Цитомегаловірусна інфекція
Цитомегалові́русна інфе́кція (часто — цитомегаловірусна хвороба, англ. Cytomegaloviral infection/disease[2]) — інфекційна хвороба з групи герпесвірусних інфекцій, яку спричинює цитомегаловірус (ЦМВ). Ця інфекція характеризується багатогранними проявами — від безсимптомного перебігу до тяжких генералізованих форм з пошкодженням внутрішніх органів і ЦНС, особливо за наявності імунодефіциту.
Історичні відомості
Вперше клітини незвичайно великих розмірів (лат. Cytomegalia) виявив і назвав їх «тільцями, подібними до найпростіших» німецький патолог Гуго Рібберт у 1881 р., коли досліджував нирки дітей, померлих від різних хвороб[3]. Надалі такі «тільця» виявляли в інших органах, особливо часто в слинних залозах[4]. Вірус, який це спричиняв, був виділений незалежно один від одного в 1955 р. американським патологом М. Сміт з слинних залоз померлої дитини[5], її співвітчизниками — вірусологом У. Роувом з співавторами з лімфоїдної тканини людини (1956 р.)[6] та видатним педіатром і вірусологом, лауреатом Нобелівської премії з фізіології та медицини Т. Г. Веллером з співавторами від хворого з підозрою на токсоплазмоз (1957 р.)[7]. Саме Веллер дав назву вірусу Cytomegalovirus по спричиненому тим ефектом в клітинах — цитомегалією[8]. В 1965 р. фінськими вченими Е. Клемолою та Л. Кааріайненом було доказано, що ЦМВ, як й вірус Епштейна — Барр (ВЕБ), може спричинити клінічний синдром «інфекційний мононуклеоз»[9].
Актуальність
За даними ВООЗ після 35 років у кожного третього жителя планети виявляють антитіла до ЦМВ. У різних країнах частота інфікування ЦМВ коливається від 45 до 98 %. ЦМВ-інфекція широко поширена в країнах, що розвиваються, у благополучних країнах — в регіонах з низьким соціально-економічним статусом. Актуальність ЦМВ-інфекції обумовлена її значною поширеністю серед новонароджених та дітей раннього віку, смертністю, труднощами інтерпретації її проявів, особливо у випадках генералізації інфекційного процесу, її значенням в перебігу ВІЛ-інфекції як ВІЛ-асоційованої хвороби.
Етіологія

Цитомегаловірус (ЦМВ, ГВЛ-5, Cytomegalovirus hominis) належить до роду Cytomegalovirus, підродини Betaherpesvirinae, родини Herpesviridae. ЦМВ має найбільший геном серед людських герпесвірусів. Наразі відомо троє серотипів цитомегаловірусу людини I, II, III, до яких відносять багато штамів: AD-169, Davis, Towne, TB40/E, Toledo, Merlin, 3157, 6397, 711, 5234, що, можливо, і призводить до різного потенціалу захворюваності[10]. ЦМВ добре зберігається при кімнатній температурі, чутливий до дезрозчинів та нагрівання. ЦМВ зростає в лабораторних умовах лише в культурі людських клітин і, найкраще, в культурі фібробластів. ЦМВ (як й інші β-герпесвіруси) здатні спричиняти характерний феномен цитомегалії — велике збільшення клітин у розмірах із включенням в ядра самих вірусів у вигляді «ока сови».
Детальніші відомості з цієї теми ви можете знайти в статті Цитомегаловірус.
Епідеміологічні особливості
Джерело та резервуар інфекції
Резервуаром ЦМВ (герпесвірусу 5-го типу) у природі є людина, хворий або носій. Вірус знаходять у крові, сечі, фекаліях, інших секретах, біоптатах практично усіх тканин організму.
Механізми і шляхи передачі
Для зараження в натуральних умовах потрібний досить тісний контакт із джерелом інфекції. ЦМВ може бути переданий повітряно-крапельно (зі слиною, контактно-побутовим шляхом), гемоконтактним механізмом, статевим шляхом, при оро-генітальних контактах, вертикально (трансплацентарно, від хворої матері до дитини під час пологів і грудного вигодовування). Так, приблизно у 10 % серопозитивних вагітних ЦМВ виявляють у статевих шляхах, під час пологів заражається половина новонароджених. У 30-70 % серопозитивних матерів ЦМВ виділяється з грудним молоком, таким чином інфікуються до 50 % немовлят.
Категорії ризику
До категорій ризику зараження ЦМВ належать:
- малюки,
- люди, що працюють в дитячих установах,
- особи, що мають велику кількість статевих партнерів,
- реципієнти різних тканин, крові,
- хворі з імунодефіцитами.
Патогенез
Рання стадія і загальні положення патогенезу
У місці проникнення вірусів місцева реакція відсутня. Первинне інфікування у доношених дітей без вроджених імунодефіцитів і у дорослих (окрім вагітних та імуноскомпрометованих пацієнтів) майже завжди відбувається субклінічно. Часто в подальшому формується безсимптомна персистенція. У частини заражених ЦМВ, потрапляючи в кров, інфікує лімфоцити і моноцити. За руйнівним впливом на імунні клітини ЦМВ поступається тільки ВІЛ. Як і для ВІЛ-інфекції та туберкульозу, для ЦМВ-інфекції насамперед характерне різке пригнічення функції Т-хелперів при збереженні або підвищенні активності Т-супресорів. При цьому виявляють різке зниження або навіть інверсію співвідношення СD4/CD8. На відміну від ВЕБ, ЦМВ ніколи не розмножується у В-лімфоцитах. Основу противірусного захисту становлять Т-кілери і природні кілери. ЦМВ властива також тропність до епітелію, особливо залозистих органів. Уражені клітини різко змінюються, формуються типові цитомегалійні клітини з великими внутрішньоядерними включеннями. В різні органи-мішені ЦМВ потрапляють з крові та безпосередньо з макрофагів, занесених у ці органи. Нейтралізуючі противірусні антитіла неспроможні захистити організм. Їх визначення використовують для підтвердження факту інфікування вірусом і загрози подальшого розвитку хвороби. Вірусоспецифічні IgM з'являються майже відразу після інфікування, і виявляють їх ще протягом 3-4 місяців після цього. IgG зберігаються впродовж усього подальшого життя. При реактивації ЦМВ-інфекції знову починають виявляти IgM, а співвідношення CD4/CD8 знижується. Одним із найбільш показових маркерів реплікативної активності вірусу є виявлення його ДНК, наприклад у крові чи лікворі пацієнта, секретах, секційному матеріалі тощо. При безсимптомному носійстві реплікація вірусу найчастіше відбувається у клітинах екзокринних залоз, лімфоцитах і мононуклеарах. У цих клітинах вірус може зберігатися довічно, про що свідчить постійне виділення його із сечею. Внутрішньоклітинне паразитування збудника захищає його від впливу антитіл, а ті віруси, що персистують усередині лімфоцитів, стають практично невразливими для імунної системи.
Локальні форми
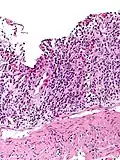
При локалізованих формах захворювання гігантські клітини знаходять, як правило, в слинних залозах (переважно в привушних залозах, рідше в підщелепних і під'язикових). Формування цитомегалії відмічають в епітелії слинних вивідних проток. В стромі, що їх оточує, відзначають клітинні лімфогістіоплазматичні інфільтрати.
Генералізовані форми
При генералізованому перебігу ЦМВ-інфекції метаморфозу піддаються клітини епітелію практично всіх органів і систем. В результаті розвивається вогнищева або інтерстиціальна пневмонія, підгострий холестатичний гепатит, вогнищевий нефрит, катаральний або виразковий ентероколіт. Можливе формування вад розвитку кишечника та інших внутрішніх органів. При ураженні головного мозку розвиваються вогнищеві некрози і кальцифікати. Періодично відбувається реактивація інфекційного процесу. Як правило, це зумовлено зниженням кіллерної функції лімфоцитів і/або продукції інтерферону. При різкому пригніченні активності природних кілерів можливе швидке поширення вірусів через кров та лімфою у різні органи і тканини, генералізація інфекції та навіть розвиток септичних станів. Крім того, взаємне поєднання інфекцій, пов'язаних з ураженням вірусом CD4-клітин (ЦМВ-інфекція, ВІЛ-інфекція, туберкульоз), призводить до ускладнення перебігу кожної з них і поглиблення імуносупресії.
ЦМВ-інфекцію розглядають як класичну опортуністичну інфекцію, тобто таку, що активується лише на фоні імунодефіциту. Ця патологія є ВІЛ-маркерною (в усіх хворих на ВІЛ-інфекцію виявляють наростання титру антитіл до ЦМВ). Реактивація ЦМВ-інфекції також може бути свідченням й інших, досить глибоких імунодефіцитів — як первинних, так і вторинних (променева хвороба, злоякісні пухлини, особливо на тлі хіміо- чи променевої терапії, медикаментозна імуносупресія тощо).
Детальніші відомості з цієї теми ви можете знайти в статті Герпесвірусні інфекції.
Клінічні прояви
Класифікація
Єдиної загальноприйнятої класифікації ЦМВ-інфекції на сьогодні немає. Нерідко клінічно виділяють ЦМВ-латенцію (без клінічних ознак ураження будь-якого органу, однак за наявності специфічних антитіл без відчутного наростання їхнього титру) та ЦМВ-інфекцію/хворобу (зі специфічними органними ураженнями). У свою чергу ЦМВ-латенція може бути вродженою або набутою, а ЦМВ-хвороба локалізованою або генералізованою. ЦМВ-хвороба може перебігати як гостра інфекція (при первинному інфікуванні) або як хронічна (з рецидивами). У МКХ-10 у розділі І «Деякі інфекційні та паразитарні хвороби», блоці В «Інші вірусні хвороби» включено «Цитомегаловірусну хворобу» (В25), в якій виділяють:
- «Цитомегаловірусну пневмонію» (В25.0);
- «Цитомегаловірусний гепатит» (В25.1);
- «Цитомегаловірусний панкреатит» (В25.2);
- «Інші цитомегаловірусні хвороби» (В25.8);
- «Неуточнені цитомегаловірусні хвороби» (В25.9);
В цьому ж розділі у блоці «Інші вірусні хвороби», у категорію «Інфекційний мононуклеоз» (В27) включено «Цитомегаловірусний мононуклеоз» (В27.1). У розділі XVI «Окремі стани, що виникають в перинатальному періоді», блоці «Інфекції перинатального періоду», у категорії «Вроджені вірусні хвороби» (Р35) виділено «Вроджену цитомегаловірусну інфекцію» (Р35.1).
.jpg.webp)
Перебіг ЦМВ-інфекції у імунокомпетентних дорослих
Характер і виразність клінічних проявів ЦМВ-інфекції залежать від стану імунітету. В імунокомпетентних дорослих осіб інфекція, як правило, має безсимптомний перебіг. В окремих випадках клінічна картина перебігає як інфекційний мононуклеоз (у цьому контексті — цитомегаловірусний мононуклеоз) з тими ж симптомами, як й при ВЕБ-інфекційному мононуклеозі. На цьому фоні може виникнути гранулематозний ЦМВ-гепатит з гарячкою, нудотою, блюванням, жовтяницею, ЦМВ-панкреатит, ЦМВ-інтерстиціальна пневмонія, міокардит, які перебігають нетяжко. Доведена можливість ураження ЦНС у вигляді менінгоенцефаліту. Після активного процесу відбувається латентна фаза (без ознак ураження внутрішніх органів, однак з високими титрами специфічних антитіл).

Перебіг ЦМВ-інфекції у імуноскомпрометованих
В імуноскомпрометованих осіб ЦМВ-інфекція завжди має генералізований характер і може уражати різні органи і системи з розвитком тяжкої пневмонії, міокардиту, енцефаліту, асептичного менінгіту, тромбоцитопенії, гемолітичної анемії, гастриту, гепатиту, ретиніту (запалення сітківки ока) тощо. Нерідко розвивається дисемінована форма ЦМВ. Найбільш частим проявом ЦМВ-інфекції при ВІЛ-інфекції є ретиніт, рідше — езофагіт, коліт, полірадикулопатія (порушення функції спинномозкових нервів), енцефаліт.
Перебіг ЦМВ-інфекції у вагітних
У вагітних ЦМВ-інфекція має різні клінічні форми. Як правило, жінки скаржаться на головний біль, втомлюваність, виділення зі статевих органів білувато-сірого відтінку, збільшення і болючість підщелепних слинних залоз. Деякі характерні для ЦМВ-інфекції симптоми виявляють в комплексі: резистентність до терапії, яку проводять, гіпертонус тіла матки, вагініт (кольпіт), гіпертрофія, кісти і передчасне старіння плаценти, багатоводдя. При цьому часто спостерігають інтимне прикріплення хоріональної тканини плаценти, передчасне відшарування нормально розташованої плаценти, значну крововтрату під час пологів (1 % і більше від маси тіла жінки), прихований післяпологовий ендометрит (запалення поверхневого шару ендометрію), в подальшому — порушення менструального циклу. При гострій інфекції можуть уражатися печінка, легені, головний мозок. Здебільшого ЦМВ-інфекція у вагітних перебігає як латентна інфекція з періодичними загостреннями. У жінок із хронічною ЦМВ-інфекцією часто спостерігають ектопію шийки матки, ендометрит, дисфункцію яєчників, екстрагенітальні захворювання (гепатит, хронічний холецистит, панкреатит, сечокам'яну хворобу, хронічний гайморит, пневмонію, хронічні захворювання підщелепних і привушних слинних залоз).

Вроджена ЦМВ-інфекція
Вроджена цитомегаловірусна хвороба може перебігати як генералізовано, так й локально. Її включають до поняття «Torch-інфекції» або «Torch-комплексу». Виділяють гостру, підгостру і хронічну стадії. На ранніх етапах онтогенезу плід найбільш чутливий до дії ЦМВ, оскільки вірус виявляє тропність до клітин із високим рівнем обмінних процесів. Плід може загинути, або ж формуються вади розвитку внутрішніх органів і головного мозку. При цьому гостра і підгостра стадії інфекції перебігають внутрішньоутробно, діти народжуються з проявами хронічної ЦМВ-інфекції. У них переважають такі вади: голопрозенцефалія, мікроцефалія (зменшення мозку), спинномозкова грижа, гідроцефалія, колобома, катаракта, недорозвинення очного яблука, синдактилія, кістофіброз підшлункової залози, хейлосхіз (вроджена вада — заяча губа), палатосхіз (вроджена вада — ущелина піднебіння) тощо. При інфікуванні в пізній фетальний період або під час пологів діти народжуються з ознаками гострої стадії ЦМВ-інфекції, для якої найбільш характерна генералізований перебіг інфекції. Він часто нагадує такий при гемолітичній хворобі новонароджених, зокрема її пренатальної форми. Основний симптом — жовтяниця. Рано з'являється гепатоспленомегалія (співдружне збільшення печінки і селезінки). Виражені загальні ознаки інтоксикації. ЦМВ-гепатит характеризується ураженням жовчних капілярів, клінічно це проявляється холестазом (застоєм жовчі), надалі — розвитком печінкової недостатності і портальної гіпертензії. Зміни в печінці часто супроводжуються симптомами менінгоенцефаліту. Властиві й такі локальні прояви ЦМВ-інфекції, як респіраторний дистрес-синдром, поліхромна анемія (з ретикулоцитозом, нормобластозом, тромбоцитопенією). Розвивається геморагічний синдром у вигляді петехій, екхімозів, носових, пупкових кровотеч, «мелени» (чорного кольору випорожнення, що містять багато крові). Жовтяниця на тлі гепатоспленомегалії, анемії, геморагічного синдрому і менінгоенцефаліту — найтиповіший прояв генералізованої внутрішньоутробної ЦМВ-інфекції.

Для локальних уражень характерні порушення зору аж до повної сліпоти, ураження травної системи, печінки, ендокринних залоз (надниркових, гіпофізу), а також дихальної системи (інтерстиціальна затяжна пневмонія, обструктивний бронхіт). При залученні в процес дрібних бронхів і бронхіол розвивається перибронхіт, при переході в хронічну стадію — фіброз і пневмосклероз.
Прогноз у дітей із вродженою ЦМВ-інфекцією несприятливий, смертність становить 60-80 %. Більше ніж у 90 % дітей, які вижили, спостерігають затримку інтелектуального і мовного розвитку, порушення психомоторних реакцій, глухоту, хоріоретиніти з атрофією зорового нерва, порушення розвитку зубів, цукровий діабет.
Набута ЦМВ-інфекція у дітей
Частіше перебігає у вигляді локалізованої форми і проявляється сіалоаденітом (запаленням слинних залоз), зокрема повторними паротитами. ЦМВ-інфекція може набувати вигляду мононуклеозного синдрому. Розвивається гепатомегалія, незначна лімфоаденопатія, слабкість, підвищена втомлюваність, головний біль. Гарячку спостерігають у 30 % дітей і вона триває в середньому 2 тижні. Можуть виявляти фарингіт, тонзиліт, рідко — спленомегалію. Нерідко виникає висип, який має макулопапульозний характер. В імунокомпетентних дітей наслідки хвороби більш сприятливі, проте деякі симптоми можуть зберігатися протягом 4 тижнів і довше. Як ускладнення можуть розвитися синдром Гієна — Барре, периферичні нейропатії, енцефаліт, міокардит, пневмонія, ретиніт, шлунково-кишкові виразки.
ЦМВ-інфекційний мононуклеоз
Через 3-6 тижнів після гемотрансфузії від зараженого на ЦМВ може розвитися ЦМВ-інфекційний мононуклеоз. При легкому перебігу його симптоми зникають протягом 3 тижнів, при тяжкому — спостерігають спленомегалію, лімфоаденопатію, висип. Ці симптоми зберігаються від декількох тижнів до кількох місяців після інфікування.
Перебіг ЦМВ-інфекції при трансплантації
Особливим перебігом ЦМВ-інфекція характеризується у реципієнтів трансплантованих органів. У таких випадках можливе як первинне інфікування реципієнта вірусом із донорським органом чи кров'ю, так і реактивація персистентної інфекції внаслідок імуносупресії, яка виникає через необхідність призначення препаратів, що запобігають відторгненню трансплантата. Застосування циклоспорину і глюкокортикостероїдів різко пригнічує клітинну відповідь — це знижує якість імунного нагляду за ЦМВ і сприяє активації вже існуючої інфекції. Проте найнебезпечнішим є первинне інфікування, оскільки саме воно є поширеною причиною відторгнення трансплантата або вірус-індукованого гломерулонефриту після трансплантації нирки.

Діагностика
Клінічна і загальнолабораторна діагностика
Ґрунтується на сукупності анамнестичних та клінічних даних (при загостренні у імунокомпетентних осіб може мати локалізований характер або нагадувати інфекційний мононуклеоз з можливими іншими проявами: гепатит, гарячка, жовтяниця, панкреатит, міокардит, інтерстиціальна пневмонія, які перебігають нетяжко). В імуноскомпрометованих осіб завжди має генералізований характер з розвитком тяжкої пневмонії, міокардиту, енцефаліту, асептичного менінгіту, тромбоцитопенії, гемолітичної анемії, гастриту, гепатиту, ретиніту тощо. У жінок допоміжну роль в діагностиці відіграють наявність обтяженого акушерського анамнезу, загроза переривання попередньої вагітності чи передчасних пологів, народження дітей з вадами розвитку. Враховуючи поліморфність клінічної картини вирішальне значення набувають результати лабораторних обстежень. В загальному аналізі крові хворих з ЦМВ-інфекцією можуть бути атипові мононуклеари на тлі вираженого лімфоцитозу (аж до 90 %). При тяжкому перебігу особливо у дітей характерна анемія та тромбоцитопенія. У загальному аналізі сечі можлива поява специфічних збільшених епітеліальних клітин. При дослідженні ліквору у хворих з ураженнями ЦНС можна виявити незначний нейтрофільний плеоцитоз, дещо підвищений вміст білка. При ураженні печінки підвищується рівень загального білірубіну. активність амінотрансфераз — АЛТ і АСТ, рідше — лужної фосфатази.
Специфічна діагностика
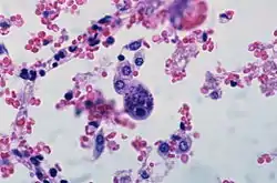
Встановлення специфічного діагнозу ЦМВ-інфекції ґрунтується на виявленні вірусу і його слідів. Для діагностики ЦМВ-інфекції необхідно використовувати не менше 2-3 лабораторних тестів. Досліджують слину, бронхоальвеолярні змиви, сечу, ліквор, кров, грудне молоко, секційний матеріал, біоптати. У зв'язку з термолабільністю вірусу матеріал для дослідження повинен бути доставлений до лабораторії не пізніше ніж за 4 години від моменту забору. Обстеження проводять вірусологічним, цитологічним, серологічним методами, ПЛР. Виявлення специфічно змінених під впливом ЦМВ клітин — найдоступніший метод, проте його інформативність становить 50-70 %. Найбільш достовірним є виявлення в матеріалі самого вірусу або його ДНК в ПЛР. Золотим стандартом дотепер залишається вірусологічний метод. Для діагностики необов'язково виділяти сам вірус, достатньо виділити його антиген: РІФ, ІФА. Останній набув найширшого розповсюдження, тому що дозволяє виявити антиген ЦМВ і специфічні IgG та М. Виявлення IgG має другорядне значення і повинно здійснюватись одночасно з виявленням IgМ, особливо з метою діагностики первинної інфекції. При виявленні IgG аналіз рівня їх авідності (здатності утримувати антиген) може допомогти в диференціації між активною і персистуючою інфекцією. Показник індексу авідності до 35 % указує на гостру інфекцію, від 36 до 41 % — на стадію реконвалесценції, більше 42 % — на тривалу хронічну інфекцію. Потрібно мати на увазі, що специфічні антитіла можуть бути не виявлені в осіб з імуносупресією, при білковому голодуванні тощо. Визначення IgG необхідно проводити в парних сироватках з інтервалом не менше 10 днів. Рецидивуючу форму ЦМВ-інфекції діагностують при повторному виділенні вірусу у серопозитивних осіб. Діагноз внутрішньоутробної ЦМВ-інфекції встановлюють протягом перших 3 тижнів життя. Наявність IgМ у новонародженого до 2 тижнів життя свідчить про внутрішньоутробну інфекцію, після — про набуту.
Лікування

Ефективне лікування можливе лише за умови одночасного застосування ефективних противірусних засобів і корекції клітинної ланки імунної відповіді. Для лікування уражень ЦНС та генералізованого перебігу ЦМВ-інфекції застосовують ганцикловір у дозі 0,005-0,01 г/кг/добу в/в. Також використовують валацикловір у добовій дозі 2-3 г, що дозволяє забезпечити його достатню концентрацію в тканинах. На жаль, їх ефективність при ЦМВ-інфекції є низькою. У разі ЦМВ-ретиніта використовують валганцикловір 0,9 г на добу 21 день, при генералізовному перебігу по 0,9 г 2 рази на добу. Застосовують також лефлуномід по 0,2 г/добу протягом 7 діб, а потім по 0,04-0,06 г на добу. В країнах розвиненої медичної допомоги використовують також фоскарнет, цидофовір. Специфічні проти ЦМВ імуноглобуліни застосовують, як правило, при глибоких імунодефіцитах (у ВІЛ-інфікованих — разом із високоактивною антиретровірусною терапією) чи при неможливості застосування етіотропної та імуностимулюючої терапії (у вагітних).
Профілактика
Численні можливості передачі ЦМВ значно ускладнюють профілактичні заходи. Необхідно переливати лише серонегативну кров та її препарати, трансплантувати серонегативні органи. При загрозі виникнення ЦМВ-інфекції після трансплантації потрібно провести профілактичне лікування валацикловіром чи валганцикловіром. Слід здійснювати контроль за вагітними протягом усього періоду вагітності, у разі необхідності (високий ризик інфікування) — призначати специфічний імуноглобулін. Специфічна профілактика вакцинами на сьогодні ще не розроблена.
Примітки
- NDF-RT
- Іноді зустрічається назва хвороби як цитомегалія, але це не є правильним, адже така назва є тільки констатацією факту, що має місце збільшення клітин (лат. Cytomegalia), що може відбуватися і при деяких інших хворобах.
- Ribbert H (1904) Ueber protozoenartige Zellen in der Niere eines syphilitischen Neugeborenen und in der Parotis von Kindern. Zbl All Pathol 15:945-948.
- Monto Ho The history of cytomegalovirus and its diseases Med Microbiol Immunol (2008) 197:65-73.
- Smith MG (1956) Propagation in tissue cultures of a cytopathogenic virus from human salivary gland virus (SVG) disease. Proc Soc Exp Biol Med 92:424-430
- Rowe WP, Hartley JW, Waterman S et al (1956) Cytopathogenic agent resembling human salivary gland virus recovered from tissue cultures of human adenoids. Pro Soc Exp Biol Med 92:418-424
- Weller TH, Macauley JC, Craig JM, Wirth P (1957) Isolation of intranuclear inclusion producing agents from infants with illnesses resembling cytomegalic inclusion disease. Proc Soc Exp Biol Med 94:4-12
- Weller TH (1970) Cytomegalovirus: the difficult years. J Infect Dis 122:532-539
- E. KLEMOLA, L. KAАRIAINEN Cytomegalovirus as a Possible Cause of a Disease Resembling Infectious Mononucleosis. Brit. med. i., 1965, 2, 1099—1102
- Elisabeth Puchhammer-Stöck, Irene Görzer Human cytomegalovirus: an enormous variety of strains and their possible clinical significance in the human host Future Virology Vol. 6, No. 2, Pages 259—271.
Джерела
- Інфекційні хвороби (підручник) (за ред. О. А. Голубовської). — Київ: ВСВ «Медицина» (2 видання, доповнене і перероблене). — 2018. — 688 С. + 12 с. кольор. вкл. (О. А. Голубовська, М. А. Андрейчин, А. В. Шкурба та ін.) ISBN 978-617-505-675-2 / С. 313—318
- Kauser Akhter, Todd S Wills Cytomegalovirus Updated: Apr 07, 2014 Medscape. Viral Infections/ Specialty Editor Board Francisco Talavera, John W King /Chief Editor Michael Stuart Bronze (англ.)
- Kauser Akhter Cytomegalovirus Organism-Specific Therapy Updated: Aug 13, 2013 Medscape. Viral Infections/ Chief Editor Thomas E Herchline (англ.)
- Monto Ho Cytomegalovirus: Biology and Infection Springer Science & Business Media, 2013. — 440 p. (англ.)
.jpg.webp)