Лейкоз
Лейкемі́я (злоя́кісне білокрі́в'я, лейко́з) — онкологічне злоякісне захворювання клітин крові, що уражає кістковий мозок та інші кровотворні органи як людей, так і тварин. Основною ознакою лейкемії є велика пропорція лейкоцитів. Ці клітини, що дегенерували і втратили захисні функції нормальних лейкоцитів, знищують здорові клітини, після чого жертва стає беззахисною перед будь-якою інфекцією. Лікування проводиться за допомогою опромінення і цитотоксичних препаратів для придушення розмноження клітин, що дегенерували, або трансплантацією кісткового мозку. Синонімом поняття лейкемія вважають поняття лейкоз.
| Лейкоз | |
|---|---|
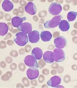
![]() Мазок вмісту кісткового мозку пацієнта (фарбування за Райтом) з B-клітиною-попередницею гострої лімфобластичної лейкемії Мазок вмісту кісткового мозку пацієнта (фарбування за Райтом) з B-клітиною-попередницею гострої лімфобластичної лейкемії | |
| Спеціальність | гематологія |
| Симптоми | bone paind, порушення просторового сприйняття і стійкостіd, схуднення, біль за грудиною, набряк і стенокардія |
| Препарати | метотрексат[1][2], Цитарабін[1], вінкристин[1], pipobromand[1], Іринотекан[1], isotretinoind[1], doxorubicin hydrochlorided[1], (RS)-lenalidomided[2], нілотиніб[2], dasatinib monohydrated[2], Ібрутиніб[2], руксолітиніб[2], Іматиніб[2], Бозутиніб[2] і ритуксимаб[2] |
| Класифікація та зовнішні ресурси | |
| МКХ-11 | 2B33.4 |
| МКХ-10 | C91-C95 |
| МКХ-О | 9800-9940 |
| DiseasesDB | 7431 |
| MeSH | D007938 |
| | |
Лейкоз (від грец. λευκός — білий) — злоякісне захворювання системи крові, яке характеризується переважанням процесів розмноження клітин кісткового мозку, а іноді появою патологічних вогнищ кровотворення у інших органах. Лейкози за своїм походженням близькі до пухлин.
До лейкозів відноситься широка група захворювань, різних за своєю етіологією. При лейкозах злоякісний клон походить з незрілих гемопоетичних клітин кісткового мозку.
Причина лейкозів
Етіологічні фактори поділяють на дві групи: екзогенні, ендогенні.
Екзогенні
До них належать: фізичні фактори (іонізуюча радіація), хімічні (хімічні канцерогени), біологічні фактори (онкогенні віруси: вірус Епштейна-Барр, вірус Т-клітинного лейкозу людини HTLV-1, герпесвірус людини 8-го типу, що спричинює саркому Капоші).
Ендогенні
До них відносять: генетичні чинники (спадкова схильність, хромосомні хвороби, наприклад трисомія по 21-й парі хромосом, спадкові хвороби, що порушують нормальну репарацію ушкодженої ДНК — анемія Фанконі, синдром Блума та ін.), тривала імунологічна стимуляція внаслідок хронічного запалення, імунологічна недостатність, спонтанні мутації протоонкогенів в стовбурових клітинах червоного кісткового мозку.[3]
Патогенез
При лейкозі пухлинна тканина спочатку розростається у місці локалізації кісткового мозку та поступово заміщує нормальні ростки кровотворення. У результаті цього процесу в хворих на лейкоз закономірно розвиваються різні варіанти цитопеній — анемія, тромбоцитопенія, лімфоцитопенія, гранулоцитопенія, що призводить до збільшеної кровоточивості, крововиливів, зменшення імунітету з приєднанням інфекційних ускладнень.
Метастазування при лейкозі супроводжується появою лейкозних інфільтратів у різних органах — печінці, селезінці, лімфатичних вузлах та ін. В органах можуть розвиватися зміни, зумовлені обтурацією судин пухлинними клітинами — інфаркти, виразково-некротичні ускладнення.
Класифікація лейкозів
Виділяють п'ять основних принципів класифікації:
За характером перебігу
- гострі, які перебігають менше року.
- хронічні, що існують тривало (однак необхідно відмітити, що гострий лейкоз ніколи не переходить у хронічний, а хронічний ніколи не загострюється — таким чином, терміни «гострий» та «хронічний» використовуються тільки для зручності; значення цих термінів у гематології відрізняється від значення в інших медичних дисциплінах);
Основна відмінність між ними полягає у тому, що при гострих лейкозах пухлинні клітини, набувши здатності до безмежного неконтрольованого росту, повністю втрачають здатність дозрівати, тобто диференціюватися в інші форми. У той же час при хронічних лейкозах лейкозні клітини поряд зі здатністю до безмежного росту зберігають властивість дозрівати і переходити у зрілі форми. З урахуванням цієї обставини гострі лейкози варто вважати більш злоякісними.[4]
За ступенем диференціювання пухлинних клітин
- недиференційовані,
- бластні,
- цитарні лейкози;
Згідно з цитогенезом
Ця класифікація засновується на уявленнях про кровотворення.
- Гострі лейкози за цитогенезом поділяються на:
- лімфобластний,
- мієлобластний
- монобластний,
- мієломонобластний,
- еритромієлобластний,
- мегакариобластний,
- недиференційований.
- Хронічні лейкози представлені лейкозами:
- мієлоцитарного походження:
- хронічний мієлоцитарний лейкоз,
- хронічний нейтрофільний лейкоз,
- хронічний еозинофільний лейкоз,
- хронічний базофільний лейкоз,
- мієлосклероз,
- еритремія/справжня поліцитемія,
- есенціальна тромбоцитемія,
- лімфоцитарного походження:
- хронічний лімфолейкоз,
- парапротеїнемічні лейкози:
- мієломна хвороба,
- первинна макроглобулінемія Вальденстрема,
- хвороба важких ланцюгів Франкліна,
- лімфоматоз шкіри — хвороба Сезарі,
- моноцитарного походження:
- хронічний моноцитарний лейкоз,
- хронічний мієломоноцитарний лейкоз,
- гістіоцитоз Х.
- мієлоцитарного походження:
З точки зору даної класифікації можна говорити про відносний перехід хронічних лейкозів у гострі лейкози при тривалій дії етіологічних факторів (дія вірусів, іонізуючого випромінення, хімічних речовин тощо). Тобто окрім порушень клітин-попередниць мієло- або лімфопоезу розвиваються порушення, характерні для гострих лейкозів; відбувається «ускладнення» перебігу хронічного лейкозу.
На основі імунного фенотипу пухлинних клітин
Починаючи з 2009 року стало можливим проводити точніше типування пухлинних клітин у залежності від їхнього імунного фенотипу за експресією CD19, CD20, CD5, легких ланцюгів імуноглобулінів та інших антигенних маркерів.[5]
За загальним числом лейкоцитів та наявності бластних клітин у периферичній крові
- лейкемічні (більш 50—80×/л лейкоцитів, в тому числі бласти),
- сублейкемічні (50—80×/л лейкоцитів, в тому числі бласти),
- лейкопенічні (вміст лейкоцитів в периферічній крові нижче норми, але є бласти),
- алейкемічні (вміст лейкоцитів у периферічній крові нижче норми, бласти відсутні).
У групі хронічних лейкозів найчастіше зустрічаються мієлолейкоз та лімфолейкоз.
Лейкоз великої рогатої худоби
Лейкоз великої рогатої худоби є вірусним захворюванням з повільним перебігом, простіше кажучи — раком крові тварин вірусного походження.
В Україні вся худоба, діагностована як РІД-позитивна (інфікована), підлягає знищенню.
Недугу легко переносять комарі, вона вважається невиліковною.
Обсяги захворювання
Щороку в Україні 200—300 тисяч корів знищують через захворювання на лейкоз. Вважають, що 20—30 % корів в Україні йдуть під ніж необґрунтовано, через неточне діагностування хвороби[6]
Профілактика
Згідно з директивою ЄС, знищенню підлягає тільки худоба з пухлинними гематологічними формами лейкозу. Решта перебуває під спостереженням. В Україні знищують усю.
Див. також
Примітки
- NDF-RT
- Drug Indications Extracted from FAERS — doi:10.5281/ZENODO.1435999
- Атаман, О.В. (2016). Патофізіологія (українська). Вінниця: Нова Книга. с. 69–70. ISBN 978-966-382-528-1.
- Атаман, О.В. (2016). Патофізіологія (українська). Вінниця: Нова Книга. с. 65. ISBN 978-966-382-528-1.
- Передерій В. Г., Ткач С. М.. Основи внутрішньої медицини. Том 1./Підручник для ВМНЗ ІІІ-IV р.а.- Вінниця: Нова Книга,2009.- 640 с. ISBN 978-966-382-211-2 Електронне джерело (с.391)
- Капуста Т. Вітчизняні інновації… за бортом? // Урядовий кур'єр. — 2005. — 19.07. — С. 11.
Література
- Словник іншомовних слів / за ред. О. С. Мельничука. — К. : Головна редакція Української Радянської Енциклопедії АН УРСР, 1974.
- Патологічна анатомія. Курс лекцій. Під ред. В. В. Сєрова, М. А. Пальцева. — М.: Медицина, 1998. (рос.)
Посилання
- Лейкоз. Патологічна фізіологія системи крові.
- Симптоми лейкозу
- Лейкемія (рак крові, лейкоз, лімфосаркома)
- Лейкоз тварин
- Лейкемія
