Синдром Дауна
Синдро́м Да́уна (трисомія за 21 хромосомою) — генетична аномалія, яку спричинює присутність додаткової хромосоми у 21 парі. Синдром Дауна є хромосомною аномалією (не є хворобою і не лікується), якій притаманна додаткова хромосома 21 — цілковита (трисомія 21) або часткова (внаслідок транслокації).
| Синдром Дауна | |
|---|---|
![]() Хлопчик із синдромом Дауна Хлопчик із синдромом Дауна | |
| Спеціальність | медична генетика і неврологія[1] |
| Частота | 0.1% |
| Класифікація та зовнішні ресурси | |
| МКХ-11 | LD40.0 |
| МКХ-10 | Q90 |
| OMIM | 000997 |
| DiseasesDB | 3898 |
| MedlinePlus | 000997 |
| eMedicine | ped/615 |
| MeSH | D004314 |
| | |
Такі діти мають 47 хромосом у каріотипі замість звичних 46. Їм притаманна характерна зовнішність, підвищена можливість появи певного спектра захворювань, певна розумова відсталість, яка спричинює повільніший розумовий розвиток на фоні здорових особин та гіршу соціальну адаптацію.
Через неможливість повного вирішення проблем цієї аномалії медицина ставить на меті не постійне лікування, а забезпечення нормального соціального статусу для людей, що мають синдром Дауна. Синдром Дауна належить до природжених вад розвитку, деформацій та хромосомних аномалій — код Q 90.[2]
Ознаки
Особи з синдромом Дауна можуть мати деякі або всі з таких ознак: косі розрізи очей, з епікантусними складками (внутрішній кут ока), гіпотонію м'язів, пласке перенісся, випнутий язик як наслідок малого розміру ротової порожнини та/або гіпотонії, коротку шию, білі плями на рогівці (так звані плями Брашфілда), надмірну гнучкість суглобів, включно з атланто-аксіальним, вроджені вади серця, надмірний проміжок між першим і другим пальцем стопи, поодиноку згинальну складку мізинця (клинодактилія) і підвищену кількість дематогліфів з ліктьової сторони долоні але жодна з ознак не є обов'язковою.
Діти з синдромом Дауна можуть мати вроджені вади та анатомічні аномалії, що потребуватимуть відновного лікування згідно з відповідними медико-технологічними документами. 50 відсотків немовлят мають вроджені аномалії (вади) серця, шлунку і кишківника. Раніше вони жили до 40 років, тому що ці захворювання не лікували. Зараз тривалість життя становить 60-65 років. Такі діти — візуали, 80 відсотків інформації сприймають очима.
Діти в таких родинах не народжуються, майже всі чоловіки із синдромом Дауна безплідні. У жінок вагітність часто закінчується викиднем або передчасними пологами.
Через доброзичливість і відкритість дітей з синдромом Дауна називають «сонячними». Це не зовсім вдала асоціація, адже їм притаманна вся палітра людських емоцій — в тому числі злість, образи і впертість, радість і любов.
Історичні відомості
_by_Sydney_Hodges.jpg.webp)
Англійський лікар Джон Ленгдон Даун у 1862 році першим описав та схарактеризував синдром, який згодом був названий його ім'ям, як форму психічного розладу. Широко відомим поняття стало після опублікування ним доповіді на цю тему у 1866 році. Через наявність епікантусних складок Даун використовував термін монголоїди (синдром же називали «монголізми»). Подання про синдром Дауна було дуже прив'язане до расизму аж до 1970-х років.
Мете Ріволла з Університету Бордо виявила в некрополі біля церкви в Шалон-сюр-Сон останки дитини з характерними для синдрому Дауна аномаліями, що жила на межі V і VI століть нашої ери. Цей скелет є найдавнішим із відомих науці зі слідами синдрому Дауна. Вона зазначила, що характер поховання жодним чином не відрізнявся від інших, а значить людей з синдромом, швидше за все, не піддавали соціальній стигматизації. Джон Старбака з Університету Індіани вивчаючи статуетку тольтеків, припустив, що вона зображує людину з синдромом Дауна.[3]
У XX столітті синдром Дауна став достатньо поширеним. Хворих спостерігали лікарі, але лише малу частину клінічних ознак можна було якось скомпенсувати. Більшість хворих вмирали немовлятами або дітьми. З виникненням євгенічного руху в 33 з 48 американських штатів і в ряді інших країн почали програми з примусової стерилізації осіб з синдромом Дауна та порівнянними ступенями інвалідності. Це також входило в програму умертвіння Т-4 у нацистській Німеччині. Судові проблеми, наукові досягнення та протести з боку суспільства призвели до скасувань таких програм протягом десятиліття після закінчення Другої Світової Війни.
До середини XX століття причини синдрому Дауна залишалися невідомими, проте був відомий взаємозв'язок між імовірністю народження дитини з синдромом Дауна та віком матері, також було відомо те, що до синдрому були схильні всі раси. Існувала теорія про те, що синдром зумовлювали поєднання генетичних та спадкових факторів. Інші теорії дотримувалися думки, що його спричинювали травми під час пологів.
З відкриттям у 1950-х роках технологій, що дозволяють вивчати каріотип, стало можливо визначити аномалії хромосом, їхню кількість і форму. У 1959 році Жером Лежен виявив, що синдром Дауна виникає через трисомію 21-ї хромосоми.

У 1961 році вісімнадцять генетиків написали редактору «The Lancet», що Монгольський ідіотизм «вводить конотації в оману» і що це «незграбний термін», який слід змінити. «The Lancet» підтримав назву «синдром Дауна». Всесвітня організація охорони здоров'я (ВООЗ) у 1965 році офіційно прибрала назву «монголізм» після звернення монгольських делегатів. Однак навіть 40 років по тому назва «монголізм» з'являється в провідних медичних посібниках, наприклад, у «Повсюдних та систематичних патологіях» 4-го видання (2004 рік) під редакцією професора сера Джеймса Андервуда. Захисники прав хворих та батьки хворих вітали ліквідацію монголоїдного ярлика, повішеного на їхніх дітей. Перша група в США, Монголоїдна Рада Розвитку, змінила свою назву на «Національна асоціація синдрому Дауна» в 1972 році.
У 1975 році Національний інститут охорони здоров'я США провів конференцію зі стандартизації номенклатури. Вони рекомендували ліквідацію присвійної форми:
Потрібно припинити використання присвійної форми щодо епоніма, оскільки першовідкривач не страждав від цього розладу.
Попри це, назву «синдром Дауна» і досі використовують.
У грудні 2011 року Генеральна Асамблея ООН оголосила 21 березня Всесвітній день (не свято) людей із синдромом Дауна (World Down Syndrome Day). Березень обраний тому, що синдром Дауна являє собою трисомію (березень — третій місяць року) за 21 хромосомою (тому і 21 березня). Жовтень — місяць обізнаності про синдром Дауна коли проводяться різноманітні заходи, метою яких є інформування суспільства про цю найпоширенішу генетичну аномалію.
Батьки дітей з синдромом Дауна змушені щодня боротися за гідне існування і майбутнє своїх дітей, долаючи величезний опір і нерозуміння з боку суспільства. Міжнародний день людини з синдромом Дауна ставить перед собою мету привернути увагу суспільства до проблем людей з обмеженими здібностями, адже вони трохи відрізняються від звичайних людей в плані інтелекту і багато хто з них страждають від вроджених вад серця, але своєю добротою, щирістю і безпосередністю компенсують все те, в чому вони відрізняються від звичайних людей, а часто і перевершують їх.
Статистика в світі
За статистикою ВООЗ, у світі з синдромом Дауна народжується кожне 700-е немовля (140 дітей на 100 тис. живонароджених) проте це співвідношення є різним для різних країн (див. графік). Генетичний збій відбувається незалежно від способу життя батьків, їхнього здоров'я, звичок і освіти.

Відомо, що ризик народження дитини з синдромом Дауна існує завжди але така ймовірність залежить від віку матері. Для жінок у віці до 25 років імовірність народження такої дитини дорівнює 1/1400, до 30 — 1/1000, в 35 років ризик зростає до 1/350, в 42 роки — до 1/60, а в 49 років — до 1/12. Проте, оскільки молоді жінки в цілому народжують значно більше дітей, більшість (80 %) всіх дітей з синдромом Дауна насправді народили саме молоді жінки у віці до 30 років.
Дослідження, яке провели вчені Університету міста Майсор (Індія), дозволило виявити чотири чинники, що впливають на ймовірність синдрому Дауна у дитини. Це вік матері, вік батька, близько-споріднені шлюби, а також, як не дивно, вік бабусі по материнській лінії. Причому останній з чотирьох чинників виявився найзначущим. Чим старшою була бабуся, коли народжувала дочку, тим вища ймовірність народження онука або онуки з синдромом Дауна. Ця ймовірність зростає на 30 % з кожним роком, «втраченим» майбутньою бабусею.
Для дослідження, яке опубліковане он-лайн у Британському Медичному журналі (англ. British Medical Journal), фахівці аналізували дані національного реєстру, який містив інформацію про 26 тисяч виявлених випадків синдрому Дауна в Англії та Уельсі, який діагностували як в допологовій, так в післяпологовій стадіях розвитку дитини. Вчені виявили, що число дітей з таким діагнозом зросло на три чверті з 1989 року, але кількість народжених дітей зменшилася. Наочно це має такий вигляд: у 1989—1990 роках — 1075 діагностованих випадків, у 2007—2008 — 1843 діагностованих випадки, кількість народжених скоротилося на 1 %: з 752 до 743.
Щодня, в середньому три жінки в Англії роблять аборт через виявлення у їхніх ненароджених дітей синдрому Дауна. В середньому 9 з 10 жінок вирішують перервати вагітність після того, як дізнаються, що їхня дитина хвора. Дослідження показують, що близько 1100 дітей в Англії та Уельсі щорічно не народжуються через виявлений синдром Дауна. Ця цифра значно зросла за останні два десятиліття (у 1989 році вона становила 30 немовлят). Якби жінки не проходили процедуру специфічного для цього синдрому скринінгу, то кількість народжених дітей з синдромом Дауна збільшилася б удвічі та склала б зараз в Англії та Уельсі 1422 осіб.
Близько 92 % вагітностей у Європі з діагнозом синдром Дауна перериваються. Як результат, майже немає людей із Дауном в Ісландії та Данії, де скринінг є звичним явищем. У Сполучених Штатах частота припинення після діагностики становить близько 75 % але коливається від 61 % до 93 % залежно від обстеженого населення.
Від 5 до 15 % дітей із синдромом Дауна у Швеції відвідують звичайну школу. Деякі закінчують середню школу; однак більшість цього не роблять. З тих, хто має інтелектуальні вади в США, які відвідували середню школу, близько 40 % закінчили школу. Багато вчаться читати та писати, а деякі здатні виконувати оплачувану роботу. У зрілому віці близько 20 % у Сполучених Штатах виконують певну платну роботу. Однак у Швеції менше 1 % мають постійну роботу. Багато хто може жити напівнезалежно, але їм часто потрібна допомога у фінансових, медичних та юридичних питаннях. Люди з мозаїчним синдромом Дауна зазвичай мають кращі результати.
Особи з синдромом Дауна мають вищий ризик ранньої смерті, ніж загальна популяція. Найчастіше це пов'язано з проблемами серця або інфекціями. Після вдосконалення медичної допомоги, особливо щодо проблем із серцем та шлунково-кишковим трактом, тривалість життя зросла. Це збільшення склало з 12 років у 1912 р. до 25 років у 1980-х рр. до 50–60 років у розвинутих країнах світу у 2000-х. Імовірність довготривалого виживання частково визначається наявністю проблем із серцем. У тих, хто має вроджені проблеми з серцем, 60 % доживають до 10 років, а 50 % доживають до 30 років. У тих, хто не має проблем із серцем, 85 % доживають до 10 років, а 80 % доживають до 30-річного віку.
Статистика в Україні

Згідно зі звітом Центру медичної статистики МОЗ України[4] (див. форма 21, 19, 25, 31, 49), за останні 10 років в Україні щорічно реєструються від 445 у 2012 році до 217 у 2019 році новонароджених дітей із встановленим синдромом Дауна. Частота народження дітей з синдромом Дауна складає 74-80 на 100 тис. новонароджених. Зменшення народжуваності таких дітей пов'язане з загальною тенденцією зменшення народжуваності в Україні та внаслідок відсутності статистичних даних на окупованих територіях. Найвищий рівень народжуваності дітей з синдромом зафіксовано у регіонах з високою щільністю населення і високим рівнем народжуваності — Харківська, Дніпропетровська, Одеська, Львівська області і м. Київ де кількість народжених дітей з синдромом складає 12-19 на рік (1-2 дитини в місяць) у 2019 році. В Україні у 2019 році було народжено всього 278 тис. дітей з яких 217 з синдромом Дауна. Таким чином, частка дітей з синдромом складає 0,08 % до загальної кількості новонароджених або у співвідношенні 1:1247 (в залежності від регіону від 1:734 до 1:5157). Відповідний показник значно відрізняється від світової статистики і може свідчити про те, що в Україні народжується значно менше дітей з синдромом. Основним фактором є те, що в Україні у порівнянні з США і країнами ЄС середній вік матерів є нижчим, що знижує ймовірність народження дітей з синдромом Дауна.
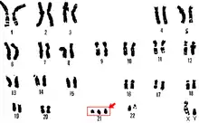
Приблизно у 95 % дітей синдром Дауна є спорадичним та зумовлений наявністю додаткової хромосоми 21 — регулярна трисомія 21. У приблизно 3-4 % осіб з фенотипом синдрому Дауна додатковий хромосомний матеріал є результатом незбалансованої транслокації між хромосомою 21 та іншою акроцентричною хромосомою, зазвичай хромосомою 14. У решти 1-2 % осіб з фенотипом синдрому Дауна присутня комбінація 2-х клітинних ліній: одна нормальна, а інша з трисомією 21.
В Україні знайти роботу таким людям важко, проте з кожним роком кількість соціалізованих і працевлаштованих осіб з синдромом Дауна зростає, в тому числі завдяки самоорганізації батьків, роботі центрів соціалізації і зрілості суспільства.[5][6][7]
Діагностика, лікування і медичний супровід осіб з синдромом Дауна
В Україні затверджено «Уніфікований клінічний протокол первинної, вторинної (спеціалізованої) та третинної (високоспеціалізованої) медичної допомоги (УКПМД) „Синдром Дауна“»[8] в основі якого є створення єдиної комплексної та ефективної системи надання медичної допомоги пацієнтам із синдромом Дауна та їх родинам. В свою чергу, за прототип Адаптованої клінічної настанови взято Клінічну настанову «Clinical Report Health Supervision for Children With Down Syndrome» (2011).
Уніфікований клінічний протокол медичної допомоги «Синдром Дауна»
Протокол призначений[9][10] для лікарів, а також може використовуватися батьками для планування графіку та обсягів обстежень здоров'я дітей (скачати).
На сучасному рівні діагностики[11] підозра на синдром Дауна можлива як на постнатальному етапі, так і у пренатальному періоді за допомогою комплексного допологового обстеження. Консультування здійснюють лікар загальної практики-сімейний лікар, лікар-акушер-гінеколог, лікар-неонатолог, лікар-генетик або лікар-педіатр дільничний. Діагноз синдрому Дауна встановлюється тільки у закладах охорони здоров'я, що надають медикогенетичну допомогу. Найбільш інформативним є поєднаний ультразвуковий та біохімічний скринінг 1 триместру у термінах 11 тижнів 2 дні — 13 тижнів 6 днів (КТР плода 45-82 мм). Скринінгове ультразвукове дослідження (УЗД) 1 триместру обов'язково включає оцінку анатомічних структур плода і двох ехографічних маркерів — комірцевого простору та кістки носу. Показники виявлення синдрому Дауна при скринінгу в перший триместр вагітності становлять від 82 % до 87 %, при скринінгу в другий триместр вагітності — 80 %, а при комбінації скринінгу першого і другого триместрів (при так званому інтегрованому скринінгу) становлять близько 95 %. За наявними даними, 5 % результатів таких скринінгових тестів є хибнопозитивними. Варто пам'ятати, що жодні методи діагностики не є 100 % достовірними і існуть багато випадків коли батьки дізнаються про синдром лише після народження дитини.
Постнатальний діагноз синдрому Дауна можна встановити на основі клінічних ознак, проте необхідно проводити підтверджувальний генетичний аналіз шляхом визначення каріотипу дитини. Для оцінки ризику повторного народження дитини з синдромом Дауна проводиться цитогенетичне обстеження батьків. Теоретично, шанси для особи з синдромом Дауна народити дитину з синдромом Дауна становлять 50 %, а у разі якщо обидва з батьків мають синдром Дауна, цей шанс становить 66 %. Згідно статистичних даних центру медичних досліджень МОЗ України у 2019 році завдяки медико-генетичним дослідженням було встановлено 246 генетичних відхилень вад розвитку — синдрому Дауна. Найбільшу кількість досліджень було виконано у м. Києві (31) і м. Харків — 22 дослідження, а найменшу — в Луганській, Донецькій і Запорізькій областях (0-3).
Методів лікування синдрому Дауна у світі немає. Але різні ускладнення, що можуть виникати частіше у зв'язку з наявністю синдрому Дауна, заважають дитині у розвитку її потенціалу повною мірою. Деякі з них при цьому можуть бути вродженими, інші — набутими протягом певного часу. На щастя, сьогодні відомо, що багато із цих проблем не є складовою синдрому Дауна, і тому Ви не повинні просто незмінно миритися із ними, як це вважалося раніше, оскільки більшість із них можна вилікувати. Лікування залежить від фізичних та інтелектуальних потреб кожної людини, а також його або її особистих здібностей та обмежень. Особи з синдромом Дауна мають більші ризики розвитку медичних проблем і станів, ніж здорові особи. Багато з цих асоційованих станів можуть потребувати негайної допомоги з народження, періодичного лікування протягом усього дитинства і/або тривалого лікування протягом усього життя. Діти, підлітки і дорослі з синдромом Дауна потребують регулярного медичного огляду згідно з графіком.
Синдром Дауна та інші супутні вади розвитку не є протипоказом до вакцинації. Рекомендується проводити вакцинацію, включаючи вакцинацію проти грипу, протипневмакокової вакцинації при хронічних серцево-легеневих захворювань у віці 1-5 роківі. Протипоказом до вакцинації є підтверджений діагноз імунодефіциту, гострий лейкоз, а також гостра алергічна реакція на попередню дозу вакцини.
Контроль стану здоров'я
Хвороби серця: вроджені і набуті[12][13]:
|
| Порушення слуху[15][16]:
В даний час більше 50 % людей з синдромом Дауна мають значне погіршення слуху, яке може бути легким, середнім, важким або глибоким. Сенсоневральна та/або провідна втрата може виникнути в будь-якому віці. У цієї групи населення порушення слуху можна успішно лікувати[17][18]. Якщо не виявлене[19], воно може бути однією з основних причин попереджуваних розладів. Постійне аудіологічне спостереження має важливе значення для всіх пацієнтів із синдромом Дауна. Основною причиною значної втрати є хронічний ексудативний отит. Досить часто діти з порушенням слуху забезпечуються слуховими апаратами та імплантами, а також проходять реабілітацію і навчання в спеціалізованих закладах. Для покращенн розуміння і спілкування залучається жестова мова. Без можливості нормально чути діти втрачають шанс швидко і правильно говорити, уних обмежується вироблення когнітивних і соціальних навичок. Це посилює соціальну ізоляцію, що є недопустимою. |
Офтальмологічні проблеми[20]:
|
Стоматологічні питання:
|
Неврологія та нейрохірургія[21]:
|
Розлади щитоподібної залози:
|
| Ортопедичні порушення:
При синдромі Дауна поширені м'язові й ортопедичні аномалії. Гіпотонія м'язів і загальна гіперплазія виявляються майже завжди. Плоскостопість, деформація колінного суглоба, нестабільність колінної чашечки є основними причинами проблем з ходьбою і, навіть, таких серйозних статичних проблем, як сколіоз і кіфоз. Необхідні превентивні міри, які включають ранню і виважену мобілізацію та активний спосіб життя із заняттями спортом. |
Шлунково-кишкова система:
|
| Гематологічні порушення:[25] |
Окрім базових обстежень і лабораторних досліджень, що передбачені «клінічним протоколом», профільні спеціалісти можуть рекомендувати проведення додаткових лабораторних досліджень на визначення рівня: ТТГ, вільний Т3 і Т4, дослідження лактозної і глютенової переносимості, антитіл до казеїну, глиадину, лактату, гомоцистеїну, фолієвої кислоти, іонізованого кальцію, вітамінів D 25-ОН-Д, B12, гамма-глутамілтранспептидаза (ГГТ), лужністі фосфатної загальної (ЩФ), катіонний еозинофільний білок, ПЦР (кров) на вірус герпесу людини 6 типу, дослідження на визначення вірусу Епштейн-Барра (ВЕБ) та цитомегаловірусу (ЦМВ), копрограмми калу на дизбактеріоз. Перед виконанням досліджень необхідно обов'язково проконсультуватися з лікарем щодо методів досліджень, періоду та необхідної підготовки для отримання якісних результатів.
Медико-психологічний супровід дітей раннього віку з синдромом Дауна
Характерними для дітей з синдромом Дауна є відхилення з боку фізичного розвитку, патологія слуху, зору, м'язової системи, вроджені вади серця, порушення інтелекту різного ступеня, часто виникають захворювання щитоподібної залози, системи травлення тощо. Тому проблема організації медико-психологічного супроводу дітей раннього віку з синдромом Дауна, моніторування їхнього стану здоров'я та психомоторного розвитку набувають все більшої актуальності, що пов'язано з вирішальним значенням перших років життя для подальшого розвитку та адаптації дитини з цією патологією. Комплексна медико-психологічна допомога на ранніх етапах життя дитини сприятливо впливає на її розвиток та інтеграцію в суспільство.
Розроблені методичні рекомендації[26] для педіатрів, сімейних лікарів, неврологів, медичних психологів лікувально-профілактичних закладів, практичних психологів і логопедів реабілітаційних центрів та відділень ранньої соціальної реабілітації, кабінетів та центрів раннього втручання.
До процесу оцінювання розвитку дитини необхідно залучати батьків, оскільки це дає можливість фахівцям отримати різнобічну інформацію про уявлення батьків щодо особливостей розвитку дитини та факторів середовища, які впливають на її розвиток. Для оцінки та визначення особливостей розвитку дитини в когнітивній, руховій, мовній, соціально-емоційній сферах та сфері самообслуговування доцільно використовувати опитувальники KID та RCDI, які призначені для комплексної оцінки психічного та рухового розвитку дітей на основі відповідей батьків або тих, хто повсякденно опікується дитиною. KID використовується для оцінки розвитку дітей віком від 2 до 16 місяців, RCDI — дітей віком від 1 року 2 міс. до 3 років 6 міс. Основні принципи будови двох опитувальників подібні, вони описують різноманітні типові форми поведінки дитини, що стосуються різних сфер розвитку рухів, споживання їжі, одягання, вияву емоцій, уваги, допитливості, кмітливості, наслідування, розуміння простих указівок, формування звуків, слів, контакту з дорослими та ровесниками тощо. KID містить 252 питання, які дозволяють оцінити розвиток дитини в п'яти емпірично виділених сферах: когнітивній, руховій, мовній, сфері самообслуговування та соціальній. RСDI має 216 питань та оцінює активне мовлення й розуміння дитиною зверненої до неї мови, розвиток великих рухів, тонкої моторики, соціально-комунікативної сфери та самообслуговування. Обстеження, проведене за допомогою цих опитувальників, дозволяє отримати показники розвитку дитини за окремими сферами та загальний показник розвитку дитини, порівняти всі отримані показники зі статистичними характеристиками здорових ровесників та оцінити відповідність віковим нормам й таким чином отримати чіткі кількісні характеристики рівня та структури розвитку дитини.
COVID-19 і синдром Дауна
Ні у Великій Британії, ні в США синдром Дауна не ввійшов до групи підвищеного ризику. Хоча такі характерні для синдрому Дауна стани, як імунна дисфункція, вроджені вади серця та легенева патологія, можуть бути факторами ризику для важкого перебігу коронавирусної інфекції.
У когорт — дослідженні включені дані про 8,26 мільйонів людей старше 19 років, серед яких синдром Дауна (СД) мали 4053 людини. Період дослідження: від 24 січня 2020 року (вперше підтверджена інфекція SARS-CoV-2 у Великій Британії) до 30 червня 2020 року. В дослідженні доведено, що люди з синдромом Дауна в умовах пандемії COVID-19 у порівнянні з загальною популяцією мають в 4 рази вище ризик госпіталізації в зв'язку з COVID-19 і в 10 разів вище ризик смерті від COVID-19. Таким чином, люди з синдромом Дауна стратегічно не захищені. Отримане нове свідоцтво про певні умови, які підвищують ризик важкого перебігу і смертності від COVID-19 серед людей з СД, може використовуватися організаціями охорони здоров'я для стратегічних цілей захисту вразливих груп населення.
Інвалідність осіб з синдромом Дауна

Інвалідність[28] — міра втрати здоров'я у зв'язку із захворюванням, травмою (її наслідками) або вродженими вадами, що при взаємодії із зовнішнім середовищем може призводити до обмеження життєдіяльності особи, внаслідок чого держава зобов'язана створити умови для реалізації нею прав на рівні з іншими громадянами та забезпечити її соціальний захист.
Цивілізоване суспільство намагається відійти від використання медичного терміну «інвалідність» в побуті і замінити його терміном «неповносправність» для повсякденного використання.
Показаннями для встановлення інвалідності у дітей є патологічні стани, які виникають при вроджених (синдром Дауна), спадкових, здобутих захворюваннях та після травм. Установлення у дитини медичних показань для встановлення інвалідності віком до 18 років здійснюється лікарсько-консультативними комісіями (далі — ЛКК) дитячих обласних, багатопрофільних міських лікарень, спеціалізованих лікарень, диспансерів, де діти перебувають на диспансерному обліку та спеціалізованому лікуванні, Української дитячої спеціалізованої лікарні «ОХМАТДИТ», Українського центру медичної реабілітації дітей з органічним ураженням нервової системи, клінік науково-дослідних установ Міністерства охорони здоров'я України та Академії медичних наук України після стаціонарного або амбулаторного обстеження.
На основі висновку лікаря-генетика і результатів генетичних досліджень, ЛКК за місцем проживання надають медичний висновок про про дитину з інвалідністю віком до 18 років[29] та готують ІПР. Особам віком до 18 років комісіями (ЛКК) встановлюється категорія «дитина з інвалідністю», а особам віком до 18 років, які мають виключно високу міру втрати здоров'я та надзвичайну залежність від постійного стороннього догляду, допомоги або диспансерного нагляду інших осіб і які фактично не здатні до самообслуговування, — категорія «дитина з інвалідністю підгрупи А». Підставою для встановлення дитині категорії «дитина з інвалідністю підгрупи А» є виключно висока міра втрати здоров'я та надзвичайна (повна) залежність від постійного стороннього догляду, допомоги або диспансерного нагляду та фактична нездатність до самообслуговування.
Варто зауважити, що саме ЛКК, а не лікар, використовує класифікаціію основних видів порушень функцій організму дитини і встановлює рівень втрати здоров'я для встановлення підгрупи по інвалідності[30]. У разі встановлення інвалідності комісія складає на підставі плану медичної реабілітації індивідуальну програму реабілітації дитини з інвалідністю, в якій визначаються реабілітаційні заходи, їх обсяги, строки проведення та виконавці. Комісія відповідає за якість розроблення індивідуальної програми реабілітації дитини з інвалідністю та здійснює контроль за повнотою та ефективністю виконання зазначеної програми.
Як оформити інвалідність
Про те як можна оформити інвалідність дитини з синдромом Дауна можна ознайомитися за посиланням[31]. Станом на 2019 рік в Україні встановлено інвалідність 4710 дітям до 18 років внаслідок синдрому Дауна (6,2 на 10 тис. дітей). Близько 48 % дітей з синдромом Дауна мають вік 7-14 років, а ще 28 % — 4-6 років. Найбільша кількість дітей з синдромом Дауна живе у Львівській, Дніпропетровській області та у м. Києві .
Соціальний захист
Закон України «Про соціальні послуги» визначає основні організаційні та правові засади надання соціальних послуг, спрямованих на профілактику складних життєвих обставин, подолання або мінімізацію їх негативних наслідків, особам/сім'ям, які перебувають у складних життєвих обставинах. Вразливі групи населення — особи/сім'ї, які мають найвищий ризик потрапляння у складні життєві обставини через вплив несприятливих зовнішніх та/або внутрішніх чинників. Чинники, що можуть зумовити складні життєві обставини визначені в ст.1, п.15 закону, а зокрема — наявність інвалідності.
Перелік медичних показань, що дають право на одержання державної соціальної допомоги на дітей-інвалідів віком до 16 років затверджено МОЗ, а зокрема « Розділ XII. Уроджені аномалії (вади розвитку), деформації та хромосомні порушення», а для дітей з діагнозом синдром Дауна яким не встановлено інвалідність — згідно Постанови КМУ[32].
Отримання соціальної допомоги
Наявність інвалідності є підставою для звернення до органів соціального захисту (знайти на карті) для отримання соціальної допомоги по інвалідності, фінансування реабілітації і отримання пільг[33]:
- Забезпечення безоплатними санаторно-курортними путівками або путівками на відпочинок
- Оздоровлення та відпочинок
- Соціальна послуга стаціонарного догляду за особами, які втратили здатність до самообслуговування чи не набули такої здатності, що надається в інтернатних установах
- Пільги на проїзд
- Державна соціальна допомога
- Транспорті послуги
- Забезпечення технічними та іншими засобами реабілітації
- Реабілітація дітей з інвалідністю.
Додаткові соціальні послуги для дітей вікіти віком від 2-до 18 років з інвалідністю внаслідок розумової відсталості, ураження центральної нервової системи з порушенням психіки, синдрому Дауна, аутизму:
- соціальна послуга денного догляду
- допомога у виконанні лікувально-фізичних вправ;
- навчання користуванню технічними допоміжними і обов'язковими гігієнічними засобами (за потреби);
- надання санітарно-гігієнічної допомоги (допомога при вдяганні, роздяганні, взуванні, вмиванні, обтиранні, обмиванні, зміні натільної білизни, зміні постільної білизни, користуванні туалетом тощо);
- допомога при пересуванні у приміщенні;
- спостереження за станом здоров'я відповідно до медичних показань та рекомендацій;
- сприяння в організації дозвілля (читання книг[34][35], допомога під час заняття рукоділлям, малюванням, проведення ігор);
- організація харчування та допомогу у прийнятті їжі;
- організація денного відпочи і сну.
Реабілітація осіб з синдромом Дауна
Відповідно до частини другої статті 17 Закону[36] реабілітаційні установи здійснюють комплексну реабілітацію осіб з інвалідністю спрямованих на попередження прогресування патологічного процесу, усунення чи максимально можливу компенсацію обмежень життєдіяльності, відновлення здоров'я та трудових навичок, корекцію психічних процесів, здобуття ними освіти, їх трудову зайнятість незалежно від категорії і причин інвалідності.
КМУ затверджено «Положення про індивідуальну програму реабілітації особи з інвалідністю»[37], що визначає механізм виконання та фінансування індивідуальної програми реабілітації особи з інвалідністю, а Наказом МОЗ затверджено форму індивідуальної програми реабілітації[38], що є обов'язковою для виконання органами виконавчої влади, органами місцевого самоврядування, реабілітаційними установами, підприємствами, організаціями.
КМУ затверджено Порядок надання окремим категоріям осіб послуг із комплексної реабілітації (абілітації)[39] визначає механізм надання особам з інвалідністю та/або дітям з інвалідністю, та/або дітям віком до трьох років, які належать до групи ризику щодо отримання інвалідності послуг із комплексної реабілітації. Реабілітаційні послуги надаються установами безоплатно.
Реабілітаційні послуги для дітей з синдромом Дауна
| Педагогічна реабілітація: | Соціальна реабілітація: | Психологічна реабілітація: | Важливі складові успіху: |
|---|---|---|---|
|
|
|
|
Стандарти медичної реабілітації дітям раннього віку з синдромом Дауна
- Войта-терапія[41];
- Бобат-терапія;
- сенсорно-інтегральна терапія;
- кінезотерапія;
- фізіотерапія (теплові, водні процедури);
- ортопедична корекція;
- логопедична корекція;
- психологічна діагностика і корекція;
- психологічна допомога батькам.
- медикаментозне лікування розглядається виключночерез призму доказової медицини.
Отримання послуг з фізичної реабілітації
Для отримання послуг із комплексної реабілітації (абілітації), зокрема з метою попередження інвалідності, в реабілітаційній установі державної або комунальної форми власності отримувач або його законний представник мають підготувати і подати до відділів соцзахисту населення за місцем проживання (перебування) комплект документів. Перелік документів є чітко визначеним і вимога про надання додаткових документів є протизаконною. Разом з зачвою про надання послуг із комплексної реабілітації (абілітації) подається ІПР, що видана МСК або ЛКК, разом з висновком ЛКК, що містять рекомендації щодо проходження комплексної реабілітації (абілітації) і виписку з медичної карти амбулаторного (стаціонарного) хворого (форма № 027/о). Також надаються документи, що підтверджують особу: паспорт, свідоцтво про народження, довідку про взяття на облік внутрішньо переміщених осіб. За наявності і потреби подається документ, що засвідчує реєстрацію фізичних осіб у Державному реєстрі фізичних осіб — платників податків та документ про освіту (для отримувачів, які потребують професійної реабілітації).
Реабілітація дітей з інвалідністю
Верховною Радою України підтримано ініціативу Уряду та Мінсоцполітики та прийнято зміну до бюджетної програми, що дають можливість забезпечити заходами з реабілітації дітей з інвалідністю не лише внаслідок дитячого церебрального паралічу, а також з іншими захворюваннями, в тому числі дітей з синдромом Дауна[42]. Згідно ст.8 постанови КМУ № 309 (станом на 2020 р.) гранична вартість реабілітаційних заходів, що має обмеження I та II ступеня — 16 тис. гривень, III ступеня — 25 тис. гривень. Гранична вартість реабілітаційних заходів для однієї дитини-сироти та дитини, позбавленої батьківського піклування, яка відповідно до індивідуальної програми реабілітації за більшістю основних категорій життєдіяльності має обмеження I, II, III ступеня, збільшується на 50 відсотків для кожного ступеня. Реабілітаційні заходи можуть надаватися як у стаціонарі, так і амбулаторно. Під час здійснення реабілітаційних заходів у стаціонарі їх гранична вартість може включати вартість проживання та харчування дитини, одного з батьків дитини чи її законного представника.
Для забезпечення дитини реабілітаційними заходами (див. 5 кроків для здійснення заходів із реабілітації дітей з інвалідністю) один із батьків дитини чи її законний представник подає до місцевого органу заяву про направлення дитини до реабілітаційної установи у довільній формі (далі — заява) із зазначенням інформації про вибрану реабілітаційну установу (див. перелік доступних установ і видів послуг[43]) разом з копіями документа, що посвідчує особу дитини; ІПР з встановленою комісією категорією обмеження життєдіяльності і виписку з медичної карти амбулаторного (стаціонарного) хворого (форма № 027/о).

Перелік базових реабілітаційних заходів призначається індивідуально залежно від потреб дитини та включає (визначається в ІПР):
- консультації лікарів, заняття з профільними лікарями і спеціалістами з реабілітації (лікар-невролог дитячий, логопед, лікар-психолог, лікар-педіатр, педагог соціальний, лікар-сурдолог, лікар фізичної та реабілітаційної медицини або лікар-фізіотерапевт, або лікар з лікувальної фізкультури, або лікар з лікувальної фізкультури і спортивної медицини, фізичний терапевт та інші);
- реабілітаційні послуги (комплекс процедур), у тому числі фізичну терапію, лікувальну фізкультуру, масаж загальний, механотерапію за потребою (локомоторну терапію, мотомедтерапію), апаратну фізіотерапію (теплолікування, вібротерапію), метод динамічної пропріоцептивної корекції із застосуванням рефлекторно-навантажувального пристрою «Гравістат», логопедичну корекцію, психологічну корекцію, педагогічну корекцію, соціальну адаптацію тощо.
Місцевий орган укладає договір про здійснення для дитини реабілітаційних заходів в якому зазначаються строки здійснення реабілітаційних заходів у реабілітаційній установі, їх вартість тощо.
Перелік реабілітаційних закладів
- Перелік центрів реабілітації дітей за регіонами та усіх форм підпорядкування (у форматі XLS)
- Перелік центрів (відділень) медико-соціальної реабілітації дітей з органічним ураженням нервової системи МОЗ України (скачати у *pdf)
- Довідник центрів соціальної реабілітації дітей-інвалідів системи органів праці та соціального захисту населення. Мінсоцполітики. (скачати у *.pdf)
- Перелік реабілітаційних установ, закладів охорони здоров'я, які здійснюють реабілітаційні заходи для дітей з інвалідністю відповідно до Постанови КМУ 309[43]
- Український медичний центр реабілітації дітей з органічним ураженням нервової системи МОЗ України
- Адреси реабілітаційних центрів, що надають допомогу дітям із синдромом Дауна в регілонах України[26]
- Державні центри комплексної реабілітації
Інклюзивне навчання осіб з синдромом Дауна
Діти з особливими освітніми потребами (ООП) мають повне право здобувати освіту в усіх навчальних закладах, зокрема й безоплатно в державних та комунальних, незалежно від «встановлення інвалідності». Інклюзивне навчання часто вважають альтернативою інтернатній системі, за якою діти з особливими освітніми потребами навчаються в спеціальних закладах освіти та змушені проживати в інтернатних відділеннях при них через їх територіальну розгалуженість. Жодна дитина не має відчувати себе іншою та виключеною з освітніх, культурних і соціальних процесів — це головне завдання інклюзії.
Інклюзивне навчання — система освітніх послуг, гарантованих державою, що базується на принципах недискримінації, врахуванні багатоманітності людини, ефективного залучення та включення до освітнього процесу всіх його учасників.
Діти з особливими освітніми потребами (ООП) мають право на:
- дистанційну та індивідуальну форми навчання;
- психолого-педагогічну та корекційно-розвиткову допомогу;
- інклюзивні та спеціальні групи (класи) у загальноосвітніх навчальних закладах;
- «підлаштовані» для їхніх потреби загальноосвітні школи і класи, тобто на відповідні архітектурні перепланування;
- корекційних педагогів, тьюторів, психологів;
- адаптовані навчальні плани та програми, методи та форми навчання, ресурси спеціальної освіти, партнерство з громадою.
Питання інклюзії знаходиться у компетенції Міністерства освіти і науки України[44], а реалізація поколадається на місцеві департаменти, управління і відділи місцевих адміністрацій.
Головне про інклюзивне навчання
Батьки мають право обирати заклад освіти, освітню програму, вид і форму здобуття освіти для дитини. Школа чи дитячий садок, до яких звернулись батьки дитини з особливими освітніми потребами, зобов'язані створити інклюзивний клас або групу (алгоритм вступу[45]). Варто звернути увагу, що діючі норми Закону не обмежуть дітей з інвалідністю навчатися на загальних підставах без створення інклюзивхних класів.
Згідно з Законом «Про загальну середню освіту», загалом у класі може бути не більше 30 учнів. Максимальна кількість таких дітей з особливими потребами у класах — три, а в окремих випадках — двоє. В інклюзивному класі працюють один учитель та один асистент учителя[46]. Діти з ООП зможуть розпочинати здобуття початкової освіти з іншого віку, а тривалість їхнього навчання у початковій та базовій школі може бути подовжена з доповненням освітньої програми корекційно-розвитковим складником.
- Всеукраїнський фонд «Крок за кроком». Інклюзивна освіта від А до Я: поширені питання.
- Перелік навчальних закладів з можливістю інклюзивного навчання у м. Київ (на карті)
- Для батьків дітей з синдромом Дауна і спеціалістів підготовлено спеціальний буклети[47] та інші корисні матеріали від проекту «Перспектива 21-3»[48] та інших друкованих видань[49][50][51].
Як розпочати навчання в інклюзивній групі?
Батьки мають звернутись до інклюзивно-ресурсного центру (ІРЦ)[52] за місцем проживання (див. карту найближчих ІРЦ у вашому регіоні), які відчувають занепокоєння щодо розвитку дитини 2-18 років, незалежно від наявності в дитини інвалідності чи встановленого діагнозу. Фахівці інклюзивно-ресурсного центру мають провести комплексну психологічно-педагогічну оцінку дитини і надати батькам висновок про комплексну оцінку[53][54][55]. Заяву разом звисновком подають батьки до навчального закладу, що зобовязані створити інклюзивний клас або групу. В закладі освіти створюється команада психолого-педагогічного супроводу, до якої входять: директор закладу чи його заступник, учителі, асистент учителя, практичний психолог, батьки, асистент дитини та всі інші особи, залучені до навчального процесу. Команда супроводу створює індивідуальну програму розвитку (ІПР) дитини та погодити з батьками. В інклюзивному класі чи групі мають створити умови для навчання дитини з особливими освітніми потребами (ООП) відповідно до ІПР з урахуванням потреб і можливостей учня (учениці)[56]. До роботи інклюзивного класу чи групи долучають асистента вчителя чи вихователя. Ця людина не є особистим педагогом дитини, а допомагає вчителю чи вихователю проводити освітній процес. Якщо фахівці інклюзивно-ресурсного центру у висновку зазначили, що дитина потребує додаткової підтримки, то вона має право на асистента дитини. Роль асистента дитини можуть виконувати батьки, уповноважені ними особи чи соціальні працівники.
Інклюзивне навчання в Україні
Станом на травень 2020 року створено та працює 627 інклюзивно-ресурсних центрів. Інклюзивно-ресурсні центри є у всіх областях України[57], тож діти з особливими освітніми потребами та їхні батьки можуть отримати відповідні послуги за місцем проживання.
В Україні налічується 334 спеціальних заклади, а зокрема: для дітей з вадами зору — 26, вадами слуху — 39, з порушенням опорно-рухового апарату — 14, з важкими порушеннями мовлення — 10, інтенсивної педагогічної корекції — 10, навчально-реабілітаційних центрів — 58.
Станом на 1 січня 2020 року в інклюзивних класах навчається 19345 учнів із особливими освітніми потребами. Ця кількість у 7 разів перевищує дані п'ятирічної давнини. На початок 2020 року в Україні створено 13782 інклюзивні класи. Так, у 2019/2020 навчальному році 35 % від загальної кількості закладів загальної середньої освіти організували інклюзивне навчання.
У закладах дошкільної освіти станом на 1 січня 2020 року здобувають освіту 4681 вихованців із особливими освітніми потребами. Також із 2019/2020 навчального року інклюзивне навчання запроваджено в закладах професійної, професійно-технічної та вищої освіти, де інклюзивно навчаються 1312 здобувачів освіти з особливими освітніми потребами.
Впровадження інклюзивного навчання дало успіх — вперше громадянин України із синдромом Дауна здобув вищу освіту: лучанин Богдан Кравчук успішно закінчив навчання та отримав диплом бакалавра історії у Східноєвропейському національному університеті імені Лесі Українки[58]. Згодом його запросили працювати на пів ставки на посаду екскурсовода-асистента у Волинському інституті післядипломної педагогічної освіти, де разом з завідувачем музею він проводить екскурсії[59].
Соціалізація і профорієнтація осіб з синдромом Дауна

Державна політика в питаннях соціалізації осіб з інвалідністю, а зокрема людей з синдромом Дауна, знаходиться на ранній стадії свого зародження. На привеликий жаль, розуміння «соціалізації» є викривленним і зводиться лише до питаннь впровадження інклюзивної освіти[60][61], метою якої є забезпечення цілісного розвитку дитини, виховання, соціалізація особистості і формування необхідних життєвих навичок через здобуття освіти.
Доросле життя будь-якої людини пов'язане з працею. Більшість людей з синдромом Дауна хочуть та можуть працювати. У світовій практиці це реалізується через трудозайнятість та працевлаштування. Трудозайнятість — це виконання певної суспільно-корисної роботи, як правило, на захищеному ринку праці, що представлений соціальними майстернями. Така робота може оплачуватись або ні. Працевлаштованими на відкритому ринку праці за даними країн-членів EDSA є 5-13 % дорослих людей з синдромом Дауна. Як правило, це — сфера послуг (громадське харчування, готелі), торгівля, нескладна офісна робота, робота з рослинами та тваринами, мистецтво (актори, художники тощо). Ефективна модель, що використовується у цьому випадку, це — підтримане працевлаштування. У цій моделі підібрати роботу, працевлаштуватись та адаптуватись на робочому місці людині з синдромом Дауна допомагає персональний job coacher.
В Україні розроблений та діє Державний стандарт соціальної послуги соціального супроводу при працевлаштуванні та на робочому місці. Він регламентує порядок надання цієї соціальної послуги, у тому числі особам з інвалідністю, за рахунок бюджетних коштів. Закупівлю цієї послуги мають здійснювати місцеві органи виконавчої влади. Працевлаштування людей з синдромом Дауна на відкритому ринку праці в Україні — це поодинокі випадки на сьогоднішній день. Розвивають цю практику соціально відповідальний корпоративний бізнес, сімейні бізнеси, соціальні підприємці. Їх історії надихають однодумців залучати людей з інтелектуальною інвалідністю у свої робочі колективи
Закон України «Про основи соціальної захищеності осіб з інвалідністю в Україні»[62] визначає основи соціальної захищеності осіб з інвалідністю в Україні і гарантує їм рівні з усіма іншими громадянами можливості для участі в економічній, політичній і соціальній сферах життя суспільства, створення необхідних умов, які дають можливість особам з інвалідністю ефективно реалізувати права та свободи людини і громадянина та вести повноцінний спосіб життя згідно з індивідуальними можливостями, здібностями і інтересами. Проте діяльність держави в цій сфері є обмеженою
З метою реалізації творчих і виробничих здібностей осіб з інвалідністю та з урахуванням індивідуальних програм реабілітації їм забезпечується право працювати. Підприємства, установи, організації, фізичні особи, які використовують найману працю, зобов'язані виділяти та створювати робочі місця для працевлаштування осіб з інвалідністю, у тому числі спеціальні робочі місця, створювати для них умови праці і забезпечувати інші соціально-економічні гарантії, передбачені законодавством. Для підприємств які використовують найману працю, установлюється норматив робочих місць для працевлаштування осіб з інвалідністю у розмірі 4 % середньооблікової чисельності штатних працівників облікового складу за рік, а якщо працює від 8 до 25 осіб, — у кількості одного робочого місця.
«Перспектива 21-3» — це один з проектів Всеукраїнської благодійної організації «Даун Синдром», який має на меті створення перспективи для дітей з трисомією 21ї хромосоми (синдром Дауна) та інших дітей з порушенням розумового розвитку у XXI столітті у трьох сферах життя: навчання, працевлаштування та самостійне проживання (під наглядом).
9 січня 2020 року у Луцьку відкрили кав'ярню, в якій офіціантами працюють двоє хлопців із синдромом Дауна: 21-річний Андрій Мельник та 19-річний Валентин Новосад[63].
Інформаційні ресурси для підтримки осіб з синдромом Дауна
Громадські організації в регіонах України
- м. Київ, Всеукраїнська благодійна організація «Даун синдром» .
- м. Київ, Центр раннього розвиту ВБО «Даун синдром»
- м. Вінниця, Вінницький обласний Центр соціальної реабілітації дітей інвалідів «Промінь»
- м. Вінниця, Даун Синдром(Вінниця Даун Синдром)
- м. Вінниця, ГО «Асоціація батьків дітей з особливими потребами»
- м. Дніпропетровськ, ГО «ДАСИД»
- Донецька обл. ?
- м. Житомир, Житомирська обласна ГО «Діти сонця»
- м. Запоріжжя, Центр соціально-реабілітаційної допомоги дітям з обмеженими можливостями «Прометей»
- м. І-Франківськ, ГО «Світанок»
- м. Київ, Благодійна організація «Перспектива 21.3»
- м. Ковель, Ковельський дитячий благодійний фонд «Почнемо з малого»
- м. Коломия, Благодійний фонд «Крокус»
- м. Кривий Ріг, Криворізька міська благодійна організація допомоги дітям з синдромом Дауна «Сонячні діти Криворіжжя»
- Кіровоградська обл. ?
- м. Львів, Благодійна організація «Промінчик»
- м. Львів, Навчально-реабілітаційний центр «Джерело»
- м. Львів, «Центр Емаус»
- Луганська обл. ?
- м. Луцьк, Волинська обласна громадська організація батьків дітей з синдромом Дауна та іншими порушеннями розвитку
- м. Луцьк, Сонячні діти Волині-ВОГО «Даун-синдром»
- м. Миколаїв, ГО «Усмішка дитини»
- м. Нововолинськ, ГО «Синдром любові»
- м. Нововолинськ, ГО «Світ для дітей»
- м. Одеса, Одеська благодійна організація «Сонячні діти»
- м. Одеса, Одеський обласний благодійний фонд реабілітації дітей-інвалідів «Майбутнє»
- м. Полтава, громадська організація «Полтава ДАУН СИНДРОМ»
- м. Рівне, Обласна громадська організація «Асоціація батьків дітей з особливими потребами»
- Сумська обл. ?
- м. Тернопіль, Тернопільська обласна громадська організація «Центр сприяння дітям з синдромом Дауна „БебіКо“»
- м. Ужгород, Ужгородське міське товариство захисту дітей з особливими потребами «Надія»
- м. Харків, Благодійний фонд «Інститут раннього втручання»
- м. Харків, «Дети солнца»
- м. Харкіа, «Асоціація батьків дітей з хромосомними аномаліями»
- м. Херсон, Херсонська міська громадська організація матерів дітей інвалідів «Серце матері» пров. Комбайновий, 11а, тел.: 055 245 46 17
- м. Херсон, Херсонська обласна громадська організація підтримки дітей з синдромом Дауна та їх сімей «Сонячні діти Херсонщини»
- м. Хмельницький, Громадська організація «AGAPE»
- м. Хмельницький, Хмельницька обласна громадська організація «Асоціація батьків дітей з хромосомними порушеннями та іншими вадами розвитку „Сонячні діти“»
- м. Черкаси, ГО «Сонячні діти Черкащини»
- м. Чернівці, ГО «Особливі серед нас»
- м. Чернівці, ГО «Миле сонечко»
- м. Чернігів, ГО «Голос батьків»
Міжнародні ресурси
Групи підтримки батьків дітей у соціальних мережах
- Сила сонця
- Центр Раннього Розвитку ВБО «Даун Синдром» , форум і відео блог на каналі y outube
- Сильные родители (viber)
- Солнышко мое, все для тебя (адміністратор)
- Соня доня
- Особенный Папа
- Блог Принцеса Катерина
- Синдром Дауна — образ жизни, а не судьба
- Синдром Дауна. Радість від кожного дня
- Downside Up/Даунсайд Ап
- Синдром Дауна-трисомия «21» и «Жаворонушки»
- Медичний супровід людей із синдромом Дауна
- Усі групи про синдром Дауна у соціальній мережі Facebook (eng) та сторінки людей (eng)
Фільми, актори і музиканти з синдромом Дауна
Усі художні фільми з категорії
- «Історія Лізи», Україна, 2019, Владислав Погрібний
- «Арахісовий сокіл», США, 2019, Зак Готтсаген
- «Yellow», Індія, 2014
- «Buddies», Бразилія, 2012
- «Я теж», Іспанія, 2009, Пабло Пінеда
- «Mr Blue Sky», 2007, Ashley Wolfe
- Анімаційний серіал, створений про дівчинку з синдромом Дауна
Усі інші фільми — Down syndrome in films
Усі документальні фільми
Соціальні проєкти (соціальна реклама)
Посилання
- Bednařík J., Ambler Z., Růžička E. Klinická neurologie: část speciální — ISBN 978-80-7387-389-9
- Класифікація згідно «Кодування захворюваності та смертності у відповідності до Міжнародної статистичної класифікації хвороб та споріднених проблем охорони здоров'я Десятого перегляду» МКХ-10.
- У Франції археологи розкопали найдавніший із відомих науці скелетів зі слідами синдрому Дауна.
- http://medstat.gov.ua/ukr/statdan.html
- Кафе, где работают люди с синдромом Дауна, открылось в Луцке
- У Вінниці для дітей із синдромом Дауна і аутизмом розробили спецкурс для працевлаштування
- Освіта і працевлаштування людей з синдромом Дауна — завдання держави, а не батьків — активіст
- Уніфікований клінічний протокол первинної, вторинної (спеціалізованої) та третинної (високоспеціалізованої) медичної допомоги (УКПМД) "Синдром Дауна
- Задачі лікаря загальної практики-сімейного лікаря умедичному супроводі дитини з синдромом Дауна. Матюха Л. Ф. — зав.каф. сімейної медицини та амбулаторно-поліклінічної допомоги, головний позаштатний спеціаліст МОЗ України зі спеціальності ЗП-СМ, д.мед.н., професор
- ПЕДИАТРИЧЕСКИЕ АСПЕКТЫ НАБЛЮДЕНИЯ ЗА ДЕТЬМИ С ДАУН — СИНДРОМОМ. МИНИСТЕРСТВО ЗЗДРАВООХРАНЕНИЯ УКРАИН НАЦИОНАЛЬНАЯ МЕДИЦИНСКАЯ АКАДЕМИЯ ПОСЛЕДИПЛОМНОГО ОБРАЗОВАНИЯ имени П. Л. ШУПИКА
- Клінічна та лабораторна діагностика синдрому Дауна. Горовенко Наталія Григорівна, Завідувач кафедри медичної та лабораторної генетики НМАПО імені П. Л. Шупика, Член-кор. НАМН України
- Врожденные пороки сердца у детей с синдромом Дауна. ГУ « Институт сердца МЗ Украины»
- Вада серця у дітей з синдромом Дауна
- Охмадит
- Нарушения слуха у детей с синдромом Дауна. НМАПО імені П. Л. Шупика Кафедра дитячої оториноларингології, аудіології та фоніатрії. Проф. А. Л. Косаковський
- Слух і синдром Дауна
- ДУ «Інститут отоларингології ім. проф. О. С. Коломійченка НАМН України»
- Міський Медичний Центр Проблем Слуху та Мовлення «СУВАГ»
- Зачем нужна диагностика слуха детям с синдромом Дауна
- Порушення зорового аналізатору у дитини з синдромом Дауна. Український медичний центр дитячої офтальмології та мікрохірургії ока НДСЛ «Охматдит» МОЗ України.
- Неврологічні проблеми у дітей з синдромом Дауна Мартинюк В.Ю
- Уніфікований клінічний протокол медичної допомоги та медичної реабілітації «Церебральний параліч та інші органічні ураження головного мозку у дітей, які супроводжуються руховими порушеннями» Наказ МОЗ України № 286 від 09.04.2013 р.
- Уніфікований клінічний протокол медичної допомоги «Епілепсії у дітей» Наказ МОЗ України № 276 від 17.04.2014 р.
- Український медичний центр реабілітації дітей з органічним ураженням нервової системи МОЗ України
- Гематологічні проблеми у дітей з синдромом Дауна в анньому віці С.Донська Зав. Центром ДОГіТКМ НДСЛ «ОХМАТДИТ»
- Медико-психологічний супровід дітей раннього віку з синдромом Дауна (методичні рекомендації)
- Держстат України
- Інвалідність та порядок її встановлення
- Про затвердження порядку видачі медичного висновку про дитину з інвалідністю віком до 18 років
- Деякі питання встановлення лікарсько-консультативними комісіями інвалідності дітям
- Как оформить инвалидность?
- Про затвердження переліку тяжких захворювань, розладів, травм, станів, що дають право на одержання державної допомоги на дитину, якій не встановлено інвалідність, надання такій дитині соціальних послуг
- Послуги та пільги родинам, які виховують дітей з інвалідністю (КМДА)
- Система роботи з формування навички читання у дітей із синдромом Дауна
- Розвиток мови та мовлення. Методика ТАН-Содерберг
- Про реабілітацію осіб з інвалідністю в Україні
- ПОЛОЖЕННЯ про індивідуальну програму реабілітації особи з інвалідністю
- Про затвердження форм індивідуальної програми реабілітації інваліда, дитини-інваліда та Порядку їх складання.
- Постанова КМУ № 80Про затвердження Порядку надання окремим категоріям осіб послуг із комплексної реабілітації (абілітації)
- Раннє втручання. Розвиток дитини і сім'ї
- International Vojta Society
- Постанова КМУ 309 Про затвердження Порядку використання коштів, передбачених у державному бюджеті для здійснення реабілітації дітей з інвалідністю
- Перелік реабілітаційних установ, закладів охорони здоров'я, які здійснюють реабілітаційні заходи для дітей з інвалідністю відповідно до Постанови 309
- Міносвіти. ІНКЛЮЗИВНЕ НАВЧАННЯ
- АЛГОРИТМИ ВСТУПУ https://mon.gov.ua/ua/dlya-batkiv/algoritmi-vstupu
- НУШ. Відповідаємо на запитання. Інклюзивне навчання
- «Інклюзивне навчання дітей з синдромом Дауна: порадник для батьків і спеціалістів»
- Посібник http://www.perspectiva21-3.com.ua/zamoviti-posibnik/
- Інклюзивне навчання за нозологіями. Дитина із синдромом Дауна. Видавництво: Ранок
- Інклюзивне навчання за нозологіями. Дитина із синдромом Дауна
- Діти з особливими потребами в освітньому просторі України
- МОН. ІНКЛЮЗИВНО-РЕСУРСНІ ЦЕНТРИ
- Про затвердження Порядку організації інклюзивного навчання у загальноосвітніх навчальних закладах
- Про навчальні плани та організацію навчально-реабілітаційного процесу для учнів з особливими освітніми потребами загальноосвітніх навчальних закладів y 2017/2018 навчальному році
- Про затвердження Порядку комплектування інклюзивних груп у дошкільних навчальних закладах
- ДЕЯКІ ПИТАННЯ КОМПЛЕКСНОЇ ОЦІНКИ РОЗВИТКУ ДІТЕЙ З ОСОБЛИВИМИ ОСВІТНІМИ ПОТРЕБАМИ
- Система автоматизації роботи інклюзивно-ресурсних центрів
- Луцький студент із синдромом Дауна першим в Україні отримав диплом. Конкурент. Процитовано 2021--05-11.
- У Луцьку хлопець із синдромом Дауна провів екскурсію у музеї (фото, відео). Конкурент. Процитовано 11 травня 2021.
- Соціалізація дітей із синдромом Дауна: разом до успіху
- СОЦІАЛЬНА АДАПТАЦІЯ ДІТЕЙ З СИНДРОМОМ ДАУНА
- Про основи соціальної захищеності осіб з інвалідністю в Україні
- У Луцьку запрацювала кав'ярня "Старе місто" з "сонячними" офіціантами (фото). Конкурент. Процитовано 11 травня 2021.
Інші корисні джерела інформації
- Down syndrome
- Список відомих персон з синдромом Дауна
- 5 міфів про людей з синдромом Дауна, які нарешті треба спростувати
- Основні принципи етикету в спілкуванні з людьми з інвалідністю
- Те, що важливо. Молоді люди з синдромом Дауна та їх батьки розмірковують про життя і смерть, любов і сім'ю
- Звичайні люди із синдромом Дауна. Як живуть і виживають «сонячні» українці
- Історії людей із синдромом Дауна, які знайшли роботу і живуть повним життям
- Пожиттєвий карантин. Чому в Україні дорослі з синдромом Дауна не мають шансів на роботу
- Усе про синдром Дауна на YouTube
- Діти із синдромом Дауна пізно починають говорити
- Синдром Дауна можна коректувати
- Нацiональне суспiльство хворих людей з синдромом Дауна (англ.)
- Синдром Дауна — це не вирок. Модельна агенція, яка дає шанс людям з інвалідністю
- Practice Guidelines for Communicating a Prenatal or Postnatal Diagnosis of Down Syndrome: Recommendations of the National Society of Genetic Counselors (2011)
- Down Syndrome Health Care Guidelines: International Down Syndrome Medical Interest Group (2011)
- Health Care Guidelines for People with Down Syndrome: European Down Syndrome Association (2011)
- Screening for Down's syndrome: UK NSC Police recommendations 2011—2014. Model of Best Practice (2011)
- Down Syndrome. Harold Chen (2014) 6. What are common treatments for Down syndrome? National Institutes of Health, USA (2015)
- Що має робити вчитель у класі, де є діти з особливими освітніми потребами?
- 8 успешных людей с синдромом Дауна
- 10 людей с синдромом Дауна, которые добились успеха, несмотря ни на что
- Зайва хромосома не перешкода. 8 знаменитих гуртів і музикантів з Синдром Дауна
- Хлопчик з синдромом Дауна став обличчям компанії Gerber
- Ірина Хакамада розповіла, чому вирішила народити сонячну дитину
- Анна де Голль, донька Шарля де Голля, народилася з синдромом Дауна
- Центр просвітництва та розвитку людини
