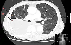
![]() КТ-зріз, що показує ознаки гідро-пневмотораксу внаслідок емпієми плеври. Стрілка A: газ, B: рідина КТ-зріз, що показує ознаки гідро-пневмотораксу внаслідок емпієми плеври. Стрілка A: газ, B: рідина | |
| Спеціальність | пульмонологія і торакальна хірургіяd |
| Класифікація та зовнішні ресурси | |
| МКХ-11 | CA44 |
| МКХ-10 | J86 |
| DiseasesDB | 4200 |
| MedlinePlus | 000123 |
| eMedicine | med/659 |
| MeSH | D016724 |
| | |
Етіологія
Емпієма плеври виникає внаслідок бактеріальних уражень легень і часто є ускладненням плевриту. У більшості випадків емпієма плеври є результатом бактеріальної пневмонії, коли відбувається проникнення бактерій з легеневої тканини на плевральну. Лобарна пневмонія, яка зустрічається тільки у 2-5 % випадків, та зазвичай включає плевральну реакцію у вигляді плевриту, найчастіше призводять до емпієми плеври. Відповідно поширеними збудниками є, пневмококи (Streptococcus pneumoniae), а також інші збудники пневмоній, такі як стафілококи та клебсіелли .
Крім того, емпієма плеври може бути ускладненнями легеневих абсцесів, перфорації стравоходу, торакотомії та наслідком гемотораксу, сепсису.
Клінічні прояви

Клініка гострої емпієми плеври залежить від поширення процесу, реактивності організму та наявності ускладнень. Хворі в основному скаржаться на вологий кашель з харкотинням, біль у грудях, задишку, гарячку — 39 — 40 °С, нічну пітливість і втрату ваги. При пальпації міжреберних проміжків і підребер'я також може з'явитись болючість. Втягнення в гнійний процес легеневої тканини при гострій емпіємі плеври призводить до розплавлення її листків із виникненням бронхіальної або торакоплевральної нориці (прорив гнійника через грудну стінку).
Неадекватна санація емпіємної порожнини спричиняє виникнення хронічної емпієми плеври, і та плевро-генного цирозу легені. В умовах антибактеріальної терапії симптоми часто взагалі відсутні або лише незначно виражені, тому емпієма плеври спочатку може бути клінічно прихованою.
Діагноз

При фізикальному обстеженні ослаблений дихальний звук під час аускультації та приглушений (гіпосонорний) звуку під час перкусії над емпіємою плеври є типовими, але неспецифічними ознаками. Для підтвердження діагнозу зазвичай вистачає звичайного рентгенологічного обстеження грудної порожнини. Емпієми плеври характеризуються явним зниженням прозорості на рентгенологічному знімку. Скупчення гною проявляється у вигляді «дзеркала» з достатньо чітким рівнем на рентгенограмі.
Рентгенологічно виявляють такі локалізації обмеженої емпієми плеври:
- апікальна;
- парамедіастинальна;
- пристінкова;
- міждольова;
- наддіафрагмальна.
Якщо результати нечіткі, можна зробити комп'ютерну томографію грудної клітки.
Для остаточного підтвердження діагнозу проводять точну плевральну пункцію з подальшою мікробіологічною діагностикою для визначення збудника. Якщо рідина стерильна, це означає, що виявити збудника неможливо, що наводить на підозру на туберкульоз .[1]
Лікування
Терапія полягає у дренуванні гнійного вмісту грудної порожнини та використання антибіотиків. Використовують також торакоскопію з взяттям біопсії, промиванням та цільовим накладанням дренажу. Старіші, хронічні емпієми плеври, утворюють так звані «плевральні шварти», в цьому випадку проводиться торакотомія з частковою плевректомією, та дренажем грудної клітки.
Результатом лікування емпієми плеври є, як правило, плевродез, тобто спайковий процес між вісцеральною та паріетальною плеврою з втратою ковзної властивості між легенями та грудною стінкою.
Див. також
- Торакоцентез
- Торакальна хірургія
Примітки
- Wolfgang Piper: Innere Medizin. Springer, 2012, ISBN 978-3-642-33107-7, S. 259.
Джерела
- Бойко В. В. Гнойные заболевания лѐгких и плевры / В. В. Бойко, А. К. Флорикян ; под ред. В. В. Бойко и А. К. Флорикяна. — Харьков: Прапор, 2007. — 576 с. (С.?)
- Калабуха І. А. Відеоторакоскопічні операції в діагностиці та лікуванні захворювань органів грудної клітки / І. А. Калабуха, В. Є. Сафонов, Ю. С. Крамаренко // Український журнал малоінвазивної ендоскопічної хірургії. — 2004. — № 3. — С. 13–17
- Лінник М. І. Дігностика та комплексне лікування емпієм плеври: автореф. дис. на здобуття наук. ступеня канд. мед. наук: спец 14.01.03 «Хірургія» / М. І. Лінник. — К., 2004. — 18 с
- І.Д, Дужий; І.Я, Гресько; Ю.В, Шкатула; Ю.О, Міщенко (2015). Особливості своєчасної діагностики осумкованої емпієми плеври. Актуальні проблеми сучасної медицини: Вісник української медичної стоматологічної академії 15 (3-2 (51)). ISSN 2077-1096
- Bender, Matthew T.; Ferraris, Victor A.; Saha, Sibu P. (2015-01). Modern management of thoracic empyema. Southern Medical Journal 108 (1). с. 58–62. ISSN 1541-8243. PMID 25580760. doi: 10.14423/SMJ.0000000000000226
