Цитомегаловірус
Цитомегаловірус (ЦМВ, англ. Cytomegalovirus / CMV) — рід ДНК-вмісних вірусів родини герпесвірусів. Цитомегаловірусна інфекція у людей, яку спричинює цитомегаловірус, є складовою частиною поняття Torch-інфекції.
? Цитомегаловірус | ||||||||
|---|---|---|---|---|---|---|---|---|
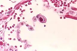
![]() Клітини легенів, інфіковані цитомегаловірусом | ||||||||
| Класифікація вірусів | ||||||||
| ||||||||
Види | ||||||||
| ||||||||
Посилання | ||||||||
| ||||||||
Історія відкриття вірусу
Цитомегаловірус був відкритий незалежно один від одного в 1955 році американським патологом М. Сміт зі слинних залоз померлої дитини[1], та її співвітчизниками — вірусологом У. Роувом зі співавторами з лімфоїдної тканини людини (1956 р.)[2] й видатним педіатром та вірусологом, лауреатом Нобелівської премії з фізіології та медицини Т. Г. Веллером зі співавторами від хворого з підозрою на токсоплазмоз (1957 р.)[3]. Саме Веллер дав назву вірусу по спричиненому тим ефектом в клітинах — цитомегалією[4].

Властивості вірусу
Тропізм і особливість клітинного ураження
Як і всі представники герпесвірусів в організмі, зазвичай, знаходиться в латентній формі. Має виражений тропізм до тканин слинної залози. Є досить поширеним, зустрічається приблизно в 40 % людей. Крім людини, виділений від мавп, морських свинок та мишей. Назву вірус отримав внаслідок того, що при захворюванні в слині, сечі, спинномозковій рідині спостерігають гігантські клітини (цитомегалія) розмірами 30 — 40 мкм, в ядрі яких є включення діаметром 8 — 10 мкм.
Морфологія і культуральні особливості
Вірус сферичної форми, іноді — плеоморфний, 150—200 нм у діаметрі, має Т=16 ікосаедричну симетрію. Капсид складається зі 162-х капсомерів і огорнутий аморфним тегументом (зовнішнім покривом). Покидаючи заражену клітину вірус захоплює частину її мембрани й таким чином «закутується» додатковим захисним шаром. Глікопротеїнові комплекси вбудовані в ліпідну оболонку.
Вірус термолабільний, інактивується при 56°C через 10 — 20 хвилин, при 4°C зберігається протягом тижня. Стабільний при pH 5,0-9,0, швидко руйнується при pH 3,0. У лабораторних умовах розмножуються досить повільно, тільки у культурах клітин. Цитопатичну дію спостерігають через 5 — 20 діб.
Серотипи ЦМВ
На сьогодні відомо 3 серотипів вірусу людини I, II, III, до яких відносять багато штамів: AD-169, Davis, Towne, TB40/E, Toledo, Merlin, 3157, 6397, 711, 5234, ESP. (Espaillat)[5] тощо[6][7][8]. Штами різняться за набором глікопротеїдів. На сьогодні до відмінностей і структурних особливостей штамів ЦМВ прикута найбільша увага вірусологів і клініцистів.
Геном
Вірус має найбільший серед герпесвірусів людини лінійний дволанцюговий ДНКгеном у щонайменше 240 000 нуклеотидів бп[9] і 200 відкритих рамок зчитування. Геном складається з двох ковалентно пов'язаних сегментів (L і S), кожен з яких містить, в свою чергу, унікальні зони (UL і US), оточені інвертованими повторами (зокрема TRL і IRL, ТРС та IRS для штаму AD-169, який визнаний «робочою конячкою» досліджень цитомегаловірусу).[10]У більшості варіабельних зон ідентифіковані нуклеотидні ланцюги зміни, які мають потужні групові детермінанти. Існування домінуючого геномного варіанту визначають як генотипи (англ. gN variants)[11].

Кожен вірусний транскрипт зазвичай кодує один білок і має регуляторну послідовність, цис-регуляторний елемент — ТАТА-бокс, сайт ініціації транскрипції, 5' нетранслюючу послідовність лідера у 30-300 bp, 3' нетрансльовані послідовності у 10-30 bp та полі А сигнал. Містить багато генів перекриття, але обмежену кількість генів сплайсінгу (ті, що створюють можливість прикріплення однієї молекули ДНК до іншої).
Ядерна реплікація
Літична реплікація, яка має такі етапи:
- Прикріплення вірусу за допомогою глікопротеїнів до рецепторів клітини-мішені з подальшим ендоцитозом вірусу всередину клітини.
- Процес вторгнення в клітину-господаря залишається до кінця ще не проясненим і може залежати від типу клітини-хазяїна. Тобто що переважає в кожному конкретному випадку — ендоцитоз чи розплавлення плазматичної мембрани.
- Капсид транспортується до отворів в ядрі клітини-хазяїна, де вірусна ДНК вивільняється всередину ядра.
- Транскрипція негайних ранніх генів, які сприяють транскрипції ранніх генів і захищають вірус від імунітету хазяїна.
- Транскрипція ранньої вірусної мРНК за рахунок полімерази II клітини-хазяїна, яка кодує білки, залучені в реплікації вірусної ДНК.
- Перший раунд циркулярної ампліфікації генома шляхом двобічної реплікації.
- Синтез лінійних конкатемерних копій вірусної ДНК по типу замкненого кола.
- Транскрипція пізньої вірусної мРНК за рахунок полімерази II клітини-хазяїна, яка кодує білки, залучені в реплікації вірусної ДНК.
- Монтаж вірусу в ядрі, вихід крізь модіфіковану мембрану ядра, яка була змінена глікопротеїнами цитомегаловірусу, за допомогою комплексу Гольджі та фінальна реалізація у плазматичній мембрані.
Реплікація прихована
Реплікація вірусного генома в тандемі з ДНК клітини-хазяїна складає сутність механізму персистенції цитомегаловірусу в організмі ураженого.
Цитомегаловірусна інфекція
Людський цитомегаловірус спричинює у людей ЦМВ-інфекції у широких межах: від безсимптомної персистенції до тяжких генералізованих форм при імунодефіциті, особливо при СНІДі, який виникає на пізніх клінічних стадіях ВІЛ-інфекції. Найбільш притаманною для імунокомпетентної людини є персистентна ЦМВ-інфекція. Цитомегаловірус людини має три гени, які дозволяють йому уникнути ефективної елімінуючої імунної відповіді. Є ген US3, продукція якого запобігає протидії молекул головного комплексу гістосумісності, які здатні транспортувати чужорідний антиген за межі мембрани клітини. Продукти гену US6 інгібують пептидну транслокацию тих білків, які пов'язані з розпізнаванням чужорідних антигенів. Продукти гену US11 переміщують важкі ланцюги Класу I антигену з ендоплазматичного ретикулума в цитозоль, що робить його нефункціональним. Усі ці три гена заважають розпізнаванню вірусного антигену в інфікованих клітинах. Таким чином інфікована клітина не може виявити антиген ЦМВ, і тому макроорганізм не отримує інформацію про зараження, через що і немає імунної відповіді на ЦМВ. Саме це і пояснює можливість тривалої ЦМВ-персистенції.
Детальніші відомості з цієї теми ви можете знайти в статті Цитомегаловірусна інфекція.
ЦМВ тварин
Також ще декілька представників цього роду спричинюють інфекцію у приматів, дрібних гризунів. Кожен з них паразитує у конкретних видів: декількох — з роду Cercopithecus, у шимпанзе, орангутанів, макак. Цитомегаловірус, що уражає мавп одного виду, не зустрічається у представників іншого. Так само відбувається і у дрібних гризунів. Відповідно, людина заразитися від мавп чи гризунів їх специфічними цитомегаловірусами не може.
Примітки
- Smith MG (1956) Propagation in tissue cultures of a cytopathogenic virus from human salivary gland virus (SVG) disease. Proc Soc Exp Biol Med 92:424-430
- Rowe WP, Hartley JW, Waterman S et al (1956) Cytopathogenic agent resembling human salivary gland virus recovered from tissue cultures of human adenoids. Pro Soc Exp Biol Med 92:418-424
- Weller TH, Macauley JC, Craig JM, Wirth P (1957) Isolation of intranuclear inclusion producing agents from infants with illnesses resembling cytomegalic inclusion disease. Proc Soc Exp Biol Med 94:4-12
- Weller TH (1970) Cytomegalovirus: the difficult years. J Infect Dis 122:532-539
- Деякі назви штамів походять від прізвищ хворих, у яких вони були виділені.
- Adrianne Walker, Susan J. Petheram, Linda Ballard, Jody R. Murph, Gail J. Demmler, and James F. Bale Jr. Characterization of Human Cytomegalovirus Strains by Analysis of Short Tandem Repeat Polymorphisms J. Clin. Microbiol. June 2001 vol. 39 no. 6 2219—2226
- Gavin W. G. Wilkinson, Andrew J. Davison, Peter Tomasec, Ceri A. Fielding et al. Human cytomegalovirus: taking the strain Med Microbiol Immunol (2015) 204:273-284
- У різних наукових джерелах існує різна трактовка цього: типи, серотипи, серовари, які мають варіанти, штами тощо.
- англ. base pairs (unit: bp) — будівельні блоки двоспіральної ДНК.
- Aidan Dolan, Charles Cunningham, Ralph D. Hector et al. Genetic content of wild-type human cytomegalovirus Journal of General Virology (2004), 85, 1301—1312
- Sara Pignatelli, Paola Dal Monte Epidemiology of human cytomegalovirus strains through comparison of methodological approaches to explore gN variants NEW MICROBIOLOGICA, 2009, 32, 1-10.
Джерела
- Monto Ho Cytomegalovirus: Biology and Infection Springer Science & Business Media, 2013. — 440 p.
- Mocarski ES, Shenk T, Griffiths P, Pass RF: Cytomegaloviruses. In Fields virology. 6th edition. Edited by Knipe DM. Wolters Kluwer Health, 2013. 2664 р. ISBN 1451105630, 9781451105636; Т.2 2013:1960-2014.
- Bernard Roizman The Herpesviruses Springer Science & Business Media, 2013. — 458 р.
- Elisabeth Puchhammer-Stöckl; Irene Görzer Human Cytomegalovirus An Enormous Variety of Strains and Their Possible Clinical Significance in the Human Host. Future Virology. 2011;6(2):259-271.
- Медична мікробіологія, вірусологія, імунологія /підручник для студентів вищих медичних закладів/за редакцією В. П. Широбокова. Вінниця: Нова книга. 2011. — 951 стор.
